Pediatric Toxic Ingestions: Dangers at Home
September 1, 2022
AUTHORS
Kathleen McMahon, DO, Emergency Medicine Resident, St. Luke’s Hospital, Bethlehem, PA
Guhan Rammohan, MD, FACEP, Emergency Medicine Faculty, St. Luke’s Hospital, Bethlehem, PA
PEER REVIEWER
Frank LoVecchio, DO, MPH, FACEP, Vice-Chair for Research, Medical Director, Samaritan Regional Poison Control Center, Emergency Medicine Department, Maricopa Medical Center, Phoenix, AZ
EXECUTIVE SUMMARY
- Treatment of lysergic acid diethylamide (LSD) or marijuana intoxication is primarily supportive, with benzodiazepines to treat agitation, intravenous fluid to restore vascular volume, and cooling measures to treat hyperthermia.
- Ingested button batteries can lodge in the esophagus, most commonly three locations: thoracic inlet, aortic arch, and gastroesophageal junction. They can cause local mucosal injury and necrosis.
- Initial symptoms of nicotine toxicity include a burning sensation of the mouth and throat, nausea, vomiting, dizziness, diaphoresis, abdominal pain, and headache.
- Infants have underdeveloped renal function compared to older children and adults and are at higher risk for water intoxication.
- Aromatic, halogenated, and other substituted hydrocarbons cause greater systemic toxicity, since they are more likely to be absorbed from the gastrointestinal tract into systemic circulation.
Case Presentation
A 2-year-old male with no significant past medical history presents to the emergency department with his parents for a cough. They report that the child was playing in the garage with his father present when he was heard to cough. His father reports that he was next to a container of kerosene and had some around his mouth. He proceeded to cough for several minutes and was brought to the emergency department immediately for evaluation. He has not had any fevers, rhinorrhea, sore throat, drooling, difficulty breathing, vomiting, diarrhea, abdominal pain, or change in behavior. On examination, the child is noted to have age-appropriate vital signs without fever; no burns on the face, hands, or chest; no burns or lesions in the mouth or oropharynx; clear lung fields on auscultation; benign abdominal examination; and is playful and in no acute distress. A chest X-ray performed on initial examination is normal.
Background
A high percentage of calls to poison centers each year are for exposures in children younger than the age of 6 years. Many of these calls are prompted by exposures to substances commonly found in the home.1 Many such exposures can lead to significant morbidity and mortality even when the result of a small, exploratory exposure. Young children are prone to ingestion of inedible or toxic substances, given their propensity for mouthing objects that they encounter.2
An index of suspicion and a knowledge of toxidromes is critical to make an accurate diagnosis in cases of pediatric toxic exposures. History often is limited, and subtle findings on physical exam and diagnostic testing may suggest an otherwise elusive diagnosis. Consultation with a medical toxicologist or poison control center is recommended for all suspected toxic ingestions, both for management recommendations and for reporting purposes.
Lysergic Acid Diethylamide (LSD)
Epidemiology
Many hallucinogenic substances are used recreationally. Use of hallucinogens historically has been most prominent among the adolescent population, and calls to poison centers in the United States suggest increasing lysergic acid diethylamide (LSD) use in this age group over the last several years.3,4 LSD is an example of a classic hallucinogen, and its mechanisms of action and presentation are similar to those of many other hallucinogenic agents available today. Overall use of LSD is lower in comparison to other hallucinogens, such as psilocybin, dimethyltryptamine (DMT), and other novel synthetic agents.3,5 Children may be exposed to LSD and similarly acting serotonergic hallucinogens in the home where other individuals use it recreationally.
Mechanism of Action
LSD is an agonist at the 5-HT1A receptor, N-methyl-D-aspartate (NMDA) receptors, and glutamate receptors.6,7 It is a partial agonist at 5HT2A and other 5HT receptors. At high doses, it also is a D2 receptor agonist. Activity at the 5HT2A receptor is thought to mediate the hallucinogenic effects of LSD and chemically similar agents.8-10 Signs and symptoms are not necessarily dose-related and even small exposures may result in significant effects.8
Bioavailability of LSD is approximately 70% on ingestion. Peak effects last for 12-24 hours, with residual effects potentially persisting for up to an additional 24-36 hours.7
Clinical Presentation and Diagnosis
Commonly observed symptoms and clinical signs are noted in Table 1.8,9 In severe intoxications, intracranial hemorrhage, arrhythmias, hypotension, coagulopathy, and renal and multi-organ failure may occur.5,8 Cardiac arrest may ensue in exceptionally severe cases.9
Table 1. Signs and Symptoms of Lysergic Acid Diethylamide Intoxication |
|
Symptoms |
Clinical Signs |
|
|
Synthetic hallucinogens and LSD derivatives may be associated with similar but more severe symptoms than LSD.3,5,10
Laboratory detection of LSD is available in some institutions, but the value of testing is limited by a short window of detection (less than 12 hours) and the presence of false positives and false negatives.3,8 Urine or serum confirmation of exposure is not necessary for diagnosis or management. Availability of testing for novel hallucinogens and LSD derivatives also is limited.5
Management
Decontamination typically is unnecessary. Activated charcoal potentially might be of benefit in the case of large ingestions when given within 60 minutes of ingestion.8
Treatment is primarily supportive. A quiet, calm environment and reassurance may be all that is required while waiting for mild symptoms to resolve. Intravenous (IV) fluid administration may be used for treatment of rhabdomyolysis, renal failure, or metabolic acidosis in severe cases.3 Intravenous fluids, benzodiazepines, and external cooling techniques may be used to treat hyperthermia as necessary.3
Given the serotonergic effects of LSD and related compounds, care should be taken to avoid serotonergic medications during treatment to avoid precipitating serotonin syndrome.3
Disposition is guided by the severity of symptoms. Mildly intoxicated patients may be discharged with responsible adult supervision upon resolution or stabilization of mild symptoms. Patients with severe symptoms or end-organ toxicity require admission.
Marijuana
Epidemiology
Marijuana is the most frequently used illicit drug in the world, with an estimated few hundred million users.11 It may be encountered by children in the home where adult users store marijuana-containing products or through intentional abuse by older children. Recent studies cite a peak incidence of pediatric cannabis intoxication younger than the age of 5 years, and younger children tend to have more severe symptoms.12
Pediatric exposure to cannabis and related products in the United States has increased in recent years, likely due to increased availability of medical and recreational products as the legal status of marijuana is evolving in certain areas.11,13,14 The rate of pediatric hospitalizations for marijuana intoxication also has increased in locations where legal restrictions on its use have been eased.15
Marijuana may be found in products used for smoking, vaping, dabbing, and topical use. It also is found increasingly in foods, such as baked goods and candy, that may be attractive to children.16 Food products containing marijuana may be especially likely to result in overdose because of potentially high amounts of delta-9-tetrahydrocannabinol (THC) in portions smaller than that which would otherwise be considered an appropriate serving size.17
Young children also tend to explore their environment using their mouths and are at especially high risk for accidental ingestion of such products.16
An additional challenge and risk to children is that there is little regulation of marijuana-containing products and the exact amount of marijuana in a given item may be difficult or impossible to determine.12
Mechanism of Action and Properties
The primary psychoactive component of marijuana is THC. It typically acts as a central nervous system (CNS) depressant via stimulation of cannabinoid type 1 and 2 receptors in the brain. Stimulant and hallucinogenic effects also occur.8,11,16 Synthetic cannabinoids may have greater stimulant effects than marijuana.13
Oral ingestion and inhalation are the major routes of exposure leading to pediatric intoxication. Second-hand smoke exposure is not thought to lead to significant toxicity.13 In adults, peak plasma THC concentrations are reached within 15-30 minutes of use when smoked and 90 minutes when ingested.8,16 Elimination half-life in non-chronic users is between 20 and 30 hours.8 The pharmacokinetics of THC in pediatric patients is less well understood, but some recent limited research suggests that the peak plasma concentration may be delayed by several hours (3-4 hours) after ingestion compared to adults.16
Toxicologic testing for THC is affected by multiple factors, such as chronicity of use, mode of use, and the user’s physiological factors. THC metabolites may be detectable in urine for up to three days after single use and up to several weeks after chronic use.
Clinical Presentation and Diagnosis
Neurologic signs and symptoms predominate in younger children.16 Symptoms may include euphoria, anxiety, hallucinations, and impaired short-term memory.8,19 Other possible signs of acute toxicity are tachycardia, orthostatic hypotension, conjunctival injection, slurred speech, ataxia, tremors, seizures, and coma.8,16,19 (See Table 2.) Chronic exposure may be associated with neurocognitive deficits.14
Table 2. Signs and Symptoms of Delta-9-Tetrahydrocannabinol Intoxication |
|
Symptoms |
Clinical Signs |
|
|
Marijuana toxicity should be on the differential diagnosis of a child with a first-time seizure. THC may lower the seizure threshold in individuals already predisposed to development of seizure disorders. Acute intoxication also may cause seizure activity in severe cases.16 It has been suggested that the higher concentration of THC in today’s edible products and expanding availability of potent synthetic cannabinoid products may be associated with the rise in the occurrence of seizures in patients with cannabis and cannabinoid toxicity.16
Making an accurate diagnosis of marijuana intoxication in children often is complicated by the lack of reported history of exposure. This may occur in cases of unwitnessed ingestion in small children or in cases where reporting possession of marijuana may lead to legal consequences for parents.11,15,17 Having an index of suspicion for marijuana intoxication when evaluating children vomiting or with signs of CNS depression or paradoxical agitation or seizures is critical, as an accurate history may prevent unnecessary diagnostic testing.11,17,19
Urine toxicology screening may aid in diagnosis but is not necessary in patients with an appropriate history and physical exam findings. Urine levels do not correlate with the level of clinical intoxication or impairment.8,15 When available, blood THC concentrations of 2.5 ng/mL to
4 ng/mL or greater correlate with significant intoxication. Hemp products that do not contain psychoactive components still may cause false-positive urine testing for THC.8
Management
Activated charcoal can bind marijuana and THC-containing products; however, it generally is not necessary except potentially in the case of extremely large ingestions.8
Many cases of pediatric marijuana intoxication can be managed with supportive care alone.13,16 A calm, quiet environment may be all that is necessary in mild cases. Benzodiazepines may be used to treat agitation and seizure activity. Intravenous fluids can be used in cases of clinically significant hypotension.
In severe cases with alterations in consciousness, particularly significant CNS depression, admission may be required. Exposure via THC-containing vaping fluid and edibles is more likely to lead to admission.14 Rarely, intubation may be required for airway protection.17
Children should be observed for four to six hours. Symptoms lasting 24 hours or longer may be expected with large oral ingestions of marijuana-containing edibles.15
The prognosis for marijuana-intoxicated children generally is good with appropriate supportive care. No deaths attributable to marijuana edibles in children have been documented at this time.15
Button Batteries
Epidemiology
Seven percent to 25% of pediatric foreign body ingestions involve button batteries, making them second only to coins in frequency of objects ingested by children.20 They can be found in many household items, including toys, watches, remote controls, car keys, hearing aids, and lights.21,22
Cases of button battery ingestion have been increasing as their inclusion in household products increases.22 Button batteries also have become increasingly large and powerful, which further increases the risk of complications when ingested.2,20
Button batteries are composed of two metallic discs. The larger disc, which contains the identification information for the battery size and chemistry, is the cathode; the smaller disc is the anode.21 The chemical components are variable depending on the manufacturer and intended application of the battery.21 Knowledge of the size, composition, and voltage of the battery may help predict the potential severity of injury.2
Demographically, button battery ingestions occur more frequently in boys than girls and peak between the ages of 6 months and 3 to 5 years of age.2,20,22 Children in this age range are at highest risk for complications because of the relatively narrow diameter of the esophagus at this age.2,20
Mechanism of Action
In the esophagus, the most common sites at which a button battery becomes stuck are the relatively narrow areas near the thoracic inlet, aortic arch, and gastroesophageal junction.21
Button batteries cause tissue damage via formation of an electrical circuit consisting of the anode and cathode of the battery and the mucosa of the esophagus. The current induces the formation of hydroxide radicals, which contribute to the rise in local pH to between 10 and 13. Caustic injury and liquefactive necrosis ensue.2,21
The longer the contact with mucosa in the esophagus, the greater the risk of tissue damage. Tissue injury can occur in as little as 15 minutes and may progress even after button battery removal. Unwitnessed ingestions are associated with a disproportionate risk of complications because of the prolonged time from ingestion to identification and battery removal.2
Lithium batteries and batteries greater than 20 mm in diameter tend to cause greater damage than other types because of the high voltage and greater tendency to get stuck in the esophagus, respectively.2,20,21,23 New batteries and those with a high storage capacity also may cause greater damage than those that have been used.2,21
Nasal insertion of button batteries results in mucosal damage, followed by the possibility of septal perforation, nasal adhesions, and saddle nose deformity through the same mechanisms that cause esophageal injury.21
The direction of the anode, the smaller of the two discs that make up the battery, should be noted, since tissues in proximity to it suffer greater injury than those near the cathode.2,21 Identification of the direction in which the anode is facing can predict eventual complications.20
Tissue damage may extend into adjacent structures, resulting not only in perforation of the esophagus but spondylodiscitis, tracheal perforation, vocal cord injury, and vascular injury.20 Stenosis and fistulae formation of the gastrointestinal (GI) tract may occur due to scar formation after the acute phase of injury.23
Clinical Presentation and Diagnosis
Obtaining an accurate history is critical but often difficult. If any history is obtainable, ascertaining the size of the battery, possible time of ingestion, and symptoms will help guide management.2 Signs of foreign body ingestion, such as choking, drooling, stridor, cough, chest pain, vomiting, dysphagia, odynophagia, and change in voice, may lead to imaging that demonstrates a foreign body consistent with a button battery. Some early cases may be asymptomatic.
In the case of an unwitnessed ingestion or otherwise limited history leading to delayed diagnosis, a patient may present with more severe symptoms, including hematemesis, hemoptysis, melena, weight loss, or fever.20,22 Respiratory symptoms should raise suspicion for tracheal injury.2,22
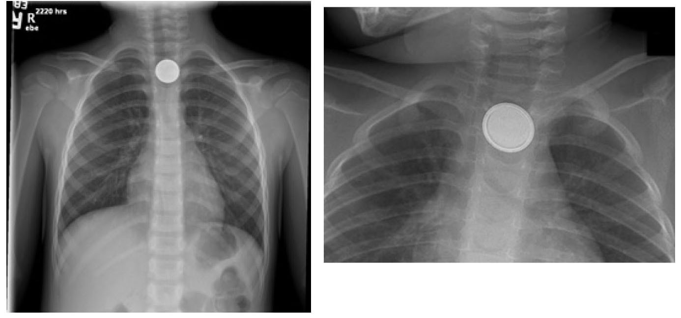
Anteroposterior and lateral plain films of the chest should be obtained.2,21 Also obtain abdominal radiographs in a patient without symptoms but with a history of button battery ingestion.2,21 The presence of a double ring or halo sign on an anteroposterior projection and a step-off sign on a lateral projection will help to differentiate a button battery from a coin.2,20-22 (See Figure 1.) Small, thin batteries may not have a reliably visualized step-off or halo sign because of their size.20
The location and orientation of the battery can predict complications. A button battery lodged in the proximal esophagus places the thyroid artery and vocal cords at risk for damage. In the midesophagus, formation of an aortoesophageal fistula is the greatest concern. Anode orientation anteriorly may be associated with injury to the trachea or great vessels. Posterior anode orientation places the patient at risk for spondylodiscitis.2 The presence of mediastinal air on imaging may signal development of mediastinitis.
Figure 1. Coin and Button Battery Appearance on Anteroposterior Chest X-Ray |
![]() |
Left: Coin in upper esophagus; Right: Button battery on X-ray; note “double halo” Images courtesy of: Chad D. McCalla, MD, and Crick Watkins, DO. |
Evaluation should include inspection for signs of complications, including GI perforation, vocal cord injury, mediastinitis, tracheoesophageal fistula, spondylodiscitis, pneumothorax, vascular injury, and anterior spinal artery syndrome.22
The most concerning complication of button battery ingestion is formation of an aortoenteric fistula, which causes the greatest number of deaths due to button battery ingestion and which can form up to several weeks after exposure.2,20
The esophagus is not the only location in which button batteries may become stuck in a pediatric patient. Insertion into the nose, ears, rectum, or vagina may cause local irritation or tissue damage and may present as pain, bleeding, or abnormal discharge.22
Ascertaining the size of the battery, location within the respiratory or GI system, possible time of ingestion, and symptoms will help guide management.2
Management
Prehospital treatment may include the oral administration of honey or sucralfate 10% (1 g/10 mL) suspension prior to definitive management. These agents are proposed to slow tissue damage by coating the battery and neutralizing the hydroxide produced through the reaction between the battery and esophageal tissue.20 The suggested dose for honey or sucralfate is 10 mL (2 teaspoons) given every 10 minutes.
Up to six doses of honey and three doses of sucralfate may be given, unless the child is vomiting, in which case repeat dosing should be held.20,23 Honey should not be given to children younger than 1 year of age because of increased risk of botulism.23 Robust human data to support improved clinical outcomes are lacking, but expert opinion is that the benefits may outweigh the risks.20,23,24
Figure 2 demonstrates a simplified algorithm for the management of uncomplicated button battery ingestions. Endoscopy is the cornerstone of management for esophageal button batteries. It allows both removal of the battery and direct visualization of the extent of local tissue injury.
Figure 2. Management of Button Battery Ingestions Without Initial Concern for Airway or Vascular Involvement |
![]() |
In symptomatic patients and patients at high risk for complications (age younger than 5 years or button battery diameter greater than 15 mm to 20 mm), endoscopy should be performed as soon as possible to limit the risk of complications.21 Endoscopy should not be delayed even if the patient has eaten recently.2,20,21,22
In cases where the battery has been in situ for a prolonged period or vascular involvement is suspected, vascular imaging and co-management with cardiothoracic surgery should be considered. If the battery is located above the clavicles or in the airway, collaboration with otolaryngology is recommended.20
If tissue injury is noted on endoscopy, further imaging with computed tomography (CT) scanning (or magnetic resonance imaging [MRI] if the battery has been removed) can further define injury to surrounding structures, including the great vessels.20,21 CT also should be considered prior to endoscopy in patients who present with severe symptoms or who have had a delay in presentation or diagnosis made greater than 12 hours after ingestion.20,21
Post-endoscopy management is controversial. Second-look endoscopy vs. CT or MRI to re-evaluate tissue injury and identify delayed complications is debated in terms of method, timing, and utility.2
Not all patients require immediate endoscopy or intervention. Most button batteries will pass through the GI tract once they transit the lower esophageal sphincter; only 7% of batteries identified in the stomach and less than 2% of those in the small intestine will not pass spontaneously.20
Patients who can be managed expectantly include asymptomatic patients who have ingested a battery less than 2 cm in diameter and which is distal to the esophagus.2,20,22 Endoscopic or surgical intervention may be required if the battery does not pass the pylorus or duodenum within two to four days on repeat X-rays.20,22,23
For batteries initially identified in the small intestine, repeat X-rays should be performed after 10-14 days to ensure progress through the GI tract.22,23 Failure of progression is an indication for endoscopic or surgical intervention.20
Parents also should monitor the patient’s stool to identify passage of the battery. If the patient develops symptoms such as abdominal pain, hematemesis, or bloody stools, surgical removal of the battery should be pursued.20,22
If the button battery has passed into the stomach or distal GI tract, esophageal endoscopy still may be warranted. This is especially true in cases of delayed presentation or intervention in which esophageal injury may have occurred prior to distal movement of the battery, and in patients with a history of esophageal disease.2,20,21
All patients who are symptomatic and/or require endoscopic or surgical intervention should be admitted to the hospital for monitoring.2,20 Children should be made nil per os (NPO) initially. In cases of severe mucosal damage, a nasogastric tube may be inserted under direct visualization to facilitate enteral feeding until sufficient mucosal healing takes place.2,20 Diet is advanced based on improvement in symptoms and on the presence of complications identified on repeat endoscopy or imaging.20
Indications for discharge from the hospital include tolerance of an oral or tube feed diet, resolution of symptoms, and absence of signs of vascular involvement.2 Parents should be counseled to observe for signs of upper GI bleeding that may herald an aortoesophageal fistula. Unfortunately, even with an uncomplicated hospital course, aortoesophageal fistula formation and death from exsanguination or suffocation may occur days to four weeks after ingestion.2,20
Aortoesophageal fistula may present suddenly and may be difficult to manage.2 If caught early, it may be managed surgically and supportively with blood products and airway intervention as needed. Fistula formation with other nearby arteries also may lead to significant blood loss or suffocation.20
Patients with significant esophageal mucosal injury require long-term follow-up for possible esophageal stricture and stenosis development. The risk of stricture formation and stenosis is increased in cases of circumferential injuries to the esophagus.2 Repeat endoscopy with dilation as early as four weeks after ingestion may be performed. Dilation earlier than four weeks is associated with a high risk of esophageal perforation.2
Cigarettes/Tobacco/Nicotine
Epidemiology
Nicotine is an alkaloid that was originally isolated from the tobacco plant, Nicotiana tabacum. Children may encounter nicotine through ingestion of cigarettes, cigars, or other traditional tobacco products; ingestion or dermal contact with e-cigarette liquids and cartridges; contact with nicotine-containing pesticides; and ingestion of smoking cessation products, such as nicotine patches or gum. E-cigarette solutions contain a mixture of ingredients that may include nicotine, preservatives, propylene glycol, flavoring, and other constituents.25
Most cases of nicotine toxicity in pediatric patients results from ingestion, and greater than 80% of reported cases occur in children younger than 3 years of age.26 Most severe cases occur in children younger than 5 years of age.25
The incidence of toxicity from e-cigarettes is increasing in children.18 Several thousand cases of toxicity from liquid nicotine products are reported to the National Poison Data System each year.26 This may be partly because of attractive packaging and flavoring that may lead to confusion with food products, such as candy.
While a bitter taste of tobacco and nicotine may limit consumption of an entire cigarette or cigar, flavoring added to other products may encourage consumption of other nicotine-containing products. The lack of rigorous quality control and regulations of contents or packaging further exacerbates this issue.18,27
Ingestion is the major reported route of exposure leading to toxicity; however, absorption of e-cigarette liquid across the skin may lead to significant toxicity as well. Other routes of exposure reported include inhalation and ocular absorption.18
Mechanism of Action
Nicotine can be absorbed through skin and across mucous membranes, including alveoli and GI mucosa.25 It is quickly absorbed and redistributed to the CNS.8 Oral bioavailability is estimated between 30% to 40%.8 It is rapidly metabolized and excreted in the urine.8 Nicotine is transformed into inactive metabolites, including cotinine, that can be measured in the serum.25
Nicotine binds to acetylcholine receptors, primarily of the sympathetic nervous system.8,25 At high doses, there is loss of nicotinic acetylcholine receptor specificity and parasympathetic effects are present.25,27 At extremely high concentrations, nicotine may bind to these receptors with such avidity to cause neuromuscular blockage and death.8,27
A dose of nicotine greater than 0.2 mg/kg in children may lead to clinically significant toxicity. Greater than 0.5 mg/kg to 1 mg/kg could be lethal in a child, although some estimate a lethal dose is higher at 6.5 mg/kg to 15 mg/kg.8,13,25,27
The nicotine content of products varies greatly. The average cigarette butt typically contains 5 mg to 7 mg of nicotine, while the entire cigarette may contain 10 mg to 15 mg.8,13 (See Table 3.)
Table 3. Nicotine Content of Commonly Encountered Products |
|
Product |
Nicotine Content (estimated) |
Cigarette |
10 mg to 15 mg |
Moist snuff container |
30 g |
Tobacco tablet |
1 mg |
Nicotine gum |
2 mg to 4 mg |
Transdermal nicotine patch |
7 mg, 14 mg, 21 mg |
Nicotine nasal spray |
1 mg (per spray) |
Nicotine inhaler cartridge |
10 mg |
Nicotine lozenge |
2 mg to 4 mg |
E-cigarette liquid |
10 mg/mL to 36 mg/mL |
While nicotine gum typically contains 2 mg to 4 mg per piece, its slow absorption typically limits toxicity from chewing or ingestion.8 The same applies for ingestion of cartridges from nicotine inhalers; they may contain 10 mg of nicotine, but the cartridge releases the nicotine slowly enough that toxic effects are limited if one is ingested.8
Clinical Presentation and Diagnosis
Initial symptoms of nicotine toxicity include burning sensation of the mouth and throat, nausea, vomiting, dizziness, diaphoresis, abdominal pain, and headache.8,25 Muscarinic cholinergic symptoms occur at higher doses and may include miosis, increased respiratory secretions, salivation, diarrhea, and increased urination.25,27
Initial tachycardia and hypertension may be replaced by hypotension as severity of intoxication increases with greater exposures.8,25 Difficulty breathing, muscle weakness, dysrhythmias, lethargy, confusion, seizures, and coma may occur in severe cases.8,25 (See Table 4.) Respiratory weakness is the most frequent cause of death.8
Table 4. Signs and Symptoms of Nicotine Toxicity |
|
Symptoms |
Clinical Signs |
|
|
Symptoms may begin within 15 minutes and dissipate as quickly as one to two hours after exposure. The timeline of symptoms and resolution will vary significantly depending on the type of ingestion, amount ingested, and presence of coingestions.8
Diagnosis typically is made via history of an appropriate exposure and symptom constellation. Providers should enquire about the time of ingestion, type of product, and occurrence of vomiting or seizure activity after exposure.8,25
Nicotine and conitine, a nicotine metabolite, can be detected on routine urine toxicology screens. Detection is reported as present or not; a specific request is required if a level is needed. Levels are not commonly reported because of the high rate of positivity given the prevalence of nicotine use and exposure in the community.8 Levels are neither useful nor necessary for guiding management.
Management
Activated charcoal can be given if it can be administered within one hour of oral ingestion and patients are not vomiting. Skin and mucous membranes that have been exposed to liquid nicotine products should be irrigated thoroughly with soap and water, and contaminated clothing should be removed and disposed of.
Gastric lavage or whole bowel irrigation may be used for exposures to formulations that are slowly absorbed from the GI tract, but consultation with a medical toxicologist or poison control center is recommended before initiating their use.8,25 Extracorporeal removal techniques, such as hemodialysis, do not play a role in the management of nicotine toxicity.8,25
Asymptomatic patients and those with minimal symptoms should be observed for four to six hours prior to discharge in case there is a delay in symptom onset. If a patient has ingested gum, transdermal patches, or nicotine tablets, a 12- to 24-hour period of observation is recommended because of the possibility of delayed absorption and symptom onset.8
Supportive care is adequate for mild cases and includes benzodiazepines as needed for agitation and seizure activity, antiemetic medications for nausea and vomiting, and IV fluid hydration as clinically warranted.13,25
Atropine can be used to manage symptoms of muscarinic cholinergic toxicity and should be titrated to the drying of airway secretions. It also may improve bradycardia, salivation, and wheezing from cholinergic toxicity.13,25
Mecamylamine is a nicotine antagonist that has limited utility in clinical practice since it is only available as an orally administered tablet. Because of its route of administration, it has limited utility in severely intoxicated patients.8
Severely poisoned children may require admission, although this is uncommon. One study demonstrated a 1.4% admission rate for children exposed to liquid nicotine products.26
Water Intoxication
Epidemiology
Hyponatremia is the leading cause of seizures in atraumatic non-febrile infants with an otherwise normal physical examination. It is responsible for perhaps 70% of such cases based on a retrospective chart review.28
Hyponatremia may be caused by water intoxication, which has many possible causes. Etiologies include improper dilution of formula or other liquids, swallowing excessive water during water recreation, inappropriate dilution of tube feeds, as a form of child abuse, or hydration with dilute fluids in the setting of dehydration due to physical activity or illness.29-31 Hyponatremia also may occur as a side effect of certain medications, due to polydipsia from psychiatric conditions, or other organic pathology.
Mechanism of Action
Water intoxication is caused by either the excessive intake of free water or insufficient free water excretion by the kidneys. Serum hypotonicity resulting from hyponatremia causes water to diffuse from the extracellular space to the intracellular space, causing cellular edema and cellular dysfunction.29,30
The more acute the change in sodium levels, the greater the risk for severe symptoms and complications. The lack of time for the development of cellular adaptations that prevent excessive free water translocation into the cells is responsible for the severity of symptoms in acute cases.30
Renal function is closely tied to the development of hyponatremia. In an otherwise healthy patient, hyponatremia develops when water intake and renal reabsorption outpace the amount that the kidney can excrete. Infants have underdeveloped renal function compared to older children and adults and are at higher risk for water intoxication.28,30
Swelling within the brain leads to neurologic dysfunction. Neurologic dysfunction is of particular concern in pediatric patients, since a child’s skull has limited capacity to accommodate cellular swelling because of their larger brain-to-skull size ratio coupled with the rigidity of the skull itself.29,30
The first 48 hours after the onset of significant hyponatremia is associated with increased risk of cerebral edema. Cerebral edema may cause lethal cerebral herniation and compression of the brainstem.30
Clinical Presentation and Diagnosis
Children with water intoxication may complain of nausea, vomiting, fatigue, headaches, and blurry vision.29,30 Other signs and symptoms include diarrhea, hypothermia, muscle tremors, confusion, altered mental status, irritability, seizures, respiratory distress or arrest, and coma.29 Seizures may be focal or generalized. Status epilepticus, cerebral edema, and central pontine myelinolysis are responsible for the greatest morbidity and mortality in these patients.30
Water intoxication should be on the differential diagnosis for children who present with seizures or status epilepticus, particularly when accompanied by hypothermia. Hyponatremia on laboratory studies supports the diagnosis.
Additional testing may help determine the etiology of hyponatremia. Additional studies may include thyroid hormone levels, glucocorticoid levels, serum osmolarity, urine osmolarity, and urine sodium levels. Imaging of the chest or brain, guided by symptoms, may be useful as well.
An assessment of the patient’s overall fluid status should be made to determine whether the patient is hypervolemic, normovolemic, or hypovolemic.30 A patient with water intoxication often will be hypervolemic or normovolemic with hypochloremia, low serum and urine osmolarity, and low urine sodium levels.32
Management
In the presence of severe symptoms, particularly neurologic, hypertonic saline (3% NaCl 3 mL/kg to 5 mL/kg) should be given. Seizures due to hyponatremia may be refractory to standard anticonvulsant treatments such as benzodiazepines.28 The serum sodium level should be monitored every two hours to prevent rapid over-correction of the serum sodium level that may cause central pontine myelinolysis; the level should be corrected by no greater than 12 mEq/L over 24 hours.30,32
In the absence of severe neurologic symptoms, the method and rate of sodium correction is guided by the suspected acuity of onset of hyponatremia prior to presentation. Options include water restriction, normal saline or other intravenous fluid administration with similar tonicity to plasma, and diuresis in settings.29
Supportive care for respiratory depression, coma, seizures, and other symptoms should follow standard treatment algorithms and occur in addition to treatment of hyponatremia. As expected, prolonged seizure activity and hypoxia will worsen any ongoing end-organ damage and should be addressed expediently.
Hydrocarbon Ingestion
Epidemiology
Many household products contain hydrocarbons, including cooking fuels, lighters, automobile oil and gasoline, glues, paints and paint thinners, solvents, cleaning products, and lotions.8,33,34 These products may be stored in unlabeled bottles or containers that children handle or ingest inadvertently.35 In impoverished areas, pediatric toxicity from exposure to these products may be especially common compared with other toxins.36
Whereas children younger than 5 years of age typically are the victims of exploratory ingestions, adolescents more commonly abuse hydrocarbons to achieve a high.34 Up to 20% of adolescents and teenagers may have abused volatile hydrocarbon products to attain a high, most commonly paints, solvents, or gasoline.34 Methods of abuse include breathing in vapors of hydrocarbon soaked onto a rag (“huffing”), directly inhaling a product in its original or other container (“sniffing”), and inhaling a hydrocarbon contained in a bag (“bagging”).34
Boys are more likely than girls to have clinically significant toxicity and to require admission, which may stem from behavioral differences.35,36
Mechanism of Action
Hydrocarbons are compounds that consist of carbon and hydrogen atoms. Many of the hydrocarbons found in the household are derived from petroleum or wood.34 Aromatic (ring-shaped) and halogenated hydrocarbons are associated with more severe toxicity than others.34 Other hydrocarbon structures include alipathic (straight-chain) and those with alcohol, ketone, ether, and other moieties.
Certain properties confer greater propensity to cause toxicity. Those hydrocarbons with lower viscosity and surface tension are associated with increased aspiration risk, and those with higher volatility are associated with increased inhalational toxicity.34 Kerosene, lighter fluid, lamp oil, and naphtha are examples of hydrocarbons with low viscosity and surface tension. Conversely, mineral oil, petroleum jelly, and motor oil are high in viscosity and are more difficult to aspirate based on this property.
Hydrocarbons cause destruction of alveolar and capillary membranes. They also directly alter existing surfactant and disrupt surfactant production. Pulmonary edema, pulmonary hemorrhage, and acute respiratory distress syndrome (ARDS) may occur upon aspiration, which causes ventilation/perfusion mismatch.34
Some hydrocarbons can cross the blood brain barrier and induce direct neuronal cytotoxicity. Hypoxia and/or hypercarbia resulting from inhalation (bagging) or aspiration of hydrocarbons may exacerbate any direct CNS toxicity.34 Chronic abuse or exposure may result in white matter degeneration and peripheral demyelination.34,37
Hydrocarbons are mucosal irritants, leading to GI distress and even perforation in severe cases of oral ingestion.34 Alipathic hydrocarbons are poorly absorbed from the GI tract and cause little to no systemic toxicity if ingested. Aromatic, halogenated, and other substituted hydrocarbons cause greater systemic toxicity, since they are more likely to be absorbed from the GI tract into systemic circulation.8
Subcutaneous and intramuscular injections of hydrocarbons can cause liquefactive necrosis and inflammatory reactions.8
Certain hydrocarbons characteristically target specific organs or metabolic processes in the body. Chlorinated hydrocarbons are associated with hepatotoxicity.34,37 Benzene causes bone marrow toxicity and results in pancytopenia. Toluene may cause renal tubular acidosis and hypokalemia, the latter more commonly. Methylene chloride is associated with carboxyhemoglobinemia, since carbon monoxide is formed during its metabolism. Hydrocarbons with amine moieties may cause methemoglobinemia.34
Clinical Presentation and Diagnosis
Acute hydrocarbon toxicity may present with a burning sensation in the mouth or throat, choking sensation, coughing, shortness of breath, nausea, vomiting, abdominal pain, tremors, agitation, hallucinations, and depressed consciousness. Symptoms may begin minutes to several hours after exposure. Pulmonary symptoms are most common.34,35 Rashes consistent with contact dermatitis or acute irritation and soft tissue necrosis may occur if significant skin contact occurs.34 (See Table 5.)
Table 5. Signs and Symptoms of Hydrocarbon Toxicity |
|
Symptoms |
Clinical Signs |
|
|
Chronic exposure also is associated with reactive airway disease, chronic headaches, peripheral neuropathy, and cognitive impairment.34,38 Defatting dermatitis may result from chronic dermal exposure.
Pulmonary toxicity most commonly results in chemical pneumonitis. The severity of chemical pneumonitis often peaks around 48 hours after an acute exposure.39 Pulmonary hemorrhage and necrosis, pneumothorax, pneumatocele, and bronchopleural fistulation also may occur. Pulmonary complications may be delayed and seen on imaging days to weeks after initial exposure.34,35,39
Arrhythmias may occur due to myocardial sensitization and catecholamine surges, particularly if exposed to aromatic or halogenated hydrocarbons.8,37 Rhythms may include ventricular tachycardia and ventricular fibrillation with resultant cardiac arrest. A phenomenon known as “sudden sniffing death syndrome” occurs when an individual has been inhaling a hydrocarbon and experiences a catecholamine surge due to a strong emotional stimulus or physical activity. This may result in a lethal arrhythmia.34
Evaluation should include a thorough history and physical exam, electrocardiogram, basic metabolic profile, liver function tests, and a complete blood count. Imaging of the chest may be considered on presentation based on the presence of pulmonary symptoms, although waiting to perform chest X-ray in an asymptomatic patient until the end of an observation period is appropriate.34,36 Imaging may demonstrate pneumothorax, pneumomediastinum, subcutaneous emphysema (all reported following kerosene exposure), and pulmonary infiltrates. Some chest X-ray abnormalities may not appear for 24 hours after exposure.8
Management
Decontamination options are limited. External decontamination with water irrigation should occur in cases of skin exposure. Contaminated clothing should be removed. Providers should take care when handling items removed from a contaminated patient. Gastric lavage and activated charcoal have limited benefit given the quick absorption of hydrocarbons from the GI tract, and these procedures increase the risk of pulmonary aspiration.34,37
Supportive care is adequate for many cases of hydrocarbon toxicity. Many mild to moderate symptoms will resolve spontaneously. Patients should be placed on continuous cardiac and pulse oximetry monitors. Provide supplemental oxygen as needed. In severe cases, positive pressure ventilation or intubation may be required.34,36 Electrolytes should be repleted to normal levels when derangements occur.36 Benzodiazepines can be used to treat agitations, seizures, and hyperpyrexia.33,36
Arrhythmias and hypotension should not be treated using alpha or beta receptor agonists since they may worsen the arrhythmia. Hydrocarbons, mostly in halogenated forms, may increase myocardial sensitivity to pressors, such as epinephrine, leading to cardiac arrest. They also may have negative inotropic, dromotropic, and chronotropic effects on the myocardium, possibly due to altered function of calcium, potassium, and sodium channels in the myocardium.40 Beta-blockers, such as esmolol and propranolol, or lidocaine are recommended for management of abnormal rhythms.33,34,37
Certain hydrocarbons require specific treatment considerations.34 Significant carboxyhemoglobinemia from methylene chloride toxicity should be managed with supplemental oxygen or hyperbaric oxygen if severe symptoms and elevated carboxyhemoglobin levels are present. Initiation of hyperbaric oxygen treatment should be guided by standard treatment algorithms. Methemoglobinemia from certain hydrocarbon exposures should be treated using methylene blue.8
Asymptomatic patients should be observed for six hours after inhalational exposure or an aspiration event. Chest X-rays on initial presentation may not correlate with the patient’s clinical status, and films must be repeated after the observation period.34,39 If at the end of the observation period the patient has a normal chest X-ray and normal oxygen saturation, the patient may be discharged.34 A patient not meeting these criteria should be admitted.
Patients exposed to hydrocarbons that are known hepatotoxins or known to be associated with delayed complications also should be admitted.34 Intensive care unit admission should be considered in cases of increased work of breathing, altered mental status, and seizures.39
The use of prophylactic antibiotics is controversial. Evidence currently recommends against their administration.8 Secondary pneumonia should be suspected in the presence of high-grade fever, rising white blood cell count, or worsening symptoms several days after the initial exposure.33,36
Corticosteroid treatment is similarly controversial, and evidence leans against its routine use.8,33,34 Steroids also may increase the risk of development of secondary bacterial infections.33
Many patients with minor exposures have positive outcomes. Features that place patients at risk for complications and increased risk of morbidity or mortality are hypoxemia on presentation, need for intubation, significant aspiration, and development of secondary pneumonia.33
Conclusion
Fortunately, many pediatric toxic exposures are minor and result in few to no symptoms. It is critical for healthcare providers to be aware of household substances that pose a serious risk of illness or death upon exposure to a small child. Even seemingly innocuous substances may pose a serious risk of toxicity. It also is important to consider toxidromes consistent with illicit drug ingestion, even in young children, since cases of exploratory ingestion of drugs belonging to other members of the household certainly occur. Consultation with a medical toxicologist or poison center is recommended in all cases, both for management recommendations and epidemiologic reporting.
Case Conclusion
The child was observed in the emergency department on a continuous cardiac and pulse oximetry monitor. During the first hour, he was noted to have coughing and tachypnea. His oxygen saturation measured via pulse oximetry declined to 90% on room air and he was placed on 4 liters of supplemental oxygen with return of saturation to within the normal range. The patient then was admitted to the pediatric intensive care unit (PICU) for monitoring and supportive care for hydrocarbon aspiration.
During his admission, he was noted to develop diffuse bilateral infiltrates on chest X-ray and was continued on supplemental oxygen via nasal cannula for one additional day in the PICU. He did not require escalation to positive pressure ventilation or intubation for hypoxia, work of breathing, or decline in mental status. By hospital day 3, the patient was free of supplemental oxygen, was able to tolerate a normal diet, and was discharged home to follow up with his pediatrician.
REFERENCES
- Tarango SM, Liu DR. Pediatric ingestions: Emergency department management. Pediatr Emerg Med Pract 2016;13:1-24.
- Leinwand K, Brumbaugh DE, Kramer RE. Button battery ingestion in children: A paradigm for management of severe pediatric foreign body ingestions. Gastrointest Endosc Clin N Am 2016;26:99-118.
- Prabhakar D. Exposure to potent hallucinogens in an adolescent: A case for high index of suspicion. Prim Care Companion CNS Disord 2013;15:PCC.13l01552.
- Ng PC, Banerji S, Graham J, et al. Adolescent exposures to traditional and novel psychoactive drugs, reported to National Poison Data System (NPDS), 2007-2017. Drug Alcohol Depend 2019;202:1-5.
- Zawilska JB, Kacela M, Adamowicz P. NBOMes-Highly potent and toxic alternatives of LSD. Front Neurosci 2020;14:78.
- DeGregorio D, Comai S, Posa L, Gobbi G. d-lysergic acid diethylamide (LSD) as a model of psychosis: Mechanism of action and pharmacology. Int J Mol Sci 2016;17:1953.
- Baquiran M, Al Khalili Y. Lysergic acid diethylamide toxicity. In: StatPearls. StatPearls Publishing;2022. https://www.ncbi.nlm.nih.gov/books/NBK553216/
- Olson KR, Anderson I, Benowitz N, et al. Poisoning & Drug Overdose. 7th ed. McGraw Hill Education; 2018.
- Leonard JB, Anderson B, Klein-Schwartz W. Does getting high hurt? Characterization of cases of LSD and psilocybin-containing mushroom exposures to national poison centers between 2000 and 2016. J Psychopharmacol 2018;32:1286-1294.
- Kyriakou C, Marinelli E, Frati P, et al. NBOMe: New potent hallucinogens--pharmacology, analytical methods, toxicities, fatalities: A review. Eur Rev Med Pharmacol Sci 2015;19:3270-3281.
- Gaudet A, Hogue K, Scott SD, et al. Acute pediatric cannabis intoxication: A scoping review. J Child Health Care 2022; May 9. doi:10.1177/13674935221099158. [Online ahead of print].
- Claudet I, Mouvier S, Labadie M, et al. Unintentional cannabis intoxication in toddlers. Pediatrics 2017;140:e20170017.
- Leetch A, Wormley M. An approach to household toxicological emergencies in the pediatric patient. Pediatr Emerg Med Rep 2016;21:145-156.
- Blohm E, Sell P, Neavyn M. Cannabinoid toxicity in pediatrics. Curr Opin Pediatr 2019;31:256-261.
- Murti M. Pediatric presentations and risks from consuming cannabis edibles. BCMJ 2017;59:398-399.
- Emoto J, Weeks K, Kallail KJ. Accidental acute cannabis intoxication presenting as seizure in pediatrics patients. Kans J Med 2020;13:129-130.
- Wang GS, Le Lait MC, Deakyne SJ, et al. Unintentional pediatric exposures to marijuana in Colorado, 2009-2015. JAMA Pediatr 2016;170:e160971.
- Wang B, Rostron B. Tobacco-related poison events involving young children in the US, 2001-2016. Tob Regul Sci 2017;3:525-535.
- Harvey T, Gomez R, Wolk B, Ozcan A. Varied presentations of pediatric patients with positive cannabinoid tests. Cureus 2022;14:e23493.
- Mubarak A, Benninga MA, Broekaert I, et al. Diagnosis, management, and prevention of button battery ingestion in childhood: A European Society for Paediatric Gastroenterology Hepatology and Nutrition Position Paper. J Pediatr Gastroenterol Nutr 2021;73:129-136.
- Semple T, Calder AD, Ramaswamy M, McHugh K. Button battery ingestion in children-a potentially catastrophic event of which all radiologists must be aware. Br J Radiol 2018;91:20160781.
- Agolli O, Agolli A, Hange N, Agadi K. Therapeutic dilemma and clinical issues in management of the button battery ingestion: A case report and literature review. Egyptian Pediatric Association Gazette 2021;69:37. https://doi.org/10.1186/s43054-021-00084-w
- Zipursky A, Ratnapalan S. Button battery ingestions in children. CMAJ 2021;193:E1498.
- Sheridan DC, Hughes A, Horowitz BZ. Pediatric ingestions: New high-risk household hazards. Pediatr Rev 2021;42:2-10.
- Seo AD, Kim DC, Yu HJ, Kang MJ. Accidental ingestion of E-cigarette liquid nicotine in a 15-month-old child: An infant mortality case of nicotine intoxication. Korean J Pediatr 2016;59:490-493.
- Kamboj A, Spiller HA, Casavant MJ, et al. Pediatric exposure to E-cigarettes, nicotine, and tobacco products in the United States. Pediatrics 2016;137:e20160041.
- Bassett RA, Osterhoudt K, Brabazon T. Nicotine poisoning in an infant. N Engl J Med 2014;370:2249-2250.
- Houck J, Ganti L, Vera AE. A case of hyponatremia-induced seizures in an infant secondary to water intoxication from the use of almond milk. Cureus 2019;11:e5899.
- Hsu WF, Wang CC, Chen SJ, et al. Water intoxication induced status epilepticus in two children. J Med Sci 2014;34:77-80.
- Joo MA, Kim EY. Hyponatremia caused by excessive intake of water as a form of child abuse. Ann Pediatr Endocrinol Metab 2013;18:95-98.
- Baird JS. Extreme hyponatremia in a child with vegetative state and water intoxication. Clin Pediatr (Phila) 2009;48:767-769.
- Hsu WF, Wang CC, Chen SJ, et al. Water intoxication induced status epilepticus in two children. J Med Sci 2014;34:77.
- Das S, Behera SK, Xavier AS, Selvarajan S. Prophylactic use of steroids and antibiotics in acute hydrocarbon poisoning in children. J Pharm Pract 2020;33:90-95.
- Brown KW, Armstrong TJ. Hydrocarbon inhalation In: StatPearls. StatPearls Publishing. 2021. https://www.ncbi.nlm.nih.gov/books/NBK470289/
- Tenenbaum A, Rephaeli R, Cohen-Cymberknoh M, et al. Hydrocarbon intoxication in children: Clinical and sociodemographic characteristics. Pediatr Emerg Care 2021;37:502-506.
- Karthika IK, Priyadarshini D, Nakka S, et al. Profile and outcome of childhood hydrocarbon poisoning: An observational study. Cureus 2021;13:e20144.
- Lamba I, Jadhav D, Shinde V. Hydrocarbon associated toxicities: A case series and review of literature. Asia Pac J Med Toxicol 2020;9:17-20.
- Al-Daghri NM, Alokail MS, Abd-Alrahman SH, et al. Polycyclic aromatic hydrocarbon exposure and pediatric asthma in children: A case-control study. Environ Health 2013;12:1.
- Makrygianni EA, Palamidou F, Kaditis AG. Respiratory complications following hydrocarbon aspiration in children. Pediatr Pulmonol 2016;51:560-569.
- Yoshioka W, Tohyama C. Mechanisms of developmental toxicity of dioxins and related compounds. Int J Mol Sci 2019;20:617.
- O’Donnell KA. Pediatric toxicology: Household product ingestions. Pediatr Ann 2017;46:e449-e453.
It is critical for healthcare providers to be aware of household substances that pose a serious risk of illness or death upon exposure to a small child. Even seemingly innocuous substances may pose a serious risk of toxicity.
You have reached your article limit for the month. Subscribe now to access this article plus other member-only content.
- Award-winning Medical Content
- Latest Advances & Development in Medicine
- Unbiased Content
Already have an account? Log in

