Kawasaki Disease
January 1, 2014 23 minutes read
Kawasaki Disease
Authors:
Chad McCalla, MD, Assistant Professor, Department of Emergency Medicine, Section of Pediatric Emergency Medicine, Wake Forest University School of Medicine, Winston-Salem, NC.
Michael S. Mitchell, MD, Assistant Professor, Department of Emergency Medicine, Section of Pediatric Emergency Medicine, Wake Forest University School of Medicine, Winston-Salem, NC.
Peer Reviewer:
Ronald M. Perkin, MD, Professor and Chairman, Department of Pediatrics, The Brody School of Medicine at East Carolina University, Greenville, NC.
Executive Summary
- There are no specific tests for Kawasaki disease, so a thorough and focused history and physical exam are of paramount importance.
- Fever of five days or longer needs to be present in order to diagnose Kawasaki disease. The typical fever is high (> 38.5) and is usually unresponsive to both antibiotics and antipyretics.
- Fever by itself is not enough to make the diagnosis. Four of the following five criteria also need to be present:
- Bilateral, non-exudative, bulbar conjunctivitis (> 75% of patients);
- Oropharyngeal changes consisting of strawberry tongue, erythema of oropharynx, and drying, cracking, and fissuring of the lips;
- Cervical lymphadenopathy (> 1.5 cm in diameter) that is usually unilateral.
- Polymorphous exanthem, neither bullous nor vesicular, may be present, which typically presents as a diffuse, maculopapular eruption.
Kawasaki disease, first described by Dr. Tomisaku Kawasaki in 1967,1 is a self-limited systemic inflammatory vasculitis characterized by fever and a variety of mucocutaneous manifestations. Surpassing rheumatic heart disease, it is now the leading cause of acquired cardiac disease in children.2,3 It is self-limited, with fever typically resolving within 12-14 days;4 however, if left untreated, complications can occur in 20-25% of cases. Primarily cardiac, insults range anywhere from asymptomatic coronary ectasia to coronary artery aneurysms, which may result in alterations in myocardial function, myocardial infarction, and arrhythmias.5 These complications carry significant morbidity and mortality and emphasize the importance of timely recognition and diagnosis. This review will discuss the epidemiology, proposed pathogenesis, clinical features, workup, treatment, and prognosis of this childhood disease.
— Ann M. Dietrich, MD, Editor
Epidemiology
Eighty-five percent of children affected by Kawasaki disease are younger than 5 years old;6,7 however, there have been reports of cases in adolescents and even adults.8 The peak incidence is between 18-24 months of age, but reports exist of the diagnosis being made at less than 1 month of age.9 Kawasaki disease affects all racial and ethnic groups, with the highest incidence in Asian countries. In 2006, the incidence in Japan was reported at 184.6 per 100,000 children younger than 5 years old,10 followed by Korea (105 per 100,000 children),11 and Taiwan (68 per 100,000).6 The incidence in Japan rose to 218.6 per 100,000 children in 2008.12 This increase is likely due to better recognition and diagnosis of the disease, as opposed to a dramatic increase in true disease. In 2006, the incidence in the United States was 20.8 per 100,000 children,13 and the disease was more common in American children of Asian descent. There is a slightly higher number of cases in males versus females (1.62/1).14 Seasonal variation appears to exist, as more cases and even outbreaks are seen in late fall and early winter.2
Etiology
The underlying cause of Kawasaki disease has remained a mystery, but most researchers now believe that it is the hyperactivation of the immune system in genetically susceptible individuals. Various mechanisms have been suggested, including massive stimulation of T lymphocytes from a bacterial superantigen15-17 and oligoclonal IgA response.18 The end result is blood vessel damage from inflammatory cell infiltration, most commonly seen in the coronary arteries. The trigger for this hyperactivation is most likely an infectious agent. Evidence supporting this includes the following: seasonality and clustering of Kawasaki disease cases suggest a viral trigger.19,20 More cases of Kawasaki disease occur in the fall and winter, which coincides with increased incidence of viral and bacterial infections. As with viral infections, Kawasaki disease is also self-limited and shares many of the same clinical symptoms seen in common viral illnesses.21 The lack of cases occurring in very young children suggests passive maternal antibody protection.22 Despite this evidence, an exact trigger has yet to be found, and as a result, many different viruses and bacteria have been theorized as the culprit. More commonly suggested agents include:
- parvovirus B19;
- bacterial toxin-mediated superantigens;
- Mycoplasma pneumoniae;
- adenovirus;
- cytomegalovirus;
- parainfluenza type 3 virus;
- rotavirus;
- measles; and
- Epstein-Barr virus.7
Clinical Features
There are no specific tests for Kawasaki disease, so a thorough and focused history and physical exam are of paramount importance. Clinical criteria have been established by the American Heart Association (AHA) to help with diagnosis (see Table 1) and can be useful once other diseases with similar symptoms have been excluded.
Table 1. American Heart Association Diagnostic Criteria for Kawasaki Disease4
Fever lasting 5 days or more and at least 4 of the following:
- Bilateral nonsuppurative conjunctivitis
- Mucous membrane changes: pharyngeal erythema, cracked lips, strawberry tongue
- Polymorphous exanthem
- Cervical lymphadenopathy (≥ 1.5 cm in diameter)
- Extremity changes: erythema of the palms and soles, edema of hands and feet, peeling of fingers and toes
Adding to the difficulty of diagnosis, concomitant infections are common, with reports of 30-40% of children diagnosed with Kawasaki disease also having evidence of another infection.23,24 This shows that clinical suspicion needs to remain high for Kawasaki disease, especially if other illnesses do not explain all of the clinical symptoms. Keep in mind that all of the diagnostic criteria do not need to be present at the same time, as some will appear earlier in the course of illness and may have resolved at the time of evaluation.20 Thus, the history should include not only current symptoms but a careful account of any other symptoms that have been present during the course of the illness.
Fever of five days or longer needs to be present in order to diagnose Kawasaki disease. The typical fever is high (> 38.5) and is usually unresponsive to both antibiotics and antipyretics.25 As mentioned previously, it is self-limited and will resolve within 12-14 days if left untreated. Fever by itself is not enough to make the diagnosis. Four of the five following criteria also need to be present:
- Bilateral, non-exudative, bulbar conjunctivitis (> 75% of patients) (see Figure 1);26
Figure 1. Nonsuppurative Conjunctivitis
- Oropharyngeal changes consisting of strawberry tongue, erythema of oropharynx, and drying, cracking, and fissuring of the lips (90% of cases) (see Figures 2 and 3);27
Figure 2. Mucous Membrane Changes: Strawberry Tongue
Figure 3. Mucous Membrane Changes: Pharyngeal Erythema, Cracked Lips
- Cervical lymphadenopathy (> 1.5 cm in diameter) that is usually unilateral. The node is typically firm but not fluctuant and can oftentimes be mistaken for cervical adenitis. This is the least common manifestation, seen in 25-70% of cases.28
- Polymorphous exanthem, neither bullous nor vesicular, may be present, which typically presents as a diffuse, maculopapular eruption. It is usually generalized, but may be limited to the perineum or lower extremities. This is seen in 70-90% of cases.4 (See Figure 4.)
Figure 4. Polymorphous Exanthema
- Peripheral extremity changes, including reddening and/or edema of the palms or soles (see Figure 5), followed by desquamation of the finger and toe tips or transverse grooves across the fingernails (Beau's lines). This is seen in 50-85% of patients,29 and the desquamation usually occurs later in the illness course.
Figure 5. Peripheral Extremity Changes Including Reddening and/or Edema of the Palms or Soles
In addition to the diagnostic criteria, numerous other symptoms and/or clinical findings have been described in patients with Kawasaki disease, including the following (see Table 2):30
- irritability;
- aseptic meningitis;
- arthritis/arthralgias;
- GI complaints: vomiting, diarrhea, and abdominal pain;
- respiratory symptoms: cough, rhinorrhea, otitis media;
- urethritis;
- gallbladder hydrops.
Table 2. Other Symptoms and Clinical Findings in Patients with Kawasaki Disease
- Irritability
- Aseptic meningitis
- Arthritis/arthralgias
- GI complaints: vomiting, diarrhea, and abdominal pain
- Respiratory symptoms: cough, rhinorrhea, otitis media
- Urethritis
- Gallbladder hydrops
Differential Diagnosis
Kawasaki disease is characterized by a collection of very nonspecific symptoms. Because of this, many other diseases can mimic the condition and make the diagnosis very elusive, especially in the early stages. There are primarily two categories of illnesses that need to be considered in the differential diagnosis: infections and inflammatory diseases.
Many other viral syndromes have similar characteristics to Kawasaki disease, with measles (especially with the increased number of reported outbreaks), adenovirus, and Epstein-Barr virus most closely resembling Kawasaki disease. These viruses will also present with fever, conjunctivitis, and pharyngitis; however, the presentation will be slightly different. The conjunctivitis and pharyngitis associated with these viruses are typically exudative, as opposed to the lack of exudates seen in Kawasaki disease. These illnesses may also have diffuse lymphadenopathy, differing from the isolated cervical lymphadenopathy seen in Kawasaki disease, and lack the extremity changes typical of Kawasaki disease. Keep in mind that a child may have both a viral illness and Kawasaki disease, as up to 40% of children may have concomitant infection. For example, do not exclude Kawasaki disease from the differential diagnosis if the child demonstrates all of the clinical criteria but has a positive adenovirus PCR.
Toxin-mediated illnesses, such as toxic shock syndrome and streptococcal scarlet fever, can often be difficult to distinguish from Kawasaki disease. These conditions also present with fever, pharyngitis, oral mucosal changes, rash, and skin desquamation. Desquamation in Kawasaki disease tends to occur in the periungual region of the fingertips and comes off in sheets, as opposed to the flaky desquamation seen in scarlet fever. Toxin-mediated illnesses tend to have a more generalized desquamation not confined to the distal extremities. Also, ocular changes are unexpected in scarlet fever and toxic shock syndrome, as is joint involvement. Therefore, the presence of these two features should increase suspicion for Kawasaki disease.
Other considerations in the differential include Stevens-Johnson syndrome (which can be differentiated based on the presence of an exudative conjunctivitis and focal ulcerations on the tongue and throat), juvenile idiopathic arthritis (usually lacks the ocular or oropharyngeal findings of Kawasaki disease), and Rocky Mountain spotted fever (has a higher prevalence of headache and petechial [non-maculopapular] rash than does Kawasaki disease). Interestingly, the condition that most closely resembles Kawasaki disease is acrodynia, or mercury poisoning. As with Kawasaki disease, this condition manifests as fever, rash, swelling of the hands and feet, and desquamation. Fortunately, this is an extremely rare condition, and patients often present with a history of exposure, or come from a high-risk population (i.e., undeveloped nations). (See Table 3.)
Table 3. Conditions with Clinical Presentation Similar to Kawasaki Disease
- Viral illnesses such as measles, adenovirus, and Epstein-Barr virus
- Toxin-mediated illnesses such as toxic shock syndrome and streptococcal scarlet fever
- Stevens-Johnson syndrome
- Juvenile idiopathic arthritis
- Rocky Mountain spotted fever
- Mercury poisoning
Laboratory Findings
There is no specific diagnostic test for Kawasaki disease,22 which again emphasizes the importance of the clinical diagnostic criteria for Kawasaki disease. Laboratory tests can still be used to support the diagnosis if uncertainty exists or if alternative diagnoses are being considered. Common laboratory findings seen in Kawasaki disease include (see Table 4):
- elevation of acute phase reactants, i.e., erythrocyte sedimentation rate (ESR) and C-reactive protein (CRP), which is essentially universally seen;24,31
- increased white blood cell count with predominance of neutrophils;31
- urinalysis showing white blood cells on microscopy with no other evidence of urinary tract infection (sterile pyuria);32
- thrombocytosis, primarily seen in the second week of illness;
- elevated transaminases and hypoalbuminemia.33
Table 4. Laboratory Findings in Kawasaki Disease
- Elevation of acute phase reactants (i.e., sedimentation rate and C-reactive protein), which is essentially universally seen
- Increased white blood cell count with predominance of neutrophils
- Urinalysis showing white blood cells on microscopy with no other evidence of urinary tract infection (sterile pyuria)
- Thrombocytosis, primarily seen in the second week of illness
- Elevated transaminases and hypoalbuminemia
Cardiovascular biomarkers are currently being studied in Kawasaki disease. One such biomarker is N-terminal pro-B-type natriuretic peptide (NT-proBNP). Associated with cardiac stress, this marker has been found to correlate with myocardial inflammation and echocardiographic measurements. This can be a good potential marker since some investigators suggest that all cases of Kawasaki disease will present with some level of subclinical myocardial inflammation. Researchers further suggest that NT-proBNP may be a valid adjunctive test in patients with incomplete diagnostic criteria.34,35
Treatment Options
There are several treatment options in acute Kawasaki disease. This section will highlight the recommended therapeutic regimen. There are numerous studies ongoing as to the optimum therapies for those patients who are deemed "high risk" and those who have refractory Kawasaki disease. This section will not highlight those, however, as this will not be encountered frequently by the acute care provider. The mainstay of therapy for acute Kawasaki disease is intravenous immunoglobulin (IVIG) and high-dose aspirin (ASA).21 Each of these will be discussed below.
Intravenous Immunoglobulin
IVIG has been shown to reduce the development of coronary artery aneurysms (CAA), which remain the most clinically important complication of Kawasaki disease.21,36 The exact mechanism of action is unknown, but it is assumed that IVIG plays a role in reducing vasculitis via the anti-inflammatory effect it exerts. The dose of IVIG is 2 mg/kg infused over 12 hours.21,37 It is important both to make the diagnosis and to institute therapy prior to day 10 of symptoms, as this has been shown to be most efficacious.4,37 Starting IVIG prior to day 5 has not been shown to further improve the rate of CAA development,4 and it has been further noted that early institution (i.e., before day 5) could lead to refractory fever.38 This medication can be started in the emergency department in preparation for admission. Common side effects are flushing, pruritus, headache, nausea, and vomiting, and supportive therapy is recommended. Consider adjusting the rate to assist with these common reactions. Anaphylaxis is rare but is noted in those patients with IgA deficiency. Recall that IVIG is a pooled serum product. Therefore, there is the potential of contamination with blood-borne pathogens, but this risk is very low. Currently no IVIG produced under current safety measures has been shown to transmit a blood-borne pathogen.39
Aspirin
High-dose aspirin is adjunctive therapy with IVIG, as it is currently believed to have an additive effect. The mechanism of action is due both to its anti-inflammatory and anti-platelet effects. The dose of aspirin is 80-100 mg/kg/day in four divided doses, and this may be continued for several weeks.4 Children taking aspirin who are exposed to varicella or influenza are at risk for Reye syndrome, so consider this diagnosis in children on aspirin therapy with vomiting and progressive encephalopathy.40 Secondary to these concerns, research has focused on the ability of aspirin to prevent CAA. These studies have not found appreciable benefit.41 Yet, at this time, until better randomized, controlled trials are performed, aspirin remains a recommended therapy. Notably, acute side effects are uncommon.
Corticosteroids
There remains great controversy regarding the use of steroids in acute Kawasaki disease. At this time, the routine use of steroids is not recommended. There have been several studies that have found conflicting results: Some studies showed harm42 or no benefit,43 and just one showed improvement with their use44 (though this study was in a high-risk population). There may be a benefit of steroids in the high-risk population, which has been a bit of a moving target to define. One way to classify a high-risk group, as proposed by Dominguez and Anderson, may be to use patients who have a CAA already present on initial echocardiogram (ECHO).45 Nonetheless, for the acute care provider who infrequently has the initial ECHO results, we only mention that steroids may benefit this high-risk group, but we contend that this decision should be made by inpatient providers in consultation with cardiology subspecialists.
Adjunctive Therapies
Other therapies are receiving some attention in the literature, especially those directed at treating the high-risk population. Infliximab is a choice of considerable interest. Infliximab has been approved for use in pediatric patients with Crohn's disease, but its anti-inflammatory action directed toward tumor necrosis factor alpha (TNF-alpha) has made it an attractive choice for patients with Kawasaki disease. It has been shown that TNF-alpha levels are significantly elevated in patients with Kawasaki disease, and that higher levels seem to be correlated with the development of CAA.46 Recent studies have been small and have not shown appreciable results, but it remains the most commonly used adjunctive agent.47 More studies are required before this can be fully recommended for the refractory patient. Other drugs are used, including cyclosporine, methotrexate, and ulinastatin, but have not been well studied.
Complications and Prognosis
Kawasaki disease has several important clinical consequences, the majority of which are cardiac in nature. Because of this, Kawasaki disease has become the leading cause of acquired heart disease in the developed world.48 The most frequent cardiac complication is the development of coronary artery aneurysms (CAAs).4 (See Figure 6.) These range from small to giant aneurysms based on echocardiography (ECHO) done at initial diagnosis and several weeks later on follow-up. Since the development of 2-dimensional ECHO (1979), it has also been demonstrated that children in the acute phase, while not specifically having aneurysms, can have mild dilation of the aortic root. If not associated with an aneurysm, this dilatation seems to be quite transient, with noted regression of the dilatation even seen as early as one week later.42 When small- to medium-size aneurysms are treated with high-dose IVIG within 10 days of symptom onset, they have shown a high rate of regression (up to 55%).
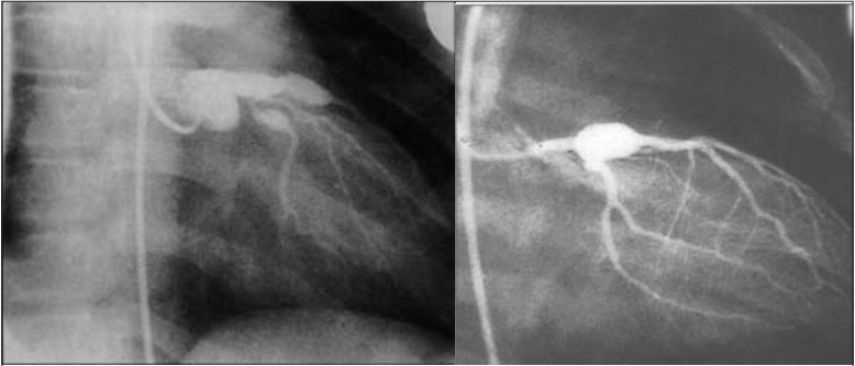
Figure 6. Coronary Artery Aneurysms
Injection of the left coronary artery demonstrates two large, saccular aneurysms in the proximal left anterior descending and circumflex coronary arteries. Coronary artery aneurysms may develop in 15-25% of untreated Kawasaki disease patients.
Coronary artery aneurysms can occur in up to 25% of patients. Therapy options (see the Treatment section) include IVIG and aspirin, which are given in conjunction to prevent the progression to coronary artery aneurysms. The prevalence of CAAs can be reduced to approximately 4% with the use of these medications.49 Much has been discussed about the proper timing of therapy aimed at preventing and treating these aneurysms. While it remains true that therapy should be instituted within 10 days, some literature reveals that aneurysms can develop as early as day 7 of symptoms onset.48 Given this finding, it would be ideal to confirm the diagnosis before day 7 of symptoms, not day 10 as previously considered, and begin therapy.
While patients with small- to medium-size aneurysms do quite well, this may not be the case for those with giant aneurysms. Giant aneurysms (≥ 8 mm) are of particular clinical importance, as they seem to predispose to greater long-term morbidity, including stenotic coronary artery (CA) lesions, acute myocardial infarction, and increased mortality.42,50 While the regression rate of smaller aneurysms is quite high, it seems that giant aneurysms do not regress.42 When followed over time, these patients are at particular risk of developing stenotic lesions, placing them at increased risk for ischemic heart disease.50,51 Furthermore, these patients have higher mortality than the general population,52 particularly males.53 While the 30-year mortality remains favorable with the survival rate at 88%,50 a significant number of these patients were subject to repeated cardiac interventions, including coronary artery bypass grafts, stent placement, and thrombolysis. Those patients who had an acute myocardial infarction as a complication of their giant CAA did not fare as well, with a 30-year survival rate of 63%.54
Kawasaki disease can also affect other areas of the heart, including the myocardium and valvular tissue, causing myocarditis and valvulitis.4,42 Initial ECHO should also focus on measurements of left ventricular function and evidence of valvular regurgitation. The progression of these findings is unknown.
As discussed above, those patients with giant aneurysms are at greatest risk for complications. Despite that, patients with giant aneurysms, as well as those with minimal findings, report that their health-related quality of life is excellent. Muta et al surveyed patients who had experienced Kawasaki disease and demonstrated that, regardless of their coronary status, patients perceived themselves to be in excellent health.55 Long-term follow-up remains necessary, however, and the American Heart Association guidelines direct those that require it.
Incomplete Kawasaki Disease
Incomplete Kawasaki disease is a challenging diagnosis for the pediatric acute care provider. Often inaccurately termed "atypical" Kawasaki disease, incomplete Kawasaki disease is more descriptive, as the patient who presents with this illness may have typical symptoms of Kawasaki disease, but may lack the number of complaints to garner an official diagnosis.56 Recall that the hallmark symptom to diagnose Kawasaki disease is fever for five days or more and that the patient must have four of the five following clinical symptoms: bilateral conjunctival injection, polymorphous skin eruption, changes to oral mucosa or lips, changes in extremities, or cervical lymphadenopathy. Another caveat to this is that patients can be diagnosed with Kawasaki disease if they have five days of fever and fewer than four symptoms and also have coronary abnormalities seen on ECHO or coronary angiogram. Incomplete Kawasaki disease should be considered when the patient has fever for five days or more and has two or three symptoms from the above group.
To formulate the diagnosis, the acute care provider must perform laboratory tests on those who do not fully meet Kawasaki disease criteria, and the results of those tests can drive one's decision to diagnose and treat incomplete Kawasaki disease. Laboratory evaluations include CRP ≥ 3 mg/dL, ESR ≥ 40 mm/hr, albumin ≤ 3.0 g/dL, anemia for age, elevation of alanine aminotransferase, platelets after 7 days ≥ 450,000/mm3, white blood cell count ≥ 15,000/mm3, and urine ≥ 10 white blood cells/high-power field.4 If three or more of these tests are positive, the child likely has incomplete Kawasaki disease, and treatment should be initiated. Please refer to the algorithm as provided by the AHA guidelines. (See Figure 7.)
Figure 7. Evaluation of Suspected Incomplete Kawasaki Disease (KD)
Reprinted with permission from: Newburger J W, Takahashi M, Gerber MA, et al. Diagnosis, treatment, and long-term management of Kawasaki disease: A statement for health professionals from the Committee on Rheumatic Fever, Endocarditis and Kawasaki Disease, Council on Cardiovascular Disease in the Young, American Heart Association. Circulation 2004;110:2747-2771.
Summary
Kawasaki disease is a vasculitic disease that affects children mostly from ages 1 to 6 years old. It is a clinical diagnosis that requires the presence of five days or more of fever and four of five other clinical symptoms, including oral mucosal changes, cervical lymphadenopathy, skin rash, conjunctivitis, and changes to the distal extremities. The exact etiology is unknown, but it is presumed that it is an inflammatory response likely due to an antigenic stimulation, yet the antigen has not been discovered. As Kawasaki disease can mimic other viral infections, diagnosis is often a challenge. One must consider the diagnosis when a child presents with five days or more of fever and has at least two of the above mentioned symptoms. There are no diagnostic laboratory findings, yet there is elevation of inflammatory labs, including white blood cell count, erythrocyte sedimentation rate, and C-reactive protein.
Once the diagnosis is confirmed, the child will require an ECHO to look for coronary artery aneurysms, the most significant complication of Kawasaki disease. It is important to attempt to make the diagnosis before day 10 of symptoms, as starting therapy prior to that time has been shown to improve outcomes. Children with Kawasaki disease are treated with IVIG and aspirin, and all require inpatient admissions. The prognosis for children with Kawasaki disease is dependent on their ECHO findings. Children with dilation of the aortic root or development of small coronary artery aneurysms do quite well, as the majority of these children have spontaneous regression of their findings. Children with larger aneurysms, called "giant" aneurysms, do not fare as well because the aneurysms are less likely to regress and more likely to cause cardiac complications that progress in the child's lifetime.
Incomplete Kawasaki disease is a variant of classic Kawasaki disease in that all of the symptoms are not present. Children with incomplete Kawasaki disease do not fare as well clinically, due largely in part to the difficulty of diagnosing them. These patients require a high index of suspicion as well as laboratory evaluations to confirm the diagnosis. The therapy remains the same as for classic Kawasaki disease.
References
- Kawasaki T. [Acute febrile mucocutaneous syndrome with lymphoid involvement with specific desquamation of the fingers and toes in children]. Arerugi 1967;16:178-222.
- Shulman ST, De Inocencio J, Hirsch R. Kawasaki disease. Pediatr Clin North Am 1995;42:1205-1222.
- Burns JC, Kushner HI, Bastian JF, Shike H, Shimizu C, Matsubara T, et al. Kawasaki disease: A brief history. Pediatrics 2000;106:E27.
- Newburger JW, Takahashi M, Gerber MA, Gewitz MH, Tani LY, Burns JC, et al. Diagnosis, treatment, and long-term management of Kawasaki disease: A statement for health professionals from the Committee on Rheumatic Fever, Endocarditis and Kawasaki Disease, Council on Cardiovascular Disease in the Young, American Heart Association. Circulation 2004;110:2747-2771.
- Wood LE, Tulloh RM. Kawasaki disease in children. Heart 2009;95:787-792.
- Huang WC, Huang LM, Chang IS, Chang LY, Chiang BL, Chen PJ, et al. Epidemiologic features of Kawasaki disease in Taiwan, 2003-2006. Pediatrics 2009;123:e401-e405.
- Pinna GS, Kafetzis DA, Tselkas OI, Skevaki CL. Kawasaki disease: An overview. Curr Opin Infect Dis 2008;21:263-270.
- Gomard-Mennesson E, Landron C, Dauphin C, Epaulard O, Petit C, Green L, et al. Kawasaki disease in adults: Report of 10 cases. Medicine (Baltimore). 2010;89:149-158.
- Hua W, Izurieta HS, Slade B, Belay ED, Haber P, Tiernan R, et al. Kawasaki disease after vaccination: Reports to the vaccine adverse event reporting system 1990-2007. Pediatr Infect Dis J 2009;28:943-947.
- Nakamura Y, Yashiro M, Uehara R, Oki I, Watanabe M, Yanagawa H. Epidemiologic features of Kawasaki disease in Japan: Results from the nationwide survey in 2005-2006. J Epidemiol 2008;18:167-172.
- Park YW, Han JW, Park IS, Kim CH, Cha SH, Ma JS, et al. Kawasaki disease in Korea, 2003-2005. Pediatr Infect Dis J 2007;26:821-823.
- Nakamura Y, Yashiro M, Uehara R, Sadakane A, Chihara I, Aoyama Y, et al. Epidemiologic features of Kawasaki disease in Japan: Results of the 2007-2008 nationwide survey. J Epidemiol 2010;20:302-307.
- Holman RC, Belay ED, Christensen KY, Folkema AM, Steiner CA, Schonberger LB. Hospitalizations for Kawasaki syndrome among children in the United States, 1997-2007. Pediatr Infect Dis J 2010;29:483-488.
- Lin YT, Manlhiot C, Ching JC, Han RK, Nield LE, Dillenburg R, et al. Repeated systematic surveillance of Kawasaki disease in Ontario from 1995 to 2006. Pediatr Int 2010;52:699-706.
- Leung DY, Meissner C, Fulton D, Schlievert PM. The potential role of bacterial superantigens in the pathogenesis of Kawasaki syndrome. J Clin Immunol 1995;15:11S-17S.
- Leung DY, Sullivan KE, Brown-Whitehorn TF, Fehringer AP, Allen S, Finkel TH, et al. Association of toxic shock syndrome toxin-secreting and exfoliative toxin-secreting Staphylococcus aureus with Kawasaki syndrome complicated by coronary artery disease. Pediatr Res 1997;42:268-272.
- Brogan PA, Shah V, Bagga A, Klein N, Dillon MJ. T cell Vbeta repertoires in childhood vasculitides. Clin Exp Immunol 2003;131:517-527.
- Rowley AH, Shulman ST, Spike BT, Mask CA, Baker SC. Oligoclonal IgA response in the vascular wall in acute Kawasaki disease. J Immunol 2001;166:1334-1343.
- Burns JC, Cayan DR, Tong G, Bainto EV, Turner CL, Shike H, et al. Seasonality and temporal clustering of Kawasaki syndrome. Epidemiology 2005;16:220-225.
- Newburger JW, Fulton DR. Kawasaki disease. Curr Opin Pediatr 2004;16:508-514.
- Newburger JW, Takahashi M, Gerber MA, Gewitz MH, Tani LY, Burns JC, et al. Diagnosis, treatment, and long-term management of Kawasaki disease: A statement for health professionals from the Committee on Rheumatic Fever, Endocarditis, and Kawasaki Disease, Council on Cardiovascular Disease in the Young, American Heart Association. Pediatrics 2004;114:1708-1733.
- Burns JC, Glodé MP. Kawasaki syndrome. Lancet 2004;364:533-544.
- Benseler SM, McCrindle BW, Silverman ED, Tyrrell PN, Wong J, Yeung RS. Infections and Kawasaki disease: Implications for coronary artery outcome. Pediatrics 2005;116:e760-e766.
- Yim D, Curtis N, Cheung M, Burgner D. An update on Kawasaki disease II: Clinical features, diagnosis, treatment and outcomes. J Paediatr Child Health 2013;49:614-623.
- Lang B. Recognizing Kawasaki disease. Paediatr Child Health 2001;6:638-643.
- Smith LB, Newburger JW, Burns JC. Kawasaki syndrome and the eye. Pediatr Infect Dis J 1989;8:116-118.
- Burns JC, Mason WH, Glode MP, Shulman ST, Melish ME, Meissner C, et al. Clinical and epidemiologic characteristics of patients referred for evaluation of possible Kawasaki disease. United States Multicenter Kawasaki Disease Study Group. J Pediatr 1991;118:680-686.
- Sung RY, Ng YM, Choi KC, Mok GC, Cheng YW, Ho MH, et al. Lack of association of cervical lymphadenopathy and coronary artery complications in Kawasaki disease. Pediatr Infect Dis J 2006;25:521-525.
- Wang S, Best BM, Burns JC. Periungual desquamation in patients with Kawasaki disease. Pediatr Infect Dis J 2009;28:538-539.
- Baker AL, Lu M, Minich LL, Atz AM, Klein GL, Korsin R, et al. Associated symptoms in the ten days before diagnosis of Kawasaki disease. J Pediatr 2009;154:592-5.e2.
- Mitani Y, Sawada H, Hayakawa H, Aoki K, Ohashi H, Matsumura M, et al. Elevated levels of high-sensitivity C-reactive protein and serum amyloid-A late after Kawasaki disease: Association between inflammation and late coronary sequelae in Kawasaki disease. Circulation 2005;111:38-43.
- Shike H, Kanegaye JT, Best BM, Pancheri J, Burns JC. Pyuria associated with acute Kawasaki disease and fever from other causes. Pediatr Infect Dis J 2009;28:440-443.
- Eladawy M, Dominguez SR, Anderson MS, Glodé MP. Abnormal liver panel in acute Kawasaki disease. Pediatr Infect Dis J 2011;30:141-144.
- Dahdah N, Siles A, Fournier A, Cousineau J, Delvin E, Saint-Cyr C, et al. Natriuretic peptide as an adjunctive diagnostic test in the acute phase of Kawasaki disease. Pediatr Cardiol 2009;30:810-817.
- McNeal-Davidson A, Fournier A, Spigelblatt L, Saint-Cyr C, Mir TS, Nir A, et al. Value of amino-terminal pro B-natriuretic peptide in diagnosing Kawasaki disease. Pediatr Int 2012;54:627-633.
- Durongpisitkul K, Gururaj VJ, Park JM, Martin CF. The prevention of coronary artery aneurysm in Kawasaki disease: A meta-analysis on the efficacy of aspirin and immunoglobulin treatment. Pediatrics 1995;96:1057-1061.
- Oates-Whitehead RM, Baumer JH, Haines L, Love S, Maconochie IK, Gupta A, et al. Intravenous immunoglobulin for the treatment of Kawasaki disease in children. Cochrane Database Syst Rev 2003:Cd004000.
- Fong NC, Hui YW, Li CK, Chiu MC. Evaluation of the efficacy of treatment of Kawasaki disease before day 5 of illness. Pediatr Cardiol 2004;25:31-34.
- Silvergleid AJ, Berger M. Intravenous immune globulin: Adverse effects. In: Basow D, editor. UptoDate Waltham, MA: UptoDate; 2013.
- Michaels M, Nowalk A. Infectious Disease. In: Zitelli B, McIntire S, Nowalk A, editors. Zitelli and Davis' Atlas of Pediatric Physical Diagnosis, 6th ed. Philadelphia, PA: Elsevier Saunders; 2012:471.
- Baumer JH, Love SJ, Gupta A, Haines LC, Maconochie I, Dua JS. Salicylate for the treatment of Kawasaki disease in children. Cochrane Database Syst Rev 2006:Cd004175.
- Kato H, Sugimura T, Akagi T, Sato N, Hashino K, Maeno Y, et al. Long-term consequences of Kawasaki disease. A 10- to 21-year follow-up study of 594 patients. Circulation 1996;94:1379-1385.
- Newburger JW, Sleeper LA, McCrindle BW, Minich LL, Gersony W, Vetter VL, et al. Randomized trial of pulsed corticosteroid therapy for primary treatment of Kawasaki disease. N Engl J Med 2007;356:663-675.
- Kobayashi T, Saji T, Otani T, Takeuchi K, Nakamura T, Arakawa H, et al. Efficacy of immunoglobulin plus prednisolone for prevention of coronary artery abnormalities in severe Kawasaki disease (RAISE study): A randomised, open-label, blinded-endpoints trial. Lancet 2012;379:1613-1620.
- Dominguez SR, Anderson MS. Advances in the treatment of Kawasaki disease. Curr Opin Pediatr 2013;25:103-109.
- Matsubara T, Furukawa S, Yabuta K. Serum levels of tumor necrosis factor, interleukin 2 receptor, and interferon-gamma in Kawasaki disease involved coronary-artery lesions. Clin Immunol Immunopathol 1990;56:29-36.
- Son MB, Gauvreau K, Ma L, Baker AL, Sundel RP, Fulton DR, et al. Treatment of Kawasaki disease: Analysis of 27 US pediatric hospitals from 2001 to 2006. Pediatrics 2009;124:1-8.
- Dominguez SR, Anderson MS, El-Adawy M, Glodé MP. Preventing coronary artery abnormalities: A need for earlier diagnosis and treatment of Kawasaki disease. Pediatr Infect Dis J 2012;31:1217-1220.
- McCrindle BW. Kawasaki disease: A childhood disease with important consequences into adulthood. Circulation 2009;120:6-8.
- Suda K, Iemura M, Nishiono H, Teramachi Y, Koteda Y, Kishimoto S, et al. Long-term prognosis of patients with Kawasaki disease complicated by giant coronary aneurysms: A single-institution experience. Circulation 2011;123:1836-1842.
- Gordon JB, Kahn AM, Burns JC. When children with Kawasaki disease grow up: Myocardial and vascular complications in adulthood. J Am Coll Cardiol 2009;54:1911-1920.
- Nakamura Y, Aso E, Yashiro M, Tsuboi S, Kojo T, Aoyama Y, et al. Mortality among Japanese with a history of Kawasaki disease: Results at the end of 2009. J Epidemiol 2013.
- Nakamura Y, Aso E, Yashiro M, Uehara R, Watanabe M, Oki I, et al. Mortality among persons with a history of Kawasaki disease in Japan: Mortality among males with cardiac sequelae is significantly higher than that of the general population. Circ J 2008;72:134-138.
- Tsuda E, Hirata T, Matsuo O, Abe T, Sugiyama H, Yamada O. The 30-year outcome for patients after myocardial infarction due to coronary artery lesions caused by Kawasaki disease. Pediatr Cardiol 2011;32:176-182.
- Muta H, Ishii M, Iemura M, Matsuishi T. Health-related quality of life in adolescents and young adults with a history of Kawasaki disease. J Pediatr 2010;156:439-443.
- Rowley AH. Incomplete (atypical) Kawasaki disease. Pediatr Infect Dis J 2002;21:563-565.
You have reached your article limit for the month. Subscribe now to access this article plus other member-only content.
- Award-winning Medical Content
- Latest Advances & Development in Medicine
- Unbiased Content
Already have an account? Log in