Evaluation and Management of Elbow Injuries in the Emergency Department
February 15, 2025
By Hunter A. Roberts, MD, and Matthew D. Oram, MD
EXECUTIVE SUMMARY
- Elbow injuries are encountered frequently in the emergency department.
- A thorough history is important because various mechanisms of trauma or overuse can provide diagnostic insight into possible injury patterns.
- Physical examination of the elbow includes inspection, palpation, and assessment of neurovascular function. Application of specialized exam techniques may be indicated depending on the nature of the elbow injury.
- Supracondylar fractures are associated with a high rate of neurovascular complications, and anterior interosseous nerve injury is common.
- Radial head fractures are the most common elbow fracture in adults, and patients can present with limited ability to pronate/supinate the forearm and a posterior fat pad on X-ray.
- Elbow dislocation is one of the most encountered joint dislocations in both adults and children and requires a thorough neurovascular evaluation and prompt reduction.
- Medial and lateral epicondylitis (golfer’s and tennis elbow, respectively) are overuse injuries that usually respond well to conservative therapy, including rest, ice, compression, elevation, nonsteroidal anti-inflammatories, and physical therapy.
- Children presenting with nursemaid’s elbow typically do not require X-ray imaging, and reduction may be performed with hyperpronation or supination/flexion techniques.
- Emergent orthopedic surgery consultation may be indicated for elbow injuries depending on the injury type, associated neurovascular complications, and/or to establish appropriate outpatient management.
Epidemiology
Elbow injuries are a common presentation in the emergency department — both acute traumatic injuries as well as chronic etiologies. These injuries can vary depending on a variety of factors and patient demographics, such as age, sex, mechanism of injury, sporting activities, work injuries, repetitive movements, etc. Among upper extremity injuries resulting in emergency department visits, roughly 15% include involvement of the elbow or forearm.1 The number of emergency department visits for elbow injuries can increase dramatically depending on the patient’s background, involvement of the elbow joint in daily activity, as well as involvement of the elbow joint in the traumatic mechanism.2
Anatomy and Function
The elbow joint is a complex hinge joint that allows flexion, extension, and forearm rotation. This joint allows for stable hand positioning in relation to the trunk with the previously described movements while the shoulder is in various positions. This joint stability is achieved through three major mechanisms: congruency of the bones, ligaments, and dynamic stabilization.3
The joint contains three bones, three articulations, and a joint capsule stabilized by ligaments, tendons, and muscle. The trochlea of the humerus articulates with the trochlear notch of the ulna and allows for flexion and extension. At the capitellum, the distal humerus articulates with the radial head and contributes to extension, flexion, and stabilization. The radius and ulna articulate at the radioulnar joint, comprising the radial head and the radial notch of the ulna. This joint allows forearm rotation as the radius rotates around the ulna. Outside of the ulnohumeral articulation, the other primary static constraints of the elbow joint include the medial collateral ligament (MCL) and lateral collateral ligament (LCL) complexes. These are supplemented by secondary constraints of the common flexor and extensor tendons with the radiocapitellar articulation. Lastly, the muscles involved in the elbow are found to be dynamic stabilizers of the joint.4 These include muscles like biceps brachii, brachialis, triceps brachii, forearm flexors, and forearm extensors. The combination of these elements contributes to stabilization of the elbow joint with flexion, extension, supination, and pronation, along with valgus and varus stress.5
Evaluation
Evaluation of an elbow injury should begin with a thorough history, including the nature of the injury mechanism/overuse, pain quality/location/radiation, and any associated neurological or vascular symptoms, such as numbness, tingling, weakness, or changes in temperature to the arm. The history should ensure questioning for other concomitant injuries. The history also should include patient occupation and tobacco smoking history as well as hand dominance since this may aid the orthopedist with disposition planning. The elbow exam should begin with inspection, palpation, active and passive range of motion, strength, and neurovascular exam, and then proceed to more specialized maneuvers. Inspection of the elbow might demonstrate obvious deformities, swelling, or overlying skin changes, which may help to narrow the differential diagnoses. Palpation should include known bony landmarks, soft tissues, and distal pulses. Bony landmarks for the elbow include the epicondyles and the olecranon. Soft tissue palpation may reveal swelling, masses, warmth of the skin, or point tenderness. The shoulder and wrist joint also should be evaluated for concomitant injuries.
Range of motion should be examined both actively and passively with flexion, extension, supination, and pronation. The normal range of motion will include 0 degrees at extension and from 0-140 degrees for flexion, while supination and pronation should include 180 degrees total along an axis from the radial head to the distal ulna. Typical activities of daily living necessitate a range of 30-130 degrees of flexion/extension and 50 degrees of both supination and pronation.6
Motor function for the elbow outside of range of motion should include testing the muscle groups involved in the joint, including the biceps, triceps, and forearm flexor/extensor groups. Sensory testing should include sensation of both the elbow joint and regions proximal and distal to the joint. The radial, ulnar, and median nerve are in proximity to the elbow and are commonly affected in traumatic elbow injuries. Hand and wrist motor deficits may indicate damage to these structures. Vascular assessment should assess for distal pulses, extremity perfusion, and capillary refill.
Specialized examination techniques specific to the elbow are summarized in Table 1. There are dozens of specialized elbow examinations, and a few of the most common are discussed here. Both valgus and varus stress should be applied to the elbow to evaluate for joint laxity.6 The Cozen test assesses for lateral epicondylitis (also referred to as tennis elbow). For this exam, palpate the patient’s lateral epicondyle while applying resistance against wrist extension. The book test also can be used to evaluate lateral epicondylitis. The patient keeps their arm in extension and forearm pronation while holding a book. The test is positive if this results in lateral epicondyle pain. For medial epicondylitis (also referred to as golfer’s elbow), apply resistance to the patient’s fist as the patient applies wrist flexion with forearm supination. If positive, this will result in medial epicondyle pain.
Table 1. Special Elbow Examinations | |||
Examination Technique | Purpose | Description | Findings |
Valgus Stress Test | Assess medial (ulnar) collateral ligament | Apply valgus force to elbow with arm slightly flexed (20°-30°) | Pain in the medial elbow or excessive laxity suggests MCL injury |
Varus Stress Test | Assess lateral (radial) collateral ligament | Apply varus force to elbow with arm slightly flexed (20°-30°) | Pain in the lateral elbow or excessive laxity suggests LCL injury |
Cozen Test | Assess for lateral epicondylitis (tennis elbow) | Palpate lateral epicondyle while applying resistance against patient’s extended wrist | Lateral epicondyle pain suggests lateral epicondylitis |
Book Test | Assess for lateral epicondylitis (tennis elbow) | Keep arm in extension with pronation while holding a book | Lateral epicondyle pain suggests lateral epicondylitis |
Golfer’s Elbow Test | Assess for medial epicondylitis (golfer’s elbow) | Patient flexes wrist against resistance with forearm supination and elbow extended | Medial epicondyle pain suggests medial epicondylitis |
Middle Finger Test | Distinguish lateral epicondylitis from radial tunnel syndrome | Apply flexion force against middle finger at PIP joint | Resistance causing pain suggests radial tunnel syndrome as opposed to lateral epicondylitis |
Tinel’s Sign | Assess for ulnar nerve entrapment | Tap the medial elbow along the ulnar groove | Tingling or “pins and needles” in ulnar nerve distribution suggests entrapment |
Hook Test | Assess for biceps tendon tear | Keep elbow bent at 90° with forearm supination and clinician uses index finger to attempt to “hook” biceps tendon | No palpable tendon suggests full biceps tendon rupture |
MCL: medial collateral ligament; LCL: lateral collateral ligament; PIP: proximal interphalangeal | |||
The middle finger test can be useful for distinguishing lateral epicondylitis from radial tunnel syndrome. Radial tunnel syndrome involves posterior interosseous nerve entrapment just distal to the lateral epicondyle and easily can be confused with lateral epicondylitis. For this test, apply a flexion force against the patient’s middle/long finger while they extend against this force. The flexion force should be applied distal to the proximal interphalangeal (PIP) joint. If this resistance causes proximal forearm pain in the extensor muscle region, there should be higher suspicion for radial tunnel syndrome.
Tinel sign of the elbow can evaluate for ulnar nerve entrapment. This test involves tapping the flexed medial elbow along the ulnar groove. A positive test will cause reproduction of the patient’s numbness, pain, or paresthesia along the ulnar nerve distribution.
The hook test can be used to evaluate for biceps tendon tear. For this examination, the patient flexes the elbow to 90 degrees with forearm supination while the provider presses an index finger into the distal region of the biceps tendon to “hook” it. A positive test for a full distal biceps tendon rupture includes no palpable tendon.
One systematic review studied various elbow tests performance for distal biceps rupture, posteromedial impingement, medial collateral ligament injury, triceps rupture, posterolateral rotatory instability, and epicondylitis. Twenty-four test procedures were described; however, none of the physical examination maneuvers had data providing any sort of accuracy to help determine sensitivity and specificity of these exams.7 However, other reviews have indicated that a thorough complete physical examination of the elbow might be helpful for facilitating diagnosis and treatment.8 Despite this discrepancy, the appropriate physical examination maneuvers should be used by emergency medicine physicians to guide further workup, treatment, and decisions for consultation of the appropriate specialist.
Injuries of the Elbow
Injuries of the elbow can affect a variety of relevant structures, including vasculature, nerves, soft tissue, and/or bones. Various injuries can be further subdivided into different categories, such as chronic overuse injuries, acute traumatic injuries, and pediatric or adult injuries.
Supracondylar Fracture
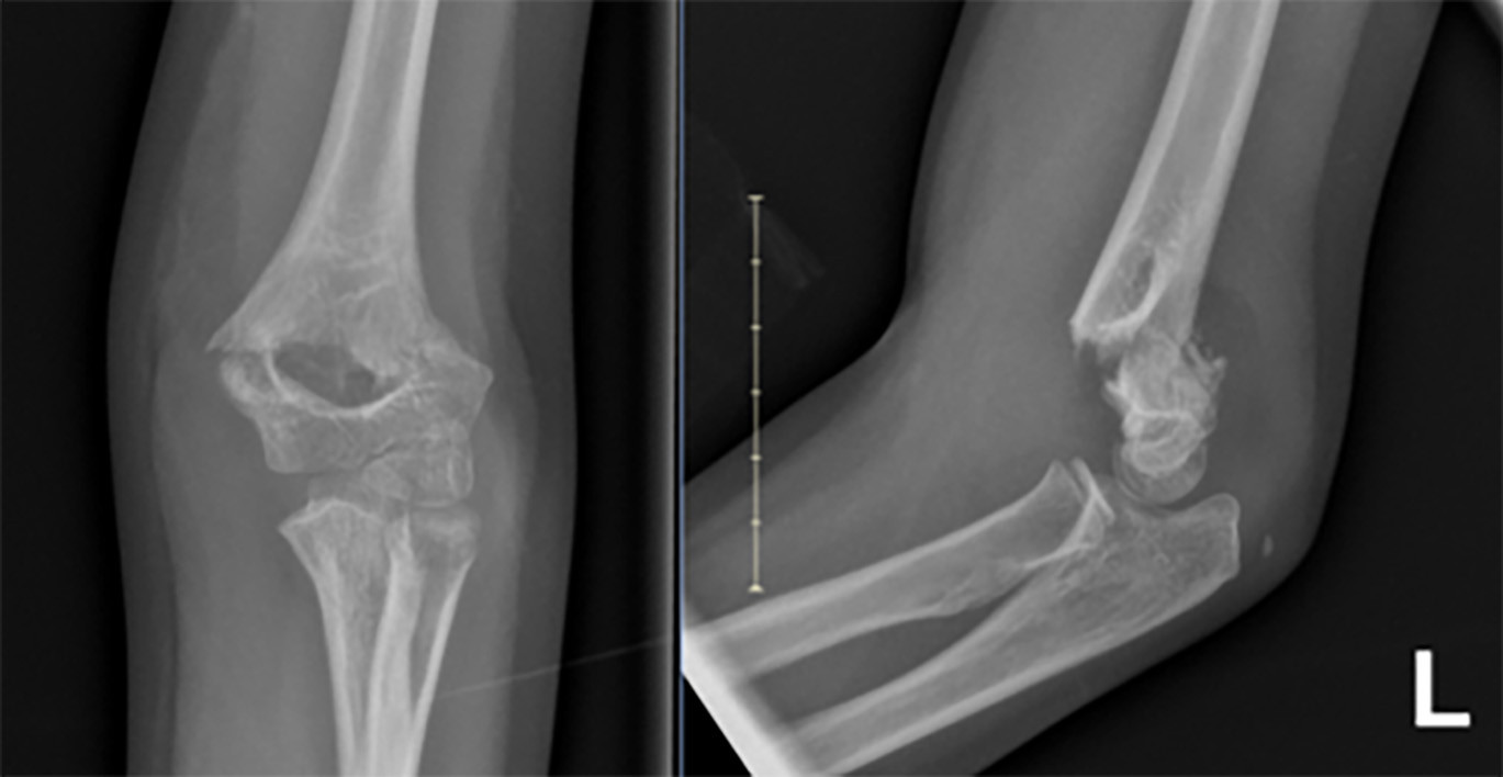
Supracondylar fractures most commonly occur between the ages of 2 and 10 years and typically are caused by a fall on an outstretched hand (FOOSH) mechanism with an extended elbow. While distal radius fractures are the most common pediatric fractures, supracondylar fractures are the most common fractures of the elbow in childhood, accounting for 50% to 70% of elbow fractures and roughly 30% of all limb fractures in those younger than age 7 years.9 Unfortunately, they have a high rate of complication, including neurovascular injury, stiffness, cubitus varus, and Volkman’s ischemic contracture.9 Any of the nerves about the elbow may be injured, although the anterior interosseous nerve is the most commonly injured and can be recognized by forearm pain and weakness of pincer grasp.10 Examination is very important because evidence of soft tissue injury, including swelling, tenting, ecchymosis, and/or puckering, is associated with neurovascular compromise and can help determine the speed at which surgical management is needed.11 These fractures can be identified on X-ray as demonstrated in Figure 1. Furthermore, the Gartland classification is used to classify pediatric supracondylar fractures and is described in Figure 2. Management of these fractures has been largely debated and still has great variation.12 The clinical practice guidelines from the American Academy of Orthopaedic Surgeons (AAOS) concluded the only moderate recommendations include nonsurgical immobilization in nondisplaced fractures or posterior fat pad signs and closed reduction along with pin fixation in those with displaced type II and III flexion fractures.13 Given the variation in practice patterns and ambiguity, orthopedic surgery consultation is warranted for these fractures.
Figure 1. Gartland 4 Supracondylar Fracture on AP and Lateral X-Ray |
![]() |
AP: anteroposterior Image courtesy of Matthew Oram, MD. |
Figure 2. Gartland Classification |
![]() |
Illustration by Lily Roberts |
Radial Head Fracture
Radial head fractures (RHF) are the most common elbow fracture. They occur most commonly in the anterolateral portion of the radial head with a FOOSH when the arm undergoes axial compression with the arm in a neutral position with the radial head compressing against the capitulum.14 The median age for these injuries is 43 years, with a large range from adolescence through late adulthood and a higher incidence in women experiencing injury from low-energy falls compared to high-force mechanisms of injury in males.15 Patients with radial head fractures may present with limited ability to pronate/supinate the forearm. X-ray is appropriate for evaluation of radial fractures, although X-ray may miss an Essex-Lopresti injury. Essex-Lopresti fracture includes a radial head fracture, distal radio-ulnar joint disruption, and interosseous membrane (IOM) rupture. IOM rupture can be diagnosed on examination with the C-fingers comparative test by squeezing the forearm with alternative pushing in the dorsal/volar directions trying to appreciate IOM resistance in each forearm.16 In addition to anteroposterior (AP) and lateral elbow and forearm X-rays, a radiocapitellar view can be an option for an oblique lateral view of the elbow. X-rays might show an anterior and/or posterior fat pad sign indicating a minimally displaced occult fracture; computed tomography (CT) imaging might be necessary for more subtle fractures or comminuted fractures with possible 3D reconstruction for surgery preparation. Magnetic resonance imaging (MRI) may be obtained if needed for ligamentous injuries but typically is not performed in the emergency department setting.17 Surgical intervention is becoming more popular for radial head fractures, with an increasing number of locking plate fixations and radial head arthroplasties.18 Treatment options for radial head fractures include nonoperative management if minimally displaced with early range of motion exercises in patients without mechanical block, nonoperative management vs. open reduction internal fixation (ORIF) for a partially displaced RHF, or radial head replacement/arthroplasty for displaced fractures and more than three fragments.19
Capitellum Fracture
A capitellum fracture is a fracture through the distal part of the humerus that occurs from a shear force with the capitellum and radial head colliding after a FOOSH.20 These fractures are quite rare, accounting for only 1% of elbow fractures.21 They are especially rare in children.22 Examination can show tenderness to palpation in the region with swelling and a possible deformity. X-ray is the imaging method of choice and best appreciated on a lateral X-ray, with CT imaging used for further classification of the fracture if needed.21 Management includes a long arm posterior splint for nondisplaced fractures for less than three weeks; otherwise, ORIF will be needed for displaced fractures, resorting to arthroplasty if it is deemed unable to be reconstructed.22
Olecranon Fracture
Olecranon fractures mostly occur in older adult patients from low-energy falls or high-energy injuries in younger patients.23 The mean age of occurrence is 57 years in adults, and they account for 10% of fractures of the upper extremity.23 These fractures can occur in pediatric patients as well, with a peak between the ages of 5-10 years, but they account for less than 5% of fractures in this group of patients.24 Examination is important for evaluating the extensor mechanism of the arm because disruption of the extensor mechanism will warrant surgical intervention. The preferred imaging modality is X-ray with AP/lateral images, with CT imaging if requested by orthopedic surgery for surgical planning. Non-operative management should be considered given the predominance of injury in older adults, especially if the patient has low levels of activity and demand.25 If non-operative management is pursued, immobilization at 45-90 degrees of flexion is preferred, with motion initiated at one week after.23 Patients typically recover well from these fractures; however, they may develop some limited elbow extension and flexion and degenerative changes on imaging thereafter if it is a closed isolated olecranon fracture.26
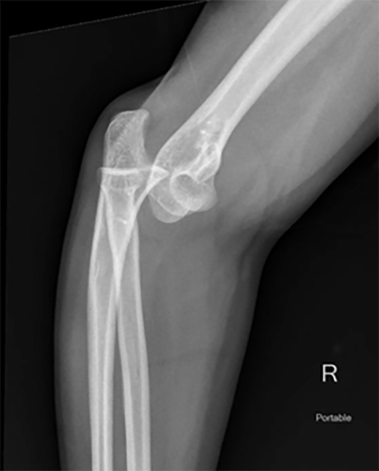
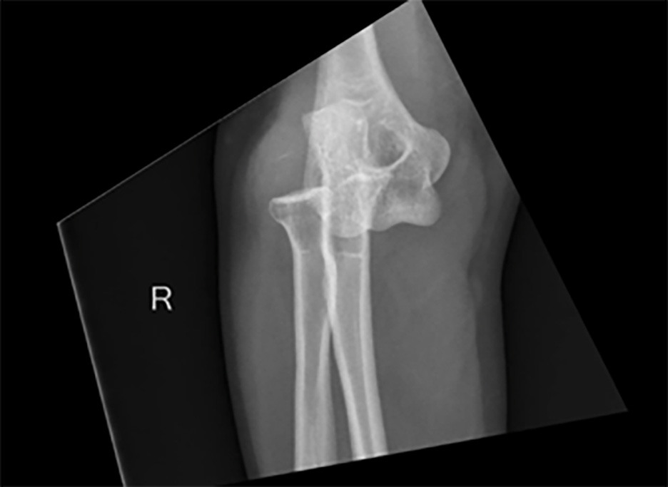
Elbow Dislocation
Elbow dislocations are the most common pediatric major joint dislocations and the second most common dislocations in adults. The mechanism typically involves a FOOSH resulting in a posterior dislocation.27 A thorough neurovascular examination is warranted given the proximity of the brachial artery, ulnar nerve, and median nerve; these injuries less commonly involve the radial nerve.27 X-ray is the preferred imaging modality (see Figures 3 and 4), with CT imaging considered for complex injuries involving surgical planning.28 After neurovascular assessment and imaging confirms the diagnosis, expedited reduction is indicated. Various reduction techniques are summarized in Table 2 and include:
- traction-countertraction, with two providers needed to apply forearm traction against countertraction on the proximal portion of the extremity at the distal humerus;
- patient-assisted countertraction in which the arm is placed across the chest so that the olecranon is pointing up to the ceiling and the patient keeps the elbow flexed while the provider applies traction with one hand and manipulation of the olecranon with the other;
- leverage technique in which the provider interlocks fingers with the patient (or grabs the wrist) while placing their elbow at the distal bicep and flexing the patient’s wrist; and
- modified Stimson technique in which a downward force is applied along the forearm similar to a shoulder reduction while the other hand is used for manipulation of the olecranon, although limited if patient is undergoing conscious sedation given the positioning of the patient.29
Figure 3. Posterior Elbow Dislocation on Lateral View |
![]() |
Image courtesy of Hunter Roberts, MD. |
Figure 4. Posterior Elbow Dislocation on AP View |
![]() |
AP: anteroposterior Image courtesy of Hunter Roberts, MD. |
Table 2. Elbow Reduction Techniques | ||
Technique | Steps | Consideration |
Traction-Countertraction (Posterior Dislocation) |
|
|
Traction-Countertraction (Anterior Dislocation) |
|
|
Patient-Assisted Countertraction Technique |
|
|
Leverage Technique |
|
|
Modified Stimson Technique |
|
|
AC: antecubital | ||
Anterior dislocations, which are rare, require a modification of traction-countertraction with downward forearm force and anterior distal humerus force.29 As with other reductions, performing and documenting a neurovascular examination is crucial both before and after the procedure is performed. Brachial artery injury is estimated in 5% to 13% of dislocations, but more often they are associated with penetrating or open injuries.27 After the initial reduction, treatment typically includes nonoperative management if they are simple, with five to 10 days of splinting at 90 degrees of elbow flexion with early motion. Otherwise, ORIF may be necessary if there are complicating associated injuries (i.e., ligamentous injuries, other associated fractures).28 It is noted that roughly 5% to 10% of elbow dislocations will be associated with radial fractures, 12% will be associated with epicondyle avulsion fractures, and 10% will be associated with coronoid fractures. Moreover, nearly 50% of pediatric elbow dislocations will be associated with fractures.30 Elbow instability is quite rare following these injuries. Rather, stiffness is far more common and warrants close orthopedic surgery follow-up.30 If there is difficulty with reduction, emergent orthopedic surgery consultation is warranted to protect the neurovasculature.
Biceps Tendon Rupture
Biceps tendon rupture can occur at the proximal or distal portions of the biceps tendon. Distal biceps tendon ruptures are rare and occur with extension forces acting against a flexed elbow. The majority of these patients are middle-aged males, and there has been an increase in incidence over recent decades from roughly one per 100,000 to 10 per 100,000.31 Outside of preexisting injury to the biceps tendon, risk factors for distal biceps tendon rupture are tobacco use, elevated body mass index (BMI), and use of anabolic steroids.32 Physical examination can aid in diagnosis. For acute complete bicep tendon ruptures, a positive hook test and biceps crease interval has a sensitivity of 94% with a specificity of 100%.33 The hook test is performed as previously described in the examination section. The biceps crease interval is obtained with the patient seated with elbow flexed at 90 degrees with the examiner placing a finger on the antecubital fossa with passive extension of the elbow and supination of the forearm. The flexion crease in the antecubital fossa then is marked as well as the beginning of the biceps curve; a distance of greater than 6 cm between these marks indicates a complete rupture of the distal biceps tendon. While MRI is considered the gold standard for diagnosis of biceps tendon rupture, ultrasound has been shown to have a slight advantage over MRI with distal bicep tendon complete and high-grade tears and also renders a more prompt diagnosis and treatment.34 Management includes more conservative management for older adult patients and those with low demand with a brief period of splinting; however, a majority of patients undergo operative fixation with better outcomes if surgical intervention occurs within four weeks to avoid tendon migration.35
Epicondylitis
Epicondylitis is a musculoskeletal disorder that involves pain at either the lateral or medial epicondyle of the distal humerus. The name “epicondylitis” implies inflammation despite a lack of inflammatory cells when examined histologically.36 The prevalence of epicondylitis is roughly 0.3% to 4% and is slightly more common in women.37 Additionally, lateral epicondylitis is more common than medial epicondylitis.37 These injuries often are the result of repetitive movements, forceful activities, or movements with awkward posture.37 Epicondylitis is colloquially referred to as golfer’s elbow and tennis elbow for medial epicondylitis and lateral epicondylitis, respectively, because the repetitive movements associated with these sports can result in these diagnoses. Medial epicondylitis results from injury of the common flexor tendon, which attaches to the medial condyle of the humerus. Lateral epicondylitis results from injury of the common extensor tendon as it attaches to the lateral epicondyle. Management is largely nonoperative for these conditions, along with activity modifications, nonsteroidal anti-inflammatory drugs (NSAIDs), bracing, physical therapy, shock wave therapy, and injection therapy. Some cases that do not respond to nonoperative management can undergo various surgical techniques for relief.38
Olecranon Bursitis
Sterile olecranon bursitis is inflammation of the olecranon bursa thought to be from microtrauma to the region. This results in pain and swelling at the dorsal elbow and typically resolves with conservative measures such as rest, orthotics, ice, and/or NSAIDs.39 Invasive interventions like surgery or intrabursal injections have been found to have adverse outcomes compared to conservative measures.39 Nonetheless, further treatment modalities are being studied with promise, such as hypothermal ablation, which appears to have fewer complications.40 Ultrasound can be a useful tool for characterization of fluid in the bursa. As opposed to the typical appearance of abscesses on ultrasound, findings of hyperechogenicity have been associated with tophi and can be helpful for diagnosing gout without invasive measures.41 A patient with an isolated tender bursa with no signs of infection and reassuring vitals and/or blood work should be considered for conservative management as described earlier.
It is important to try and differentiate between sterile and septic bursitis, although this can be difficult given some overlap in signs and symptoms. Both will present with a fluid-filled bursa that is tender in nature; however, septic bursitis typically will present with overlying skin changes consistent with infection and elevated inflammatory markers like erythrocyte sedimentation rate (ESR) and/or C-reactive protein (CRP).39 Studies have indicated that up to 50% of olecranon bursitis cases in the emergency department are septic in nature; however, 88% of suspected septic olecranon bursitis cases treated with antibiotics without bursal aspiration in the emergency department resolved without further treatment, injection, surgery, or antibiotics — making treatment without aspiration a consideration for certain patients.42 Nonetheless, a patient with a clinical presentation that is highly concerning for septic bursitis with pain, warmth to touch, erythema, systemic symptoms, concerning laboratory results, etc., should undergo aspiration before antibiotic administration with fluid sent for analysis, including culture, Gram stain, leukocyte count, crystal analysis, and glucose count along with other blood work such as complete blood count (CBC) and inflammatory markers.43 Aspiration is the gold standard for diagnosis and can help guide treatments for cultures in sensitivities so it should be used when there is concern for infection. The need for admission and intravenous (IV) antibiotics should be based on clinical examination (i.e., systemic symptoms and extent of evidence of disease at the elbow), and antibiotic coverage at minimum should cover Staphylococcus aureus given its prevalence in septic bursitis with medications like first-generation cephalosporins or penicillinase-resistant penicillins.43
Pronator Teres Syndrome
Pronator teres syndrome (PTS) describes a neuropathy in which the median nerve is affected due to compression. This is one of three median nerve neuropathies, the other two being carpal tunnel syndrome as well as anterior interosseous nerve syndrome. Compression of the nerve in PTS occurs where the median nerve passes through the two heads of the pronator teres muscle (ulnar and humeral) and is quite rare, only accounting for 1% to 5% of median nerve neuropathies.44 The presentation typically will include findings consistent with median nerve injury (pain in the forearm, weakness with forearm pronation, sensory changes in palmar aspect of first three digits, etc.) worsened with pronosupination of the arm.45 This typically will present in the fifth decade of life and is more common in females than males.45 Although the pathology is similar to carpal tunnel syndrome, Tinel sign should be positive about the proximal anterior forearm for PTS, with negative Tinel and carpal tunnel provocative testing about the wrist. Management typically involves conservative measures including NSAIDs and rest, ice, compression, and elevation (RICE therapy) with outpatient orthopedic surgery referral placed for outpatient follow-up. Surgical intervention is reserved for refractory cases, although other treatment modalities are being studied, such as perineural hydrodissection and steroid injection with ultrasound guidance.46 At a minimum, X-rays should be obtained for evaluation in the emergency department. Ultrasound can be a useful tool in determining nerve lesions and may be followed up with an MRI on an outpatient basis.47
Ligamentous Injury
The MCL, also known as the ulnar collateral ligament (UCL), and the LCL are the primary ligaments providing joint stability at the elbow. The MCL is comprised of three different ligamentous portions, while the LCL has four portions.6 The MCL is more commonly injured, especially in the setting of repeated overhead throwing motions, sometimes resulting in a “pop” if injured acutely, and it provides resistance to valgus and posteromedial rotatory stress.6 Examination may indicate increased valgus laxity on examination. X-rays of the elbow should be obtained from the emergency department, with possible need for MRI if requested by orthopedic surgery for surgical planning and if the imaging modality is available.
Ultrasound continues to prove to be a useful imaging modality for ligamentous injury. One developed protocol evaluating the muscle origins located at the epicondyles and the collateral as well as annular ligament complexes with ultrasound demonstrated fair to near perfect interobserver agreement with MRI and ultrasound depending on the extent of injury.48 A specific technique using ultrasound for MCL injury used a 2.5 kg weight causing valgus stress at the elbow. Ultrasound then was applied and compared to MRI to measure the joint space from the trochlea to the sublime tubercle of the coronoid process of the ulna (an indicator of medial instability). A cutoff of 0.5 mm for the joint space when measured at 30 degrees of elbow flexion with weight applied had a sensitivity of 88.1% and a specificity of 61.5% for MCL tear, while measurement of 1.0 mm at 90 degrees of elbow flexion had a sensitivity of 81% and a specificity of 66.4% for complete MCL tear.49 Further development of validated ultrasound techniques can help expedite care for those with ligamentous injury in the emergency department, especially for those in competitive sports given their higher likelihood of surgical management.
Nursemaid’s Elbow
Nursemaid’s elbow is a common childhood injury that occurs most typically from the ages of 1-4 years.50 This often is the result of longitudinal traction of the distal arm or hand that results in subluxation of the annular ligament.50 The child typically will present after a classic history of being swung by their arms or undergoing a sudden pulling movement on the arm (i.e., being pulled out of the way of oncoming traffic). The patient will not want to use their arm and will keep their elbow at slight flexion with pronation of the arm.50 Imaging typically is not needed if the patient presents with a classic story and physical examination consistent with a nursemaid’s elbow. Studies indicate that more than 25% of patients presenting for radial head subluxation receive X-rays, with only 0.3% of these finding additional fracture.51 Point-of-care ultrasound also has been demonstrated to have utility in aiding with the diagnosis of nursemaid’s elbow. An ultrasound examination can be used to look for the hook sign in which the supinator muscle has a hooked appearance instead of a tapered one and extends into the joint space with an increased synovial fringe.52 Ultrasound also can evaluate for an increase in echo-negativity between the radial head and capitellum that is consistent with radial head subluxation with a sensitivity of 64.9% and a specificity of 100%.50 This can help minimize radiation exposure in the pediatric population and allow for more rapid diagnosis.
There are two main techniques for nursemaid’s elbow reduction. The hyperpronation method involves keeping the elbow at 90 degrees with hyperpronation of the forearm, and the supination and flexion method uses supination of the forearm followed by flexion; systematic review has demonstrated that hyperpronation tends to be more effective and possibly less painful.53 For subluxations that are chronic and/or symptomatic and unable to be reduced, orthopedic surgery consultation is warranted because surgical intervention may be indicated.50
Medial Epicondyle Fracture
Medial epicondyle fractures are the third most common fracture of the elbow (~20% of pediatric elbow fractures).54 These typically are seen in children ages 9-14 years and more frequently in males than females.54 They are associated with elbow dislocations (50% to 60% of cases) and typically are the result of direct trauma or avulsion with an excessive valgus stress applied with the flexor-pronator mass contracted.54 Examination is important for evaluating for any obvious deformity as well as ulnar nerve function and sensation given its proximity. X-rays typically are adequate for diagnosis. There has been debate between conservative management and surgical intervention. Reviews have indicated that there are good outcomes regardless of surgical vs. nonoperative management.55 If surgical intervention is considered, important factors to consider are the extent of fracture displacement, ulnar nerve injury, and patient age.56 Nonetheless, surgical management frequently is pursued based on better union, short periods of immobilization, and prevention of joint instability.57
Lateral Epicondyle Fracture
Lateral epicondyle fractures are the second most common fracture of the elbow in pediatric patients after supracondylar fractures, and they typically occur around the age of 6 years.58 The mechanism of injury may be explained by the pull-off theory in which the extensor musculature causes more of an avulsion-like injury, or the push-off theory involving a FOOSH mechanism causing the radial head to hit the lateral epicondyle, resulting in fracture.58 Examination is important for assessing for signs of injury and deformity at the lateral elbow and neurovascular status. Management can be surgical or conservative. One population database review indicates that lateral epicondyle fractures have an incidence of 14 per 100,000, with a 17% complication rate and 3% reoperation rate regardless of fracture type or treatment modality, and with the most common complication being malunion.59 Typically, fractures with 2 mm or more of displacement will undergo surgical fixation vs. ORIF if 4 mm or more of displacement and/or disruption to the articular surface, while nonsurgical measures are used for injuries with less than 2 mm of displacement and no disruption of the articular surface.60 Further treatment modalities continue to be explored, such as ORIF with absorbable sutures that are placed in a transosseous manner. This has a potential benefit of preserving the growth plate and typically does not require a second surgery for fixation device removal.61 Given the variation in treatment options, orthopedic surgery consultation is warranted with these injuries to guide further management.
Salter-Harris Fractures
The Salter-Harris classification system has been used to further characterize fracture patterns in pediatric patients involving the epiphyseal plate (physis). These are quite common, accounting for 15% to 18% of pediatric fractures.62 Salter-Harris fractures commonly are associated with the acronym “SALTER,” which corresponds with types 1-5 of Salter-Harris fractures (see Figure 5) as follows: S-1 (slipped: through the physis); A-2 (above: metaphysis fracture above the physis); L-3 (lower: epiphyseal fractures below the physis); T-4 (through: metaphysis and epiphysis fracture through the physis); and R-5 (rammed: crushed/compressed growth plate). The location of the fracture is important to note because the growth plate is merely a weak layer of cartilage with poor blood supply and poor healing, resulting in significant complication such as premature plate closure resulting in long-term limb deformities if not addressed appropriately.63
Figure 5. Salter-Harris Fractures |
![]() |
Illustration by Lily Roberts |
Of these five types, type 2 remains the most common, accounting for 75% of cases, with types 3 and 4 accounting for 10%, type 1 accounting for 5%, and type 5 being rare and largely diagnosed later.64 Male pediatric patients tend to be affected more because of their more frequent participation in high-energy and riskier activities, with injuries occurring most often around 12-14 years of age in males and 11-12 years of age in females.64 While these injuries usually are diagnosed on X-ray, ultrasound has been implemented to try and distinguish injuries such as Salter-Harris type 2 fractures from other cortical fracture types by measuring the fracture-physis distance, but this is not yet validated.65 Treatments can range from closed reduction to closed reduction percutaneous pinning (CRPP) to ORIF and largely vary depending on the fracture pattern. As well, there is debate regarding optimal treatment for certain fracture patterns. For example, the management of a Salter-Harris type 2 with displacement may vary among orthopedic specialists because there is a lack of definitive literature regarding better outcomes with conservative management with casting or surgical intervention.66 Generally, Salter-Harris types 1 and 2 likely can be placed in a splint or brace with orthopedic surgery follow-up and types 3-5 warrant splinting with immediate orthopedic surgery consultation. However, it is important to note that the Salter-Harris system is a useful descriptive tool allowing for injury classification and not a system to determine treatment. It is important to communicate with orthopedic surgery colleagues if there is concern, given the natural limitations of this system.62
Conclusion
Elbow injuries continue to be a very common complaint that presents to the emergency department. These injuries involve a complex joint that includes many important structures, with injuries that vary greatly depending on patient demographics and presentation. It is important that emergency medicine clinicians remain prepared to evaluate, diagnose, and treat these various elbow injuries.
Hunter A. Roberts, MD, is Emergency Medicine Resident, Wright State University, Boonshoft School of Medicine, Dayton, OH.
Matthew D. Oram, MD, is Emergency Medicine Physician, Wright State University, Dayton, OH; United States Air Force.
References
- Singer AD, Hanna T, Jose J, Datir A. A systematic, multimodality approach to emergency elbow imaging. Clin Imaging. 2016;40(1):13-22.
- Ciccotti MG, Pollack KM, Ciccotti MC, et al. Elbow injuries in professional baseball: Epidemiological findings from the Major League Baseball Injury Surveillance System. Am J Sports Med. 2017;45(10):2319-2328.
- Kaufmann RA, Wilps T, Musahl V, Debski RE. Elbow biomechanics: Soft tissue stabilizers. J Hand Surg Am. 2020;45(2):140-147.
- Bryce CD, Armstrong AD. Anatomy and biomechanics of the elbow. Orthop Clin North Am. 2008;39(2):141-154.
- Wilps T, Kaufmann RA, Yamakawa S, Fowler JR. Elbow biomechanics: Bony and dynamic stabilizers. J Hand Surg Am. 2020;45(6):528-535.
- Karbach LE, Elfar J. Elbow instability: Anatomy, biomechanics, diagnostic maneuvers, and testing. J Hand Surg Am. 2017;42(2):118-126.
- Zwerus EL, Somford MP, Maissan F, et al. Physical examination of the elbow, what is the evidence? A systematic literature review. Br J Sports Med. 2018;52(19):1253-1260.
- Smith MV, Lamplot JD, Wright RW, Brophy RH. Comprehensive review of the elbow physical examination. J Am Acad Orthop Surg. 2018;26(19):678-687.
- Baig MN. A review of epidemiological distribution of different types of fractures in paediatric age. Cureus. 2017;9(8):e1624.
- Babal JC, Mehlman CT, Klein G. Nerve injuries associated with pediatric supracondylar humeral fractures: A meta-analysis. J Pediatr Orthop. 2010;30(3):253-263.
- Ho CA, Podeszwa DA, Riccio AI, et al. Soft tissue injury severity is associated with neurovascular injury in pediatric supracondylar humerus fractures. J Pediatr Orthop. 2018;38(9):443-449.
- Barrie A, Kent B; Supra Man Collaborative. Supracondylar elbow fracture management (Supra Man): A national trainee collaborative evaluation of practice. Bone Joint J. 2023;105-B(1):82-87.
- Howard A, Mulpuri K, Abel MF, et al. The treatment of pediatric supracondylar humerus fractures. J Am Acad Orthop Surg. 2012;20(5):320-327.
- Lacheta L, Siebenlist S, Lauber M, et al. Proximal radius fracture morphology following axial force impact: A biomechanical evaluation of fracture patterns. BMC Musculoskelet Disord. 2019;20:147.
- Duckworth AD, Clement ND, Jenkins PJ, et al. The epidemiology of radial head and neck fractures. J Hand Surg Am. 2012;37(1):112-119.
- Fontana M, Cavallo M, Bettelli G, Rotini R. Diagnosis and treatment of acute Essex-Lopresti injury: Focus on terminology and review of literature. BMC Musculoskeletal Disord. 2018;19(1):312.
- Sanchez-Sotelo J, Abboud J, Myers D. Radial head fractures. Ortho Bullets. Updated Dec. 26, 2024. https://www.orthobullets.com/trauma/1019/radial-head-fractures
- Klug A, Gramlich Y, Wincheringer D, et al. Epidemiology and treatment of radial head fractures: A database analysis of over 70,000 inpatient cases. J Hand Surg Am. 2021;46(1):27-35.
- Pike JM, Athwal GS, Faber KJ, King GJW. Radial head fractures—An update. J Hand Surg Am. 2009;34(3):557-565.
- Ha C, Lee JK, Kim S, et al. Incidence and pattern of concurrent capitellum fracture associated with radial head and neck fractures. Orthop Traumatol Surg Res. 2023;109(5):103531.
- Yoon R, Sanchez-Sotelo J. Capitellum fractures. Ortho Bullets. Updated Oct. 18, 2023. https://www.orthobullets.com/trauma/1023/capitellum-fractures
- Yang D, Baghdadi S, Värk PR, et al. Classification and treatment of pediatric capitellar fractures. J Pediatr Orthop. 2024;44(6):358-365.
- Karadsheh M, Sanchez-Sotelo J. Olecranon fractures. Ortho Bullets. Updated Feb. 14, 2024. https://www.orthobullets.com/trauma/1022/olecranon-fractures
- Edgington J, Andras L. Olecranon fractures — Pediatric. Ortho Bullets. Updated Aug. 27, 2022. https://www.orthobullets.com/pediatrics/4010/olecranon-fractures--pediatric
- Duckworth AD, Clement ND, Aitken SA, et al. The epidemiology of fractures of the proximal ulna. Injury. 2012;43(3):343-346.
- Karlsson MK, Hasserius R, Karlsson C, et al. Fractures of the olecranon: A 15- to 25-year followup of 73 patients. Clin Orthop Relat Res. 2002;(403):205-212.
- Carter SJ, Germann CA, Dacus AA, et al. Orthopedic pitfalls in the ED: Neurovascular injury associated with posterior elbow dislocations. The American Journal of Emergency Medicine. 2010;28(8):960-965.
- Frank R, Cohen M. Elbow dislocation. Ortho Bullets. Updated Dec. 30, 2024. https://www.orthobullets.com/trauma/1018/elbow-dislocation
- Gottlieb M, Schiebout J. Elbow dislocations in the emergency department: A review of reduction techniques. J Emerg Med. 2018;54(6):849-854.
- Kuhn MA, Ross G. Acute elbow dislocations. Orthop Clin North Am. 2008;39(2):155-161.
- Launonen AP, Huttunen TT, Lepola V, et al. Distal biceps tendon rupture surgery: Changing incidence in Finnish and Swedish men between 1997 and 2016. J Hand Surg Am. 2020;45(11):1022-1028.
- Caekebeke P, Duerinckx J, van Riet R. Acute complete and partial distal biceps tendon ruptures: What have we learned? A review. EFORT Open Rev. 2021;6(10):956-965.
- Zwerus EL, van Deurzen DFP, van den Bekerom MPJ, et al. Distal biceps tendon ruptures: Diagnostic strategy through physical examination. Am J Sports Med. 2022;50(14):3956-3962.
- de la Fuente J, Blasi M, Martínez S, et al. Ultrasound classification of traumatic distal biceps brachii tendon injuries. Skeletal Radiol. 2018;47(4):519-532.
- Vishwanathan K, Soni K. Distal biceps rupture: Evaluation and management. J Clin Orthop Trauma. 2021;19:132-138.
- Weiss LD, Weiss JM. Chapter 19 - Epicondylitis. In: Frontera WR, Silver JK, Rizzo TD, eds. Essentials of Physical Medicine and Rehabilitation: Musculoskeletal Disorders, Pain, and Rehabilitation. 2nd ed. W.B. Saunders; 2008:105-108.
- Shiri R, Viikari-Juntura E. Lateral and medial epicondylitis: Role of occupational factors. Best Pract Res Clin Rheumatol. 2011;25(1):43-57.
- Hohmann E. Editorial commentary: Arthroscopic debridement of tennis elbow nonresponsive to nonoperative measures is a good option and clinical outcomes are associated with radiographic outcomes. Arthroscopy. 2022;38(12):3130-3132.
- Nchinda NN, Wolf JM. Clinical management of olecranon bursitis: A review. J Hand Surg Am. 2021;46(6):501-506.
- Victor K, Verstuyft LA, Berghs BM. Hydrothermal ablation in recurrent or chronic olecranon bursitis: A prospective study. J Shoulder Elbow Surg. 2024;33(9):1999-2007.
- Fernandes EA, Lopes MG, Mitraud SAV, et al. Ultrasound characteristics of gouty tophi in the olecranon bursa and evaluation of their reproducibility. Eur J Radiol. 2011;81(2):317-323.
- Beyde A, Thomas AL, Colbenson KM, et al. Efficacy of empiric antibiotic management of septic olecranon bursitis without bursal aspiration in emergency department patients. Acad Emerg Med. 2021;29(1):6-14.
- Reilly D, Kamineni S. Olecranon bursitis. J Shoulder Elbow Surg. 2016;25(1):158-167.
- Binder H, Zadra A, Popp D, et al. Outcome of surgical treated isolated pronator teres syndromes—A retrospective cohort study and complete review of the literature. Int J Environ Res Public Health. 2021;19(1):80.
- Abbasi D. Pronator syndrome. Ortho Bullets. Updated Oct. 6, 2024. https://www.orthobullets.com/hand/6020/pronator-syndrome
- Delzell PB, Patel M. Ultrasound-guided perineural injection for pronator syndrome caused by median nerve entrapment. J Ultrasound Med. 2020;39(5):1023-1029.
- Zaidman CM, Seelig MJ, Baker JC, et al. Detection of peripheral nerve pathology: Comparison of ultrasound and MRI. Neurology. 2013;80(18):1634-1640.
- Hallgren HB, Nicolescu D, Törnqvist L, et al. Ultrasonographic examination of acute soft tissue lesions in the elbow has good inter-rater reliability and acceptable agreement with magnetic resonance imaging. J Shoulder Elbow Surg. 2024;33(7):1615-1623.
- Park JY, Kim H, Lee JH, et al. Valgus stress ultrasound for medial ulnar collateral ligament injuries in athletes: Is ultrasound alone enough for diagnosis? J Shoulder Elbow Surg. 2020;29(3):578-586.
- Shaath K, Shirley E. Nursemaid’s elbow. Ortho Bullets. Updated Aug. 21, 2022. https://www.orthobullets.com/pediatrics/4012/nursemaids-elbow
- Genadry KC, Monuteaux MC, Neuman MI, Lipsett SC. Management and outcomes of children with nursemaid’s elbow. Ann Emerg Med. 2021;77(2):154-162.
- McCreary DJ, Tambe N, Mullen N. What is the utility of point-of-care ultrasound for suspected pulled elbow? A single-centre case series. J Paediatr Child Health. 2024;60:698-702.
- Bexkens R, Washburn FJ, Eygendaal D, et al. Effectiveness of reduction maneuvers in the treatment of nursemaid’s elbow: A systematic review and meta-analysis. Am J Emerg Med. 2017;35(1):159-163.
- Torchia M, Shirley E, Skaggs DL. Medial epicondylar fractures — Pediatric. Ortho Bullets. Updated Oct. 10, 2024. https://www.orthobullets.com/pediatrics/4008/medial-epicondylar-fractures--pediatric
- Pezzutti D, Lin JS, Singh S, et al. Pediatric medial epicondyle fracture management: A systematic review. J Pediatr Orthop. 2020;40(8):e697-e702.
- Stelmach W, Beczkowski J, Zając P, et al. Clinical and radiological evaluation of surgical treatment of medial epicondyle fractures of humerus in children. A two-centre study. Sci Rep. 2023;13:10095.
- Scherer S, Dietzel M, Jordan N, et al. Changes in the management of pediatric medial humeral epicondyle fractures with and without associated elbow dislocation. Injury. 2021;52(8):2257-2264.
- Shaath K, Souder C, Skaggs DL. Lateral condyle fracture — Pediatric. Ortho Bullets. Updated Jan. 21, 2023. https://www.orthobullets.com/pediatrics/4009/lateral-condyle-fracture--pediatric
- Wellings EP, Sullivan MH, Thapa P, et al. Incidence and long-term follow-up of pediatric lateral condyle fractures: A population-based study. J Pediatr Orthop. 2025;45:e119-e124.
- Abzug JM, Dua K, Kozin SH, Herman MJ. Current concepts in the treatment of lateral condyle fractures in children. J Am Acad Orthop Surg. 2020;28(1):e9-e19.
- Masci G, Basiglini L, Giusti C, et al. Lateral humeral condyle fracture in childhood: Results of a new surgical technique. J Clin Med. 2024;13(10):2830.
- Cepela DJ, Tartaglione JP, Dooley TP, Patel PN. Classifications In Brief: Salter-Harris classification of pediatric physeal fractures. Clin Orthop Relat Res. 2016;474(11):2531-2537.
- Deng H, Zhao Z, Xiong Z, et al. Clinical characteristics of 1124 children with epiphyseal fractures. BMC Musculoskelet Disord. 2023;24:598.
- Levine RH, Thomas A, Nezwek TA, Waseem M. Salter-Harris fracture. In: StatPearls. StatPearls Publishing; 2025. Aug. 10, 2023. http://www.ncbi.nlm.nih.gov/books/NBK430688/
- Snelling PJ, Jones P, Gillespie A, et al. Point-of-care ultrasound fracture–physis distance association with Salter–Harris II fractures of the distal radius in children: The “POCUS 1-cm Rule.” Ultrasound Med Biol. 2023;49(2):520-526.
- Peterson N, Perry DC. Displaced distal tibial Salter-Harris II fractures. Bone Joint J. 2023;105-B(5):471-473.
Elbow injuries continue to be a very common complaint that presents to the emergency department. These injuries involve a complex joint that includes many important structures, with injuries that vary greatly. It is important that emergency medicine clinicians remain prepared to evaluate, diagnose, and treat these various elbow injuries.
You have reached your article limit for the month. Subscribe now to access this article plus other member-only content.
- Award-winning Medical Content
- Latest Advances & Development in Medicine
- Unbiased Content




