Physical Abuse of Children: Identification, Evaluation, and Management
December 1, 2013 33 minutes read
Physical Abuse of Children: Identification, Evaluation, and Management
Authors:
Bronwyn Baz, MD, Affiliate Assistant Professor, Pediatric Hospital Medicine, Doernbecher Children’s Hospital, Oregon Health and Sciences University, Forensic Pediatrician, CARES NW (Child Abuse Response and Evaluation Services Northwest), NW Permanente, Portland, OR.
N. Ewen Wang, MD, Associate Professor of Surgery, Associate Director of Pediatric Emergency Medicine, Stanford University Hospital, Stanford, CA.
Peer Reviewer:
Jeffrey Linzer Sr., MD, FAAP, FACEP, Assistant Professor of Pediatrics and Emergency Medicine, Emory University School of Medicine; Associate Medical Director for Compliance, Emergency Pediatric Group, Children’s Healthcare of Atlanta at Egleston and Hughes Spalding, Atlanta, GA.
This article is adapted from one that originally appeared in the July 2012 issue of Pediatric Emergency Medicine Reports.
Executive Summary
- Use the red flags to suspect potential physical abuse.
- Use the social worker or allied medical personnel to assist in obtaining the history.
- Use a structured form to document your findings.
- Contact Child Protective Services for all encounters with suspected child abuse, even if the patient and family have been reported before.
According to one study, as many as one in five children seen in the emergency department (ED) may be missed cases of physical abuse; thus, emergency physicians have a responsibility to consider abuse in the differential of every injured child.1 This article reviews the identification, evaluation, and management of a child with possible physical abuse.
Background
Physical abuse is most simply defined as injury inflicted on a child by a caregiver.2 Neglect is defined as harm coming to a child through lack of action by a caregiver.2,3 Recognition of child abuse is essential for prevention of further injury. The identification of child abuse requires the completion of a medical and social evaluation, and should be followed by the notification of child protective services (CPS). This sensitive and often difficult situation presents a unique challenge for both the medical staff and the family, and requires thoughtful coordination and cooperation between ED personnel, social workers, CPS, law enforcement personnel, and inpatient hospital staff.
Epidemiology
The incidence of non-sexual child abuse in the United States is difficult to ascertain, but is believed to be much higher than reported. The National Incidence Study (NIS) of Child Abuse and Neglect reports that maltreated children who are investigated by CPS represent only the "tip of the iceberg."5
According to NIS-4 data, more than 1.25 million children experienced maltreatment (abuse or neglect) during 20052006. This corresponds to one child in every 58 in the United States. A large percentage (44%) suffered at least one type of abuse (including physical, sexual, or emotional abuse or neglect), while most (61%) were neglected. Most abused children (58%) experienced physical abuse.5 The range of injuries, in order of frequency of occurrence, includes: bruises, skeletal fractures, central nervous system (CNS) injuries, and burns.5,7,8
Research shows that very young children (ages 4 and younger) are most likely to be physically abused and are the most frequent victims of child fatalities. Victims in the age group of birth to 1 year had the highest rate of victimization at 20.6 per 1,000 children of the same age group.6 Children younger than 1 year accounted for 46.2% of fatalities, and children younger than age 4 accounted for 80.8% of fatalities.6 The oldest children (ages 12-17 years) were victimized the least frequently.10
Unlike previous NIS cycles, the NIS4 found strong and pervasive race differences in the incidence of maltreatment. African American, American Indian or Alaska Native, and multiple racial descent had the highest rates of victimization at 15.1, 11.6, and 12.4 victims, respectively, per 1,000 children in the population of the same race or ethnicity. These differences occurred in rates of overall maltreatment, overall abuse, overall neglect, and physical abuse for children with serious or moderate harm from their maltreatment.5,6 There is some concern that rates of reporting may differ between these populations; poverty is also a potential confounder.5,6
While victimization was split evenly between the sexes, boys were more likely to incur serious injury.3,5-7
Sequelae of Physical Abuse
The abused child is at risk for both the physical and the psychological ramifications that occur as a result of battering. It is estimated that 37% of children with maltreatment injuries develop future special medical needs, most often from disability, and particularly from CNS injuries and thermal burns.
Another unfortunate consequence of battering is the risk that the children themselves may grow up to become perpetrators, acting out the violence that was once modeled as normal problem-solving behavior.11 Studies looking at long-term outcomes (the Adverse Child Experiences study or ACE) found that these children also have a higher risk of developing psychological sequelae, including psychiatric disorders such as depression, suicidal impulses, and post-traumatic stress disorder (PTSD), as well as risk-taking behaviors such as an earlier age of sexual activity and drug and alcohol use.12,13
Scope of the Problem: Risks for Abuse and Neglect
Factors that put children at risk for physical abuse involve characteristics of both the perpetrator and the child, and are commonly exacerbated by social and environmental stressors. Perpetrators, in order of frequency, are most commonly fathers, mothers’ boyfriends, babysitters (female), and mothers.14,15 In 2009, parents were responsible for 75.8% of child abuse or neglect fatalities. More than one-fourth of cases were perpetrated by the mother acting alone. Fathers and mothers’ boyfriends are most often the perpetrators in abuse deaths; mothers are more often at fault in neglect fatalities.9
Risk factors for the perpetrator include history of abuse or neglect as a child, lower level of education, young or single parenthood, and unstable social situations.5,9,16 A caretaker also may be more likely to perpetrate abuse when suffering from a psychiatric illness, when under the influence of drugs or alcohol, or when inexperienced and unprepared for parenthood.11,12,16,17
Innate factors that put the child at greater risk for abuse include younger age, chronic illness and disability, speech and language disorders, learning disability, conduct disorders (e.g., hyperactivity), and psychological illness.11,18
Most importantly, history of previous abuse is a significant risk factor for future abuse: A physically abused child has a 50% chance of suffering further abuse and a 10% chance of dying from the abuse if it is not identified and addressed at initial presentation.1 Also, children whose mothers suffer from domestic violence are up to 15 times more likely to be abused; thus, screening and intervening on behalf of the battered parent may be an effective abuse prevention strategy.3,21,22
Environmental and social factors increasing a child’s risk for abuse include acute and chronic problems such as financial and family stressors (divorce, separation, conflict) and illness, all of which may contribute to instability and violence in the home. Cultural factors may include social isolation, lack of support from extended family, and the modeling and acceptance of violence (such as corporal punishment and domestic violence) for resolving conflict.11,17 Recent studies highlight the connection between socioeconomic stressors and physical child abuse. One study found increased incidence between abusive head trauma in infants and the economic recession,23 and another found that children without private insurance (both uninsured and with public insurance) had a 3.8 higher odds of dying even after controlling for factors such as injury severity and ethnicity.24
Types and Biomechanics of Injuries to Children
Abusive injuries to infants and children have unique characteristics due to their immature physiology, especially with regard to skeletal and CNS injuries. Orofacial injuries also are unique to children, and are found in up to one-half of physically abused children.25
Bruises. Bruises, including ecchymoses, petechiae, and hematomas are the most commonly found injuries in abusive trauma, accounting for up to 40% of injuries. Bruises are caused by direct blunt force to the skin, with resulting rupture of capillaries and leakage of blood into the subcutaneous tissue.25,27 Discoloration may appear immediately, or hours to days after the injury is sustained.28 As bruises heal, the discoloration progresses through a spectrum of colors as the hemoglobin from extravasated blood is broken down and removed.3 Healing of bruises may take place over a period of 1-3 weeks, depending on factors that include the victim’s gender, health, medications (aspirin, ibuprofen) he/she may be taking, skin tone, and environmental factors. All of these factors may alter the resolution and color sequence of bruises.29
Although bruises at different stages of healing have been described as characteristic of abusive injury, caution should be used when attempting to determine the age of bruises because of a wide variability in bruise development.30 A study by Langlois and Gresham attempted the first analysis of how accurately the age of a bruise can be determined by its color. Data on color and age were analyzed in 89 photographs of bruises. Their conclusions suggested that the development of bruise color is variable, and although yellow is the color of a relatively older bruise, it may appear much earlier than forensic charts have suggested.31
Although the age of a bruise cannot be accurately determined from its color, observations of location, size, and color of the bruise can be valuable in distinguishing between accidental and abusive trauma.31 For this reason, it is reasonable for a clinician to estimate a range of time (days to weeks) rather than specific dates as to when the bruise developed, based on its clinical appearance. The estimated age of a bruise should never be the sole criterion for a diagnosis of child abuse, but rather one component of an assessment.30
Distinguishing between normal traumatic bruises and inflicted injuries in children can be difficult, but recognizable geometric shapes from implements such as belts, whips, and handprints are highly suspicious for abusive injury. Additionally, location of bruises may be helpful for determining if a bruise is due to abuse.32 Accidental bruising most often occurs over bony prominences, such as joints (elbows, knees) or pretibial areas, the forehead, and the front of the body, as a result of play. Bruising to the back of the body, inner arms or thighs, trunk, genitalia, cheeks, ears, eyes, and neck are more suggestive of abusive injury.33,34
Other important clues include bruising in non-ambulatory babies, which is rare in unintentional trauma.35-37 Multiple and/or clustered bruises, especially bruises of different ages and healing stages, suggest repeated inflicted injuries.3,26,34 Features of bruises that are suggestive of child abuse are listed in Table 1.
Table 1: Features of Bruises Suggestive of Abuse3,38
- The pattern of injuries corresponds to infliction with an instrument not found in play or the child’s usual environment, such as linear bruises and petechiae on the buttocks and gluteal cleft from hitting, spanking, whipping, or paddling
- Linear bruising and/or petechiae of the pinna from blows to the skull ("tin ear syndrome" is comprised of bruising to the pinna, retinal bleeding, and acute traumatic head injury)
- Hand prints or oval marks on cheeks, neck, upper arms, trunk, or buttocks (from being punched, slapped, grabbed, shaken, or pinched)
- Belt marks (leaving long bands of ecchymosis, sometimes with a u-shape at the end or puncture wounds from the buckle)
- Loop marks from beating with a rope, wire, or electric cord (electric cords leave a characteristic "double-track mark")
- Ligature marks or circumferential rope burns seen on the neck, wrists, ankles, and gag marks at corners of the mouth
- Any history of injury inconsistent with the child’s level of development or with the category and extent of the injury should raise suspicion for abusive trauma
Bite Marks. Bite marks are associated with both physical and sexual abuse of children.11,39,40 They can appear as circular, elliptical, or arrow-shaped bruises or abrasions, and may have central clearing or associated erythema and petechiae. Human and animal bite marks may be differentiated by their depth. Human bites tend to be more superficial, do not always leave individual tooth marks, and lack the tearing and deep punctures of animal bites.40 Adult bite marks may be differentiated from a child’s by the adult tooth pattern and the maxillary intercanine distance, which is at least 2.5-3 cm.39,40
Forensic investigation is an important component of bite evaluation and documentation. The pattern, size, contour, and color of a bite mark can be evaluated by a forensic odontologist or pathologist.39 If neither is available, a physician or dentist who is knowledgeable in patterns of child abuse injuries can evaluate the bite-mark characteristics.
Documentation in the patient’s chart of any suspicious bruise or bite mark is recommended, using written description, drawings, and careful photographic evidence with a color wheel and ruler.31
Fractures
Fractures in children due to inflicted injury can be divided into the following three categories:4
- Highly specific injuries include metaphyseal fractures, sometimes termed classic metaphyseal lesions (CMLs), rib fractures, scapular fractures, spinous process fractures, and sternal fractures.
- Moderate-specificity fractures include multiple fractures (especially if bilateral), fractures of different ages, epiphyseal separations, vertebral body fractures, digital fractures, and complex skull fractures.
- Common but low-specificity fractures include clavicle fractures, long-bone shaft fractures, and linear skull fractures. Moderate- and low-specificity fractures become highly specific when a credible history of accidental trauma is absent, particularly in infants.
Fractures are the second most common injury in physical abuse, and are detected in 30-55% of abused children.34,42 Further, studies estimate that up to one in five children with abuse-related fractures are missed during the initial medical visit.43 A child’s skeleton is more porous than an adult’s and is more prone to compression injuries that may result in greenstick and buckle fractures. Further, the periosteum is more prone to separation from the bone in a child, but a child’s joint capsules and ligaments are more resistant to mechanical stressors than bone and cartilage, making joint dislocations less likely in childhood. Finally, bone healing is more rapid in children than in adults.3,44
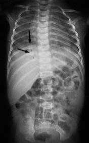
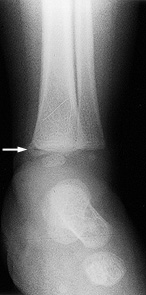
| Figure 1:Metaphyseal Bucket Handle Fracture | Figure 2:Posterior Rib Fracture |
|
|
|
Image used with permission from David Pressel, MD, PhD, Nemours/A.I. duPont Hospital for Children. |
Image used with permission from David Pressel, MD, PhD, Nemours/A.I. duPont Hospital for Children. |
Dating of skeletal injuries is important in the evaluation of physical abuse, as it may assist investigators in determining who had access to the child during the period of time that the skeletal injury is thought to have occurred. In general, fractures of long bones and ribs heal in relatively predictable stages: initial healing, soft callus, hard callus, and remodeling.3,45 The timing of metaphyseal fractures is more difficult because of the relative lack of disruption in the periosteum at the time of the fracture. Skull fractures heal differently than long bones and ribs, making the dating of injury more difficult.3
Skeletal injuries that are suspicious for abusive trauma include diaphyseal fractures, which are the most commonly found fracture in abuse and often result from transverse forces applied perpendicularly to the long axis of the bone. Spiral fractures from rotational forces, such as twisting or torquing of the extremity, especially in non-ambulatory children, are considered by some to be highly suspicious for abuse (history must be taken into account, particularly in ambulatory children).46 Limb fractures in non-ambulatory children younger than 1 year of age should alert clinicians to consider abusive injury.47
Metaphyseal fractures are considered to be pathognomonic for abuse. These fractures are subtle findings on radiographs, often appearing as chips or fractures from the corner of the bone known as "bucket handle" fractures.37 (See Figure 1.) This type of fracture is particularly important to detect, as injury to the metaphyseal plate may limit future growth if not adequately treated in a timely manner.3
Rib fractures account for up to 27% of all abusive skeletal injuries45 and occur as a result of direct blows, as well as anteroposterior compression of the chest wall, such as occurs when holding and shaking an infant. Most abusive rib fractures are posterior and adjacent to the vertebral body, due to the leveraging of forces over the transverse process of the vertebra.37 (See Figure 2.) To diagnose these difficult-to-detect fractures, skeletal surveys are recommended in children younger than age 2 in whom abuse is suspected. Radionuclide bone scanning or repeat skeletal surveys within two weeks may detect new rib fractures and subtle long bone fractures not evident on skeletal survey.1,49
CNS Trauma
CNS trauma is found in up to one-fourth of abused children and represents the most serious form of injury in physical abuse.14
Physicians frequently are required to differentiate between accidental household falls and abusive trauma as the cause of head injuries in infants and toddlers. The ability to distinguish between accidental and abusive head injury may be facilitated by an understanding of the biomechanics of brain injury. Sudden angular deceleration of the brain and cerebral vessels from violent shaking results in diffuse brain injury, such as subdural hemorrhage, which is a hallmark of inflicted craniocerebral trauma (now called abusive head trauma or inflicted traumatic brain injury; formerly known as "shaken-baby syndrome"), rather than specific contact forces applied to the surface of the head, as seen in household falls.14 Thus, this angular type of force is distinctly different from those generated in most cases of accidental traumas (household falls) in young children, which involve low-velocity translational forces.14
Abusive head trauma is the most common cause of morbidity and mortality in physically abused infants;14,15 in one case review study, 23% of children with inflicted head injuries died.15
Abusive head injury may present with a wide spectrum of symptoms and clinical findings.39 Subsequently, children who have more mild forms of head trauma and less ominous symptoms, such as vomiting and irritability, may not be recognized until they present later with a more serious injury.50 Thus, timely diagnosis of abusive head trauma is essential for preventing a child from suffering further brain injury.
Sequelae include intracranial hemorrhage (subdural and subarachnoid), as well as contusions and intraparenchymal bleeding. The classic presentation linking CNS trauma and abuse is "shaken baby syndrome," (now called abusive head trauma) with the findings of subdural hematoma; retinal hemorrhages (65-95% of cases); and skeletal fractures, including metaphyseal and posterior rib fractures (30-70% of cases) caused when the child is shaken violently back and forth.3 It should be emphasized that a minority of patients will have all three findings.
Physicians should consider inflicted head trauma in infants and young children presenting with nonspecific clinical signs, including seizures, altered mental status, or apparent life-threatening events (ALTE). Unfortunately, the diagnosis of AHT often is challenging for even the experienced physician, as caregivers rarely provide a history of trauma. An analysis of missed cases of AHT found that 31.2% of abused children with head injuries had been seen by health care personnel who had not recognized the AHT.51 The average time to correct diagnosis for these children was seven days, and AHT was more likely to be unrecognized in very young Caucasian children from intact families and in patients without seizures. Significantly, 27.8% were re-injured after the missed diagnosis, and 40.7% suffered medical complications related to the missed diagnosis. A study by Duhaime and Partington found that children presented with nonspecific symptoms, such as vomiting or fussiness, in 57% of the patients with AHT. Thus, infants presenting with the symptoms noted previously deserve careful consideration and screening for AHT.
Retinal hemorrhages observed on fundal examination are a key feature associated with AHT.54,55 One study looking at children presenting with ALTE found that the detection of retinal hemorrhages in children younger than 2 years was a marker for AHT and required further workup.56 Retinal hemorrhages are seen in abusive head injury, are often bilateral, and tend to involve the pre-retinal layer.53 Further, children with abusive head injury are more likely to have numerous dot, deep blot, and flame retinal hemorrhages in multiple layers of the retina, covering the macula, and extending to the periphery of the retina.37,54,57 These characteristic retinal findings, even if unilateral (in 20%) are highly specific for AHT.16 Evidence of external injury is often absent.54,55 Although questions are still raised regarding the differential diagnosis of retinal hemorrhages and AHT (particularly in court), clinicians can confidently rely on a large and solid evidence base when assessing the implications of retinal hemorrhage in children with concern of AHT.55,57 Importantly, unilateral retinal hemorrhages can occasionally be seen in children with severe accidental head injury (e.g., from crushing injuries or motor vehicle accidents).30
Burns
Burns, which are found in up to 20% of abused children, are frequently due to intentional injury.27 Burns result from contact between a heat source and skin, and may be caused by liquids (causing scalding burns), chemicals, contact with hot and/or dry objects, flames (causing flash burns), and electricity. Three concentric zones of tissue damage are found in relation to the heat source: coagulation, stasis, and hyperemia. Skin closest to the heat source undergoes coagulation necrosis as cellular proteins denature; thus, no regeneration is possible. Stasis results from less direct heat exposure, and cellular repair may be possible. Hyperemia is the least direct injury to skin cells and has the greatest potential for repair.3,58
Burn patterns should raise suspicion for intentional injury, and include brands or contact burns (grill or grid patterns), cigarette burns, immersion burns,37 microwave oven burns, and stun gun burns. Patterned or brand burns from an intentional burn, such as a cigarette, radiator grill, or curling iron, are uniformly deep and leave clear outlines of the identifiable object on the skin, whereas unintentional burns are shallow and leave only part of an outline due to the withdrawal reflex.11 Cigarette burns, for instance, usually leave a complete circle, 8-10 mm in diameter, often with an indurated margin, and are frequently painless due to deep, third-degree tissue damage. Microwave burns (inflicted by holding a child’s extremity in an operating microwave) and stun gun burns cause partial- to full-thickness burns; abusive stun-gun injuries are usually multiple, paired burns 0.5 cm in diameter and 5 cm apart.11,59,60
In detail, burn patterns consistent with abuse include: forced immersion burns resulting in sharp stocking and glove demarcations with sparing of flexural/protected areas such as antecubital or popliteal fossae and no splash or drip marks; bilateral or "mirror image" burns or localized burns to genitals, buttocks, and perineum not consistent with accidental trauma; and splash/spill-type burns attributed to a developmental level not consistent with the child’s age and abilities. Finally, evidence of delay in seeking care for burns and presence of other injuries are highly suspicious, especially when the physical examination is incompatible with the provided history.3,61
Facial Injuries
Oral and facial injuries are common in physical abuse, occurring in up to one-half of cases.25 As mentioned above, facial bruising is the most common facial injury. Toddlers frequently have injuries to the lips or maxillary frenulum due to accidental falls. However, these injuries in non-ambulatory children are suspicious for forced feeding, such as when the bottle is jammed forcefully into the child’s mouth. Lip or frenulum injuries may also result from facial blows.25
Other types of orofacial injuries observed in abuse may include: facial fractures (e.g., the mandible or other facial bones); deviated septum or other damage to the nose from direct trauma or foreign body penetration; periorbital injuries ("raccoon eyes"); post-auricular ecchymosis or blood behind the tympanic membranes; bruising and scarring at the angles of the mouth, such as would occur when a gag is placed around the mouth; traumatic alopecia from hair pulling (patchy areas of missing hair without the scaling and inflammation seen in tinea capitis, occasionally associated with scalp bruising or subgaleal hematoma); and burns from forced ingestion of scalding liquids or caustic materials, or dental fractures and tooth discoloration from repeated direct trauma.11,39,63-65
Forced Ingestion and Starvation
Forced ingestion may involve intentional poisoning of children with massive amounts of water, salt, pepper, or various drugs and overlaps with medical child abuse (formerly known as Munchausen syndrome by proxy).11,66,67 Although not as commonly described, the sequelae can be particularly grave.68 Excessive water ingestion may be used as a form of punishment, and presents with hyponatremic seizures, vomiting, coma, and/or death.67 Signs of physical abuse also are often present and should be assessed. Salt poisoning presents as recurrent unexplained hypernatremia, with serum sodium levels greater than 200, in the first 6 months of life.69
Starvation is a less common form of child abuse, but may have higher mortality rates; one case series reported up to 50% mortality.70 Age appears to be a significant risk factor for death: The median age at which children suffer fatalities is 8 months, whereas children ages 8 years or older usually survive their injuries. These children also may be at significantly greater risk for fatality from starvation due to their isolation from relatives and medical and school personnel.70
Evaluation for Abuse: History
The evaluation of the injured child requires a history of the circumstances and events leading up to the injury. Essential questions are similar to the usual information gathered in history-taking but require more specific data, which is usually gathered by a trained interviewer (social worker and/or child abuse consultant). (See Table 2.) History particularly concerning for abuse may include no explanation for an injury, the provided story not matching findings on exam, or a changing story for an injury. Assessment of the developmental level of the child also is required in the determination of whether the story is compatible with the child’s developmental abilities (for instance, a 2-month-old generally will not roll off the table and hit his head).
Table 2: Documentation of Suspected Abuse
The medical record may be admitted as evidence in court. Accurate, detailed, legible records are essential. The record should include:
- Date and time of injury
- When was the child last well
- When first noted injury
- Where the injury occurred
- Who was there and witnessed the injury
- What led up to the injury
- How the child and caretaker responded to the injury
- Delay in time before seeking care for the injury3
- Physical exam findings, evidence collection
- Photographs of all findings with child’s name, record number, ruler, color scale (often done by law enforcement)
- Diagrams/detailed drawings in chart if multiple injuries
- Recent or fresh bite marks can be swabbed for saliva with a sterile cotton swab moistened in sterile saline, dried, and packaged in an envelope from an evidence kit for DNA processing.39
Documentation should be meticulous and legible, as the physician might be called to court years from the actual examination.3 Classic red flags in the history for abusive trauma are listed in Table 3.
Table 3: Red Flags for Abuse
Classic red flags for abusive trauma in the history:
- Changing details with the caretaker’s repetition of the story
- Details inconsistent with findings on physical exam
- Findings of additional injuries or more severe injuries than described
- Injuries described as self-inflicted or inflicted by another child
- Injuries not compatible with developmental stage of the child
- Delay in seeking care for injuries
- Seeking care at different health care facilities with each presentation3
Classic red flags for abusive trauma on physical exam:
- Multiple injuries and multiple types of injuries at different stages of healing
- Multiplanar or unusual locations of injuries (neck, ears, perineal area, abdomen, upper arms)
- Poor hygiene or poor caretaker-child interaction
- Pathognomonic injuries: SDH, posterior rib fractures, spiral fractures (non-ambulatory children), metaphyseal fracture (bucket handle), scapular and spinous process fractures, sternal fractures41
- Patterned injuries: hand imprint, cigarette burns, grill marks, or loop marks
Clinical Evaluation: Physical Exam
When abuse is suspected in the stable patient, the physical examination should be comprehensive, looking for contemporaneous as well as prior injuries. The abdominal, skin, and skeletal systems should be evaluated for additional signs of trauma.72 A full skin exam including the genitals, the ears (interior and exterior), and buccal mucosa, teeth, and frenulae should be completed. The head, extremities, trunk, and spine should be palpated for occult fractures. Other physical signs consistent with physical abuse include multiple injuries and types of injuries, as well as injuries at different stages of healing, presence of pathognomonic injuries such as those seen in abusive head trauma (SDH, posterior rib fractures, and retinal hemorrhages), or patterned injuries such as cigarette burns or loop marks (see Table 3).3 Finally, evidence of malnourishment (weight less than third percentile) and neglect, such as caries, poor hygiene, and lack of adequate clothing and poor (harsh, aloof, or fearful) interaction between caregiver and child, are important clues for abuse.
Differential Diagnosis
The diagnosis of accidental vs. abusive injuries may be confounded by the presence of underlying medical conditions. Whereas the past medical history often will elucidate previously diagnosed conditions, the exploration of the differential diagnosis for physical abuse should be undertaken in those cases that are unclear or suggest an alternative etiology of injury. Often, the workup and consults will be completed once the child is admitted. Clinicians should always consider reasonable, alternative medical diagnoses before concluding that the child’s injury is most likely from abuse.
Differential diagnoses for bruises are many, and most commonly include slate-gray spots (formerly known as "Mongolian spots"). These are collections of melanocytes causing bluish discoloration in patches over the sacrum, back, and extremities present at birth in up to 80% of African-American children, as well as in high percentages of Hispanic and Asian children.76 Hemangiomas also are frequently found in infants, may be reddish to bluish in color, and may have deep as well as superficial components. They tend to be present at birth, evolve relatively rapidly over the first year of life, and then spontaneously regress. Several other presentations that may be confused with abusive bruises include eczema; phytophotodermatitis (reddened areas and erosions from sun and citric acid exposure); erythema multiforme (variable erythematous lesions from drug or sensitivity reactions); idiopathic thrombocytopenic purpura and other bruising or petechiae from coagulopathy or malignancy; unusual genetic syndromes such as Ehlers-Danlos syndrome (loss of normal skin elasticity) or osteogenesis imperfecta (OI) type I (discussed below in the skeletal injury differential); and folk healing practices such as cupping (using a heated, usually glass, cup to apply vacuum suction to one’s back), coining (applying heated coins to a child’s skin),77 or moxibustion (application of incense to skin believed to have healing power).3
Cigarette burns may be confused with nummular impetigo, phytophotodermatitis, or dermatitis herpetiformis (often associated with autoimmune diseases and characterized by blistering). Finally, as noted above, folk remedies such as cupping, coining, or moxibustion also may cause burns that are suspicious for abusive trauma, but represent an attempt to treat an illness rather than an intent to harm.3 If appropriate, an accurate history taken with the aid of a medical interpreter, when necessary, is essential in discernment of the latter case.
For skeletal fractures, the differential diagnosis includes normal variants of bone structures (which may appear suspicious on radiographs), congenital syphilis (causing periosteal elevation on radiograph), vitamin D-dependent rickets, and OI.3
With respect to OI, there are four types, of which type IV is the most easily confused with abuse. Features include easy bruising, short stature, abnormal dentition (dentinogenesis imperfecta), bluish sclera (types I and II), and varying degrees of osteopenia.3 Abusive injury can be distinguished from OI types I and II due to their characteristic blue sclerae.78 Differentiation between abuse and OI types III and IV may be more difficult. Although rare, type III has normal sclerae but severely fragile bones with frequent fractures and progressive deformity of long bones. However, radiographs of children with mild cases of OI will demonstrate Wormian bones in the skull and osteoporosis characteristics. Distinguishing abusive injury from OI type IV may be more challenging, as the clinical characteristics may be less severe. It often can be identified with careful family history and evaluation for the radiographic findings of OI, such as the presence of Wormian bones, osteoporosis, bony deformity, and demineralization.46,78
The differential for CNS injuries includes severe accidental trauma (crushing injuries, MVA), coagulation disorders, vascular malformations, and rare amino acid metabolic disorders such as glutaric aciduria type I (associated with acute encephalopathy and SDH). Finally, the history should evaluate for the folk healing practice "caida de mollera," in which a child with a sunken fontanelle is held upside down by the ankles and shaken (in an effort to pop out the fontanelle).3
The differential diagnoses for retinal hemorrhages include vasculitis, vascular obstruction, and toxic febrile illness associated with serious infections.3 The role of the physician is to rule out potentially grave diagnoses in the differential and to contact the pediatrics service for admission to protect the child while the remainder of the social and medical workup is completed.
Clinical Evaluation: Ancillary Studies
If during the history and physical exam, a concern for abuse has developed, appropriate ancillary studies can be ordered. In cases in which inflicted head trauma is suspected, in addition to those cases in which a child presents with seizures, altered mental status, and focal neurological findings, a head CT should be obtained to evaluate for skull fractures, intracranial hemorrhage, or hydrocephalus.3 During in-hospital evaluation, a brain MRI with contrast may be useful in dating CNS injuries, which may assist in the identification of the chronicity of the injury and the time frame when the child was exposed to a potential perpetrator.3 (See Table 4.) If there is concern for traumatic brain injury on exam or imaging, an ophthalmologist should also be consulted to complete the fundoscopic exam for retinal hemorrhages.
Table 4: Imaging Considerations3,73 Imaging Skeletal survey (for children < age 2), 20 views AP views of humeri, forearms, hands, femurs, lower legs, and feet; thorax; pelvis; lateral view axial skeleton (infants); and AP and lateral views of skull (usually done post admission) Radionuclide bone scanning for identification of new rib fractures and occult fractures, as indicated (usually by recommendation of radiologist or child abuse consultant) Fundoscopic exam by ophthalmologist if concern for TBI on imaging or exam (with photodocumentation; usually done post admission)Due to the frequency of skeletal injury and difficulty in detection of fractures in younger children, a skeletal survey should be considered in the clinical evaluation of all children younger than age 2 in whom there is a concern for abuse. The skeletal survey consists of AP views of humeri, forearms, hands, femurs, lower legs, and feet; chest; pelvis; lateral view axial skeleton (infants); and AP and lateral views of the skull.3 (See Table 4.) Finally, a skeletal survey should be performed during the evaluation of a child with suspected abusive head injury, as extracranial abnormalities may be detected in 30-70% of these children.14
Psychosocial Evaluation of Suspected Child Abuse
When abuse is suspected and/or when a young child presents with a severe injury, involvement of a social worker, especially when they are specifically trained in the area of child abuse, can add invaluable information to the assessment of the social situation and the child’s safety. Consultation with CPS is crucial when abuse is suspected and may be especially helpful when it is uncertain: Unusual aspects of the case may be discussed with CPS by phone 24 hours a day. The CPS worker will note the details of the case, including the assessment of the caretakers’ background, abilities, environment, and potential risk to other children, and advise whether the case merits further investigation by CPS and, potentially, by local law enforcement agencies.3
Sexual abuse is beyond the scope of this article, but an accurate and thoughtful history (preferably in private by a trained interviewer), a skilled exam with forensic collection and photo-documentation (by a trained provider), and involvement of social services, CPS, and a child abuse consultant are crucial in both accurate diagnosis and optimal disposition of the child. The emergency physician is responsible for ruling out life-threatening injuries, then calling appropriate personnel for timely collection of forensic evidence and making a safety plan for disposition.18
In many cases, the child must be admitted to the hospital for protection while the social and medical evaluations are completed. The family’s understanding and cooperation with the investigative process may be facilitated by a preliminary and diplomatic conversation with the child’s family, communicating concern for possible inflicted injury, mandatory reporting, and the consequent necessity for discussion with CPS. Subsequent admission for the child’s appropriate medical management and safety, as well as any additional studies is strongly recommended. (See Table 5.)
Table 5: What to Do When Considering a Diagnosis of Abuse
- Call social work: They can assist with interview of family, discussion with CPS.
- Call child protective services: They will take a report and decide whether they will pursue an investigation. Often, CPS is involved in assisting with disposition of child if child is not admitted (they will make a safety plan) or when child goes home from hospital.
- Call child abuse consultant: They are key in suggesting studies for workup as well as discussing appropriate disposition. Regional child abuse centers often have a consultant on call if there is not one available in your system.
- General rule for disposition: If there is any question of the child’s safety at home (e.g., unexplained injury, uncertain perpetrator), and/or further workup is required (such as a skeletal survey, etc.), these children should be admitted to the hospital for observation and protection until the workup can be completed and safe disposition decided between admitting provider, child abuse consultant, social services, and CPS.
- Inform family diplomatically that it is routine to involve social services, CPS, and a child abuse consultant in cases of unexplained injury.
Medico-legal Considerations
The mandated reporting law, which exists in all states, requires that a physician make a report to CPS when there is a reasonable suspicion that a child’s injury was caused by abuse. The physician should be familiar with the laws for reporting in their respective state. A reasonable suspicion for abuse is defined as when the information gathered by the physician leads to the conclusion that a child’s injury or medical condition is most likely due to child abuse. Once a report is made (usually by calling the 24-hour emergency state or county hotline) and written documentation is provided, CPS workers evaluate the provided information, investigate the report if deemed appropriate, and provide support to the family per the state’s established timeline.3
Finally, a physician making a report "in good faith" is able to claim immunity from liability if an angry caregiver and/or family files suit against that physician if it is determined that no maltreatment occurred. Additionally, a physician who fails to make a report of suspected abuse may be liable for prosecution for failure to report child abuse under the state’s statutes. In cases of physical abuse, the physician may be subpoenaed to testify in court. Thus, the most effective way a physician can advocate for the child in question is to accurately and thoroughly document the medical evaluation and refer the child to CPS.3
Conclusion
While there is a vast spectrum in the presentation of physical abuse, ranging from mild bruising to acute intracranial hemorrhage, even mild injuries may be suggestive of more extensive and long-term battering. The evaluation of child abuse requires cooperation and collaboration among many different disciplines, such as the physicians, ED providers, social workers, CPS investigators, and law enforcement personnel. Meticulous documentation of the child’s medical evaluation is the most effective way to advocate for the child and to protect the child from further abusive episodes. Several studies have found that implementation of a checklist with warning signs for child abuse, uniform screening guidelines, and/or a provider educational program may improve detection rate of child abuse.79,80
References
- Saade DN, et al. Abused children: Missed opportunities for recognition in the ED. Acad Emerg Med 2002;9:524.
- Kellogg ND, American Academy of Pediatrics Committee on Child Abuse and Neglect. Evaluation of suspected child physical abuse. Pediatrics 2007;119:1232.
- Giardino AP. Child Abuse and Neglect: Physical Abuse. Emedicine 2012. Available at: http://emedicine.medscape.com/article/915664-overview. Accessed 3/6/12.
- Louwers EC, et al. Screening for child abuse at emergency departments: A systematic review. Arch Disease Childhood 2010;95:214-218.
- National Incidence Study of Child Abuse and Neglect Data. Available at: http://www.acf.hhs.gov/programs/opre/abuse_neglect/natl_incid/reports/natl_incid/nis4_report_congress_full_pdf_jan2010.pdf. Accessed 3/2/12.
- US Department of Health and Human Services, Children’s Bureau. (2010). Child maltreatment 2009. Available at: www.acf.hhs.gov/programs/cb/pubs/cm09/index.htm. Accessed 3/2/12.
- National Center on Child Abuse and Neglect: National Child Abuse and Neglect Data Service Component. Washington DC: Government Printing Office: 1993. Working Paper 2.
- US Department of Health and Human Services: Child Maltreatment 2003. In: Chapter Three: Victims. Available at: http://www.acf.hhs.gov/programs/cb/pubs/cm03. Accessed 8/13/07.
- Child Welfare Information Gateway. (2011). Child abuse and neglect fatalities 2009: Statistics and interventions. Washington DC: U.S. Department of Health and Human Services, Children’s Bureau.
- US Department of Health and Human Services: Administration for Children and Families. Summary: Figures. Child Maltreatment 2004. Available at: http://www.acf.hhs.gov/programs/cb/pubs/cm04/sumfig.htm. Accessed 8/15/07.
- Endom E. Epidemiology and clinical manifestations of child abuse. UpToDate Jun 7, 2011. Available at: http://www.uptodate.com/contents/physical-abuse-in-children-epidemiology-and-clinical-manifestations?source=search_result&search=child+abuse&selectedTitle=7%7E133. Accessed 3/5/12.
- Egami Y, et al. Psychiatric profile and sociodemographic characteristics of adults who report physically abusing or neglecting children. Am J Psychiatry 1996;153:921-928.
- Felitti VJ, et al. Relationship of childhood abuse and household dysfunction to many of the leading causes of death in adults. The Adverse Childhood Experiences (ACE) Study. Am J Prev Med 1998;14:245-258.
- Duhaime AC, et al. Nonaccidental head injury in infants — the "shaken baby syndrome." N Engl J Med 1998;338:
1822-1829. - Starling SP, et al. Abuse head trauma: The relationship of perpetrators to their victims. Pediatrics 1995;95:259-262.
- Jain AM. Emergency department evaluation of child abuse. Emerg Med Clin North Am 1999;17:575-593.
- Ludwig S. Child abuse. In: Textbook of Pediatric Emergency Medicine. Fleischer GR, Ludwig S, Henretig FM, eds. 6th ed. Philadelphia: Lippincott Williams and Wilkins; 2010.
- Kini N, Lazoritz S. Evaluation for possible physical or sexual abuse. Pediatr Clin North Am 1998;45:205-219.
- Strathearn L, et al. Childhood neglect and cognitive development in extremely low birth weight infants: A prospective study. Pediatrics 2001;108:142-151.
- Gessner BD, et al. The incidence of infant physical abuse in Alaska. Child Abuse Negl 2004;28:9-23.
- American Academy of Pediatrics Web site. Periodic Survey of Fellows #38: Attitudes and Counseling on Corporal Punishment in the Home: July 1998. Available at: www.aap.org/research/ps38exs1.htm.
- Jenny C; Committee on Child Abuse and Neglect. Evaluating infants and young children with multiple fractures. Pediatrics 2006;118:1299-1303.
- Huang MI, et al. Increased incidence of nonaccidental head trauma in infants associated with economic recession. J Neurosurgery Pediatrics 2011;8:171-176.
- Rangel EL, et al. Socioeconomic disparities in infant mortality after nonaccidental trauma: A multicenter study. Multicenter Child Abuse Disparity Group. J Trauma-Injury Infection Crit Care 2010;6920-25.
- Naidoo S. A profile of the oro-facial injuries in child physical abuse at a children’s hospital. Child Abuse Negl 2000;24:
521-534. - Committee on Child Abuse and Neglect. American Academy of Pediatrics. When inflicted skin injuries constitute child abuse. Pediatrics 2002; 110:644.
- Wissow LS. The medical history and physical examination. In: Child Advocacy for the Clinician: An Approach to Child Abuse and Neglect. Baltimore: Williams and Wilkins; 1990:49.
- Wilson EF. Estimation of the age of cutaneous contusions in child abuse. Pediatrics 1977;60:750-752.
- Dailey JC, Bowers CM. Aging of bitemarks: A literature review. J Forensic Sci 1997;42:792-795.
- Schwartz AJ, Ricci LR. How accurately can bruises be aged in abused children? Pediatrics 1996;97:254-257.
- Langlois NE, Gresham GA. The ageing of bruises: A review and study of the colour changes with time. Forensic Sci Int 1991;50:227-238.
- Dunstan FD, et al. A scoring system for bruise patterns: A tool for identifying abuse. Arch Dis Child 2002;86:330-333.
- Carpenter RF. The prevalence and distribution of bruising in babies. Arch Dis Child 1999;80:363-366.
- Maguire S, et al. Are there patterns of bruising in childhood which are diagnostic or suggestive of abuse? A systematic review. Arch Dis Child 2005;90:182-186.
- Pressel DM. Evaluation of physical abuse in children. Am Fam Physician 2000;61:3057-3064.
- Pierce MC, et al. Bruising in infants: Those with a bruise may be abused. Pediatric Emergency Care 2009;25:
845-847. - Sugar NF, et al. Bruises in infants and toddlers: Those who don’t cruise rarely bruise. Puget Sound Pediatric Research Network. Arch Pediatr Adoles Med 1999;153:399-403.
- Committee on Child Abuse and Neglect. Academy of Pediatrics. When inflicted skin injuries constitute child abuse. Pediatrics 2002;110:644-645.
- Kellogg N; American Academy of Pediatrics Committee on Child Abuse and Neglect. Oral and dental aspects of child abuse and neglect. Pediatrics 2005;116:1565-1568.
- Jessee SA. Orofacial manifestations of child abuse and neglect. Am Fam Physician 1995;52:1829-1834.
- Child Abuse in Emergency Medicine: A.S. Botash, 2011. Available at: http://emedicine.medscape.com/article/800657-overview. Accessed 3/8/12.
- Laine JC, et al. High risk pediatric orthopedic pitfalls. Emergency Medicine Clinics of North America 2010;28:85-102,viii.
- Ravichandran N, et al. Delayed identification of pediatric abuse-related fractures. Pediatrics 2010;125:60-66.
- Spivak BS. Biomechanics of nonaccidental trauma. In: Ludwig S, Kornberg AE, eds. Child Abuse: Medical Reference. 2nd ed. New York: Churchill Livingstone; 1992:61-78.
- Kleinman PK. Diagnostic Imaging of Child Abuse. 2nd ed. St Louis: Mosby-Yearbook, Inc.; 1998.
- Kleinman PK. The spectrum of non-accidental injury and its imitators in children. In: Musculoskeletal Diseases: Diagnostic Imaging and Interventional Techniques. Hodler J, Zollikofer, von Schulthess GK, Zollikofer CL, eds. Milan: Springer; 2005:169-174.
- Bayreuther J, et al. Management of limb fractures in children under 1 year of age in a dedicated paediatric emergency department. Emerg Med J 2009;26:
173-176. - Pandya NK, et al. Child abuse and orthopaedic injury patterns: Analysis at a level I pediatric trauma center. J Pediatr Orthoped 29(6): 618-25, 2009 Sept.
- Zimmerman S, et al. Utility of follow-up skeletal surveys in suspected child physical abuse evaluations. Child Abuse Negl 2005;29:1075-1083.
- Bechtel K, et al. Characteristics that distinguish accidental from abusive injury in hospitalized young children with head trauma. Pediatrics 2004;114:165-168.
- Jenny C, et al. Analysis of missed cases of abusive head trauma. JAMA 1999;281:621-626.
- Duhaime AC, Partington MD. Overview and clinical presentation of inflicted head injury in infants. Neurosurg Clin N Am 2002;13:149-154.
- Bechtel K, Berger R. Inflicted traumatic brain injury: Making the diagnosis in the emergency department. Clin Pediatr Emerg Med 2006;7:138-142.
- Vincent AL, Kelly P. Retinal hemorrhages in inflicted traumatic brain injury: The ophthalmologist in court. Clin Exper Ophthalmol 2010;38:521-532.
- Levin AV. Retinal hemorrhage in abusive head trauma. Pediatrics 2010;126:
961-970. - Curcoy AI, et al. Retinal hemorrhages and life-threatening events. Pediatric Emergency Care 2010;26:118-120.
- Togioka BM, et al. Retinal hemorrhages and shaken baby syndrome: An evidence-based review. J Emerg Med 2009;37:
98-106. - Robson MC, Heggers JP. Pathophysiology of the burn wound. In: Burns in Children: Pediatric Burn Management. Carvajal HF, Parks D, eds. Chicago: Year Book; 1988:27-32.
- Alexander RC, et al. Microwave oven burns to children: An unusual manifestation of child abuse. Pediatrics 1987; 79:255-260.
- Burdett-Smith P. Stun gun injury. J Accid Emerg Med 1997;14:402-404.
- Hansbrough JF, Hansbrough W. Pediatric burns. Pediatr Rev 1999;20:17-23.
- Andronicus M, et al. Non-accidental burns in children. Burns 1998;24:
552-558. - Wissow LS. Head and internal injuries. In: Child Advocacy for the Clinician: An Approach to Child Abuse and Neglect. Baltimore: Williams and Wilkins; 1990:67.
- Crouse CD, Faust RA. Child abuse and the otolaryngologist: Part II. Otolaryngol Head Neck Surg 2003;128:311-317.
- Saraswat A. Child abuse and trichotillomania. BMJ 2005;330:83-84.
- Friedman EM. Caustic ingestions and foreign body aspirations: An overlooked form of child abuse. Ann Otol Rhinol Laryngol 1987;96:709-712.
- Arieff AI, Kronlund BA. Fatal child abuse by forced water intoxication. Pediatrics 1999;103:1292-1295.
- Thomas JN. Child abuse and neglect. CHNMC Clinical Proceedings. 1984 May-August. Available at: http://www.dvinstitute.org/conferences/proceedings/1995/joyce.pdf. Accessed 8/13/07.
- Meadow R. Non-accidental salt-poisoning. Arch Dis Child 1993;68:448-452.
- Kellogg ND, Lukefahr JL. Criminally prosecuted cases of child starvation. Pediatrics 2005;116:1309-1316.
- Oral and dental aspects of child abuse and neglect. American Academy of Pediatrics. Committee on Child Abuse and Neglect. American Academy of Pediatric Dentistry. Ad Hoc Work Group on Child Abuse and Neglect. Pediatrics 1999;104(2 pt 1):348-350.
- Chiesa A, Duhaime AC. Abusive head trauma. Pediatr Clin North Am 2009;56:317-331.
- Lane WG, et al. Screening for occult abdominal trauma in children with suspected physical abuse. Pediatrics 2009;124:1595-1602.
- Ashwal S, et al. Advanced neuroimaging in children with nonaccidental trauma. Dev Neuroscience 2010;32:343-360.
- Lindberg D, et al. Utility of hepatic transaminases to recognize abuse in children. Pediatrics 2009;124:509-516.
- Bittner S, Newberger E. Pediatric understanding of child abuse and neglect. Pediatr Rev 1981;2:197-207.
- Maxim P. San Francisco General Hospital Emergency Department, UCSF, Continuing Education, Clinical Images website. Available at: http://sfghed.ucsf.edu/Education/ClinicImages/Coining%20clin.jpg. Accessed on 8/15/07.
- Kleinman PK. Differentiation of child abuse and osteogenesis imperfecta: medical and legal implications. AJR Am J Roentgenol 1990;154:1047-1048.
- Louwers EC, et al. Detection of child abuse in emergency departments: A multi-centre study. Arch Disease Childhood 2011;95:422-425.
- Newton AS, et al. Improving child protection in the emergency department: A systematic review of professional interventions for health care providers. Acad Emerg Med 2010;17:117-125.
- Kocher MS, Kasser JR. Orthopedic aspects of child abuse. J Am Acad Orthop Surg 2000;8:10-20.
- U.S. Department of Health and Human Services, Children’s Bureau Administration on Children, Youth, and Families. Child welfare outcomes 2006-2009: Annual report. Available at: http://ww.acf.hhs.gov/programs/cb/pubs/cwo06-09/index.htm. Accessed 3/2/12.
- Lane WG, et al. Racial differences in the evaluation of pediatric fractures for child abuse. JAMA 2002;288:1603-1609.
- Albert MJ, Drvaric DM. Injuries resulting from pathologic forces: child abuse. In: Pediatric Fractures: A Practical Approach to Assessment and Treatment. MacEwen GD, et al, eds. Baltimore: Williams and Wilkins; 1993:388.
You have reached your article limit for the month. Subscribe now to access this article plus other member-only content.
- Award-winning Medical Content
- Latest Advances & Development in Medicine
- Unbiased Content
Already have an account? Log in