Computed Tomography Scans in Pediatric Trauma
July 1, 2023
AUTHORS
Pradeep Padmanabhan, MD, MSc
Associate Professor of Pediatrics, Wright State University; Associate Program Director, Pediatric Emergency Medicine Fellowship, Dayton Children’s Hospital, Dayton, OH
Jonathan Elliott, MD
Fellow, Pediatric Emergency Medicine, Dayton Children’s Hospital, Dayton, OH
PEER REVIEWER
Mary Jo Bowman, MD, FAAP
Associate Professor of Clinical Pediatrics, Ohio State University College of Medicine; Attending Physician, Emergency Department, Nationwide Children’s Hospital, Columbus, OH
EXECUTIVE SUMMARY
- Aside from the increased risks associated with high doses of ionizing radiation, the number of incidental findings and false-positive tests that leads to further interventions that carry their own risk of morbidity is not insignificant.
- The Pediatric Emergency Care Applied Research Network (PECARN) head computed tomography (CT) criteria, published in 2009, is one of the most widely used pediatric CT decision tools today. The tool has an overall sensitivity of greater than 95% and is particularly useful for ruling out the possibility of a clinically significant traumatic brain injury without the need for a CT scan.
- The PECARN group has identified eight risk factors for cervical spine injury in pediatric patients: altered mental status, focal neurologic deficit, complaint of neck pain, torticollis, substantial injury to the torso, predisposition for cervical spine injury, high-risk motor vehicle collision (head trauma or multisystem trauma), and diving injuries. Since most of the mentioned criteria are difficult to apply to the youngest of pediatric patients, a separate decision tool, the Pieretti-VanMarcke Score, has been created for patients younger than 3 years of age. The following four predictors are identified: Glasgow Coma Scale score (GCS) < 14 (3 points), GCS eye component = 1 (2 points), motor vehicle collision (2 points), age 2 years or older (1 point). A score of 0 or 1 indicates imaging may be unnecessary.
- The pediatric patient has a more compliant chest wall due to incomplete ossification of the ribs. Subsequently, they are less likely to suffer rib fractures, but pediatric patients are more likely to experience pulmonary contusions. Hence, the presence of rib fractures in a pediatric trauma patient indicates that the force resulting in the fractures was significant, and a thorough investigation, perhaps by chest CT, to identify additional injuries is warranted.
- The PECARN clinical prediction rule addresses the severity of blunt abdominal trauma in children, as well as indications that require CT scan of the abdomen. The prediction rule has high sensitivity but low specificity. If the child has a GCS above 13, no abdominal pain, no vomiting, no signs of thoracic or abdominal trauma (like seat belt sign), and no decrease in breath sounds, the child is at low risk and does not require imaging with a CT scan.
— Ann M. Dietrich, MD, Editor
Epidemiology/Background
Computed tomography (CT) scans are critical in the evaluation of pediatric trauma. First, they provide detailed anatomical information that often is critical in the diagnosis and treatment of injuries. In addition, they are noninvasive and can be performed quickly, making them a valuable tool in the emergency setting. Thirdly, CT scans are highly accurate in the detection of injuries for identifying internal bleeding and organ damage.
The use of CT scans in children has increased dramatically over the years. The number of CT scans in pediatric trauma patients increased by 330% between 1995 and 2008.1 This trend has continued with the use of CT scans in pediatric trauma patients further increasing by approximately 60% between 2006 and 2014.2
With the increase in CT use, there is an effort to reduce the radiation exposure to children who are more sensitive than adults to the mutagenic effects of ionizing radiation and have a longer time post exposure for the development of neoplasms related to radiation exposure. Creating awareness of the risks of radiation, formulating protocols to limit the number of CT scans (e.g., Pediatric Emergency Care Applied Research Network [PECARN] criteria for head CT scans), and reducing radiation dose for pediatric CT studies have helped decrease the risk.3
Many pediatric trauma patients are cared for at adult facilities initially, as more than 17 million children live more than an hour away from a pediatric trauma center.1 Thus, it is important for all caregivers to understand the approach to imaging in the pediatric trauma patient. This review will examine the utility of CT scans in pediatric trauma and discuss the risks and benefits of this important diagnostic tool.
Use of CT Scans in Pediatric Trauma Centers
There are various designations by the American College of Surgeons (ACS) for pediatric trauma centers, with a highest designation (Level I) for those facilities that are capable of providing the highest quality and most timely care for acutely injured children.4 A Level I pediatric trauma center is a comprehensive regional center that is a tertiary care resource capable of providing total care for every aspect of injury — from prevention through rehabilitation. The counties with a pediatric trauma center have significantly lower rates of pediatric motor vehicle collision deaths compared to those without a trauma center, even after adjusting for trauma severity.5 Improved outcomes have been noted in children who are treated at trauma centers, including a decreased rate of repeat head CTs, increased detection of nonaccidental trauma, and decreased rates of laparotomy for patients involved in motor vehicle collisions.4
For pediatric trauma patients who are cared for at a Level I pediatric trauma center, there is a lower rate of cervical spine CT imaging compared to those seen at an adult Level I trauma center.6 A higher rate of CT scans in pediatric trauma patients was performed when cared for by an emergency medicine attending compared to those cared for by a pediatric emergency medicine attending.7 While no one wants to miss a significant injury in a pediatric trauma patient, liberal use of CT scans is not benign. Aside from the increased risks associated with high doses of ionizing radiation, the number of incidental findings and false-positive tests that leads to further interventions that carry their own risk of morbidity is not insignificant. One study found at least one false-positive finding for every clinically significant finding on CT. Patients who received four or more CT scans had a significantly longer length of stay, even after adjusting for severity of illness.8 Another large multicenter review found that stand-alone Level I pediatric trauma centers were least likely to perform CT scans for children with minimal or no injuries, without an increase in negative outcomes.9 The previously mentioned disparities in care represent opportunities for improvement through education and training.
Head CT
Traumatic brain injuries are the primary cause of death in childhood trauma worldwide.10 It is important to note that less than 5% of all U.S. hospitals discharged nearly 80% of all severe traumatic brain injuries.11
There are several clinical decision tools that may be used to determine who requires imaging via CT scan in pediatric patients who present with head trauma. The PECARN head CT criteria, published in 2009, is one of the most widely used pediatric CT decision tools today.12 The tool has an overall sensitivity of greater than 95% and is particularly useful for ruling out the possibility of a clinically significant traumatic brain injury without the need for a CT scan.13 The algorithm in Figure 1 is based on the PECARN criteria. The algorithm also includes the risk of clinically important traumatic brain injury (ciTBI) among those who fall into each category.14 (See Figure 1 online in the following article: https://onlinelibrary.wiley.com/doi/10.1111/acem.14308.)
Additional studies have since externally validated the PECARN criteria.15,16 A recent multicenter observational study with more than 15,000 children found only a single patient in whom a ciTBI was missed, and the patient did not require any neurosurgical intervention.14 Caution should be used when caring for infants younger than 3 months of age with head trauma because they have been shown to have a higher frequency of ciTBI.17
Previous literature has shown that applying PECARN guidelines has reduced the rate of head CT scans among children, particularly among those younger than 2 years of age.18 However, compliance with the PECARN guidelines is variable and may be as low as 52.3%.19 There is a particularly high rate of variability among the youngest of infants (3 months of age and younger).20 There is inadequate information regarding the use of this decision tool in adult trauma centers. However, it was noted in a study of pediatric head trauma patients transferred to a Level I pediatric trauma center that nearly 75% of the CT scans could potentially have been avoided by correctly applying the PECARN criteria.12
When a child has a more than mild TBI or when there is concern for non-accidental trauma, a 3D reconstruction of the head CT can be valuable to improve the sensitivity in diagnosing skull fractures by allowing for easier differentiation between fracture lines and suture patterns. This is particularly useful when abusive head trauma is being considered.21 The developmental stage of the child along with the pattern of injuries are key components that must be considered in every child evaluated for trauma. The absence of an explanation for the injury, an inconsistent or changing history, or an unwitnessed event in very young children should alert the possibility for abusive head trauma. When abusive head trauma is suspected, a non-contrast head CT is the preferred initial imaging modality.22
Facial CT
Facial bone fractures may be most accurately identified and defined using a dedicated CT scan of the face/orbits. Isolated nasal bone fractures frequently do not require imaging. If a nasal bone fracture is identified, care should be taken to identify if there is an associated nasal septal hematoma, which requires urgent drainage.23
Facial fracture patterns vary by age. Midface fractures are more common among adolescents. Mandible fractures are the most common facial fracture identified in pediatric trauma patients. Because of the pliability of bone among young pediatric patients, greenstick type fractures are more common. Orbital fractures can entrap the orbital muscles. As a consequence, CT imaging sometimes may not reveal a fracture. Care should be exercised to conduct a thorough examination of the extraocular movements to identify such injuries.23
In an effort to reduce radiation exposure, a large retrospective review determined that head CT was an effective screening tool for facial fractures as opposed to performing head and facial CT scans.24 If a fracture is identified on head CT, and the fracture requires further definition, particularly for surgical planning, then a dedicated facial CT should be obtained at that time. If there are no signs of a mandible or dental injury on exam, and a head CT does not show a facial fracture, then a dedicated facial CT may be avoided.
Neck CT
Blunt Neck Trauma
Because of the anatomical and physiologic differences between children and adults, the patterns of cervical spine injuries seen are significantly different. Young children have a larger head relative to their body size, ligamentous laxity, and incomplete ossification. Children ages 8 years and younger are more likely to have upper cervical spine injuries because of the relatively larger head size in comparison to their bodies, causing C3 to act as a fulcrum.25 Additionally, growing children have open ossification centers, leading to the possibility of growth plate injuries. Facet joints, which are more horizontally arranged, along with wedging of growing vertebral bodies, lead to a higher risk of dislocation injuries in the pediatric population.26 Between the ages of 8-10 years, the cervical anatomy and, thus, the pattern of injuries is not significantly different than in adults.27
In adult trauma patients with concern for cervical spine injuries, both the National Emergency X-Radiology Utilization Study (NEXUS) criteria and Canadian C-Spine criteria are validated decision tools that have been shown to decrease CT use while not exposing the patient to undue risk of a missed significant cervical spine injury. There is much less research regarding the use of protocols among pediatric patients, and much variation exists in the approach to cervical spine imaging between institutions.28 Adult decision tools, such as the NEXUS criteria, are not validated for pediatric patients, and their utility may be limited, depending on the developmental stage of the child.29
The PECARN group has identified eight risk factors for cervical spine injury in pediatric patients: altered mental status, focal neurologic deficit, complaint of neck pain, torticollis, substantial injury to the torso, predisposition for cervical spine injury, high-risk motor vehicle collision (head trauma or multisystem trauma), and diving injuries. Since most of the mentioned criteria are difficult to apply to the youngest of pediatric patients, a separate decision tool, the Pieretti-VanMarcke Score, has been created for patients younger than 3 years of age. The following four predictors are identified: Glasgow Coma Scale score (GCS) < 14 (3 points), GCS eye component = 1 (2 points), motor vehicle collision (2 points), and age 2 years or older (1 point). A score of 0 or 1 indicates imaging may be unnecessary.25
The American College of Radiology advises that plain films of the cervical spine usually are adequate, and it does not strongly advocate for CT as the initial imaging modality. This recommendation is in part due to the risk of radiation and the possible need for sedation. In contrast, other groups, such as the Eastern Association for the Surgery of Trauma, recommend CT be obtained as the initial study, and the American Association of Neurologic Surgeons advises either plain radiographs or a CT scan may be used.25 Figure 2 outlines one institution’s approach to clearing the cervical spine in pediatric trauma patients.
Figure 2. Cervical Spine Clearance |
![]() |
Source: Dayton Children’s Hospital Clinical Practice Guideline. NEXUS: National Emergency X-Radiology Utilization Study; CCR: Canadian C-spine Rule. Reprinted with permission from Dayton Children’s Hospital. |
Specific Pediatric Spine Injuries
There are several specific types of cervical spine injuries that warrant further discussion regarding pediatric considerations and imaging techniques.
SCIWORA
Spinal cord injury without radiographic abnormality (SCIWORA) is a condition particularly important in the pediatric trauma patient. As suggested by the name, SCIWORA occurs when CT scans of the spine are normal, despite a spinal cord injury. This most commonly occurs in children younger than age 8 years, due to the previously mentioned anatomic differences.27 Because of the higher elasticity of the spinal column, underdeveloped musculature, and laxity of the ligaments, there is more flexibility of the spinal column in comparison to the spinal cord itself.26 A high suspicion should be maintained for this condition, since routine imaging will not detect any abnormalities.27 Hence, in the patient with examination findings concerning for a spinal cord injury, C-spine precautions should continue to be maintained, even in the presence of a normal CT scan and MRI imaging arranged.
Subluxation and Pseudosubluxation
Atlantoaxial subluxation or dissociation is a rare but life-threatening traumatic spine injury in children. It is one of the leading causes of death in motor vehicle collisions.27 The diagnosis can be made by either plain films or cervical spine CT. However, cervical spine CT should be considered, since there is a very high risk of an associated spinal cord injury at the brainstem. Various congenital malformations and genetic conditions (Down syndrome [most common] and skeletal dysplasias like Goldenhar syndrome, mucopolysaccharidoses, etc.) may place patients at higher risk of developing atlantoaxial subluxation. Patients with Down syndrome are at particular risk of this condition, with up to 15% having atlantoaxial subluxation.30 As such, pay special attention to strict cervical spine precautions in trauma patients with Down syndrome.
C2-C3 pseudosubluxation is an additional finding that is unique to children. Pseudosubluxation may be defined as less than 2 mm between the cortex of the spinous process of C2 and Swischuck’s line (the line between the cortex of the spinous processes of C1 to C3). Pseudosubluxation easily may be mistaken for a spine injury. However, this is a benign finding in the young child (younger than age 8 years), due to the immaturity of the spine and ligamentous laxity discussed previously.27
Jefferson Fracture/ Pseudo-Jefferson Fracture
A Jefferson fracture is a burst fracture of the ring component of C1. This typically is caused by an axial-loading injury to the head. Unique to the pediatric patient is the pseudo-Jefferson fracture of childhood. This entity is so named because X-ray or CT appears to show a Jefferson fracture. However, this does not represent a true fracture, but instead is caused by cartilage artifact due to disproportionate growth of C1 to C2. This finding is very common, seen in up to 90% of those younger than age 2 years, but it resolves by age 4-6 years.30
Hangman’s Fracture and Pseudosubluxation
The hangman’s fracture is a traumatic spondylolisthesis of C2 as a result of hyperextension of the neck. Hyperflexion may follow the initial hyperextension, causing subluxation of C2 on C3.30 A hangman’s fracture is rare in children because of the anatomic differences between the adult and pediatric spinal cord, as has been discussed previously.31 While true fracture and subluxation is uncommon, pseudosubluxation or physiologic subluxation of C2-C3 or C3-C4 is seen in up to one-fourth of children younger than the age of 8 years. This may be mistaken for a subtle hangman’s fracture. A true hangman’s fracture and pseudosubluxation may be differentiated by using Swischuk’s line, which was discussed previously.30
Cervical Distraction Injuries
Finally, cervical distraction injuries deserve special consideration. While this type of injury is somewhat rare, it is much more likely in pediatric patients compared to adult patients. Strong clinical suspicion from the mechanism of injury and abnormal interspinous distances on X-ray may lead to diagnosis of distraction injury. These sometimes can be difficult to detect on X-rays alone and may require a CT scan if suspicion is high.30 For an example of this, see Figure 3. Sagittal images from non-contrast CT show craniocervical dissociation injury, with markedly increased distance between the occipital condyles and the lateral masses of C1, and associated hematomas (best seen along the clivus).
Figure 3. Craniocervical Dissociation Injury |
![]() |
Saggital images from non-contrast computed tomography show craniocervical dissociation injury, with markedly increased distance between the occipital condyles and the lateral masses of C1, and associated hematomas (best seen along the clivus). Source: Courtesy of Mark Warren, DO, Dayton Children’s Hospital, Department of Radiology |
Penetrating Neck Trauma
Penetrating trauma to the neck is another special situation that must be considered. A computed tomography angiography (CTA) may be used to assess for vascular injuries when the platysma has been penetrated. Previously, workup and management of penetrating neck trauma was dictated by the zone of the neck that was injured. However, given that the pathway of penetration may not be limited to a single zone, a greater emphasis on symptoms and physical exam findings has been given to guide management. Those patients with a high suspicion of injury and any signs of neurovascular compromise likely will require emergent surgical intervention, which should not be delayed for additional imaging.30
Spine Imaging Guidelines
Disparities exist between pediatric patients seen at adult trauma centers and those seen at pediatric trauma centers. Those patients seen at adult trauma centers are more likely to have cervical spine imaging performed. Additionally, if imaging is performed, those seen at an adult center are more likely to receive a CT scan.32 This may be because of a lack of familiarity with the patterns of injuries seen in pediatric trauma patients, or to pre-existing protocols in place for treating and imaging adult trauma patients. By developing treatment protocols for pediatric trauma patients, unnecessary scans and, thus, radiation exposure, may be prevented. Implementation of such imaging guidelines and protocols has been shown to reduce the number of unnecessary scans without increasing the rate of missed injuries.33 If X-rays do not reveal a fracture, and if the child cannot be cleared clinically, maintaining the child’s neck while restrained in a Miami J collar is the preferred alternative to CT imaging. Since children are more prone to ligamentous injuries than adults, magnetic resonance imaging (MRI) may be a better modality that could be performed at an appropriate or later time.
Chest CT
The chest contains many vital organs that may be injured in the setting of trauma. Many of these injuries may be seen on a chest X-ray alone and/or in conjunction with an extended focused assessment with sonography in trauma (e-FAST) exam. Examples include fractures, pneumothorax, hemothorax, pericardial effusion, or diaphragmatic rupture. Other injuries, such as an esophageal injury, vascular injury, or pulmonary contusion, are best visualized using a chest CT with contrast.
The types of thoracic injuries seen in pediatric trauma patients differ from the injuries seen in adult trauma patients. The pediatric patient has a more compliant chest wall due to incomplete ossification of the ribs. Subsequently, they are less likely to suffer rib fractures, but pediatric patients are more likely to experience pulmonary contusions. Hence, the presence of rib fractures in a pediatric trauma patient indicates that the force resulting in the fractures was significant, and a thorough investigation, perhaps by chest CT, to identify additional injuries is warranted. The mediastinum also is more mobile among pediatric patients, making them more prone to decompensate rapidly in the instance of tension pneumothorax or hemothorax.34
Compared to CT of the head, abdomen, and pelvis, chest CT is the least common CT scan obtained in pediatric trauma patients.35 Typically, a chest X-ray is the initial image obtained in pediatric trauma patients. CT scans of the chest should be reserved for those patients in whom there is a suspicion of a vascular injury (widened mediastinum, hemothorax), and should not be obtained routinely on asymptomatic blunt trauma patients.34 One center found that chest CT does detect a significantly higher number of injuries compared to X-ray alone. However, the additional CT findings changed management in only two of 60 cases, or 3.3%.36 These same results have been corroborated in another large study, which indicated that in young trauma patients, CT scans of the chest did not change management in a significant number of patients.37 Moreover, if a thoracic CT decision tool was implemented, in which CT scans of the chest in pediatric trauma victims were only obtained when there was mediastinal widening or abnormal chest X-ray findings in a vehicular mechanism, use of chest CT dropped substantially (by more than half), without any clinically significant negative impact.38
Even for penetrating trauma, vascular injuries are rare in the pediatric population, such that the risk of radiation may be higher than the risk of a missed injury. For the hemodynamically unstable patient, definitive operative management should not be delayed for a CT scan. There may be a limited role for chest CT for the hemodynamically stable patient in whom a cardiovascular injury is suspected.39 Esophageal injuries may be detected using chest CT. However, this also is limited to hemodynamically stable patients, since operative management should not be delayed.40
One important caveat to the earlier discussion is clavicle fractures, specifically those of the proximal one-third which are displaced. The displaced portion may cause mediastinal injury leading to neurovascular compromise. If a proximal clavicle fracture (or dislocation in the older patient) is identified and the symptoms are severe (pain, shortness of breath, etc.), a CT of the chest with contrast is indicated to exclude the possibility of an associated vascular injury.40
Stand-alone Level I pediatric trauma centers are less likely to perform a chest CT for patients with no or minimal thoracic injuries, compared to all other center types (including combined and adult facilities).35 Specifically for pediatric penetrating thoracic trauma, improved outcomes have been demonstrated when these patients are cared for at either an adult or pediatric Level I trauma center, and at those centers with higher annual volumes of penetrating thoracic trauma.41 This highlights the importance of triage considerations in determining the level of care and imaging the child will require. Additionally, improving the comfort and knowledge of providers caring for penetrating thoracic trauma may lead to improved patient outcomes.
Because of the risk associated with the large amount of radiation exposure with a chest CT, a more conservative approach is warranted when caring for a pediatric trauma patient compared to an adult.
Abdomen/Pelvis CT
Pediatric victims of blunt abdominal trauma pose some challenges unique to children. Children have a smaller trunk, which may be subject to a larger blunt force during trauma. The narrow anteroposterior diameter and large organs relative to their size and weight make children more vulnerable to solid organ injury.42
The PECARN clinical prediction rule addresses the severity of blunt abdominal trauma in children, as well as indications that require CT scan of the abdomen. The prediction rule has high sensitivity but low specificity.43 If the child has a GCS above 13, no abdominal pain, no vomiting, no signs of thoracic or abdominal trauma (such as a seat belt sign), and no decrease in breath sounds, the child is at low risk and does not require imaging with a CT scan. The rule has been validated and has a 99% sensitivity.44,45
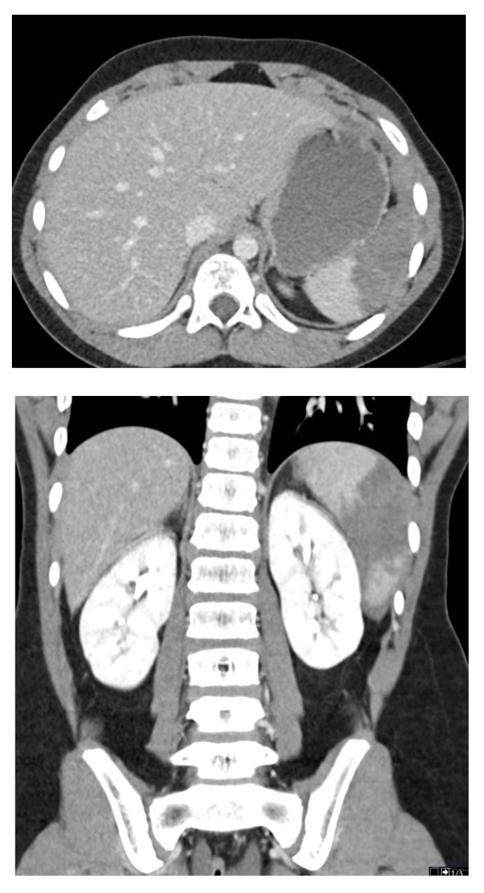
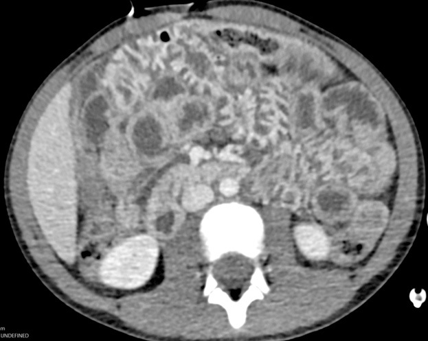
Additional studies have further noted that the PECARN prediction rule, when combined with clinical suspicion, limited the number of CT scans without significant negative consequences.46 Streck et al developed a tool to assess risk and the need for CT scans. The Streck prediction rule includes laboratory results in addition to an abnormal exam and history of abdominal pain. The rule has a negative predictive value of more than 99% in identifying patients without serious intraabdominal injury.47 It has been shown that the implementation of a protocol using such decision tools can significantly decrease the number of abdominal CT scans performed, without increasing the rate of missed injuries.48-50 For an example of a splenic injury, see Figure 4.
Figure 4. Splenic Laceration |
![]() |
Axial and coronal images from computed tomography with intravenous contrast show a splenic laceration with more than 25% of the spleen showing non-enhancement compatible with devascularization, American Association for Surgery of Trauma (AAST) grade 4. Source: Courtesy of Mark Warren, DO, Dayton Children’s Hospital, Department of Radiology |
Patients younger than 4 years of age, those in a motor vehicle collision, and those with a positive FAST exam have been shown to be correlated with a higher severity of abdominal injury. The FAST exam in children has a sensitivity of 70%, but this increases when physical exam findings are considered as well.51 Laboratory findings frequently are used to determine the need for imaging as well and are incorporated into some prediction rules, such as the one developed by Streck et al, which was discussed earlier. Abnormal alanine aminotransferase (ALT), aspartate aminotransferase (AST), amylase, and lipase all have been demonstrated to have some utility in predicting solid organ abdominal injury. However, each of these tests has a low sensitivity and specificity. As such, laboratory values should not be used in isolation, but in conjunction with physical exam and FAST findings.52 See Figure 5 for an example of a liver laceration.
Figure 5. Liver Lacerations |
![]() |
Axial images from computed tomography with intravenous contrast show small lacerations in segments III and IVb of the liver, extending from about 2 cm from either side of the falciform ligament; AAST grade 2. Source: Courtesy of Mark Warren, DO, Dayton Children’s Hospital, Department of Radiology |
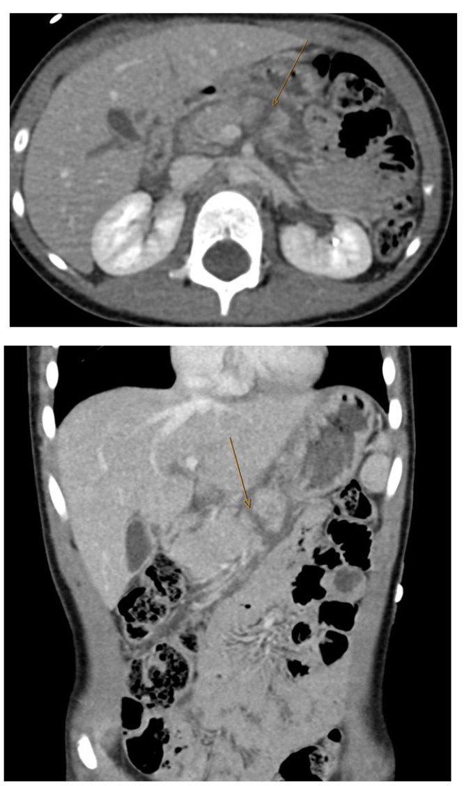
Abdominal injuries due to bicycle handlebars are of particular importance in children. Half of children with a handlebar injury have serious abdominal pathology. The most common organs involved include the pancreas, spleen, liver, small bowel, and mesentery. Handlebar injuries are the most common cause of pancreatic trauma in children. Children who have experienced a handlebar injury should undergo an abdominal CT with intravenous (IV) contrast, since these injuries are unlikely to be diagnosed using abdominal X-rays or FAST exam.53 See Figures 6 and 7 for an example of a pancreatic injury. Figure 8 depicts a small bowel injury.
Penetrating abdominal trauma has a much higher mortality rate. There is a very high chance that a patient with penetrating abdominal trauma will require operative intervention. CT scans of the abdomen in the setting of penetrating trauma should only be obtained if the patient is hemodynamically stable. If the patient exhibits hemodynamic instability, imaging should not delay resuscitation and operative management.54
Figure 6. Enlarged, Edematous Pancreas |
![]() |
Enlarged and edematous pancreas without a focal laceration or defect, consistent with traumatic pancreatitis Source: Courtesy of Sean Kelleher, MD, Dayton Children’s Hospital, Department of Radiology |
Figure 7. Transection of Pancreas |
![]() |
Axial and coronal images from computed tomography with intravenous contrast show a complete transection through the body of the pancreas. Source: Courtesy of Mark Warren, DO, Dayton Children’s Hospital, Department of Radiology |
Figure 8. Diffuse Bowel Wall Thickening |
![]() |
Diffuse bowel wall thickening and mucosal hyperenhancement (shock bowel) Source: Courtesy of Mark Warren, DO, and Sean Kelleher, MD, Dayton Children’s Hospital, Department of Radiology |
Special Situations in Children
Nonaccidental Trauma
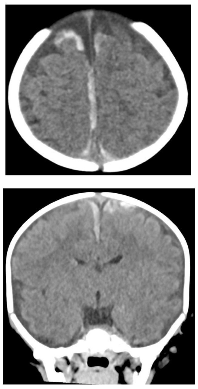
Children who are being evaluated for nonaccidental trauma (NAT) typically undergo skeletal survey X-rays and CT scans of the head. Skeletal surveys require interpretation by an experienced radiologist. If the suspicion is significant, a chest CT may be warranted for an improved assessment of rib fractures. Typically, a skeletal survey is completed initially, which consists of plain films. If this is negative, a follow-up skeletal survey often is repeated in several weeks, since injuries may be more readily apparent on imaging at that time. Low-dose CT scan of the chest may detect rib fractures more accurately and quickly. This could lead to faster diagnosis and reduced need for coordinating repeat imaging.55 It has been noted that 17% of rib fractures were not identified by X-rays. CT scans were more sensitive in recognition of rib fractures when performed within a month of each other. Acute injuries without significant calcification especially were better identified on CT scans.55 Across all radiologists, three times as many rib fractures were correctly detected by using chest CTs compared with chest radiography.56 Patients in whom there are concerns for possible child abuse deserve special consideration. When there is suspicion for NAT in infants, CT scan of the head should be performed even in the absence of obvious external injuries to the face or scalp or definitive head trauma. For an example of abusive head trauma, see Figure 9.
Figure 9. Extra-Axial Hemorrhages |
![]() |
Axial and coronal images from noncontrast head computed tomography show bilateral paramedian extra-axial hemorrhages, typical of bridging vein injury from abusive head trauma. Source: Courtesy of Mark Warren, DO, Dayton Children’s Hospital, Department of Radiology |
Radiation Risk and Risk Reduction
The risk of cancer from radiation is proportional to the dose of radiation (increasing with each additional CT scan/radiation exposure), but the severity of the illness is independent of the dose of radiation received by the child, otherwise known as the stochastic risk of radiation, an unpredictable event. Radiation exposure can increase the risk of developing radiation-induced cancers later in life. Radiation can cause breaks in molecular structure of cell deoxyribonucleic acid (DNA), with the double-stranded breaks attributed as the most likely mechanism. Children are particularly sensitive to radiation because their rapidly dividing cells are more susceptible to damage. The risk of developing cancer from a single CT scan is relatively low, but the cumulative effects of multiple scans can be significant.
CT scans in childhood have been associated with increased rates of cancer, particularly brain cancers and leukemia.57 Although the absolute increase in risk was small, one additional case of brain tumor or leukemia was identified for 10,000 CT scans (National Health Services (UK) data 1985-2002).58 A cumulative ionizing radiation dose from two to three head CTs (i.e., ~60 mGy ) could almost triple the risk of brain tumors.58 According to the National Cancer Institute, the risk of developing cancer from a single CT scan is relatively low, estimated at approximately one in 2,000.59 However, multiple CT scans can significantly increase the risk of developing radiation-induced cancers later in life. Total cumulative ionizing radiation doses from two to three head CTs (i.e, ~60 mGy) potentially can triple the risk of brain tumors, and five to 10 head CTs (~50 mGy) may triple the risk of leukemia.58
When a head CT scan is deemed necessary in the evaluation of a pediatric trauma patient, care must be taken regarding the exposure to radiation. There has been a significant emphasis on the reduction of dose in children, particularly the very young. It has been shown that children undergoing CT scans of the head at an adult hospital receive higher doses of radiation compared to those seen at a pediatric hospital.60 Radiation dose measured as a mean dose-length product (DLP) was significantly lower in pediatric trauma centers/children’s hospitals when compared to community-based hospitals both for head and abdomen/pelvic CT scans.61 By establishing weight-based radiation dosing, hospitals can minimize the risk from exposure to radiation.
Conclusion
CT scans are a valuable diagnostic tool in the evaluation of pediatric trauma, providing detailed anatomical information and accurate assessment of injuries.
Despite the potential risks associated with CT scans, there are steps that can be taken to minimize these risks. The most important step is to use CT scans judiciously, only when they are clinically necessary to make a diagnosis or guide treatment. In some cases, other diagnostic tools, such as ultrasound or plain radiographs, may be sufficient to evaluate pediatric trauma. When CT scans are necessary, it is important to use the lowest possible radiation dose to obtain the necessary information. This can be achieved by using low-dose protocols, which are specifically designed for use in pediatric patients.
While we are limiting CT scans in most instances of pediatric trauma, we also should remember to be vigilant in very young children with head trauma. Any suspicion of NAT will warrant CT head and even CT chest in rare circumstances. It is important to prioritize the well-being and safety of the child while taking into consideration the potential risks associated with radiation exposure.
REFERENCES
- Brenner DJ, Hall EJ, Berdon WE. Estimated risks of radiation-induced fatal cancer from pediatric CT. Am J Roentgenol 2013;201:1014-1015.
- Garcia CI, Mullins ME, Coates A. Computed tomography utilization in pediatric trauma patients: Trends and associations with mortality. J Pediatr Surg 2017;52:674-678.
- Brenner DJ, Hall EJ. Computed tomography — an increasing source of radiation exposure. N Engl J Med 2007;357:2277-2284.
- Choi PM, Tadlock MD. Trauma Systems and Pediatric Trauma Centers. In: Kennedy AP Jr., Ignacio RC, Ricca R, eds. Pediatric Trauma Care: A Practical Guide. Springer International Publishing;2023:19-33.
- Byrne JP, Nance ML, Scantling DR, et al. Association between access to pediatric trauma care and motor vehicle crash death in children: An ecologic analysis of United States counties. J Trauma Acute Care Surg 2021;91:84-92.
- Massoumi R, Wertz J, Duong T, et al. Variation in pediatric cervical spine imaging across trauma centers – A cause for concern? J Trauma Acute Care Surg 2021;91:641-648.
- Pariaszevski A, Wang NE, Lee MO, et al. Computed tomography rates in pediatric trauma patients among emergency medicine and pediatric emergency medicine physicians. J Pediatr Surg 2023;58:315-319.
- Edwards MJ, Jenkel T, Weller B, et al. Computed tomography scan utilization in pediatric trauma: Impact on length of stay and incidence of false positive findings. Pediatr Emerg Care 2021;37:e1478-e1481.
- Strait L, Sussman R, Ata A, Edwards MJ. Utilization of CT imaging in minor pediatric head, thoracic, and abdominal trauma in the United States. J Pediatr Surg 2020;55:1766-1772.
- Dewan MC, Mummareddy N, Wellons JC 3rd, Bonfield CM. Epidemiology of global pediatric traumatic brain injury: Qualitative review. World Neurosurg 2016;91:497-509.e1.
- Stanley RM, Bonsu BK, Zhao W, et al. US estimates of hospitalized children with severe traumatic brain injury: Implications for clinical trials. Pediatrics 2012;129:e24-30.
- Pennell C, Wilson T, Bruce M, et al. Adherence to PECARN criteria in children transferred to a pediatric trauma center: An opportunity for improvement? Am J Emerg Med 2020;38:1546.e1-1546.e4.
- Carroll CP, Ravindra VM, Cardoso MJ. Pediatric Traumatic Brain Injury. In: Kennedy AP, Ignacio RC, Ricca R, eds. Pediatric Trauma Care: A Practical Guide. Springer International Publishing;2023:167-188.
- Bressan S, Eapen N, Phillips N, et al. PECARN algorithms for minor head trauma: Risk stratification estimates from a prospective PREDICT cohort study. Acad Emerg Med 2021;28:1124-1133.
- Gambacorta A, Moro M, Curatola A, et al. PECARN rule in diagnostic process of pediatric patients with minor head trauma in emergency department. Eur J Pediatr 2022;181:2147-2154.
- Cho S, Hwang S, Jung JY, et al. Validation of Pediatric Emergency Care Applied Research Network (PECARN) rule in children with minor head trauma. PLoS One 2022;17:e0262102.
- Grubenhoff J. PECARN blunt head-trauma prediction rule in infants <3 months old. J Pediatr 2021;238:340.
- Sawaya RD, Wakil C, Wazir A, et al. Does implementation of the PECARN rules for minor head trauma improve patient-centered outcomes in a lower resource emergency department: A retrospective cohort study. BMC Pediatr 2020;20:439.
- Gerilmez A, Calışaneller AT. Compliance with PECARN head injury decision rules in children under two years old. Ulus Travma Acil Cerrahi Derg 2020;26:462-468.
- Alonso-Cadenas JA, Calderón Checa RM, Ferrero García-Loygorri C, et al. Variability in the management of infants under 3 months with minor head injury in paediatric emergency departments. An Pediatr (Engl Ed) 2023;98:83-91.
- Purushothaman R, Desai S, Jayappa S, et al. Utility of three-dimensional and reformatted head computed tomography images in the evaluation of pediatric abusive head trauma. Pediatr Radiol 2021;51:927-938.
- Hung KL. Pediatric abusive head trauma. Biomed J 2020;43:240-250.
- Latham K, Redett RJ. Pediatric Facial Trauma. In: Kennedy AP, Ignacio RC, Ricca R, eds. Pediatric Trauma Care: A Practical Guide. Springer International Publishing; 2023: 189-200.
- Nguyen BN, Edwards MJ, Srivatsa S, et al. Clinical and radiographic predictors of the need for facial CT in pediatric blunt trauma: A multi-institutional study. Trauma Surg Acute Care Open 2022;7:e000899.
- Wang MX, Beckmann NM. Imaging of pediatric cervical spine trauma. Emerg Radiol 2021;28:127-141.
- Gopinathan NR, Viswanathan VK, Crawford AH. Cervical spine evaluation in pediatric trauma: A review and an update of current concepts. Indian J Orthop 2018;52:489-500.
- Floan G, Ignacio RC, Mooney D. Traumatic Spinal Injuries in Children. In: Kennedy AP, Ignacio RC, Ricca R, eds. Pediatric Trauma Care: A Practical Guide. Springer International Publishing; 2023: 217-240.
- Bailey RS, Klein R, de Los Cobos D, et al. A retrospective look at a cervical spine clearance protocol in pediatric trauma patients at a Level-1 Trauma Center. J Pediatr Orthop 2022;42:e607-e611.
- Overmann KM, Robinson BRH, Eckman MH. Cervical spine evaluation in pediatric trauma: A cost-effectiveness analysis. Am J Emerg Med 2020;38:2347-2355.
- Woodward GA, Keilman AE. Neck Trauma. In: Shaw KN, Bachur RG, Chamberlain JM, et al., eds. Fleisher & Ludwig’s Textbook of Pediatric Emergency Medicine. 8th edition. Wolters Kluwer; 2021:1214-1253.
- Montalbano M, Fisahn C, Loukas M, et al. Pediatric hangman’s fracture: A comprehensive review. Pediatr Neurosurg 2017;52:145-150.
- Kim W, Ahn N, Ata A, et al. Pediatric cervical spine injury in the United States: Defining the burden of injury, need for operative intervention, and disparities in imaging across trauma centers. J Pediatr Surg 2021;56:293-296.
- Mahdi E, Toscano N, Pierson L, et al. Sustaining the gains: Reducing unnecessary computed tomography scans in pediatric trauma patients. J Pediatr Surg 2023;58:111-117.
- Halbach JL, Ignacio RC. Thoracic and Chest Wall Injuries. In: Kennedy AP, Ignacio RC, Ricca R, eds. Pediatric Trauma Care: A Practical Guide. Springer International Publishing; 2023: 241-252.
- Strait L, Sussman R, Ata A, Edwards MJ. Utilization of CT imaging in minor pediatric head, thoracic, and abdominal trauma in the United States. J Pediatr Surg 2020;55:1766-1772.
- Lynch P, Samoilov L, Brahm G. Thoracic imaging in pediatric trauma: Are CTs necessary? Pediatr Emerg Care 2023;39:98-101.
- Ugalde IT, Chan HK, Mendez D, et al. Computed tomography of the chest in younger pediatric patients with thoracic blunt trauma rarely changes surgical management. West J Emerg Med 2022;23:324-333.
- Downie K, McIntire A, Tobias J, et al. Application of a thoracic CT decision rule in the evaluation of injured children: A quality improvement initiative. J Trauma Nurs 2023;30:48-54.
- Andrews S, Powell O. Vascular Injuries to the Heart and Great Thoracic Vessels. In: Kennedy AP, Ignacio RC, Ricca R, eds. Pediatric Trauma Care: A Practical Guide. Springer International Publishing; 2023: 429-452.
- Eisenberg M, Collins JL. Thoracic trauma. In: Shaw KN, Bachur RG, Chamberlain JM, et al., eds. Fleisher & Ludwig’s Textbook of Pediatric Emergency Medicine. 8th edition. Wolters Kluwer; 2021:1274-1289.
- Floan GM, Calvo RY, Prieto JM, et al. Pediatric penetrating thoracic trauma: Examining the impact of trauma center designation and penetrating trauma volume on outcomes. J Pediatr Surg 2023;58:330-336.
- Holmes JF, Lillis K, Monroe D, et al. Identifying children at very low risk of clinically important blunt abdominal injuries. Ann Emerg Med 2013;62:107.
- Mahajan P, Kuppermann N, Tunik M, et al. Comparison of clinician suspicion versus a clinical prediction rule in identifying children at risk for intra-abdominal injuries after blunt torso trauma. Acad Emerg Med 2015;22:1034-1041.
- Springer E, Frazier SB, Arnold DH, et al. External validation of a clinical prediction rule for very low risk pediatric blunt abdominal trauma. Am J Emerg Med 2019;37:1643-1648.
- Sigal AP, Deaner T, Woods S, et al. External validation of a pediatric decision rule for blunt abdominal trauma. J Am Coll Emerg Physicians Open 2022;3:e12623.
- Taş Çaylak S, Yaka E, Yilmaz S, et al. Comparison of PECARN clinical decision rule and clinician suspicion in predicting intra-abdominal injury in children with blunt torso trauma in the emergency department. Ulus Travma Acil Cerrahi Derg 2022;28:529-536.
- Streck CJ Jr, Jewett BM, Wahlquist AH, et al. Evaluation for intra-abdominal injury in children after blunt torso trauma: Can we reduce unnecessary abdominal computed tomography by utilizing a clinical prediction model? J Trauma Acute Care Surg 2012;73:371-376.
- Gaffley M, Neff LP, Sieren LM, et al. Evaluation of an evidence-based guideline to reduce CT use in the assessment of blunt pediatric abdominal trauma. J Pediatr Surg 2021;56:297-301.
- Ozcan A, Ahn T, Akay B, et al. Imaging for pediatric blunt abdominal trauma with different prediction rules: Is the outcome the same? Pediatr Emerg Care 2022;38:e654-e658.
- Boudiab E, Kawak S, Tom A, et al. Prospective evaluation of an evidence-based decision tool to assess pediatric blunt abdominal trauma (BAT). Pediatr Surg Int 2022;38:183-191.
- Sharma G, Chatterjee N, Kaushik A, et al. Clinicoradiological predictors of severity of traumatic intra-abdominal injury in pediatric patients: A retrospective study. Cureus 2021;13:e17936.
- Kuas C, Acar N, Ozakin E, et al. The diagnostic value of laboratory tests in detecting solid organ injuries in pediatric patients with blunt abdominal trauma. Am J Emerg Med 2022;57:133-137.
- Biyyam DR, Hwang S, Patel MC, et al. CT findings of pediatric handlebar injuries. Radiographics 2020;40:815-826.
- Loux T, Coppola CP. Penetrating Abdominal Injury. In: Kennedy AP, Ignacio RC, Ricca R, eds. Pediatric Trauma Care: A Practical Guide. Springer International Publishing; 2023: 253-267.
- Pomeranz CB, Barrera CA, Servaes SE. Value of chest CT over skeletal surveys in detection of rib fractures in pediatric patients. Clin Imaging 2022;82:103-109.
- Shelmerdine SC, Langan D, Hutchinson JC, et al. Chest radiographs versus CT for the detection of rib fractures in children (DRIFT): A diagnostic accuracy observational study. Lancet Child Adolesc Health 2018;2:802-811.
- Abalo KD, Rage E, Leuraud K, et al. Early life ionizing radiation exposure and cancer risks: Systematic review and meta-analysis. Pediatr Radiol 2021;51:45-56.
- Pearce MS, Salotti JA, Little MP, et al. Radiation exposure from CT scans in childhood and subsequent risk of leukaemia and brain tumours: A retrospective cohort study. Lancet 2012;380:499-505.
- Mathews JD, Forsythe AV, Brady Z, et al. Cancer risk in 680,000 people exposed to computed tomography scans in childhood or adolescense: Data linkage study of 11 million Australians. BMJ 2013;346:f2360.
- LaQuaglia MJ, Anderson M, Goodhue CJ, et al. Variation in radiation dosing among pediatric trauma patients undergoing head computed tomography scan. J Trauma Acute Care Surg 2021;91:566-570.
- Hrdy M, Mahesh M, Miller M, et al. An analysis of computed tomography-related radiation exposure in pediatric trauma patients. Pediatr Emerg Care 2021;37:296-302.







