Pulmonary Embolism
Michael DeFilippo
February 1, 2023 39 minutes read
AUTHORS
Michael DeFilippo, DO, Columbia University Medical Center, New York, NY
Cameron Callipari, MD, Columbia University Medical Center, New York, NY
Jimmy Truong, DO, Assistant Professor, Emergency Medicine, Columbia University Medical Center, New York, NY
PEER REVIEWER
Steven M. Winograd, MD, FACEP, Brookdale Emergency Department, Brooklyn, NY; Samaritan Emergency Department, Albany, NY
EXECUTIVE SUMMARY
- Pulmonary embolism can present with chest pain (usually pleuritic), hemoptysis, dyspnea (most common), syncope/hypotension, and sudden death. While many patients have evidence of a deep venous thrombosis, usually in the lower extremity, this finding is not always present.
- There are several decision rules available that help to risk stratify patients with possible pulmonary embolism, including Pulmonary Embolism Rule-out Criteria (PERC), Wells’ criteria, and YEARS criteria. Only the YEARS score can be used to assess pregnant patients. Most of these tests rely on a D-dimer blood test. D-dimer, which is a protein released from degrading clot, can be in the presence of many other conditions, including pregnancy and older age.
- If the PERC test and D-dimer suggest the possible presence of a pulmonary embolism, further testing generally includes a computed tomography pulmonary angiogram. Other signs include evidence of right heart strain on electrocardiogram and findings of right ventricular enlargement on ultrasound.
- Patients who present in unexpected sudden cardiac arrest may have a pulmonary embolism as the cause. Bedside ultrasound can be used to assess the right ventricle for enlargement. If pulmonary embolism is potential, the patient can be treated with thrombolytics with continued cardiopulmonary resuscitation for 20 minutes to allow the medication to work. Surgical extraction can be considered, as can extracorporeal membrane oxygenation in facilities with that capability.
Introduction
The undifferentiated patient is a staple of the emergency physicians’ clinical purview. On that list of differential diagnoses that a provider cannot miss is pulmonary embolism (PE). Elusive in that it can present as a variety of signs or symptoms, PE is a potentially devastating medical pathology that carries a significant morbidity and mortality. In 2018 alone, pulmonary emboli were responsible for more than 100,000 deaths.1,2 Therefore, emergency department (ED) personnel must remain updated on the latest clinical assessment tools, diagnostic modalities, and treatment options to best serve patients.
Given the expanding scope of ultrasonography, advancements in computed tomography (CT) technology, and broadening of potential treatment plans, the tools for diagnosing and options for treating a PE are constantly evolving. Emergency physicians must not only be aware of these changes, but also be comfortable with the data surrounding them to best maintain up-to-date clinical practice patterns.
Relevancy of the Problem to the Adult Population
The morbidity and mortality associated with pulmonary emboli are significant, and even with the advancements that have been made in the last several decades regarding the diagnosis and management, this disease still carries a great risk to patients. Previous reports documented the incidence of PEs to be about 1-2/1,000 persons per year.3 These estimates were before the COVID-19 pandemic in early 2020, which saw an increase in the number of patients at risk for developing pulmonary emboli. In the Western hemisphere, PE remained the third most common inciting factor of cardiovascular death in hospitalized patients, surpassed only by acute myocardial infarctions and strokes.3-6 Certain studies report that the 30-day mortality rate is as high as 30% in those with a high-risk PE and about 15% in those with intermediate-risk PEs.3 Patients who survive a PE still face significant morbidity, since long-lasting sequelae can afflict these patients. Consequences such as dyspnea, hypertension, and a reduced quality of life overall often plague survivors of a PE well after the initial clot has resolved.7 This makes PE a critical diagnosis that an emergency physician must be able to identify correctly.
The importance of the emergency physician’s role is underscored by the timeline in which pulmonary emboli exert their effects. It is estimated that most deaths from a PE will occur in the first several hours to days. More importantly, more than 70% of those deaths occur within the first hour, making the emergency physician often the first, and only, medical provider who has the ability to intervene.4 Other studies have found that, of patients with a newly diagnosed PE, about 25% will experience clinical deterioration ranging from hypotension to dysrhythmias to cardiac arrests within five days.8 This reiterates the importance of the emergency physician’s ability to quickly identify pulmonary emboli and initiate appropriate treatment early with the hope of mitigating potentially devastating outcomes.
Epidemiology
The incidence of PE is estimated to be about 23-115 new cases per 100,000 people per year, making this life-threatening cardiovascular disease more common than previously believed.9,10 Age also is a risk factor, since epidemiological data show that the incidence of new PE increases with age. Those older than 80 years of age are eight times more likely than their 40- to 50-year-old counterparts to be diagnosed with a PE.11
Etiology
The risk factors for developing a PE coincide with the risk factors for developing any venous thrombosis, since it is these distal blood clots that often embolize to the pulmonary vasculature causing a PE. Therefore, the most common risk factor for developing a PE is a prior history of a deep vein thrombosis (DVT).4 A patient’s risk of venous thromboembolism (VTE) can be divided into two categories: inherited and acquired risk. Inherited risk factors are those that patients carry from genetic predispositions to coagulopathy or increased clotting factor activity. Some of the more notable and common disorders include antithrombin deficiency, antiphospholipid antibody syndrome, protein C or S deficiency, hyperhomocysteinemia, and the most prevalent, Factor V Leiden, which carries a 40-fold increase in risk for VTE compared to the general population.1
Acquired factors can further be divided into provoked and unprovoked factors, although the distinction between provoked and unprovoked factors often is blurred. When identified, this distinction can possibly be used to guide decision-making surrounding treatment, especially regarding the duration of anticoagulation treatment. Acquired factors include those such as comorbid illness, certain lifestyle factors (obesity, smoking), and recent medical procedures. Provoked factors then are further delineated by those that can be addressed and theoretically removed, thus lowering the future risk of further VTE. Some common examples include recent surgery, immobilization, active cancer, pregnancy, hormone therapy, and the use of indwelling vascular catheters.1,4 These are in contrast to non-provoking factors, such as advanced age, rheumatologic conditions, cardiovascular disease, venous insufficiency, and previous VTE.
Pathophysiology
The pathophysiology of developing pulmonary emboli directly relates to the pathogenesis of venous thrombosis. This process is largely explained by Virchow’s Triad of risk factors, which include hypercoagulability, stasis of blood, and endothelial vessel wall injury.4 When these three factors combine, the environment is favorable for blood to form clots. These clots then can embolize from the peripheral vessels, traveling toward the pulmonary vasculature where they pose the greatest risk for cardiovascular injury and death.
If a thromboembolism travels to the pulmonary vascular system, it can exert clinical effects via alterations in both gas exchange and circulation. Acute pulmonary emboli can result in the release of factors from platelets, such as serotonin and thromboxane A2, which mediates vasoconstriction, increasing pulmonary vascular resistance.6 PEs also anatomically obstruct blood flow, causing a ventilation-perfusion (V/Q) mismatch as the blood flow is physically blocked from perfusing a region of a lung. Even if that region of the lung is otherwise healthy and well-ventilated, oxygen cannot enter the capillary blood supply surrounding the alveoli there, leading to dead-space ventilation and hypoxemia.
The anatomical obstruction of the blood also increases the pressure within the right heart, increasing afterload. The thinner-walled right ventricle is more sensitive to these changes in afterload, so the abrupt increase in pulmonary vascular resistance directly results in increased volume and pressure within the right ventricle. The tension on the cardiac wall results in myocyte stretch and ventricular dilation, further altering the contractile properties of the right heart.12 This cardiac stretch and subsequent wall ischemia result in the release of brain natriuretic peptide (BNP) and troponin into the bloodstream, which serve as indicators of right heart strain. Emboli of even moderate sizes can exert significant consequences, as studies have shown that if the clot burden extends to 30% to 50% of the total cross-sectional area of the pulmonary artery bed, the pulmonary artery pressure can increase upward of double the normal value reaching approximately 40 mmHg. This pressure exerts a strain on the heart and eventually leads to acute right ventricular failure.6 Acute right ventricular failure often is the primary cause of death in cases of severe PE, since mortality increases 2.4- to 3.5-fold in patients with echocardiographic evidence of right ventricular dysfunction secondary to a PE.6,12
To overcome the increased pulmonary arterial pressure, the body attempts to compensate via several mechanisms. A neurohormonal cascade is employed to increase inotropy and chronotropy of the heart, systemic vasoconstriction develops, and the right ventricular contraction time prolongs all in an effort to maintain cardiac output.6 These temporizing mechanisms are limited, and eventually a downward physiologic spiral develops if the underlying embolic obstruction remains. The interventricular septum will begin to bow into the left ventricle secondary to dilation and increased pressure in the right ventricle. This affects both the filling and contractile force that the left ventricle can produce. The prolonged right ventricular contraction time extends into the early diastole of the left ventricle, thereby further limiting the time that the left ventricle can fill with blood. The decreased filling of the left ventricle then may lead to a reduction in overall cardiac output, contributing to possible systemic hypotension. This systemic hypotension reduces the oxygenated blood that the organs of the body see, which can shift the body from aerobic to anaerobic metabolism, leading to an acidosis. The hypoxia and acidosis further increase pulmonary vasoconstriction and worsen afterload, thereby propagating this cycle until eventual hemodynamic collapse.6
Pulmonary Emboli and COVID-19
The COVID-19 pandemic beginning in the early months of 2020 took a dramatic toll on the healthcare system and altered how the medical field approached certain diseases and respiratory conditions. It was quickly evident that this particular coronavirus could have severe and lasting effects extending beyond its initial infectious symptoms. Through the course of the pandemic, there was greater understanding about the association between COVID-19 and thromboembolic complications. The incidence of PE in COVID-19 patients varies across sources, but Gong et al attempted to pool data with a systematic review and meta-analysis to assess numerous studies, which included 10,367 patients with COVID-19. They determined a cumulative incidence of PE of 21% among patients with COVID-19 (95% confidence interval [CI], 18% to 24%; P < 0.001).13 Various hypotheses have emerged as to why this particular virus is associated with such a high incidence of pulmonary emboli. Leading theories suggest that the virus not only initiates an acute inflammatory response, eliciting platelet activation and hypercoagulability, but the virus itself has been found to directly infect vascular endothelial cells causing subsequent damage.14 The infected endothelial cells lose their physiologic functions, such as nitric oxide production, resulting in a procoagulant setting within the vascular lumen supporting the formation of both systemic thrombosis and pulmonary emboli.
COVID-19 is not the only virus that is known to damage endothelial cells resulting in hypercoagulability, but to date it has one of the highest incidences. One study by Ackerman et al compared autopsy results of patients with COVID-19 to those with influenza A (H1N1). They found that the COVID-19 patient cohort had a nine times higher prevalence of microthrombi in the alveolar capillaries compared to the influenza group (P < 0.001).15 While COVID-19 still is being studied and the effects of this virus and its relationship to the incidence of PE still is being assessed, it is clear that patients are at a greater risk for VTEs. A recent diagnosis of COVID-19 should increase the suspicion for PE. While the pandemic is ongoing years after the first reported cases, the healthcare system will not truly know the full impact that this virus has had for many years to come.
Clinical Features
The clinical signs and symptoms of pulmonary emboli often are nonspecific and can include a variety of presentations ranging from the asymptomatic to sudden death. One of the most common chief complaints among patients diagnosed with a PE is dyspnea, as certain studies cite nearly 81% had this symptom as their chief complaint.4 Pulmonary infarction may cause chest pain (usually pleuritic) or hemoptysis leading to an ED visit. Areas of infarction can result in alveolar hemorrhage and clinically present as pleuritis, pleural effusions, or even hemoptysis.6 Therefore, chest pain that often is described as pleuritic, hemoptysis, presyncope, or syncope are other common symptoms that should raise a physician’s suspicion for an underlying PE.6 Nearly 70% of patients with a PE present with tachycardia, and about 50% will show evidence of hypoxia.16 A recent study by Weekes et al reported that the shock index (heart rate [HR]/systolic blood pressure [SBP]) of > 1.0 was found to be an independent predictor of clinical deterioration in patients with a PE.8
Although the literature varies, recent studies suggest that 50% to 70% of patients will have a concomitant DVT with a symptomatic PE diagnosis.17,18 Therefore, it can be beneficial for physicians to assess for clinical features of a DVT in the workup of a possible PE. Evidence of a DVT often includes calf pain, lower leg edema, erythema of the leg, or distension of distal veins. One classic physical exam finding in the evaluation of a DVT is that of Homan’s sign. This sign is deemed positive if there is pain with abrupt, passive ankle dorsiflexion that stretches the veins in the lower leg, causing pain if there is a clot. Although this test is classically taught, more recent evidence suggests that it is neither particularly sensitive nor specific.19 While a thorough physical exam is useful, if there is a high enough suspicion for a DVT based on a patient’s history and exam, clinicians should consider using ultrasonography and other advanced diagnostic modalities.
Differential Diagnosis
The differential diagnosis for PE is broad. PE can present with symptoms ranging from chest pain to dyspnea to hemoptysis. Common diagnoses to consider are acute coronary syndrome, pneumothorax, pericarditis, cardiac tamponade, congestive heart failure, pneumonia, aortic dissection, asthma, chronic obstructive pulmonary disease (COPD) exacerbations, and panic attacks, which all may present with overlapping symptoms similar to presentations of PE. A recent review showed PE had a prevalence of 16.1% in patients with acute exacerbations of COPD.20 Taking a careful history and physical exam with the assistance of diagnostic studies may help narrow the differential and exclude diagnoses. Therefore, it is the task of the emergency physician to decipher these symptoms and use clinical decision-making tools to help assess the likelihood of a PE compared to other disease entities.
Keeping a broad differential diagnosis is extremely important, especially in patients who present to the ED in critical condition. Patients may present in cardiac arrest or respiratory extremis and unable to provide a history. As many as 5% to 13% of unexplained cardiac arrests are likely caused by massive PEs.21 Therefore, early consideration of PE as the cause of an unexplained cardiac arrest may be critical. In these PE-associated cardiac arrests, pulseless electrical activity (PEA) often is the initial rhythm in about 36% to 53% of cases.21 Early consideration of a PE on the differential could have a major impact on the treatment and course of the resuscitation.
Diagnostic Studies
There are a multitude of different diagnostic studies available for the evaluation and diagnosis of PE. Included in these are risk stratification tools, electrocardiogram (ECG), blood tests, ultrasonography, chest X-ray (CXR), nuclear medicine V/Q scan, CT pulmonary angiography (CTPA), and magnetic resonance pulmonary angiography (MRPA). While CTPA remains the most commonly used modality and is the current gold standard, it is not the only available modality nor is it always the most appropriate study depending on specific patient needs and available resources. Therefore, it is imperative that emergency physicians have a thorough understanding of the various diagnostic tools available to them in the evaluation and diagnosis of a PE.22
Clinical Decision Making
Validated clinical decision rules and guidelines are useful tools in the evaluation of a PE and are used in the ED to help appropriately use often limited resources, including reducing the number of unnecessary CTPA studies. The three most commonly used decision tools are the Pulmonary Embolism Rule-out Criteria (PERC; https://www.mdcalc.com/calc/347/perc-rule-pulmonary-embolism), Wells’ criteria (https://www.mdcalc.com/calc/115/wells-criteria-pulmonary-embolism), and the YEARS criteria (https://www.mdcalc.com/calc/4067/years-algorithm-for-pulmonary-embolism-pe).
One of the most used decision guidelines is the PERC, which clinically rules out a PE without the need for laboratory studies or advanced imaging if a certain subset of criteria all are satisfied. The criteria, which must all be met, include no prior history of a DVT or PE, no recent surgery or trauma within the past four weeks, no estrogen intake, not pregnant, age < 50 years, heart rate < 100 bpm, SpO2 > 94% on room air, and no evidence of unilateral leg swelling.23 If the patient meets all of these criteria, the combined risk of death or PE within the next three months was less than 0.5%.22
Although it is a useful tool for emergency clinicians, a major limitation to the PERC rule is that it has not been validated to exclude PE in pregnant patients or those taking estrogen supplementation. This often is a starting point, and if a PE cannot be ruled out via the PERC criteria, most clinicians then will assess the risk using Wells’ criteria for PE.
The Wells’ criteria were developed to help augment a physician’s pretest probability in determining PE management in conjunction with D-dimer testing.24 The Wells’ criteria assess for: clinical signs and symptoms of DVT, whether PE is the top diagnosis on the physician’s differential (or equally likely), a heart rate > 100 bpm, immobilization for at least three days or surgery within the previous four weeks, previously diagnosed PE or DVT, presence of hemoptysis, and malignancy with treatment within six months or palliative care for malignancy. The score then is interpreted within a two- or three-tier model, where lower risk scores use the D-dimer for evaluation (if negative, stop workup for PE; if positive, pursue a CTPA), and higher scores use CTPA imaging and forgo D-dimer testing. The American College of Emergency Physicians Clinical Policy on PE recommends using the two-tier model.25 The major pitfall of the Wells’ criteria for PE is the inclusion of the subjective criterion “PE leading diagnosis or equally likely.”
The YEARS criteria is the most recently developed clinical decision tool and was developed from a prospective, multicenter cohort study in the Netherlands from 2013 to 2015, which enrolled more than 3,000 patients suspected of PE in both inpatient and outpatient settings. The original study by van der Hulle et al in 2017 suggested using YEARS led to an absolute decrease of CTPA examinations by 14% when compared to using the Wells’ criteria.26 The YEARS criteria include assessment for clinical signs of DVT, hemoptysis, and whether PE is the most likely diagnosis in conjunction with evaluation of a D-dimer to help gauge whether CTPA is indicated or the workup can be stopped. The original clinical decision tool then was evaluated in the pregnant population with another prospective study by van der Pol et al in 2019, which showed that PE could safely be ruled out with a pregnancy-adapted YEARS algorithm.27 The major derivation in the pregnancy-adapted YEARS algorithm as compared to the original YEARS algorithm is if the pregnant patient has confirmed ultrasound findings of DVT, it is recommended to initiate anticoagulation without further testing.
A study published in Academic Emergency Medicine in 2018 showed a combination of PERC then YEARS strategy for evaluation of PE resulted in a 13% absolute reduction in CTPA usage and had an overall failure rate of 0.83%, defined as a missed PE in the ED or at three-month follow-up appointment.28
As with many clinical decision tools, new diseases often put limitations on their validity, and this has become more evident in recent years in the setting of the COVID-19 pandemic. COVID-19 has made it challenging for emergency physicians to diagnose PEs, since many of the symptoms of both disease processes overlap, so the previously used risk stratification tools were becoming more inadequate. Several recent studies assessed the PE prediction tools in COVID-19 patients, finding overall poor ability to discriminatively identify patients with COVID-19-associated PE using the common PE clinical decision tools.29,30
The CHOD score (C reactive protein, heart rate, oxygen saturation, D-dimer) had the highest performance among all current models in determining which patients may require a CTPA for PE evaluation in the setting of COVID-19.31 The CHOD decision tool uses a score of 0 to 7 points broken down into low-risk (4.5% incidence), moderate-risk (36.8% incidence), and high-risk categories (100% incidence).31 While promising for use in COVID-19 patients, it has yet to be externally validated and should not be used as an isolated tool at this time.
Electrocardiogram
In the assessment of chest pain or dyspnea, one of the most readily available tools to the emergency physician is an ECG. Although there is no one specific ECG finding that can diagnose a PE, there are certain patterns that have been shown to have an association with pulmonary emboli. When there is an acute clot in the pulmonary vasculature, there can be a precipitous change in the pressure, dilation, or coronary blood flow that the right side of the heart experiences. These changes can be reflected in reciprocal ECG findings and can provide a quick way to heighten suspicion for clinically significant pulmonary emboli.
One of the most common overall ECG findings in patients with a PE is sinus tachycardia, but other indicators and specific patterns may be present as well.8 Anteroseptal ST elevations and ST depressions also can be seen on ECGs in patients with PEs.4 Weekes et al put forth a multicenter and prospective study of approximately 1,700 patients with newly confirmed PE to assess what other ECG findings may help predict clinical deterioration. The study found that the only significant independent predictor found on ECG for clinical deterioration was supraventricular tachycardia (SVT).8 However, there were other signs that were deemed independent predictors of right ventricular abnormalities in patients with PE, which relates to the morbidity of the disease process. Sinus tachycardia, a new incomplete right bundle branch block, ST elevations in lead aVR, T-wave inversions in leads V2-V4, and an “S1-Q3-T3” (S wave in lead I, Q wave in lead III, and inverted T wave in lead III) pattern all were independent predictors of right ventricular abnormalities.8 While the classic teaching of the “S1-Q3-T3” ECG finding (see Figure 1) as a predictor of PE has been found to lack a strong sensitivity, it does maintain an overall higher specificity. A study by Weekes et al found “S1-Q3-T3” has an odds ratio of 1.72 for clinical deterioration within five days.8
Figure 1. S1-Q3-T3 Electrocardiogram Finding |
![]() |
Courtesy of Jimmy Truong, DO. |
Another recent study found that in patients with evidence of right ventricular abnormalities, a Qr pattern in lead V1 was associated with a higher in-hospital mortality, further highlighting the importance of the emergency physician to be aware of ECG findings that suggest right ventricular strain.32
A retrospective study from the European Journal of Pacing, Arrhythmias and Cardiac Electrophysiology evaluated the combination of an ECG scoring system (Daniel ECG Score), D-dimer, and Wells’ score in assessment of PE. A Daniel ECG score > 12 was found to have a specificity of 96%.33 In patients with a Daniel score > 12, positive D-dimer, and positive Wells’ score, PE was 14.6 times more prevalent than in those without positive findings or elevated Daniel ECG score. Thus, in patients with clinical suspicion of PE in whom CTPA cannot immediately be performed or is contraindicated, the emergency physician can consider using a combination of Daniel ECG score, D-dimer, and Wells’ score to guide therapeutic and disposition strategies.34
Laboratory Tests
Of the various studies that an emergency physician can use to help support the diagnosis of a PE, none is more used than the D-dimer. D-dimer is a fibrin protein product that is found in the blood once a clot has been degraded. It is a useful test to indicate the presence of blood clots in the body. Physicians will use this lab test as an indication on whether further advanced imaging may be necessary in the workup of thromboembolism. D-dimer testing should be performed only in patients who have a low or moderate pre-test probability of having a PE.6 If the level is below the validated cutoff for the specific assay, then the risk of a PE is reduced. Caution should be taken when using this test, since there are certain physiological factors that may produce false positives, including pregnancy, malignancy, trauma, or other conditions leading to increased coagulation or fibrinolysis.11 Recent data advanced the utility of the D-dimer assay by adjusting for age, giving more reliable cutoffs. In patients older than age 50 years, the D-dimer cutoff can be adjusted by multiplying the age in years times 10 ng/mL.35
Other blood tests, such as troponin levels or pro-BNP, may help further categorize a PE by indicating right-heart strain if elevated. Studies have shown a clinically significant short-term mortality associated with elevated troponin levels in patients with a PE, so this can be a useful adjunct test to order.36 Coagulation factors, such as activated partial thromboplastin time (aPTT) and prothrombin time (PT), may be useful for the clinician if a patient is supposed to be anticoagulated already for any variety of comorbid conditions, since these levels may indicate if a patient is subtherapeutic and therefore may be at an elevated risk for clotting.
Ultrasound
Bedside ultrasound has become ubiquitous in emergency medicine practice over the last decade because of its ability to provide vital information in a timely fashion. This modality has additionally gained popularity because of its ease of use and widespread access, since it can be used globally in both resource-rich and more austere environments. Ultrasonography is especially important in the evaluation of critical patients, including those presenting with a suspected PE. Ultrasonography can be used to evaluate the lower extremities, the lungs, and the heart in the assessment of pulmonary emboli.
In the workup of thromboembolism, many providers may begin with an ultrasound of the bilateral lower extremities, since many pulmonary emboli result from clot propagation from lower extremity DVTs. There are several techniques to evaluate for DVTs in a patient suspected to have a PE; ED protocols primarily focus on either limited venous ultrasound of the lower extremities with compression (focused on the femoral and popliteal veins) or complete venous ultrasound of the lower extremities with compression.37 Meta-analyses of limited compression ultrasonography estimate a sensitivity of about 43.7% and specificity of 96.7%, while complete venous ultrasound had an increased estimated sensitivity of about 54.7% but a lowered specificity of 84.5%.37 In patients presenting with moderate-to-high clinical probability of shock due to PE, sensitivity and specificity of either method was about 45% and 97%, respectively, making it a potentially useful test in the ED.37
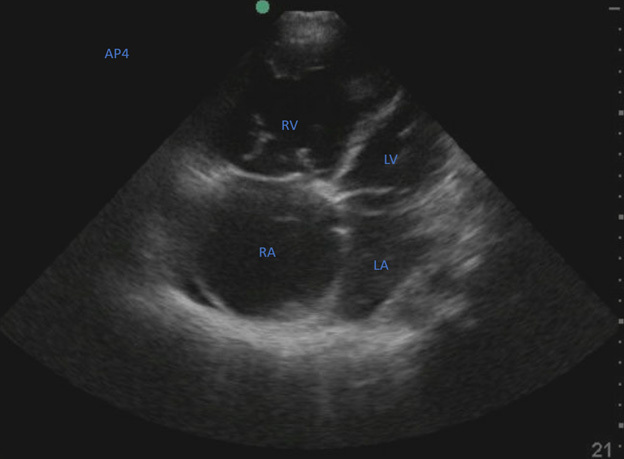
In addition to lower extremity ultrasound, cardiac ultrasound often is included in the evaluation of a suspected PE. The most frequently sought sign is that of right ventricle (RV) dilation, which has a sensitivity and specificity of 63.4% and 87.4%, respectively, for a PE. To assess dilation, ultrasound visualization compares the RV to the left ventricle (LV). If the RV/LV ratio is ≥ 1, it is suspicious for right ventricular dilation, as evidenced by Figure 2.37
Figure 2. Cardiac Ultrasound Suspicious for Right Ventricular Dilation |
![]() |
Courtesy of Jimmy Truong, DO. |
Other cardiac ultrasound modalities that are not used as frequently as RV dilation had similar sensitivities and specificities. One of these other findings is that of the D-sign, where the flattening of the interventricular septum causes the left ventricle to appear in the shape of the letter “D.” This sign is indicative of right ventricular volume overload causing an increased pressure and can be seen best using a parasternal short axis view. Along with some other secondary signs of right heart strain, echocardiography has the benefit of directly viewing the right side of the heart and can evaluate both right ventricular function as well as potentially identify any intracardiac thrombi.4 A visible RV thrombus is present in approximately one in 20 patients with PE, and a past meta-analysis showed 100% specificity among five different studies.37
Although not as routine as lower extremity and cardiac ultrasound, lung ultrasound can be used in the diagnostic pathway of PE. The most characteristic finding is hypoechoic, pleural-based parenchymal alteration. A majority of these are wedge-shaped but also can present rounded or polygonal.38 In a meta-analysis conducted by Falster et al, the presence of at least two hypoechoic pleural-based lesions yielded a sensitivity of 44.2% and specificity of 96.5% for diagnosis of PE, compared to at least one hypoechoic pleural-based lesion which resulted in a sensitivity of 81.4% and specificity of 87.4%.37 While detection of pleural-based lesions can provide some diagnostic value for a PE, it also allows the emergency physician to evaluate for other diagnoses, such as pneumonia, pneumothorax, or pulmonary edema.
Single-organ ultrasound (cardiac, lung, or lower extremities) had an estimated specificity at or exceeding 95%, with the sensitivity comparatively lower at an average of 70%.37 Multi-organ ultrasound (cardiac, lung, and lower extremities) specifically including evaluation of proximal compression ultrasound, evaluation for at least two hypoechoic subpleural lesions, McConnell’s sign, D-sign, visible RV thrombus, and RV hypokinesia approached a sensitivity at or greater than 90% in both meta-analyses and individual trials.37 In one study by Nazerian et al, a multiorgan ultrasound protocol for PE evaluation resulted in a sensitivity of 100% through evaluation for absence of DVT, RV dilation, and hypoechoic pleural-based lesions when an alternative diagnosis other than PE was present on the differential.39 Multiorgan ultrasound is highly predictive of PE with detection of a DVT or a right ventricle thrombus, and can allow for diagnosis without further advanced testing, especially in resource-limited environments or overcrowded EDs with a prolonged time to CT scan.
CT Imaging
CTPA is not only the most commonly used diagnostic modality in the evaluation PE in the United States, but it also is considered the gold standard.17,22 CTPA has high sensitivity and specificity depending on which diagnostic algorithms are used by the reading radiologists, demonstrating sensitivity as high as 83% and specificity as high as 96%, with positive predictive values as high as 96%.22
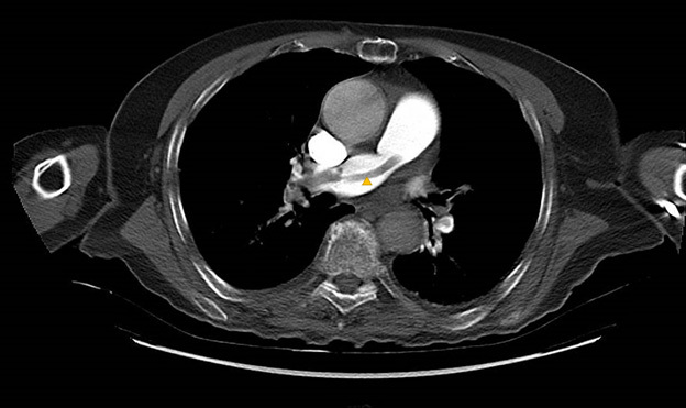
Findings in acute PE include both direct and indirect evidence of injury. Direct evidence of PE includes central filling defects within affected vessels surrounded by contrast material (“polo mint” or “railway sign” appearance depending on the view) or the “saddle embolus” that extends bilaterally from the base of the pulmonary trunk bifurcation. A clot can be seen traversing from the main pulmonary artery to the right pulmonary artery noted by the arrow in Figure 3 (an axial view of a CTPA in this patient with a PE).
Figure 3. Axial View of a Computed Tomography Pulmonary Angiography of a Patient with Pulmonary Embolism |
![]() |
A clot can be seen traversing from the main pulmonary artery to the right pulmonary artery. Courtesy of Jimmy Truong, DO. |
Indirect evidence of PE includes pulmonary infarction (wedge-shaped peripheral opacities) and pleural effusions seen on imaging. CTPA additionally can provide evidence of the severity of a PE if it detects evidence of right heart strain, significant clot burden, and decreased lung perfusion, all of which help with appropriate treatment and disposition of the patient.22 In addition to its high sensitivity and specificity in the diagnosis of PE, CTPA can provide additional evaluation of other potential diagnoses that remain on the differential. It is a strong test for assessing evidence of musculoskeletal injury, pericardial abnormalities, pneumonia, and other vascular pathologies (such as coronary artery disease) that may be causing various presenting symptoms.22
One of the recent advances made in CT technology is the use of dual-source energy CT scanners (DECT). DECT allows for perfusion imaging, as well as use of lower contrast load and lower radiation dose while increasing imaging quality.22 The contrast loads can be as low as 20 mL (compared to 60 mL in routine CTPA), and the radiation effective dose is below 1 mSv (compared to 10 mSv in routine CTPA).22 In a prospective, randomized trial of 100 non-obese patients, DECT CTPA was found to be noninferior to traditional CTPA and showed higher diagnostic confidence, less artifact, and better assessment of anatomical structures when compared to traditional CTPA.40 This is an exciting opportunity for emergency medicine, as high contrast loads and radiation doses often are limiting factors when physicians are deciding on appropriate testing for patients in the ED.
Chest X-Ray
CXR is considered part of the standard evaluation of patients presenting with chest pain, unexplained tachycardia, or dyspnea, all of which are common presenting symptoms of an acute PE.17 It is a relatively inexpensive, quick, and easy test to obtain in an emergency, and in hemodynamically stable patients is a good first test to employ to rule out other potential diagnoses, such as pneumonia, pulmonary edema, or pneumothorax. Regarding the diagnosis of a PE, chest radiography is not particularly useful, but it can show some specific secondary findings of an acute PE. These secondary findings include an enlarged pulmonary artery (Fleischner sign; secondary to acute pulmonary hypertension), regional oligemia (Westermark sign; sensitivity 92%, specificity 38%), and peripherally-located wedge-shaped opacities (Hampton hump; sensitivity 22%, specificity 82%).21
Ventilation Perfusion Scan
V/Q scans are used in the evaluation of PE in specific clinical situations where patients are unable to proceed with CTPA for any variety of reasons. In the ED, certain exclusion criteria for CTPA include renal failure, significant contrast allergies that are not amenable to premedication, pregnant females, and morbidly obese patients who cannot fit in the CT scanner.22 If any of these situations arise, a V/Q scan is an alternative modality that can be offered. V/Q scans use ventilation agents such as aerosolized technetium-99m (Tc-99m), labeled agents (diethylenetriaminepentaacetic acid [DTPA], sulfur colloid, and ultrafine carbon suspensions), and radioactive noble gasses (Krypton-81m and Xenon-133). Of these, DTPA is the most commonly used agent. Scans are interpreted alongside a CXR performed within 12-24 hours looking for peripheral wedge-shaped perfusion defects in lobar, segmental, or subsegmental distributions without associated ventilation defects. These mismatch defects also can be seen in other disorders, such as vascular abnormalities (congenital, inflammatory, malignant) and mediastinal lymphadenopathy. Because of this, V/Q scans are interpreted by criteria classifying the read as high probability, very low probability, normal, and non-diagnostic. The sensitivity and specificity of V/Q scans are estimated in the 80% to 85% and 93% to 97% range, respectively.22
Magnetic Resonance Imaging
Magnetic resonance imaging (MRI) is increasingly available in EDs throughout the United States, but it still is not considered standard of care. It is not easily available or a quick enough diagnostic alternative for most emergent cases of acute PE. In certain situations and institutions, MRPA can be used for identification of filling defects, vessel enhancement, or dilation of the pulmonary artery to evaluate for an acute PE.22
In comparison with CTPA, MRPA had lower sensitivities for detecting PE but similar specificity (78% and 99% comparatively). MRPA was found to have significantly decreased sensitivity in detecting smaller emboli (50% in segmental arteries, 0% in sub-segmental arteries). It is suggested by some authors that MRPA should be considered only in well-experienced facilities and for patients who have contraindications for other standard routine tests for evaluation of acute PE.22,41
Management and Disposition
Classification
The management of pulmonary emboli is dictated largely by the level of disease burden. The classic teaching categorizes PEs based on the severity of symptoms, traditionally classified as massive, submassive, and less severe PE. In massive PEs, patients have a systolic blood pressure < 90 mmHg for > 15 minutes, a systolic blood pressure < 100 mmHg with a history of hypertension, or a reduction > 40% in systolic blood pressure from baseline. Submassive PE patients have no evidence of cardiopulmonary stress, with normal or near normal blood pressures. Other cases of PE where Hestia criteria all were negative, pulmonary embolism severity index (PESI) score < 80, simplified PESI (sPESI) were negative, shock index < 1.0, oxygen saturation > 94%, echocardiogram showed normal RV systolic function, normal RV size, no tricuspid regurgitation, with normal troponin levels, B-type natriuretic peptide level < 90 pg/mL, N-terminal pro-B-type natriuretic peptide < 900 pg/mL, D-dimer < 4,000 ng/mL, and serum sodium < 125 mEq/L were considered less severe PE.42
Because of the subjectivity of some of the traditional classification criteria, PEs now are being characterized as low-, intermediate-, and high-risk using several different prognostic tools. Two important prognostic tools currently used within the United States are the simplified pulmonary embolism severity index (sPESI; https://www.mdcalc.com/calc/1247/simplified-pesi-pulmonary-embolism-severity-index) and the Hestia criteria (https://www.mdcalc.com/calc/3918/hestia-criteria-outpatient-pulmonary-embolism-treatment).42 A 2022 meta-analysis performed by Palas et al evaluated the safety of both the sPESI and Hestia criteria, finding that the risk of misclassification was low and that both prognostic tools were safe strategies to guide therapeutic decision-making in regard to 30-day mortality, VTE recurrence, and major bleeding.43 A retrospective review published in 2019 in Nature compared seven different prognostic tools in patients aged < 50 years with no high-risk PE features to determine the most sensitive in identifying those at low risk for 30-day mortality and found the highest performing tools again were the sPESI, along with the RIETE Score for Risk of Hemorrhage in Pulmonary Embolism Treatment, and Prognostic Algorithm.44
These classification tools are important for the emergency clinician, since they can help guide management decisions. With the advent of novel therapies and more research about various treatment modalities being published, there are more opportunities for emergency medicine clinicians to consider outpatient vs. inpatient management for certain patients with pulmonary emboli. Yoo et al performed an updated Cochrane review to assess if low-risk patients with acute PE could be treated outpatient vs. inpatient. While the RCTs they assessed had a low inclusion number, the studies did not provide any clear evidence of a difference in overall mortality, bleeding, or recurrent PEs between the outpatient and inpatient groups.9 In patients with no significant comorbidities, the use of the sPESI score in determining safe outpatient treatment of PEs can reduce hospital admissions. If there is no evidence of right ventricular overload, patients with an sPESI score ≤ 1 can be discharged and can follow up outside of the hospital.6 Studies showing a potential noninferiority still need to be undertaken, but this could be a new breakthrough in PE management. The benefits to the healthcare system at large and the individual patients completing outpatient therapy would make this an ideal option. If more patients could be treated safely as outpatients, this could open more hospital beds for other critically ill patients, reduce overall healthcare cost, and improve overall quality of life for these low-risk patients.
Cardiopulmonary Support
Patients may present to the ED with symptoms ranging on a spectrum from asymptomatic to critically ill. Therefore, it is important for emergency clinicians to use an algorithmic approach to patients and first assess a patient’s airway, breathing, and then circulation. Airway management is difficult in patients with a severe acute PE, since they are preload-dependent given physiologic changes secondary to the clot burden. Attempts should be made to avoid intubation if possible, especially in hypotensive patients, since induction and increasing positive pressure can increase the intrathoracic pressure, thus reducing the preload to a potential critical threshold that can result in cardiovascular collapse. Other alternatives, such as high-flow nasal cannula or noninvasive positive pressure, should be considered if feasible. It also is imperative to adequately oxygenate these patients with a goal SpO2 > 90%, since hypoxia worsens the pulmonary vasoconstriction and again propagates a dangerous cycle.
In patients who are hemodynamically unstable, vasopressors are an important intervention, since increasing intravascular volume with overaggressive fluid resuscitation could catastrophically worsen their hemodynamic status. Increased volume further dilates the right ventricle, which could worsen the interventricular septal bowing, thus compromising the left ventricular volume, and result in worsening of the cardiac output overall. Therefore, judicious volume resuscitation is an important component of PE management, and clinicians should not be hesitant about using vasopressor support early if necessary. In consideration of which vasopressor to use, norepinephrine and epinephrine are ideal first-line agents. When considering adding a second vasopressor agent, vasopressin only exerts its effects on systemic vascular resistance and not that of the pulmonary system, making it an efficacious second agent for patients in obstructive shock secondary to a PE. Milrinone and dobutamine also can be considered for added inotropic support in these patients who develop obstructive shock. However, caution should be undertaken with these medications because they can decrease blood pressure, so they likely need to be used in conjunction with other vasopressor agents.12
Finally, other adjuncts, including pulmonary vasodilators, such as phosphodiesterase inhibitors or inhaled nitric oxide, also may be considered to dampen the strain from the increased pulmonary resistance. Although there are promising studies ongoing surrounding the use of inhaled nitric oxide, there still is not a robust data set supporting its standardized use yet. Thus, it should be used as a salvage therapy for the acutely decompensating patient (doses ranging from 5-40 parts per million) while the patient has begun anticoagulation or thrombolysis.45
Anticoagulation
Almost all patients with a PE, regardless of severity or need for surgical intervention, will require systemic anticoagulation to prevent clot propagation and to allow endogenous fibrinolysis to proceed.4 Patients who are determined to be low risk can be treated with an outpatient anticoagulation regimen, if they have adequate home support.46,47 If the patient is to be discharged home, the preferred agents are direct oral anticoagulants (DOACs). DOACs include Factor Xa inhibitors, such as rivaroxaban and apixaban. Large, randomized controlled trials have shown that Factor Xa inhibitors are noninferior to older anticoagulant agents (for example, warfarin) and have the added benefit of a significantly reduced prevalence of bleeding.11,48 Low-molecular-weight heparin (LMWH) also can be considered in outpatient settings for patients with active malignancy, liver disease, pregnancy, coagulopathies, or other contraindications to DOACs. For patients with severe renal insufficiency or with recurrent venous thromboembolism on LMWH or DOACs, heparin treatment is preferred.49
Patients with moderate to high-risk PEs require inpatient management with treatment oriented to three major components: anticoagulation to prevent extension and recurrence, cardiopulmonary support, and reperfusion of the pulmonary artery.4 Those patients who require inpatient management should be started on heparin while awaiting further management. Determination of additional treatment modalities rests on whether the patient has high-risk features that require systemic fibrinolysis, catheter-directed thrombolysis (CDT), or surgical intervention.
Thrombolytics
The goal of anticoagulation is to prevent further propagation of a blood clot, whereas thrombolytic medications give the option for direct breakdown of the clot itself. Indications for systemic fibrinolysis include cardiac arrest, hypotension, and/or severe hypoxemia (SpO2 < 90%) despite oxygen therapy plus evidence of increased work of breathing; or evidence of right-sided heart strain on echocardiography or elevated troponin, or both. Certain patients with moderate PE without significant hemodynamic compromise may benefit from systemic fibrinolysis as evidenced by higher survival and better quality of life in the presence of increased RV to LV ratio on CT or hypokinesis, elevated troponin or BNP, or persistent hypoxemia with distress.50 The fibrinolytic agent that is approved for PE treatment in the United States is alteplase, dosed at 100 mg intravenous (IV) over two hours, followed by initiation of heparin or LMWH.42 Administration of a fibrinolytic agent in the management of moderate to severe PE is associated with a 1.5% to 2.4% decrease in mortality, but it does carry a higher bleeding risk than other modalities.51,52
If thrombolytics are given to a patient in cardiac arrest, cardiopulmonary resuscitation (CPR) should be continued for a prolonged period prior to pronouncing death to allow sufficient time for the agent to have an effect. Previously, the recommendation was that CPR should be continued for at least 15-20 minutes post-administration of thrombolysis, but newer guidelines are suggesting even longer ongoing CPR efforts. The European Society of Cardiology now recommends a longer course of CPR of 60-90 minutes based on their recently published 2019 guidelines for the management of acute PE.6 Therefore, it is important to consider systemic thrombolytics early in the resuscitation course to allow for ample continued CPR time.
In select populations, primarily those older than 65 years of age whose intracranial bleeding risk is highest, CDT is another option that can be used for intermediate-risk PE. This procedure involves a guidewire being placed through a peripheral artery (radial or femoral) and advanced toward the pulmonary artery vasculature where thrombolytic medications can be administered more narrowly.51 Multiple systematic reviews have shown evidence pointing toward hemodynamic improvement and decreased intracranial bleeding rate (< 2%) associated with CDT. CDT uses a significantly lower dose of alteplase (approximately 10 mg), but because of the significant time delay to activate a vascular suite in the majority of cases, it is not typically used in those with massive or high-risk PE.53-56
Surgical Thrombectomy
Of the other available PE treatment options, surgical pulmonary embolectomy is reserved for a specific cohort of patients who are arguably some of the most critically ill or have significant risk factors that preclude them from routine therapies, such as systemic fibrinolysis. This procedure involves placing patients on cardiopulmonary bypass, performing a sternotomy, and then surgically retrieving the clot. Before terminating the procedure, the final step is the placement of an inferior vena cava (IVC) filter because of an elevated risk of recurrent PE in this population.4 A 2020 literature review performed by Licha et al demonstrated no mortality benefit of a surgical approach when compared to systemic thrombolysis4; however, some argue that if the clot is large enough, there could be a significant benefit hemodynamically to have it removed. Every surgery has its risk, and some sources state that a surgical thrombectomy can carry a mortality rate of almost 30%. However, it is important to clarify that the population usually chosen for this procedure typically is very ill to begin with, and the decision to use this intervention should be evaluated on an individual basis.42 There are exciting advances in the surgical technology being used for thrombectomies that may make this procedure safer and more effective in the future. A new device is being studied called the FlowTriever System, which is a tool used to remove emboli from the pulmonary arteries. The FlowTriever All-Comer Registry for Patient Safety and Hemodynamics (FLASH) is a prospective, multicenter registry that currently is evaluating the safety and effectiveness of mechanical thrombectomy for the treatment of PE. Although the study is currently underway, preliminary data show mechanical thrombectomy as an emerging front-line therapy while avoiding bleeding risk associated with thrombolytics.7
Extracorporeal Membrane Oxygenation
Extracorporeal membrane oxygenation (ECMO) is the process of oxygenating blood mechanically by completely bypassing the pulmonary and cardiovascular systems. This is a last resort intervention that some medical centers can offer. While there are different types of cannulations, venous-arterial (V-A ECMO) is the modality of choice because it completely bypasses the failing cardiopulmonary system. This is a potential temporizing measure that may offer the patient more time while ongoing anticoagulation efforts are underway. The European Society of Cardiology now recommends ECMO as a temporary support in patients with circulatory collapse.6 Although there need to be more long-term studies following the implementation of ECMO in these acute patients, data emerging from some retrospective studies are suggesting positive reductions in morbidity and mortality.57
Summary
Emergency clinicians need to remain updated on the management and treatment of many critical diagnoses. PEs carry a significant morbidity and mortality, even with the advances in treatment that have been made over the past several decades. Time plays a critical role in the disease process, so having a high suspicion, making the diagnosis early, and initiating treatment are important for optimal patient outcomes. The use of certain clinical decision tools, such as the PERC or Wells’ criteria, can be useful starting points for emergency physicians to determine the rest of the evaluation. Obtaining an ECG and appropriate laboratory tests, such as a D-dimer and troponin level, can further support the diagnosis of a PE and assess for evidence of right heart strain. With the increasing availability of bedside ultrasonography, emergency physicians can assess for direct visualization of distal venous thrombi and evidence of right ventricular dysfunction. If a patient has no serious contraindications, the gold-standard diagnostic test still is a CTPA. Depending on newer classifications and the use of certain scores such as sPESI or Hestia, emergency clinicians now have the opportunity to treat patients as outpatients with DOACs, although inpatient management with heparin still is a valid treatment option for some patients. Lastly, in patients presenting in cardiac arrest, with a known history of PE, consider thrombolytics or ECMO as treatment options.
REFERENCES
- Giordano NJ, Jansson PS, Young MN, et al. Epidemiology, pathophysiology, stratification, and natural history of pulmonary embolism. Tech Vasc Interv Radiol 2017;20:135-140.
- LeVarge BL, Wright CD, Rodriguez-Lopez JM. Surgical management of acute and chronic pulmonary embolism. Clin Chest Med 2018;39:659-667.
- Schultz J, Giordano N, Zheng H, et al. EXPRESS: A multidisciplinary pulmonary embolism response team (PERT)—experience from a national multicenter consortium. Pulm Circ 2019;9:2045894018824563.
- Martinez Licha CR, McCurdy CM, Maldonado SM, Lee LS. Current management of acute pulmonary embolism. Ann Thorac Cardiovasc Surg 2020;26:65-71.
- Giri J, Sista AK, Weinberg I, et al. Interventional therapies for acute pulmonary embolism: Current status and principles for the development of novel evidence: A scientific statement from the American Heart Association. Circulation 2019;140:e774-e801.
- Konstantinides SV, Meyer G, Becattini C, et al; The Task Force for the diagnosis and management of acute pulmonary embolism of the European Society of Cardiology (ESC). 2019 ESC Guidelines for the diagnosis and management of acute pulmonary embolism developed in collaboration with the European Respiratory Society (ERS): The Task Force for the diagnosis and management of acute pulmonary embolism of the European Society of Cardiology (ESC). Eur Respir J 2019;54:1901647.
- Toma C, Bunte MC, Cho KH, et al. Percutaneous mechanical thrombectomy in a real-world pulmonary embolism population: Interim results of the FLASH registry. Catheter Cardiovasc Interv 2022;99:1345-1355.
- Weekes AJ, Raper JD, Thomas AM, et al. Electrocardiographic findings associated with early clinical deterioration in acute pulmonary embolism. Acad Emerg Med 2022;29:1185-1196.
- Yoo HHB, Nunes-Nogueira VS, Fortes Villas Boas PJ, Broderick C. Outpatient versus inpatient treatment for acute pulmonary embolism. Cochrane Database Syst Rev 2019;3:CD010019.
- Keller K, Hobohm L, Ebner M, et al. Trends in thrombolytic treatment and outcomes of acute pulmonary embolism in Germany. Eur Heart J 2020;41:522-529.
- Kulka HC, Zeller A, Fornaro J, et al. Acute pulmonary embolism – Its diagnosis and treatment from a multidisciplinary viewpoint. Dtsch Arztebl Int 2021;118:618-628.
- Kostura M, Smalley C, Koyfman A, Long B. Right heart failure: A narrative review for emergency clinicians. Am J Emerg Med 2022;58:106-113.
- Gong X, Yuan B, Yuan Y. Incidence and prognostic value of pulmonary embolism in COVID-19: A systematic review and meta-analysis. PLoS One 2022;17:e0263580.
- Iba T, Connors JM, Levy JH. The coagulopathy, endotheliopathy, and vasculitis of COVID-19. Inflamm Res 2020;69:1181-1189.
- Ackermann M, Verleden SE, Kuehnel M, et al. Pulmonary vascular endothelialitis, thrombosis, and angiogenesis in Covid-19. N Engl J Med 2020;383:120-128.
- Secemsky E, Chang Y, Jain CC, et al. Contemporary management and outcomes of patients with massive and submassive pulmonary embolism. Am J Med 2018;131:1506-1514.e0.
- Kline JA. Pulmonary embolism and deep vein thrombosis. In: Walls RM, Hockberger RS, Gausche-Hill M, eds. Rosen’s Emergency Medicine: Concepts and Clinical Practice. 9th ed. Elsevier;2018:chapter 78.
- Hirmerova J, Seidlerova J, Chudacek Z. The prevalence of concomitant deep vein thrombosis, symptomatic or asymptomatic, proximal or distal, in patients with symptomatic pulmonary embolism. Clin Appl Thromb Hemost 2018;24:1352-1357.
- Ambesh P, Obiagwu C, Shetty V. Homan’s sign for deep vein thrombosis: A grain of salt? Indian Heart J 2017;69:418-419.
- Fu X, Zhong Y, Xu W, et al. The prevalence and clinical features of pulmonary embolism in patients with AE-COPD: A meta-analysis and systematic review. PLoS One 2021;16:e0256480.
- Lavonas EJ, Drennan IR, Gabrielli A, et al. Part 10: Special Circumstances of Resuscitation: 2015 American Heart Association Guidelines Update for Cardiopulmonary Resuscitation and Emergency Cardiovascular Care [published correction appears in Circulation 2016;134:e122]. Circulation 2015;132(18 Suppl 2):S501-S518.
- Moore AJE, Wachsmann J, Chamarthy MR, et al. Imaging of acute pulmonary embolism: An update. Cardiovasc Diagn Ther 2018;8:225-243.
- Penaloza A, Soulié C, Moumneh T, et al. Pulmonary embolism rule-out criteria (PERC) rule in European patients with low implicit clinical probability (PERCEPIC): A multicentre, prospective, observational study. Lancet Haematol 2017;4:e615-e621.
- Wells PS, Anderson DR, Rodger M, et al. Excluding pulmonary embolism at the bedside without diagnostic imaging: Management of patients with suspected pulmonary embolism presenting to the emergency department by using a simple clinical model and d-dimer. Ann Intern Med 2001;135:98-107.
- Fesmire FM, Brown MD, Espinosa JA, et al. Critical issues in the evaluation and management of adult patients presenting to the emergency department with suspected pulmonary embolism. Ann Emerg Med 2011;57:628-652.e75.
- van der Hulle T, Cheung WY, Kooij S, et al. Simplified diagnostic management of suspected pulmonary embolism (the YEARS study): A prospective, multicentre, cohort study [published correction appears in Lancet 2017;390:230]. Lancet 2017;390:289-297.
- van der Pol LM, Tromeur C, Bistervels IM, et al. Pregnancy-adapted YEARS algorithm for diagnosis of suspected pulmonary embolism. N Engl J Med 2019;380:1139-1149.
- Gorlicki J, Penaloza A, Germeau B, et al. Safety of the combination of PERC and YEARS rules in patients with low clinical probability of pulmonary embolism: A retrospective analysis of two large European cohorts. Acad Emerg Med 2019;2:23-30.
- Rindi LV, Al Moghazi S, Donno DR, et al. Predictive scores for the diagnosis of pulmonary embolism in COVID-19: A systematic review. Int J Infect Dis 2022;115:93-100.
- García-Ortega A, Oscullo G, Calvillo P, et al. Incidence, risk factors, and thrombotic load of pulmonary embolism in patients hospitalized for COVID-19 infection. J Infect 2021;82:261-269.
- Ortega-Paz L, Talasaz AH, Sadeghipour P, et al. COVID-19-associated pulmonary embolism: Review of the pathophysiology, epidemiology, prevention, diagnosis, and treatment. Semin Thromb Hemost 2022;10.1055/s-0042-1757634. doi:10.1055/s-0042-1757634. [Online ahead of print].
- Casazza F, Pacchetti I, Rulli E, et al. Prognostic significance of electrocardiogram at presentation in patients with pulmonary embolism of different severity. Thromb Res 2018;163:123-127.
- Daniel KR, Courtney DM, Kline JA. Assessment of cardiac stress from massive pulmonary embolism with 12-lead ECG. Chest 2001;120:474-481.
- Couto Pereira S, Valente Silva B, Silverio Antonio P, et al. Electrocardiography: An useful tool for prediction of the diagnosis and severity of pulmonary embolism. EP Europace 2022;24(Supplement_1).
- De Pooter N, Brionne-François M, Smahi M, et al. Age-adjusted D-dimer cut-off levels to rule-out venous thromboembolism in patients with non-high pre-test probability. Clinical performance and cost-effectiveness analysis. J Thromb Haemost 2021;19:1271-1282.
- Becattini C, Vedovati MC, Agnelli G. Prognostic value of troponins in acute pulmonary embolism: A meta-analysis. Circulation 2007;116:427-433.
- Falster C, Jacobsen N, Coman KE, et al. Diagnostic accuracy of focused deep venous, lung, cardiac and multiorgan ultrasound in suspected pulmonary embolism: A systematic review and meta-analysis. Thorax 2021;77:679-689.
- Comert SS, Caglayan B, Akturk U, et al. The role of thoracic ultrasonography in the diagnosis of pulmonary embolism. Ann Thorac Med 2013;8:99-104.
- Nazerian P, Vanni S, Volpicelli G, et al. Accuracy of point-of-care multiorgan ultrasonography for the diagnosis of pulmonary embolism. Chest 2014;145:950-957.
- Martini K, Meier A, Higashigaito K, et al. Prospective randomized comparison of high-pitch CT at 80 kVp under free breathing with standard-pitch CT at 100 kVp under breath-hold for detection of pulmonary embolism. Acad Radiol 2016;23:1335-1341.
- Stein PD, Chenevert TL, Fowler SE, et al. Gadolinium-enhanced magnetic resonance angiography for pulmonary embolism: A multicenter prospective study (PIOPED III). Ann Intern Med 2010;152:434-443.
- Tintinalli JE, Ma OJ, Yealy DM. Tintinalli’s Emergency Medicine: A Comprehensive Study Guide. McGraw-Hill; 2020.
- Palas M, Silva BV, Jorge C, et al. The accuracy of Hestia and simplified PESI to predict the prognosis in pulmonary embolism: Systematic review with meta-analysis. TH Open 2022;6:e347-e353.
- Jara-Palomares L, Alfonso M, Maestre A, et al. Comparison of seven prognostic tools to identify low-risk pulmonary embolism in patients aged <50 years. Sci Rep 2019;9:20064.
- Kramer A, Mortensen CS, Schultz JG, et al. Inhaled nitric oxide has pulmonary vasodilator efficacy both in the immediate and prolonged phase of acute pulmonary embolism. Eur Heart J Acute Cardiovasc Care 2020;2048872620918713. doi:10.1177/2048872620918713. [Online ahead of print].
- Roy PM, Moumneh T, Penaloza A, Sanchez O. Outpatient management of pulmonary embolism. Thromb Res 2017;155:92.
- Kabrhel C, Rosovsky R, Baugh C, et al. Multicenter implementation of a novel management protocol increases the outpatient treatment of pulmonary embolism and deep vein thrombosis. Acad Emerg Med 2019;26:657-669.
- Duffett L, Castellucci LA, Forgie MA. Pulmonary embolism: Update on management and controversies. BMJ 2020;370:m2177.
- Stevens SM, Woller SC, Baumann Kreuziger L, et al. Executive summary: Antithrombotic therapy for VTE disease: Second update of the CHEST Guideline and Expert Panel Report. Chest 2021;160:2247-2259.
- Sista AK, Miller LE, Kahn SR, Kline JA. Persistent right ventricular dysfunction, functional capacity limitation, exercise intolerance, and quality of life impairment following pulmonary embolism: Systematic review with meta-analysis. Vasc Med (London) 2017;22:37.
- Neely RC, Byrne JG, Gosev I, et al. Surgical embolectomy for acute massive and submassive pulmonary embolism in a series of 115 patients. Ann Thorac Surg 2015;100:1245-1251.
- Chatterjee S, Chakraborty A, Weinberg I, et al. Thrombolysis for pulmonary embolism and risk of all-cause mortality, major bleeding, and intracranial hemorrhage: A meta-analysis. JAMA 2014;311:2414.
- Tapson VF, Sterling K, Jones N, et al. A randomized trial of the optimum duration of acoustic pulse thrombolysis procedure in acute intermediate-risk pulmonary embolism: The OPTALYSE PE trial. JACC Cardiovasc Interv 2018;11:1401.
- Bloomer TL, El-Hayek GE, McDaniel MC, et al. Safety of catheter-directed thrombolysis for massive and submassive pulmonary embolism: Results of a multicenter registry and meta-analysis. Catheter Cardiovasc Interv 2017;89:754.
- Kabrhel C, Ali A, Choi JG, Hur C. Systemic thrombolysis, catheter-directed thrombolysis, and anticoagulation for intermediate-risk pulmonary embolism: A simulation modeling analysis. Acad Emerg Med 2017;24:1235.
- Kaymaz C, Akbal OY, Tanboga IH, et al. Ultrasound-assisted catheter-directed thrombolysis in high-risk and intermediate-high-risk pulmonary embolism: A meta-analysis. Curr Vasc Pharmacol 2018;16:179.
- Giraud R, Laurencet M, Assouline B, et al. Can VA-ECMO be used as an adequate treatment in massive pulmonary embolism? J Clin Med 2021;10:3376.
Emergency clinicians need to remain updated on the management and treatment of many critical diagnoses. Pulmonary emboli carry a significant morbidity and mortality, even with the advances in treatment that have been made over the past several decades. Having a high suspicion, making the diagnosis early, and initiating treatment are important for optimal patient outcomes.
You have reached your article limit for the month. Subscribe now to access this article plus other member-only content.
- Award-winning Medical Content
- Latest Advances & Development in Medicine
- Unbiased Content
Already have an account? Log in


