Mechanical Thrombectomy for Stroke
January 1, 2025
By Megan J. Rivera, MD; Jessica Wanthal, MD; Raelynn Vigue, MD; and Sreeja Natesan, MD
Executive Summary
- In a stroke, the affected brain regions include the ischemic core with irreversible damage, and the penumbra, a salvageable area that remains viable via collateral blood flow. The aim of treatments like thrombolysis or endovascular therapy are to restore perfusion to salvageable tissues and prevent infarction.
- Mechanical thrombectomy (MT) uses stent retrieval or contact aspiration to remove clots from a large vessel in acute ischemic stroke.
- Optimal results from MT occur when the intervention is performed within six hours of symptom onset in eligible patients with a thrombus in the internal carotid artery or proximal middle cerebral artery.
- Benefits from MT can be seen in selected acute ischemic stroke patients up to 24 hours after symptom onset.
- Intravenous thrombolysis does not preclude patients from undergoing MT. Even if MT is being considered, eligible patients presenting within the previously described time windows should receive intravenous thrombolytics.
- Patients with acute ischemic stroke who receive both medical therapy and MT within 24 hours of symptom onset have up to an 80% higher likelihood of achieving better functional outcomes at 90 days compared to those who only receive medical therapy.
Definition and Etiology
Stroke remains a global health crisis, affecting up to one in five individuals in high-income countries and nearly one in two individuals in low-income regions, making it the second leading cause of death worldwide.1 Advances in endovascular thrombectomy, including mechanical thrombectomy (MT), have revolutionized the management of acute ischemic stroke, offering significant reductions in patient disability and mortality rates.2-4
Endovascular therapy (EVT) and MT often are used interchangeably, but they can refer to slightly different aspects of the same treatment process for ischemic strokes caused by large vessel occlusions (LVOs). EVT is a broader term that encompasses any catheter-based intervention used to treat an ischemic stroke. It includes MT but also covers other techniques like intra-arterial thrombolysis (delivering clot-busting drugs directly to the clot), stent placement, or balloon angioplasty. EVT involves using a catheter inserted into the artery to access the clot or blockage, often via the femoral artery, to restore blood flow. MT is a specific type of EVT focused on physically removing the clot from the blocked vessel. MT typically uses specialized devices, such as stent retrievers or aspiration catheters, to capture and remove the clot, restoring blood flow and minimizing brain damage. For the purposes of this paper, we will be using MT.
While the standard treatment of intravenous thrombolysis for ischemic stroke has been expanded with the use of tenecteplase (TNK) as a safe alternative to alteplase (tPA), MT has emerged as a critical intervention, particularly for patients outside the thrombolytic window or with larger core infarcts and basilar artery occlusions.1,5 Recent randomized controlled trials (RCTs) have demonstrated the efficacy of MT, earning it a level Ia recommendation in stroke guidelines for select patients.2,4
Despite these advancements, ongoing knowledge gaps persist, including the optimal management of patients with low National Institutes of Health Stroke Scale (NIHSS) scores, medium or distal vessel occlusions, and underlying intracranial atherosclerotic disease.3 This paper focuses on MT for ischemic stroke due to LVO, particularly in patients who present beyond the thrombolytic window, exploring its expanded indications, clinical outcomes, and future directions. To learn more about acute stroke management, please refer to the Jan. 15, 2023, issue of Emergency Medicine Reports on evaluation and treatment of acute ischemic stroke.
Pathophysiology
Ischemic stroke due to LVO is characterized by sudden neurological deficits resulting from vascular occlusion.1,3 When a cerebral artery is acutely occluded, the interruption of oxygen and glucose supply initiates an ischemic cascade involving excitotoxicity, oxidative stress, and inflammation, leading to neuronal dysfunction and potential irreversible injury.3,6 The affected brain regions include the ischemic core, which likely is irreversibly damaged, and the penumbra, a salvageable area that remains viable via collateral blood flow. The aim of treatments like thrombolysis or EVT are to restore perfusion to salvageable tissues and prevent infarction. However, phenomena like microvascular obstruction and no-reflow can limit recovery despite successful macrovascular reperfusion.3
Relevance: The Importance of Early Recognition
Early recognition of stroke symptoms is critical for improving patient outcomes, with the mantra “time is brain” often used to help emphasize the point. The concept of reperfusion highlights that the penumbra, representing at-risk but salvageable brain tissue, can be rescued if blood flow is restored promptly.6 Timely intervention directly influences the ability to salvage ischemic penumbral tissue and prevents its progression to irreversible core infarction.
As noted in Table 1, landmark trials, including MR CLEAN, DAWN, and DEFUSE-3, have demonstrated that EVT significantly reduces disability in patients with LVO strokes, particularly within the early six- to 12-hour window and even up to 24 hours for carefully selected patients.3,6-9 In comparison, intravenous thrombolysis using alteplase and tenecteplase has proven efficacy when administered within three hours of symptom onset, with diminishing benefits as treatment is delayed beyond three hours.10
The strong treatment effect of MT, supported by extensive RCTs, underscores the importance of rapid identification and triage to maximize the therapeutic window and improve neurological outcomes. Patients with acute ischemic stroke who receive both medical therapy and mechanical thrombectomy within 24 hours of symptom onset have up to an 80% higher likelihood of achieving better functional outcomes at 90 days compared to those who only receive medical therapy.11,12
Table 1. Summary of Key Details of MR CLEAN, DAWN, and DEFUSE-3 Trials7,8,9,13 | |||
Trial | MR CLEAN | DAWN | DEFUSE-3 |
Published | 2015 | 2018 | 2018 |
Objective | Evaluate the efficacy of EVT for acute ischemic stroke | Assess EVT in patients with stroke onset 6-24 hours prior, using clinical-core mismatch criteria | Assess EVT in patients with stroke onset 6-16 hours prior, using perfusion imaging |
Study Design | RCT | RCT | RCT |
Eligibility | Patients with acute ischemic stroke due to large vessel occlusion (LVO) in the anterior circulation, within 6 hours of onset | Patients with LVO and clinical-core mismatch based on age, NIHSS, and infarct size, treated within 6-24 hours of onset | Patients with LVO and target mismatch profile on perfusion imaging, treated within 6-16 hours of onset |
Imaging | CTA or MRA to confirm LVO | Clinical-core mismatch using CT/MRI for infarct size ≤ 50 mL | Perfusion imaging (CTP or MRI) for target mismatch (penumbra-to-core ratio) |
Primary Outcome | Functional independence at 90 days (mRS score ≤ 2) | Functional independence at 90 days (mRS score ≤ 2) | Functional independence at 90 days (mRS score ≤ 2) |
Results | EVT significantly improved outcomes compared to standard care. | EVT showed significant improvement in functional independence, with reduced disability compared to standard care. | EVT led to better outcomes with significant functional improvement compared to standard care. |
Key Message | EVT is effective in improving functional outcomes for patients treated within 6 hours. | EVT is beneficial in selected patients with LVO up to 24 hours from onset based on clinical-core mismatch. | EVT is effective in patients with salvageable brain tissue up to 16 hours from onset using advanced imaging. |
EVT: endovascular therapy; RCT: randomized controlled trial; NIHSS: National Institutes of Health Stroke Scale; CTA: computed tomography angiography; MRA: magnetic resonance angiography; CT: computed tomography; MRI: magnetic resonance imaging; mRS: modified Rankin Scale | |||
Epidemiology
As noted, stroke is a leading cause of global mortality and disability, with nearly 12 million new cases and more than 7 million deaths annually, making it the second leading cause of death and the third leading cause of disability.1 By 2030, the global incidence of strokes is projected to rise to 23 million.14 Low- and middle-income countries (LMICs) bear 90% of the stroke-related deaths and disabilities.1 Women experience higher stroke incidence and prevalence than men (6.4 million vs. 5.8 million and 56.4 million vs. 45.0 million, respectively) and face worse functional outcomes, potentially due to disparities in access to advanced therapies such as MT.1 The global absolute incidence and prevalence of stroke increased by 70% and 85% between 1990 and 2019, largely due to population growth and aging.1
Notably, ischemic strokes among individuals aged 18-50 years have surged by 50% in the past decade, attributed to rising modifiable vascular risk factors like obesity, diabetes, and substance use, alongside improved diagnostic imaging.1 Socioeconomic disparities further exacerbate this burden by delaying symptom recognition, delays in hospital presentation, and access to treatments, highlighting the urgent need for equitable care strategies.14
Historical Features
Proper history taking is critical for patients presenting with concerns of a stroke, since the time of symptom onset will guide management. If patients are unable to participate in history taking or establish a time of when they were last known normal (LKN), it is essential to contact any reasonably available person who can reliably provide this information. This may include family members, friends, or healthcare facility staff. If a patient’s symptoms have started within the last 24 hours, they may be candidates for an MT.1
Beyond establishing the LKN, there are key historical elements that are essential to obtain. Such elements include asking about history of prior stroke or neurologic deficits, a history of low or abnormal blood sugar, seizure history, injury, alcohol/drug use, or symptoms of underlying infection.
Stroke symptoms can vary widely and range from subtle to severe. Nevertheless, rapid identification of stroke is essential because intervention is time-dependent. Attention is turned to focal neurologic deficits, such as limb weakness or numbness, sudden visual change, alteration in mentation, and difficulty with speech or gait. Less common symptoms include dizziness or seizures.
MT has evolved as an effective treatment for LVOs up to 24 hours after symptom onset, and outcomes of MT are more favorable if performed as soon as possible to symptom onset.15 Therefore, efforts have been made to improve layperson and emergency medical services (EMS) identification of LVO strokes with subsequent transport to an appropriate stroke-receiving facility.
Physical Examination
Mnemonics for quick stroke symptom recognition have been employed as public health initiatives, with FAST (see Table 2) and BEFAST (see Table 3) among the most commonly used in the United States.16,17 The presence of any one of the individual symptoms or signs indicates the possibility of an acute stroke.
Table 2. FAST Mnemonic for Stroke Recognition | |
FAST mnemonic16 | Symptom |
F: Face | Drooping/weakness |
A: Arm | Weakness |
S: Speech | Slurred speech, difficulty speaking, or unable to speak |
T: Time | Time to call 911 |
Table 3. BEFAST Mnemonic for Stroke Recognition | |
BEFAST mnemonic17 | Symptom |
B: Balance | Difficulty with balance and coordination |
E: Eyes | Blurry vision, diplopia, loss of vision |
F: Face | Drooping/weakness |
A: Arm | Weakness |
S: Speech | Slurred speech, difficulty speaking, or unable to speak |
T: Time | Time to call 911 |
Common prehospital mnemonics used by EMS personnel include the Los Angeles Motor Scale (LAMS), Rapid Arterial Occlusion Evaluation Scale (RACE), and the Cincinnati Prehospital Stroke Severity Scale (CP-SSS).18 The LAMS evaluates three components, and each component is scored 0-1 or 0-2, with a maximum score of 5. A score of 4 or 5 indicates a higher likelihood of an LVO, with a sensitivity of about 75% and a specificity of about 65%.19
The RACE scale evaluates five components and each component is scored from 0-2 or 0-1, with a maximum score of 9. A score of 5 or higher indicates a greater likelihood of an LVO, with a sensitivity of about 85% and a specificity of about 70%.20
The CP-SSS evaluates four components, and each component is scored 0-1 or 0-2, with a maximum score of 4. A score of 2 or higher indicates a greater likelihood of an LVO, with a sensitivity of about 60% and a specificity of about 80%.21
In the hospital, providers traditionally use the NIHSS (see Table 4) or modified NIHSS to guide and document their physical exam.22,23 The NIHSS is used for initial assessment and reassessment to determine progression of the patient’s symptoms using a standardized framework well accepted among the neurology specialty.
Table 4. National Institutes of Health Stroke Scale | ||
Score | ||
1a Level of consciousness | Alert; keenly responsive | 0 |
Not alert; but arousable by minor stimulation to obey, answer, or respond | 1 | |
Not alert; requires repeated stimulation to attend, or is obtunded and requires strong or painful stimulation to make movements (not stereotyped) | 2 | |
Responds only with reflex motor or autonomic effects,or totally unresponsive, flaccid, and areflexic | 3 | |
1b Level of consciousness Patient is asked the month and his/her age | Answers both questions correctly | 0 |
Answers one question correctly | 1 | |
Answers neither question correctly | 2 | |
1c Level of consciousness Patient is asked to open and close eyes adn then grip and release nonparetic hand | Performs both tasks correctly | 0 |
Performs one task correctly | 1 | |
Performs neither task correctly | 2 | |
2 Best gaze | Normal | 0 |
Partial gaze palsy; gaze is abnormal in one or both eyes, but forced deviation or total gaze paresis is not present | 1 | |
Forced deviation, or total gaze paresis is not overcome by the oculocephalic maneuver | 2 | |
3 Visual | No visual loss | 0 |
Partial hemianopia | 1 | |
Complete hemianopia | 2 | |
Bilateral hemianopia (blind, including cortical blindness) | 3 | |
4 Facial palsy | Normal symmetrical movements | 0 |
Minor paralysis (flattened nasolabial fold, asymmetry on smiling) | 1 | |
Partail paralysis (total or near-total paralysis of lower face) | 2 | |
Complete paralysis of one or both side (absence of facial movement in the upper and lower face) | 3 | |
(continued) Adapted from: National Institute of Neurological Disorders and Stroke. NIH Stroke Scale. https://www.ninds.nih.gov/health-information/stroke/assess-and-treat/nih-stroke-scale | ||
Table 4. National Institutes of Health Stroke Scale | ||
Score | ||
5 Motor arm | No drift; limb hold 90 (or 45) degrees for full 10 seconds | 0 |
Drift; limb holds 90 (or 45) degress, but drifts down before full 10 seconds; does not hit bed or other support | 1 | |
Some effort against gravity; limb cannot get to or maintain (if cued) 90 (or 45) degrees, drifts down to bed but has some effort against gravity | 2 | |
No effort against gravity; limb falls | 3 | |
No movement | 4 | |
Amputation or joint fusion, explain: | UN | |
6 Motor leg | No drift; leg holds 30-degree position for full 5 seconds | 0 |
Drift; leg falls by the end of the 5-second period but does not hit the bed | 1 | |
Some effort against gravity; leg falls to bed by 5 seconds but has some effort against gravity | 2 | |
No effort against gravity; leg falls to bed immediately | 3 | |
No movement | 4 | |
Amputation or joint fusion, explain: | UN | |
7 Limb ataxia | Absent | 0 |
Present in one limb | 1 | |
Present in two limbs | 2 | |
Amputation or joint fusion, explain: | UN | |
8 Sensory | Normal; no sensory loss | 0 |
Mild-to-moderate sensory loss; patient feels pinprick is less sharp or is dull on the affected side; or there is a loss of superficial pain with pinprick, but patient is aware of being touched | 1 | |
Severe or total sensory loss; patient is not aware of being touched in the face, arm, and leg | 2 | |
UN: untestable (continued) Adapted from: National Institute of Neurological Disorders and Stroke. NIH Stroke Scale. https://www.ninds.nih.gov/health-information/stroke/assess-and-treat/nih-stroke-scale | ||
Table 4. National Institutes of Health Stroke Scale | ||
Score | ||
9 Best language | No aphasia; normal | 0 |
Mild-to-moderate aphasia; some obvious loss of fluency or facility of comprehension, without significant limitation on ideas expressed or form of expression. Reduction of speech and/or comprehension; however, makes conversation about provided materials difficult or impossible. For example, in conversation about provided materials, examiner can identify picture or naming card content from patient’s response | 1 | |
Severe aphasia; all communication is through fragmentary expression; great need for inference, questioning, and guessing by the listener. Range of information that can be exchanged is limited; listener carries burden of communication. Examiner cannot identify materials provided from patient response | 2 | |
Mute, global aphasia; no usable speech or auditory comprehension | 3 | |
10 Dysarthria | Normal | 0 |
Mild-to-moderate dysarthria; patient slurs at least some words and, at worst, can be understood with some difficulty | 1 | |
Severe dysarthria; patient’s speech is so slurred as to be unintelligible in the absence of or out of proportion to any dysphasia, or is mute/anarthric | 2 | |
Intubated or other physical barrier, explain: | UN | |
11 Extinction and inattention | No abnormality | 0 |
Visual, tactile, auditory, spatial, or personal inattention, or extinction to bilateral simultaneous stimulation in one of the sensory modalities | 1 | |
Profound hemi-inattention or extinction to more than one modality; does not recognize own hand or orients to only one side of space. | 2 | |
UN: untestable Adapted from: National Institute of Neurological Disorders and Stroke. NIH Stroke Scale. https://www.ninds.nih.gov/health-information/stroke/assess-and-treat/nih-stroke-scale | ||
Since neurologic outcomes are closely tied to the time of intervention, these tools are aimed at quickly identifying patients who may be having a stroke.
Differential Diagnosis
The differential diagnosis for ischemic stroke is broad, with both neurologic and non-neurologic causes, as detailed in Table 5.
Table 5. Ischemic Stroke Mimics |
|
Diagnostic Studies
Neuroimaging is used in the selection of patients for MT. Various modalities can be employed to assess not only for the presence of an LVO, but also to evaluate which patients are likely to see benefit from the procedure. (See Figure 1.)
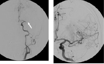
Figure 1. Neurovascular Imaging for an Acute Ischemic Stroke Patient Undergoing Evaluation for Endovascular Intervention |
Case: An 84-year-old man with hypertension, coronary artery disease status post-bypass, and stenting presented to the emergency department with acute onset aphasia and right hemiparesis. The initial NIHSS was 12. Noncontrast head CT ruled out hemorrhage and found no early ischemic changes (ASPECTS 10). CTA demonstrated an occlusion of the proximal MCA. The patient was outside of the window for IV tPA. Groin puncture occurred within six hours of onset. The interventionalist achieved full recanalization with a single pass of a stent-retriever device. The patient was found to have atrial fibrillation as the cause of his stroke. He was discharged home with full strength and minor aphasia. |
![]() |
NIHSS: National Institutes of Health Stroke Scale; ASPECTS: Alberta Stroke Program Early Computed Tomography Score; CTA: computed tomography angiogram; MCA: middle cerebral artery; IV: intravenous; tPA: alteplase Source: Lerario MP, Segal A. Acute ischemic stroke: Focus on reperfusion. Emerg Med Rep 2016;37:106-107. |
Figure 1. Neurovascular Imaging for an Acute Ischemic Stroke Patient Undergoing Evaluation for Endovascular Intervention (continued) |
![]() |
Cerebral angiogram (left) demonstrating MCA occlusion (arrow) and complete revascularization following IAT (right). |
MCA: middle cerebral artery; IAT: intra-arterial therapy Source: Lerario MP, Segal A. Acute ischemic stroke: Focus on reperfusion. Emerg Med Rep 2016;37:106-107. |
Non-Contrast Head Computed Tomography
Non-contrast computed tomography (NCCT) is a widely available, noninvasive, and fast study that is performed for all patients with suspected stroke. It is sensitive in detecting intracranial hemorrhage, but it often is normal for the first few hours after an acute ischemic stroke.24 The loss of gray-white matter differentiation may be seen as an early sign in some cases and can be optimized using stroke windows.25 NCCT is not sensitive in identifying an LVO; however, an asymmetric hyperdensity overlying the cerebral vasculature may be seen in some cases, which, when present, is highly specific.26
Computed Tomography Angiography
Computed tomography angiography (CTA) of the head and neck is used to evaluate LVO and localize the occlusion to determine if it is amenable to MT. CTA has high sensitivity and specificity in identifying an LVO.27 The neck is included to evaluate for abnormalities that may have contributed, such as stenosis, dissection, and vasculitis.
Computed Tomography Perfusion
Computed tomography perfusion (CTP) is used in acute stroke to assess for perfusion mismatch indicated by hypoperfusion of cerebral tissues. It has a sensitivity and specificity similar to that of CTA. It can be used to identify and differentiate infarcted and irreversibly damaged areas of the brain (core infarct) from areas that potentially are salvageable (penumbra). The penumbra is the target for reperfusion via MT. Patients with a lower mismatch ratio between penumbra and ischemic core (e.g., < 1.8) are unlikely to see benefit from reperfusion therapy. Those with a large core also are at risk of hemorrhagic conversion after reperfusion.28 It is important to note that other conditions, such as vasospasm, chronic infarcts, and microvascular ischemic changes, also can show decreased perfusion on CTP.29
Magnetic Resonance Imaging
Magnetic resonance imaging (MRI) is largely considered the gold standard in the diagnosis of stroke but is not often used in acute management. MRI can accurately identify ischemic lesions with high sensitivity and specificity, and changes can be seen in diffusion-weighted imaging (DWI) within minutes in experimental models.24,30,31 Similar to CTP, MRI with perfusion-weighted imaging (PWI) can be used in conjunction with DWI to evaluate for an ischemic penumbra.30 MRI also is highly sensitive in detecting intracranial hemorrhage similar to NCCT.24,32
Several factors have historically limited the routine use of rapid MRI in stroke management, including availability, increased length of time to obtain images, and screening for the presence of metals and devices that are ineligible for MRI. However, recent studies conducted to evaluate the feasibility of the use of MRI as first-line imaging in stroke have shown minimal delays in care for patients considered for thrombolysis.33
Management
MT (EVT) is the standard of care for acute ischemic stroke caused by LVO within 24 hours of the LKN. As discussed earlier, it can be challenging to diagnose acute ischemic stroke in the clinical setting, especially when history is limited, and it can be even more difficult to determine which patients are candidates for EVT vs. medical management. It is critical to consider thrombectomy criteria in all patients undergoing evaluation for a neurologic deficit to identify patients who are eligible for this treatment and optimize the efficiency of the intervention.
Airway, Breathing, and Circulation Management
Airway
In patients who are not able to protect their airway, intubation should be pursued. A compromised airway may occur due to neurologic deficit, bulbar dysfunction, altered level of consciousness, or other medical reasons. Since obtaining a reliable neurologic exam can be challenging after the administration of intubation medications, such as sedatives and paralytics, it is crucial to perform a baseline neurologic assessment before intubation whenever possible. However, airway management should not be postponed to complete the exam. When selecting a paralytic agent for rapid sequence intubation (RSI), succinylcholine may be preferred to rocuronium because of the shorter half-life to allow for serial neurologic exams following intubation, whereas rocuronium may be the preferred paralytic agent in patients requiring transfer to another facility. Similarly, in patients who are protecting their airway at the time of presentation but have a tenuous clinical status or anticipated clinical decline within the time period of travel, elective intubation may be considered prior to transport.34
Breathing
After airway assessment and stabilization, the patient’s respiration and oxygenation should be assessed. Patients undergoing evaluation for acute ischemic stroke should maintain a goal oxygen saturation of at least 94%.34 Supplemental oxygen should be applied when hypoxia is present. There is no clinical benefit to supplemental oxygen for oxygen saturation at or above goal on room air.
Circulation
Ideal blood pressure targets in acute stroke are undefined, although permissive hypertension is recommended to facilitate collateral perfusion. Patients who present within 4.5 hours of their LKN and may be eligible for intravenous (IV) thrombolytic therapy must have a blood pressure below 180/110 mmHg prior to treatment.35 This requirement is based on the inclusion criteria from trials that demonstrated the efficacy of IV alteplase in treating acute ischemic stroke. Five of the six major studies (SWIFT-DIRECT, SKIP trial, MR CLEAN-NO IV, DIRECT-SAFE, DIRECT-MT, DEVT) demonstrating thrombectomy’s benefit also used this blood pressure goal for enrollment, although it is not a strict blood pressure cutoff to receive endovascular treatment.36-41
The preferred method of blood pressure control is through IV antihypertensives, such as labetalol, esmolol, nicardipine, and clevidipine. Elevated blood pressure should not be lowered > 15% within the first 24 hours to avoid decreased cerebral perfusion. Hypotension is uncommon in acute ischemic stroke but should be avoided.34,35
Isotonic fluids should be administered to correct hypovolemia and hypotension. Peripheral and central pulse assessment also should be performed in the upper and lower extremities to assess for possible concordant vascular dissection, although that is uncommon.
Stroke Activation
In some institutions or regions, stroke alerts may be activated prehospital by EMS crews using various stroke evaluation protocols as outlined earlier.42 Stroke treatment is time-sensitive, so activation should occur immediately when a stroke is suspected to mobilize resources and expedite care. Critical actions that should occur with stroke activation include STAT non-contrast CT brain to rule out intracranial hemorrhage, vital sign assessment and initiation of continuous monitoring via telemetry, measuring a weight, prompt IV access, point-of-care glucose check, and neurology consultation. This may occur in person or virtually depending on institutional resources and time of day.
If a patient is transferred from another facility for MT after being diagnosed with acute ischemic stroke, stroke activation may need to be repeated, depending on the policy of the receiving facility. Upon the patient’s arrival at the accepting facility, the airway, breathing, and circulation (ABCs); vital signs; and neurologic examination should be promptly reassessed. All lines and medication infusions should be checked. If there are signs of worsening neurologic exam, repeat imaging may be indicated.
Pharmacologic Therapy
IV Thrombolysis
Identifying appropriate candidates for therapy and administration of thrombolytics is time-sensitive, with a goal time from emergency department (ED) arrival to medication delivery of less than 45 minutes.43 To receive IV thrombolysis, patients must have a systolic blood pressure less than 185 mmHg and a diastolic blood pressure of less than 110 mmHg.44 Additionally, patients must have a blood glucose > 60 mg/dL, since hypoglycemia may mimic acute stroke, creating risk of improper use of thrombolysis. If the glucose is < 60 mg/dL, the patient should be treated and reassessed.34
Numerous absolute contraindications exclude patients from receiving IV thrombolytic therapy and many other relative contraindications (see Table 6) that require clear and informed risks vs. benefits discussion with the patient and/or their healthcare power of attorney prior to the decision to proceed with treatment. Informed consent should be obtained before administration of IV thrombolytic.
Table 6. Absolute and Relative Contraindications to Thrombolytics in Acute Stroke34 | |
Absolute Contraindications | Relative Contraindications |
CT evidence of intracranial hemorrhage or hypoattenuation | Mild or improving symptoms |
Neurosurgical intervention (including spine) in past 3 months | Pregnancy |
History of intracranial hemorrhage | Any surgery or minor head trauma within 2 weeks |
Clinical history concerning for subarachnoid hemorrhage | Recent LP or arterial puncture at a site that cannot be compressed |
Known history of the following:
| Seizure at time of stroke onset |
Known predisposition for bleeding
| Any current anticoagulation use no matter the INR |
Stroke associated with aortic dissection | Age older than 80 years |
Suspected or diagnosed endocarditis | NIHSS score > 25 |
CT: computed tomography; LP: lumbar puncture; AV: arteriovenous; INR: international normalized ratio; NIHSS: National Institutes of Health Stroke Scale | |
For adult patients presenting within 4.5 hours of onset of acute neurologic deficit and a diagnosis of acute ischemic stroke, intravenous thrombolytics such as tPA or TNK are the gold standard medical treatment. Newer research favors TNK because of its ease of administration, since it can be given as a single bolus injection without the need for continuous infusion.45-47 In the EXTEND-IA TNK trial, patients who received an alternative IV thrombolytic TNK had better functional outcomes at 90 days when compared to tPA.48 Per American Heart Association (AHA) guidelines, TNK may be reasonable to consider in select patients (Class IIb recommendation).49 Replication of these study results is needed to confirm its efficacy in relation to the current standard of care (tPA). TNK has demonstrated similar or even superior outcomes compared to tPA in terms of recanalization and clinical recovery, with a potentially lower risk of hemorrhagic complications.45,47,50 Its faster administration and better pharmacokinetic profile make it a preferred choice in many settings.
Importantly, receiving IV thrombolysis does not preclude patients from undergoing MT. Even if thrombectomy is being considered, eligible patients presenting within the previously described time window should receive IV thrombolytics.51
Bridging Therapy
Many of the key studies demonstrating the efficacy of thrombectomy did not exclude patients who were eligible for and had received IV thrombolysis prior to endovascular intervention. Therefore, in patients who present with an acute ischemic stroke within 4.5 hours of last known well, thrombolytics still should be administered if no contraindications are present, and do not preclude patients from being eligible for subsequent endovascular treatment. Additionally, MT should not be delayed to observe patients for clinical response to IV thrombolytic therapy.5
The use of IV thrombolytics before MT has been investigated in several recent randomized controlled trials (SWIFT-DIRECT, SKIP trial, MR CLEAN – NO IV, DIRECT-SAFE, DIRECT-MT, DEVT).37-41,52 These studies assessed whether endovascular intervention alone was noninferior to endovascular intervention following IV thrombolysis in patients who met the criteria for pharmacologic treatment. Noninferiority was established in five of six of these trials; however, this was not replicated in a meta-analysis of the studies.53 This likely is attributed to the variety in defined noninferiority margins between studies and variations in patient populations studied (only one study was multinational). Importantly, rates of complications, such as intracranial hemorrhage or death, did not differ between groups receiving IV thrombolytic plus MT vs. MT alone.3
Adjuncts
The CHOICE trial showed better functional outcomes in patients who received intra-arterial alteplase as an adjunct following successful reperfusion via MT.54 Investigators theorized that intra-arterial thrombolysis may improve perfusion to distally occluded arteries, including vessels that were not visualized intra-procedurally. However, this study had several weaknesses, and several RCTs are currently in place to replicate its findings.
Because of the increased rates of symptomatic intracranial hemorrhage as evidenced by the MR CLEAN-MED trial in the Netherlands, IV heparin or IV aspirin should be avoided in the periprocedural period.55
Antiplatelet Therapy
Initiation of dual antiplatelet therapy (DAPT) within 24 hours of acute ischemic stroke diagnosis decreases stroke recurrence risk and is superior to single antiplatelet coverage with aspirin.56 The standard DAPT regimen used is aspirin plus a P2Y12 inhibitor, typically clopidogrel, and is continued for 21 days before transitioning to single antiplatelet therapy with daily aspirin. If IV thrombolysis is administered prior to thrombectomy, aspirin initiation should be delayed until at least 24 hours following the procedure. If there is any evidence of periprocedural hemorrhage, aspirin should be suspended for at least five to seven days.57
Non-Pharmacologic Therapy
Mechanical Thrombectomy
MT is a minimally invasive endovascular intervention that has proven to be safe and effective in the management of acute ischemic stroke caused by LVO.5 The first MT device was approved by the United States Food and Drug Administration in 2004.58 Procedural techniques and devices have undergone many advancements over the years. Two major MT techniques currently are used: stent retrieval and contact aspiration. Both techniques employ a modified Seldinger technique in which the device used is advanced over a guidewire once the target site is identified. Stent retrieval devices are employed distal to the culprit thrombus, while aspiration catheter devices are employed at the proximal aspect of the thrombus. A combination of the two techniques often is used.
Indications
MT significantly reduces downstream disability following acute ischemic stroke, with optimal outcomes occurring when the procedure is initiated within six hours of symptom onset.5,9 Patients presenting within this time period may be considered if they have an NIHSS score of at least 6, a pre-stroke modified Rankin Scale (mRS) score of less than or equal to 1, are at least 18 years of age, do not have evidence of significant intracranial hemorrhage (Alberta Stroke Program Early CT Score [ASPECTS] score ≥ 6), and have evidence of a LVO (ICA or proximal MCA).
The ASPECTS (see Table 7) is a 10-point scale used to assess the severity of middle cerebral artery (MCA) strokes by evaluating early ischemic changes on non-contrast brain CT.59 As noted, one point is deducted for each region of the brain affected, with a lower score indicating more extensive ischemic damage. A score of 7 or lower is associated with worse functional outcomes and an increased risk of sICH. This scale helps guide treatment decisions, particularly in determining the potential benefit of MT.
Table 7. ASPECTS Score and Mechanical Thrombectomy Considerations | ||
Relevance Assessing ischemic damage for MT eligibility Lower ASPECTS may reduce MT efficacy due to smaller salvageable tissue areas. | ||
ASPECTS Score | Indication | Impact on Mechanical Thrombectomy |
10 (Normal) | No visible ischemic damage | High likelihood of MT benefit, less infarct core |
7-9 | Mild to moderate ischemic changes | May benefit from MT, but salvageable tissue may be reduced |
4-6 | Significant ischemic changes | MT still may be considered, but lower likelihood of recovery |
0-3 | Extensive ischemic damage | Likely poor outcome with MT; treatment decisions should be cautious |
ASPECTS: Alberta Stroke Program Early CT Score; MT: mechanical thrombectomy | ||
Higher ASPECTS scores are linked to better outcomes, since less brain tissue is affected, making patients with these scores more likely to benefit from the procedure. The American Heart Association offers further resources on ASPECTS and its clinical applications.60-62
The mRS is used to assess the level of disability or dependence in stroke patients, ranging from no symptoms (0) to death (6).63,64 This scale helps healthcare providers evaluate post-stroke recovery and guide treatment decisions.
For patients presenting greater than six hours but within 24 hours of last known well, two landmark trials (DAWN and DEFUSE III) demonstrated improved functional outcomes after MT in patients who had evidence of an LVO and minimal pre-stroke disability (baseline mRS score 0-1).9,13 The inclusion criteria for these studies can be used clinically to determine eligible candidates for endovascular intervention in this time window.
The DAWN trial used the mismatch between the clinical severity of neurologic deficit and the core infarct size as determined on CT perfusion or diffusion-weighted MRI to determine appropriate candidates for thrombectomy between six and 24 hours of LKN. If the mismatch was large, meaning the clinical deficit was notably more significant than the correlating infarct size, thrombectomy was pursued.13 Mismatch criteria were defined according to age. When a larger infarct was present, a higher NIHSS score was needed to be eligible for intervention. The DEFUSE III trial, on the other hand, used a mismatch between the size of the penumbra and the infarct core.9 This mismatch tool was employed in an effort to quantify salvageable brain tissue that was ischemic but not yet infarcted.
Patients presenting within 24 hours of LKN with a relatively greater proportion of viable brain tissue as identified on imaging and meeting criteria as outlined in Table 8 are eligible for MT.
Table 8. Indications for Mechanical Thrombectomy | ||
Time Since Last Known Well | Indications for Mechanical Thrombectomy | Contraindications |
0-6 hours |
|
|
6-16 hours |
| |
6-24 hours |
| |
mRS: modified Rankin Scale; NIHSS: National Institutes of Health Stroke Scale; ASPECTS: Alberta Stroke Program Early Computed Tomography Score | ||
Emerging data, including findings from the EXTEND (Extending the Time for Thrombolysis in Emergency Neurological Deficits) criteria, suggest that in patients without CTP-mismatch profiles, recanalization is linked to improved functional outcomes.7,59,65 Endovascular recanalization in this group was particularly influenced by factors such as age and ASPECTS, with ASPECTS serving as a complementary imaging tool for assessing early lesion progression. These factors should guide treatment decisions in patients without CTP-mismatch profiles, optimizing outcomes through personalized intervention strategies.
There is limited evidence for the use of EVT in posterior cerebral artery (PCA) strokes. A recent meta-analysis found that when compared to medical management, EVT was associated with higher odds of no disability at three months but also higher risk of symptomatic intracranial hemorrhage. Further research is needed in this area to determine the safety and benefit of this procedure in PCA strokes.66
Additional Patient Populations
Middle Vessel Occlusions
While there is strong evidence in support of the use of MT for patients with LVOs, there currently is no consensus on its efficacy for recanalization of medium vessel occlusions (i.e., middle cerebral artery M3/M4, anterior cerebral artery A2/A3, or posterior cerebral artery P1/P2). The DUSK trial showed no significant difference in functional outcomes between patients with medium vessel occlusions who underwent MT vs. those who received standard medical treatment.67
Similarly, a pooled systematic review of studies employing MT to treat medium vessel occlusions showed that recanalization rates were higher in patients who underwent MT, although subarachnoid hemorrhage occurred more frequently when stent retriever thrombectomy was pursued.68 While MT may be a promising tool to treat distal medium vessel occlusions, its safety and efficacy have not yet been defined. Several randomized controlled trials currently are ongoing to explore this further.69
Minor Neurologic Deficit (NIHSS < 5)
There currently is limited evidence to support the use of MT in the management of acute ischemic stroke with minor neurologic deficits on exam (NIHSS < 5).70 However, the neurologic deficits that are present and contributing to the underlying NIHSS score can be devastating and debilitating, especially when speech or vision are involved. Several studies currently are underway to explore endovascular therapy in this patient population.34
Advanced Age
The HERMES meta-analysis showed that patients older than 80 years of age had better functional outcomes after thrombectomy than following medical treatment with IV thrombolytics.5 One major limitation of the trials evaluated in this study was that few included patients were aged 90 years or older, so there is limited evidence to support thrombectomy as a safe and efficacious intervention in this age group. Thrombectomy should only be considered on a case-by-case basis because of the risk of mortality and poor functional outcomes in this patient population.34,71
Pregnancy
Although pregnant patients are at an increased risk of stroke and have increased mortality when compared to their non-pregnant counterparts, there are insufficient data on the use of thrombectomy in pregnant/postpartum patients because this population was excluded from DAWN and DEFUSE III trials.72,73 Current evidence supporting the use of MT in pregnant patients is limited to case reports and case series.74-77
Despite a lack of evidence from clinical trials, a 2021 cross-sectional analysis completed using national claims data has suggested that MT is a potentially safe and effective treatment for acute ischemic stroke in pregnancy and in the postpartum period.77 Thus, pregnant women presenting with acute ischemic stroke with moderate to severe deficits merit transfer to a facility with thrombectomy capabilities as well as multidisciplinary risks vs. benefits discussion including neurology and high-risk obstetrics.78 Radiation exposure often is cited as a concern despite strategies to minimize radiation doses.73,77,78
Complications
As with any procedure, MT has risks and benefits that should be discussed with patients by the team providing the intervention.57 Restoring blood flow can lead to rather rapid significant improvement in disability, although patients should be monitored closely afterward for the development of complications and optimization of recovery. Understanding the risks as well as populations who are at greater risk of complication is important to determine who is a candidate for intensive care unit (ICU) vs. step-down or floor status.79
Contrast Allergy
Patients being evaluated for acute ischemic stroke will be exposed to iodinated contrast in varying doses whether CT angiography alone or CTP studies are pursued. Additional contrast is administered intra-procedurally. While allergic reaction to iodinated contrast is relatively common, severe reactions (i.e., anaphylaxis) are rare.57,80 In patients with known or documented contrast allergy, prophylactic treatment with IV antihistamine and steroid should be considered, although protocols may vary institutionally. Renal function should be monitored daily to screen for contrast-induced nephropathy. The risk of kidney injury can be mitigated with IV fluid administration before and immediately following contrast load. In patients with existing renal disease, risks vs. benefit discussion should take place prior to contrast administration, although it should not exclude patients from being eligible for MT.
Arterial Access Site Complications
Femoral arterial access is the most common approach for MT, although radial, brachial, or axillary arteries may be pursued. Several access site complications may occur in the procedural and periprocedural period, so it is important to have a good understanding of what method(s) of access were pursued, any challenges or complications that were encountered during the procedure, and a baseline neurovascular as well as wound assessment with serial reexamination once patients are admitted following thrombectomy.
Patients who receive IV thrombolysis prior to MT have increased rates of femoral access site complications and can make achieving hemostasis challenging when complications do arise.57 There is no difference in risk of access site complication if TNK vs. tPA is used.81 To mitigate the risk of complication, patients may be required to remain supine for up to six hours afterward.58 Many access site complications may present nonspecifically with localized pain and swelling. Arteriovenous malformation or pseudoaneurysm of the femoral artery may be suspected when a pulsatile bruit is present at the access site and is more common when low femoral artery puncture is pursued.
One of the most devastating intraprocedural complications is vessel perforation, with notably high mortality (63%). While perforation occurs in less than 5% of cases, rates are highest in recanalization of more distal occlusions.57 If not immediately evident during the procedure, vessel injury should be suspected in patients with significant hemodynamic or neurologic changes from extravasation into the retroperitoneum or intracranial space. If identified, blood pressure should be closely titrated, anticoagulation reversal should be considered, and neurosurgery and/or interventional neurology should be consulted for consideration of extraventricular drain placement, craniotomy, or embolization.
Intravascular instrumentation during thrombectomy can lead to vasospasm, which typically resolves after catheter removal but may require administration of calcium channel blockers if persistent.82 Hematoma formation is another common complication that should be managed with the application of direct pressure, expression of hematoma collection, and consideration of anticoagulation reversal if severe and rapidly expanding.
Symptomatic Intracerebral Hemorrhage
Following restoration of blood flow to ischemic tissue via thrombectomy, patients must be monitored for new or worsening neurologic deficits, headache, persistent nausea/vomiting, mental status changes, or major blood pressure changes that can be indicative of symptomatic intracerebral hemorrhage (ICH).79 Mortality from post-thrombectomy ICH is highest in the first 24 hours.83
There are several classifications of ICH following thrombectomy, including hemorrhagic infarction, parenchymal hematoma, and subarachnoid hemorrhage. Hemorrhagic infarction occurs more often than parenchymal hemorrhage (in 9% of cases vs. 3%), while parenchymal hemorrhage has the potential to increase morbidity and mortality when large volume.71 While there are no risk factors that have been shown to predict rates/risk of ICH following thrombectomy, associations between higher initial NIHSS score, preprocedure hypertension (via arterial line), and poor collateral perfusion were identified.84 Exposure to IV thrombolytics prior to thrombectomy does not increase risk of symptomatic ICH. It can be difficult to identify ICH on noncontrast CT brain following thrombectomy given residual contrast, so perfusion-weighted MRI may be employed when clinical suspicion is high.85
If ICH is identified, management parallels that of primary ICH with emphasis on tight blood pressure control, measures to decrease intracranial pressure, and prompt neurosurgical intervention. Dual-energy CT has shown promise as an accurate method to differentiate ICH from contrast staining following thrombectomy.86 Use of either imaging modality is reasonable.87 If intracerebral hemorrhage occurs, antiplatelet therapy should be paused to allow for individualized risks vs. benefits discussion regarding continuation.
Reocclusion of Target Vessel
Patients with thrombocytosis (> 500 × 109/L), residual narrowing on angiography at the conclusion of thrombectomy, or an underlying intrinsic lesion contributing to the acute ischemic stroke are at increased risk of vessel re-occlusion within the first 48 hours.79,88 If re-occlusion is suspected, contrasted imaging should be done emergently to identify infarct core as well as at-risk tissue to guide treatment with procedural revascularization vs. medical management with anticoagulation or dual antiplatelet therapy.
Cerebral Edema
Cerebral edema is a common and natural complication of MT and is classified into malignant and non-malignant forms.89,90 Non-malignant cerebral edema may present early (within six hours of the procedure) and progresses slowly over the course of days. Malignant edema, on the other hand, causes rapid deterioration within the first 24-48 hours. It is more likely in patients with a high initial NIHSS score, large ischemic core, elevated blood glucose, or limited collateral vasculature.90 Because malignant cerebral edema causes rapid increases in intracranial pressure, affected patients should have the head of the bed elevated 30 degrees and should undergo hyperosmolar therapy with mannitol or hypertonic saline.
Disposition
Admission
A majority of patients will require admission to the ICU for close hemodynamic monitoring following the procedure and frequent neurologic checks, especially within the first 24-48 hours when the risk of complications is the greatest.79 Ideally, patients should undergo neurovascular assessments every 15 minutes for the first hour, every 30 minutes for the following hour, then every one to two hours for the first 24 hours.34 (See Table 9.) Less commonly, admission to a stepdown unit or specialized stroke unit may be appropriate depending on staffing and facility capabilities.
Table 9. Key Elements of Post-Thrombectomy Inpatient Care | |
Organ System | Plan of Care |
Central nervous system |
|
Cardiovascular |
|
Pulmonary |
|
Fluids, electrolytes, and renal |
|
Gastrointestinal |
|
Hematology |
|
Endocrine |
|
Q15: every 15; Q30: every 30; Q1-2: every 1 to 2; SpO2: oxygen saturation; DVT: deep vein thrombosis; ICH: intracerebral hemorrhage | |
Immediately upon admission, ABCs should be reassessed and should be serially reexamined. If a patient is unable to protect their airway, intubation should be pursued. Oxygen should be supplemented when hypoxia is present to maintain an oxygen saturation of ≥ 94% on pulse oximetry. As cerebral reperfusion is attained following MT, blood pressure autoregulation will occur.
Extremes of blood pressure (both high and low) should be avoided. While there is no definitive post-procedure blood pressure goal, some studies have suggested that a systolic blood pressure < 180 mmHg may be beneficial.91 Large or rapid decreases in blood pressure also can be harmful to patients, as evidenced in several studies in Asian populations, with notably poor outcomes in patients whose blood pressure was < 140 mmHg.92,93 Patients should be monitored on telemetry for at least 24 hours following ischemic stroke to observe for arrhythmia such as atrial fibrillation, which can increase risk of future stroke.
Normothermia should be maintained since hyperthermia has been associated with poor stroke outcomes. Elevated temperature can be corrected via correction of source (i.e., infection), antipyretics, infusion of cooled IV fluids, or external cooling devices.57
A diet should be started as soon as possible in patients following MT as initiation of enteral feeding within seven days of ischemic stroke decreases mortality. Patients may require a swallow evaluation to assess for aspiration risk and to identify the appropriate diet for each patient. In patients who are at a high risk of aspiration, nasogastric tube feeds may be initiated to achieve the same effect.
Similar to blood pressure, glucose also should be monitored closely. Hypoglycemia can mimic stroke, and glucose should be supplemented orally or via IV when blood glucose levels fall below 60 mg/dL. Hyperglycemia within the first 24 hours of ischemic stroke has been associated with worse functional outcomes and, thus, should be avoided.94,95 In the inpatient setting, this typically is managed via insulin sliding scales with point-of-care glucose checks three times per day with meals and nightly. Hyperglycemia management should target a goal blood glucose of 140 mg/dL to 180 mg/dL.96
Following MT, patients may be bed-bound for prolonged periods of time because of neurologic deficit or hemodynamic instability. Deep vein thrombosis (DVT) prophylaxis should be considered early in the hospital course to mitigate downstream morbidity and mortality. Early and safe mobility should be encouraged when able. Intermittent pneumatic compression devices should be used and have been associated with improved survival rates following ischemic stroke. Compression stockings should be avoided because of their risk of iatrogenic skin breakdown and wound formation. The use of low molecular weight heparin or unfractionated heparin for DVT prophylaxis in these patients is not formally recommended because of limited evidence.
Transfer
Primary stroke centers can provide IV thrombolysis, while comprehensive stroke centers have the resources and specialized staff to provide both medical and/or endovascular intervention. Some studies have described better outcomes when the decision is made prehospital to proceed directly to a comprehensive stroke center vs. first presenting to a primary stroke center and later being transferred for intravascular intervention.97 However, many patients will require transportation to the nearest emergency department for stabilization of hemodynamic instability and for consideration of IV thrombolysis if presenting within the appropriate treatment window. Subsequent transfer following thrombolytic administration to a thrombectomy-capable stroke center should be considered. One meta-analysis of six observational studies showed better functional outcomes than those who did not receive IV thrombolysis prior to transfer for thrombectomy.98 However, this study was limited by variability in studies and lack of available RCTs.
Time to destination facility availability of local transport vehicles should be carefully considered. Most patients will require Advanced Cardiac Life Support (ACLS) transportation. Depending on the location of initial presentation, patients may require air transport to arrive at the destination facility within the window for thrombectomy. However, if time permits, ground transportation is reasonable. Prior to transfer, airway, breathing, and circulation should be reassessed and addressed if abnormalities are present. As discussed earlier, if airway decline is anticipated, elective intubation may be pursued prior to transfer. An exam should be performed immediately before the patient is transferred out to ensure relative hemodynamic stability and that an adequate plan is in place for intervention if clinical status declines during transport. An optimized EVT workflow during transfers is likely to promote faster and safer reperfusion, leading to better patient outcomes.99
Summary
Stroke is a leading global health challenge and a major cause of mortality. Among recent advancements, MT has emerged as a transformative intervention for acute ischemic stroke caused by LVOs. This minimally invasive procedure, performed within 24 hours of symptom onset, physically removes clots using devices like stent retrievers or aspiration catheters, significantly improving outcomes. Imaging plays a crucial role in acute stroke management, with non-contrast CT identifying hemorrhage, CT angiography locating LVOs, and CTP distinguishing salvageable penumbra from irreversibly damaged brain tissue, guiding eligibility for interventions like MT. The success of MT depends on rapid identification and imaging of salvageable brain tissue. By restoring blood flow, MT reduces disability and offers a critical improvement in recovery potential for stroke patients.
Megan J. Rivera, MD, is Assistant Professor, Duke University Department of Emergency Medicine, Durham, NC. Jessica Wanthal, MD, is Medical Instructor, Duke University Department of Emergency Medicine, Durham, NC. Raelynn Vigue, MD, is PGY2 Emergency Medicine Resident, Duke University Department of Emergency Medicine, Durham, NC. Sreeja Natesan, MD, is Associate Professor, Duke University Department of Emergency Medicine, Durham, NC.
References
1. Hilkens NA, Casolla B, Leung TW, de Leeuw FE. Stroke. Lancet. 2024;403(10446):2820-2836.
2. Li Q, Abdalkader M, Siegler JE, et al. Mechanical thrombectomy for large ischemic stroke: A systematic review and meta-analysis. Neurology. 2023;101(9):e922-e932.
3. Nguyen TN, Abdalkader M, Fischer U, et al. Endovascular management of acute stroke. Lancet. 2024;404(10459):1265-1278.
4. Aldaher B, Behera A, Morsi RZ, et al. Endovascular thrombectomy for distal medium vessel occlusions: A literature review. J Stroke Cerebrovasc Dis. 2024;34(1):108134.
5. Goyal M, Menon BK, van Zwam WH, et al. Endovascular thrombectomy after large-vessel ischaemic stroke: A meta-analysis of individual patient data from five randomised trials. Lancet. 2016;387(10029):1723-1731.
6. Jadhav AP, Desai SM, Jovin TG. Indications for mechanical thrombectomy for acute ischemic stroke: Current guidelines and beyond. Neurology. 2021;97(20 Suppl 2):S126-S136.
7. Berkhemer OA, Fransen PSS, Beumer D, et al. A randomized trial of intraarterial treatment for acute ischemic stroke. N Engl J Med. 2015;372(1):11-20.
8. Alberts MJ, Ollenschleger MD, Nouh A. Dawn of a new era for stroke treatment: Implications of the DAWN study for acute stroke care and stroke systems of care. Circulation. 2018;137(17):1767-1769.
9. Albers GW, Marks MP, Kemp S, et al. Thrombectomy for stroke at 6 to 16 hours with selection by perfusion imaging. N Engl J Med. 2018;378(8):708-718.
10. Emberson J, Lees KR, Lyden P, et al. Effect of treatment delay, age, and stroke severity on the effects of intravenous thrombolysis with alteplase for acute ischaemic stroke: A meta-analysis of individual patient data from randomised trials. Lancet. 2014;384(9958):1929-1935.
11. Sarraj A, Kleinig TJ, Hassan AE, et al. Association of endovascular thrombectomy vs medical management with functional and safety outcomes in patients treated beyond 24 hours of last known well: The SELECT Late Study. JAMA Neurol. 2023;80(2):172-182.
12. Davis E, Bright M. Does early thrombectomy improve functional outcomes in patients with ischemic stroke compared with medical management? Evidence-Based Pract. 2024;27(12):22.
13. Nogueira RG, Jadhav AP, Haussen DC, et al. Thrombectomy 6 to 24 hours after stroke with a mismatch between deficit and infarct. N Engl J Med. 2018;378(1):11-21.
14. Musmar B, Roy JM, Abdalrazeq H, et al. Socioeconomic influences on stroke outcomes: A comprehensive zip code-based hospital analysis. Clin Neurol Neurosurg. 2024;247:108638.
15. Saver JL, Goyal M, van der Lugt A, et al. Time to treatment with endovascular thrombectomy and outcomes from ischemic stroke: A meta-analysis. JAMA. 2016;316(12):1279-1288.
16. Hogge C, Goldstein LB, Aroor SR. Mnemonic utilization in stroke education: FAST and BEFAST adoption by certified comprehensive stroke centers. Front Neurol. 2024;15:1359131.
17. Aroor S, Singh R, Goldstein LB. BE-FAST (balance, eyes, face, arm, speech, time): Reducing the proportion of strokes missed using the FAST mnemonic. Stroke. 2017;48(2):479-481.
18. Phipps MS, Cronin CA. Management of acute ischemic stroke. BMJ. 2020;368:l6983.
19. Nazliel B, Starkman S, Liebeskind DS, et al. A brief prehospital stroke severity scale identifies ischemic stroke patients harboring persisting large arterial occlusions. Stroke. 2008;39(8):2264-2267.
20. Pérez de la Ossa N, Carrera D, Gorchs M, et al. Design and validation of a prehospital stroke scale to predict large arterial occlusion: The rapid arterial occlusion evaluation scale. Stroke. 2014;45(1):87-91.
21. Katz BS, McMullan JT, Sucharew H, et al. Design and validation of a prehospital scale to predict stroke severity: Cincinnati Prehospital Stroke Severity Scale. Stroke. 2015;46(6):1508-1512.
22. Brott T, Adams HP, Olinger CP, et al. Measurements of acute cerebral infarction: A clinical examination scale. Stroke. 1989;20(7):864-870.
23. Lyden PD, Lu M, Levine SR, et al; NINDS rtPA Stroke Study Group. A modified National Institutes of Health Stroke Scale for use in stroke clinical trials: Preliminary reliability and validity. Stroke. 2001;32(6):1310-1317.
24. Chalela JA, Kidwell CS, Nentwich LM, et al. Magnetic resonance imaging and computed tomography in emergency assessment of patients with suspected acute stroke: A prospective comparison. Lancet. 2007;369(9558):293-298.
25. Mainali S, Wahba M, Elijovich L. Detection of early ischemic changes in noncontrast CT head improved with “stroke windows.” ISRN Neurosci. 2014;2014:654980.
26. Mair G, Boyd EV, Chappell FM, et al. Sensitivity and specificity of the hyperdense artery sign for arterial obstruction in acute ischemic stroke. Stroke. 2015;46(1):102-107.
27. Lev MH, Farkas J, Rodriguez VR, et al. CT angiography in the rapid triage of patients with hyperacute stroke to intraarterial thrombolysis: Accuracy in the detection of large vessel thrombus. J Comput Assist Tomogr. 2001;25(4):520-528.
28. Wing SC, Markus HS. Interpreting CT perfusion in stroke. Pract Neurol. 2019;19(2):136-142.
29. Lui YW, Tang ER, Allmendinger AM, Spektor V. Evaluation of CT perfusion in the setting of cerebral ischemia: Patterns and pitfalls. AJNR Am J Neuroradiol. 2010;31(9):1552-1563.
30. Tedyanto EH, Tini K, Pramana NAK. Magnetic resonance imaging in acute ischemic stroke. Cureus. 2022;14(7):e27224.
31. Linfante I, Llinas RH, Schlaug G, et al. Diffusion-weighted imaging and National Institutes of Health Stroke Scale in the acute phase of posterior-circulation stroke. Arch Neurol. 2001;58(4):621-628.
32. Kidwell C. MRI replaces CT for stroke evaluation. MedGenMed. 2005;7(4):22.
33. Rapillo CM, Dunet V, Pistocchi S, et al. Moving from CT to MRI paradigm in acute ischemic stroke: Feasibility, effects on stroke diagnosis and long-term outcomes. Stroke. 2024;55(5):1329-1338.
34. Powers WJ, Rabinstein AA, Ackerson T, et al. Guidelines for the Early Management of Patients With Acute Ischemic Stroke: 2019 Update to the 2018 Guidelines for the Early Management of Acute Ischemic Stroke: A Guideline for Healthcare Professionals From the American Heart Association/American Stroke Association. Stroke. 2019;50(12):e344-e418.
35. Bath PM, Song L, Silva GS, et al. Blood pressure management for ischemic stroke in the first 24 hours. Stroke. 2022;53(4):1074-1084.
36. Fischer U, Kaesmacher J, Strbian D, et al. Thrombectomy alone versus intravenous alteplase plus thrombectomy in patients with stroke: An open-label, blinded-outcome, randomised non-inferiority trial. Lancet. 2022;400(10346):104-115.
37. Suzuki K, Matsumaru Y, Takeuchi M, et al. Effect of mechanical thrombectomy without vs with intravenous thrombolysis on functional outcome among patients with acute ischemic stroke: The SKIP randomized clinical trial. JAMA. 2021;325(3):244-253.
38. LeCouffe NE, Kappelhof M, Treurniet KM, et al. A randomized trial of intravenous alteplase before endovascular treatment for stroke. N Engl J Med. 2021;385(20):1833-1844.
39. Mitchell PJ, Yan B, Churilov L, et al. Endovascular thrombectomy versus standard bridging thrombolytic with endovascular thrombectomy within 4·5 h of stroke onset: An open-label, blinded-endpoint, randomised non-inferiority trial. Lancet. 2022;400(10346):116-125.
40. Yang P, Treurniet KM, Zhang L, et al. Direct Intra-arterial thrombectomy in order to Revascularize AIS patients with large vessel occlusion Efficiently in Chinese Tertiary hospitals: A Multicenter randomized clinical Trial (DIRECT-MT)-Protocol. Int J Stroke. 2020;15(6):689-698.
41. Zi W, Qiu Z, Li F, et al. Effect of endovascular treatment alone vs intravenous alteplase plus endovascular treatment on functional independence in patients with acute ischemic stroke: The DEVT randomized clinical trial. JAMA. 2021;325(3):234-243.
42. Zubair AS, Sheth KN. Emergency care of patients with acute ischemic stroke. Neurol Clin. 2021;39(2):391-404.
43. Man S, Solomon N, Mac Grory B, et al. Shorter door-to-needle times are associated with better outcomes after intravenous thrombolytic therapy and endovascular thrombectomy for acute ischemic stroke. Circulation. 2023;148(1):20-34.
44. Fugate JE, Rabinstein AA. Absolute and relative contraindications to IV rt-PA for acute ischemic stroke. Neurohospitalist. 2015;5(3):110-121.
45. Meng X, Li S, Dai H, et al. Tenecteplase vs alteplase for patients with acute ischemic stroke: The ORIGINAL randomized clinical trial. JAMA. 2024;332(17):1437-1445.
46. Ma Y, Xiang H, Busse JW, et al. Tenecteplase versus alteplase for acute ischemic stroke: A systematic review and meta-analysis of randomized and non-randomized studies. J Neurol. 2024;271(5):2309-2323.
47. Palaiodimou L, Katsanos AH, Turc G, et al. Tenecteplase vs alteplase in acute ischemic stroke within 4.5 hours: A systematic review and meta-analysis of randomized trials. Neurology. 2024;103(9):e209903.
48. Campbell BC, Mitchell PJ, Churilov L, et al. Tenecteplase versus alteplase before endovascular thrombectomy (EXTEND-IA TNK): A multicenter, randomized, controlled study. Int J Stroke. 2018;13(3):328-334.
49. Putaala J, Saver JL, Nour M, et al. Should tenecteplase be given in clinical practice for acute ischemic stroke thrombolysis? Stroke. 2021;52(9):3075-3080.
50. Katsanos AH, Safouris A, Sarraj A, et al. Intravenous thrombolysis with tenecteplase in patients with large vessel occlusions: Systematic review and meta-analysis. Stroke. 2021;52(1):308-312.
51. Bracard S, Ducrocq X, Mas JL, et al. Mechanical thrombectomy after intravenous alteplase versus alteplase alone after stroke (THRACE): A randomised controlled trial. Lancet Neurol. 2016;15(11):1138-1147.
52. Fischer U, Kaesmacher J, Strbian D, et al. Thrombectomy alone versus intravenous alteplase plus thrombectomy in patients with stroke: An open-label, blinded-outcome, randomised non-inferiority trial. Lancet. 2022;400(10346):104-115.
53. Majoie CB, Cavalcante F, Gralla J, et al. Value of intravenous thrombolysis in endovascular treatment for large-vessel anterior circulation stroke: Individual participant data meta-analysis of six randomised trials. Lancet. 2023;402(10406):965-974.
54. Renú A, Millán M, San Román L, et al. Effect of intra-arterial alteplase vs placebo following successful thrombectomy on functional outcomes in patients with large vessel occlusion acute ischemic stroke: The CHOICE randomized clinical trial. JAMA. 2022;327(9):826-835.
55. van der Steen W, van de Graaf RA, Chalos V, et al. Safety and efficacy of aspirin, unfractionated heparin, both, or neither during endovascular stroke treatment (MR CLEAN-MED): An open-label, multicentre, randomised controlled trial. Lancet. 2022;399(10329):1059-1069.
56. Bhatia K, Jain V, Aggarwal D, et al. Dual antiplatelet therapy versus aspirin in patients with stroke or transient ischemic attack: Meta-analysis of randomized controlled trials. Stroke. 2021;52(6):e217-e223.
57. Jadhav AP, Molyneaux BJ, Hill MD, Jovin TG. Care of the post-thrombectomy patient. Stroke. 2018;49(11):2801-2807.
58. Smith WS, Furlan AJ. Brief history of endovascular acute ischemic stroke treatment. Stroke. 2016;47(2):e23-e26.
59. Pexman JH, Barber PA, Hill MD, et al. Use of the Alberta Stroke Program Early CT Score (ASPECTS) for assessing CT scans in patients with acute stroke. AJNR Am J Neuroradiol. 2001;22(8):1534-1542.
60. Pop NO, Tit DM, Diaconu CC, et al. The Alberta Stroke Program Early CT score (ASPECTS): A predictor of mortality in acute ischemic stroke. Exp Ther Med. 2021;22(6):1371.
61. Kaesmacher J, Chaloulos-Iakovidis P, Panos L, et al. Mechanical thrombectomy in ischemic stroke patients with Alberta Stroke Program Early Computed Tomography Score 0-5. Stroke. 2019;50(4):880-888.
62. Mokin M, Primiani CT, Siddiqui AH, Turk AS. ASPECTS (Alberta Stroke Program Early CT Score) measurement using Hounsfield unit values when selecting patients for stroke thrombectomy. Stroke. 2017;48(6):1574-1579.
63. Banks JL, Marotta CA. Outcomes validity and reliability of the modified Rankin scale: Implications for stroke clinical trials: A literature review and synthesis. Stroke. 2007;38(3):1091-1096.
64. Pożarowszczyk N, Kurkowska-Jastrzębska I, Sarzyńska-Długosz I, et al. Reliability of the modified Rankin Scale in clinical practice of stroke units and rehabilitation wards. Front Neurol. 2023;14:1064642.
65. Ma H, Campbell BCV, Parsons MW, et al. Thrombolysis guided by perfusion imaging up to 9 hours after onset of stroke. N Engl J Med. 2019;380(19):1795-1803.
66. Chen H, Khunte M, Colasurdo M, et al. Thrombectomy vs medical management for posterior cerebral artery stroke: Systematic review, meta-analysis, and real-world data. Neurology. 2024;102(9):e209315.
67. Mohammaden MH, Souza Viana L, Abdelhamid H, et al. Endovascular versus medical management in distal medium vessel occlusion stroke: The DUSK study. Stroke. 2024;55(6):1489-1497.
68. Lee H, Qureshi AM, Mueller-Kronast NH, et al. Subarachnoid hemorrhage in mechanical thrombectomy for acute ischemic stroke: Analysis of the STRATIS Registry, systematic review, and meta-analysis. Front Neurol. 2021;12:663058.
69. Bilgin C, Hardy N, Hutchison K, et al. First-line thrombectomy strategy for distal and medium vessel occlusions: A systematic review. J Neurointerv Surg. 2023;15(6):539-546.
70. Slawski D, Heit JJ. Treatment challenges in acute minor ischemic stroke. Front Neurol. 2021;12:723637.
71. Meyer L, Alexandrou M, Flottmann F, et al. Endovascular treatment of very elderly patients aged ≥ 90 with acute ischemic stroke. J Am Heart Assoc. 2020;9(5):e014447.
72. Verho L, Aarnio K, Tikkanen M, et al. Long-term mortality, recovery, and vocational status after a maternal stroke: Register-based observational case-control study. Neurology. 2024;103(2):e209532.
73. Kular S, Ram R, Balian V, et al. Mechanical thrombectomy for acute stroke in pregnancy. Neuroradiol J. 2020;33(2):134-139.
74. Blythe R, Ismail A, Naqvi A. Mechanical thrombectomy for acute ischemic stroke in pregnancy. J Stroke Cerebrovasc Dis. 2019;28(6):e75-e76.
75. Szuchy Kristiansen E, Holm Vestergaard H, Modrau B, Oppel LM. Acute ischemic stroke in late pregnancy treated with intravenous thrombolysis and endovascular therapy. Case Rep Neurol. 2019;11(1):41-46.
76. Watanabe TT, Ichijo M, Kamata T. Uneventful pregnancy and delivery after thrombolysis plus thrombectomy for acute ischemic stroke: Case study and literature review. J Stroke Cerebrovasc Dis. 2019;28(1):70-75.
77. Dicpinigaitis AJ, Sursal T, Morse CA, et al. Endovascular thrombectomy for treatment of acute ischemic stroke during pregnancy and the early postpartum period. Stroke. 2021;52(12):3796-3804.
78. Miller EC, Leffert L. Stroke in pregnancy: A focused update. Anesth Analg. 2020;130(4):1085-1096.
79. Krishnan R, Mays W, Elijovich L. Complications of mechanical thrombectomy in acute ischemic stroke. Neurology. 2021;97(20 Suppl 2):S115-S125.
80. Fukushima Y, Taketomi-Takahashi A, Suto T, et al. Clinical features and risk factors of iodinated contrast media (ICM)-induced anaphylaxis. Eur J Radiol. 2023;164:110880.
81. Hendrix P, Collins MK, Goren O, et al. Femoral access-site complications with tenecteplase versus alteplase before mechanical thrombectomy for large-vessel-occlusion stroke. AJNR Am J Neuroradiol. 2023;44(6):681-686.
82. Jesser J, Nguyen T, Dmytriw AA, et al. Treatment practice of vasospasm during endovascular thrombectomy: An international survey. Stroke Vasc Neurol. 2024;9(5):490-496.
83. Kurmann CC, Beyeler M, Grunder L, et al. Association of the 24-hour National Institutes of Health Stroke Scale after mechanical thrombectomy with early and long-term survival. Stroke Vasc Interv Neurol. 2022;2(4):e000244.
84. Hao Y, Yang D, Wang H, et al. Predictors for symptomatic Iintracranial hemorrhage after endovascular treatment of acute ischemic stroke. Stroke. 2017;48(5):1203-1209.
85. Ng FC, Campbell BCV. Imaging after thrombolysis and thrombectomy: Rationale, modalities and management implications. Curr Neurol Neurosci Rep. 2019;19(8):57.
86. Grkovski R, Acu L, Ahmadli U, et al. A novel dual-energy CT method for detection and differentiation of intracerebral hemorrhage from contrast extravasation in stroke patients after endovascular thrombectomy: Feasibility and first results. Clin Neuroradiol. 2023;33(1):171-177.
87. Hsia AW, Latour LL, Somani S, et al. Comparison of hemorrhage on CT versus MRI after thrombectomy: The HECATE study. Stroke Vasc Interv Neurol. 2024;4(6):e001441.
88. Mosimann PJ, Kaesmacher J, Gautschi D, et al. Predictors of unexpected early reocclusion after successful mechanical thrombectomy in acute ischemic stroke patients. Stroke. 2018;49(11):2643-2651.
89. Huang X, Yang Q, Shi X, et al. Predictors of malignant brain edema after mechanical thrombectomy for acute ischemic stroke. J Neurointerv Surg. 2019;11(10):994-998.
90. Zhang L, Li J, Yang B, et al. The risk and outcome of malignant brain edema in post-mechanical thrombectomy: Acute ischemic stroke by anterior circulation occlusion. Eur J Med Res. 2023;28(1):435.
91. Sarraj A. Blood pressure management after successful thrombectomy. JAMA. 2023;330(9):811-812.
92. Nam HS, Kim YD, Heo J, et al. Intensive vs conventional blood pressure lowering after endovascular thrombectomy in acute ischemic stroke: The OPTIMAL-BP randomized clinical trial. JAMA. 2023;330(9):832-842.
93. Yang P, Song L, Zhang Y, et al. Intensive blood pressure control after endovascular thrombectomy for acute ischaemic stroke (ENCHANTED2/MT): A multicentre, open-label, blinded-endpoint, randomised controlled trial. Lancet. 2022;400(10363):1585-1596.
94. Tsivgoulis G, Katsanos AH, Mavridis D, et al. Association of baseline hyperglycemia with outcomes of patients with and without diabetes with acute ischemic stroke treated with intravenous thrombolysis: A propensity score-matched analysis from the SITS-ISTR registry. Diabetes. 2019;68(9):1861-1869.
95. Sluis WM, Hinsenveld WH, Goldhoorn RJB, et al. Timing and causes of death after endovascular thrombectomy in patients with acute ischemic stroke. Eur Stroke J. 2023;8(1):215-223.
96. Gaillard T, Miller E. Guidelines for stroke survivors with diabetes mellitus. Stroke. 2018;49(6):e215-e217.
97. Ismail M, Armoiry X, Tau N, et al. Mothership versus drip and ship for thrombectomy in patients who had an acute stroke: A systematic review and meta-analysis. J Neurointerv Surg. 2019;11(1):14-19.
98. Katsanos AH, Sarraj A, Froehler M, et al. IV thrombolysis initiated before transfer for endovascular stroke thrombectomy: A systematic review and meta-analysis. Neurology. 2023;100(14):e1436-e1443.
99. Sarraj A, Goyal N, Chen M, et al. Direct to angiography vs repeated imaging approaches in transferred patients undergoing endovascular thrombectomy. JAMA Neurol. 2021;78(8):916-926.
Stroke remains a global health crisis, affecting up to one in five individuals in high-income countries and nearly one in two individuals in low-income regions, making it the second leading cause of death worldwide. Advances in endovascular thrombectomy, including mechanical thrombectomy (MT), have revolutionized the management of acute ischemic stroke, offering significant reductions in patient disability and mortality rates.
You have reached your article limit for the month. Subscribe now to access this article plus other member-only content.
- Award-winning Medical Content
- Latest Advances & Development in Medicine
- Unbiased Content

