Diagnosing and Managing Pediatric Foreign Body Ingestions: Part II
March 1, 2022 27 minutes read
AUTHORS
Ethan Gerdts, MD, Department of Emergency Medicine, University of North Carolina, Chapel Hill
Daniel Migliaccio, MD, Clinical Assistant Professor, Ultrasound Fellowship Director, Department of Emergency Medicine, University of North Carolina, Chapel Hill
PEER REVIEWER
Steven M. Winograd, MD, FACEP, Attending Emergency Physician, Keller Army Community Hospital, West Point, NY
EXECUTIVE SUMMARY
- “Red-flag” symptoms that can indicate devastating pathology include the inability to handle oral secretions, subcutaneous emphysema of the neck or chest, or peritonitis on abdominal exam and require immediate stabilization.
- When obtaining the initial anteroposterior (AP) plain film, it is important to include the esophagus, chest, and entire abdomen, which combines a neck/chest radiograph with the colloquially termed “KUB” (kidney, ureters, and bladder).
- One study found that the most important predictor of spontaneous passage was the location of the object ingested, suggesting that, if it is below the esophagus, it has a “good” (greater than a 75%) chance of spontaneous passage independent of the size or sharpness of the item.
- Of note, there has not been extensive research on the use of laxatives or prokinetic agents to facilitate faster passage of the object, but the research that has been done has not favored the use of these medications.
- Glucagon, nifedipine, and benzodiazepines have been tried in adults to allow passage of foreign object or food impaction through the lower esophageal sphincter, although data on efficacy of these methods in children are lacking. Glucagon is the most studied of the aforementioned medications, and it has not been shown to be effective. In addition, the medication side effect profiles, including nausea/vomiting with glucagon, hypotension and bradycardia with nifedipine, and oversedation with benzodiazepines, indicate that these methods should be avoided in children.
- Papain is a proteolytic enzyme used to help digest food boluses lodged in the esophagus and in routine management of food boluses. However, esophageal erosion, perforation, hypernatremia, and aspiration have been demonstrated from its use.
- Laxatives can hasten passage of foreign bodies but may lead to unwanted side effect profiles, such as dehydration, diarrhea, abdominal pain/cramping, and child distress, so they generally are not recommended.
- Endoscopic removal is the usual management method for removing a foreign body that is not treated with expectant management. Endoscopy is performed in approximately 10% to 20% of foreign body ingestions and can be performed at beside in the ED or in the operating room/procedure suite. Successful removal rates exceed 95%, and complications often are reported at or near 0%.
The process of diagnosing and managing foreign bodies has changed over the last few years. In Part II, the authors discuss not only the process for managing the majority of foreign bodies, but also unique ingestions that require special care.
— Ann M. Dietrich, MD, FAAP, FACEP, Editor
Introduction
Pediatric foreign body ingestion, as discussed in the previous issue, requires a unique subset of knowledge and a high level of suspicion by the emergency department (ED) provider. If missed, foreign bodies can cause devastating consequences. The previous issue discussed the epidemiology, methods of diagnosis, imaging modalities, common presenting symptoms, and specific pathophysiology based on the object ingested. This article will discuss general approaches to management of foreign bodies, including when and how to extract ingested objects, what (if any) medications can be used to help, and a new nomenclature for complications of foreign body ingestion. Lastly, the article will discuss the disposition of these patients following diagnosis. The approach to management will be completely reliant on the history, physical examination, and imaging, as discussed in Part I.
General Approach to Management
As with any ED patient, the child’s airway, breathing, and circulation (ABCs) must be addressed first to ensure clinical stability. If there is obvious airway compromise, hypoxia, inadequate perfusion, hypotension, or severe vital sign instability noted on initial evaluation, these must be addressed appropriately prior to further exploration as to the etiology of the patient’s presentation.
Assuming a stable patient, the provider should proceed with history taking. Taking the patient’s history, in nearly all cases through the parent, is one of the most important parts of the evaluation for possible foreign body ingestion. Obtaining relevant information, including type of object, its composition, shape, exact time of last oral intake, time of ingestion, asking for a twin object, any prior ingestion events, and general medical history (with a focus on any prior gastrointestinal [GI] surgery or prematurity at birth) directly influences the risk category of the patient and, therefore, their expected workup.1 (See Table 1.)
Table 1. Important History Components1 |
|
It also should be noted that ingestion events typically are witnessed by a parent or caretaker, so if they are not present, effort should be made to contact them to elicit additional details on the object in question or potentially to examine the play area for objects that may be missing.
After initial history taking, examining the patient is the logical next step, although most physical examinations of foreign body ingestions are not helpful in determining the location of the object.2 So-called “red-flag” symptoms that can indicate devastating pathology include the inability to handle oral secretions, subcutaneous emphysema of the neck or chest, or peritonitis on abdominal exam.2,3 These symptoms generally are not present, but they are relevant, pertinent negatives to document. After listening to the lungs for wheezing, examining the upper airway for stridor, listening to the heart for tachycardia, assessing perfusion, and palpating the abdomen for any tenderness, pay special attention to the head, eyes, ears, nose, and throat examination. Subtle physical examination findings, such as mucosal injury in the oropharyngeal area, pieces of the foreign body, or even locating a foreign body in the posterior oropharynx that may be easily removable, all can be discovered with the exam. Additionally, providers should inspect for other foreign bodies in this area, particularly in the nose or external ear canal. A patient’s reported symptoms or location of pain on physical exam may be unreliable and likely has a poor correlation with the anatomic location of the foreign body.2,4
Determining the location of the foreign body is paramount to the overall disposition and prognosis of the ingestion event.5 In nearly every case, plain radiographs can be used to help determine if the foreign body has been aspirated or ingested. When obtaining the initial anteroposterior (AP) plain film, it is important to include the esophagus, chest, and entire abdomen, which combines a neck/chest radiograph with the colloquially termed “KUB” (kidney, ureters, and bladder).
Providers also can obtain lateral decubitus radiographs to help determine a foreign body’s location and, specifically, to determine whether it has been ingested or aspirated.6,7 Lateral decubitus radiographs are controversial in the evaluation of foreign body aspiration and have little clinical utility.6,7 However, if they are obtained, it is important to know which lung is “down” or closer to the table. The theory behind this imaging modality is assessment for air trapping. If a foreign object is obstructing part of the air flow, that lung will demonstrate hyperlucency.5,7,8
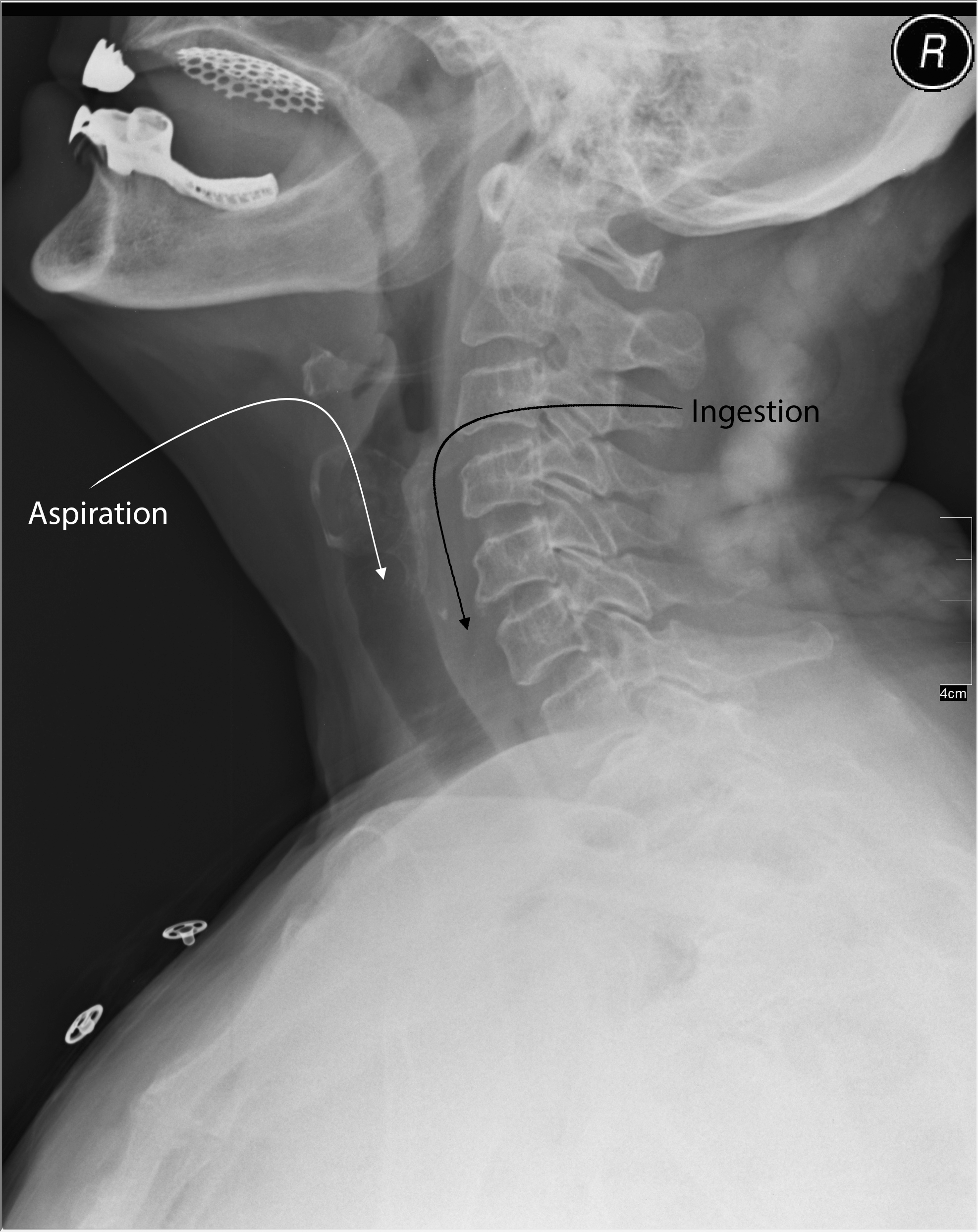
If the patient is appropriately aged, inspiratory and expiratory films also can be obtained. Those films can demonstrate hyperinflation of the lung that contains the foreign body, although data are mixed on these films as well.9,10 Lateral neck soft tissue plain radiographs also can be obtained to help determine where the foreign body is located.11,12 As seen in Figure 1, the column of air indicates the trachea, whereas just posterior to it would be the location of the esophagus. A hyperdense object in either of these locations would indicate the likely location of the foreign body.11,12
Figure 1. Lateral Neck Soft Tissue Plain Radiographs for the Detection of Foreign Body |
![]() |
Adapted from Dilmen N. Medical X-ray imaging UEY07 nevit. Published 2011. https://commons.wikimedia.org/wiki/File:Medical_X-Ray_imaging_UEY07_nevit.jpg. Creative Commons Attribution-ShareAlike 3.0 Unported (https://creativecommons.org/licenses/by-sa/3.0/deed.en). |
The first major decision point of evaluating these patients comes if the patient’s foreign body cannot be located on a plain radiograph. The decision to obtain a different imaging modality to definitively determine whether the patient has ingested a foreign body depends entirely on the patient’s symptoms, whether it was a witnessed ingestion, clinical suspicion/gestalt, and their physical exam, although most patients will have a normal exam even if a foreign body is present and assuming they are not in extremis.3,13,14
Other imaging modalities include magnetic resonance imaging (MRI) and computed tomography (CT).15,16 In the pediatric population, it is widely accepted that the radiation dosing of CT is to be avoided unless necessary, although there are an increased cost and, potentially, barriers to availability with MRI. Some sources recommend only considering CT if the object is radiolucent and causing symptoms, with a high suspicion of being located beyond the esophagus.17 However, MRI may not be a better option because it cannot be used with metallic objects. Also, depending on the patient’s age, obtaining appropriate MRI images may be difficult and could even require sedation. The decision to obtain more advanced imaging should be discussed with the radiologist and family, if available, and likely will vary from case to case depending on patient variables.
Depending on the type of ingestion, visualization of the airway also may be indicated.18 Particularly with button battery ingestions, sharp objects with a high suspicion of mucosal injury, or caustic ingestion, the provider should highly consider evaluating the upper airway for any cartilaginous or mucosal injury, even if the patient is completely asymptomatic.18,19 Visualization of the airway can be achieved with the help of subspecialist colleagues performing laryngoscopy or bronchoscopy.18
In general, the farther along the object is from the mouth, the more likely it is to pass spontaneously.3,19,20,21 One then can infer that, depending on the object, the time from ingestion correlates with the location along the GI tract — the further from the time of ingestion on presentation to the ED, the more likely it is to pass spontaneously.21 A notable exception to this rule is the high-risk objects (see Table 2); most of these high-risk objects still need to be addressed either through removal or close observation for clinical deterioration. One study found that the most important predictor of spontaneous passage was the location of the object ingested, suggesting that, if it is below the esophagus, it has a “good” (greater than a 75%) chance of spontaneous passage independent of the size or sharpness of the item.21
Table 2. Risk Stratification of Ingestions3,19 ,20,31,37,85 | ||
High-Risk Ingestions |
Low-Risk Ingestions | |
Object |
Potential Complication |
|
Batteries (especially button/disc) |
Erosion, perforation | |
Multiple or neodymium magnets |
Obstruction | |
Sharp objects |
Perforation | |
Lead paint/imported toys |
Lead toxicity | |
Animal bones |
Erosion/fistula | |
Blunt objects > 5 cm |
Obstruction | |
Laundry detergent pods/caustic materials |
Erosion, mucosal injury | |
If spontaneous passage or expectant management is not an option based on the aforementioned criteria or clinician gestalt, other treatment options are, unfortunately, more invasive. Management options are discussed in the following section and summarized in Table 3.
Table 3. Management of Foreign Body Ingestion | ||
Object Ingested |
Location of Object |
Suggested Intervention |
Button battery |
Esophagus |
Emergent endoscopy |
Distal small intestine |
Emergent endoscopy | |
Other battery |
Esophagus |
Emergent endoscopy |
Distal small intestine |
Consider expectant management if patient is asymptomatic | |
Magnet (multiple, rare-earth, or singular with co-ingestion with metal object) |
Esophagus |
Emergent endoscopy |
Distal small intestine |
Emergent endoscopy | |
Magnet (singular or a very low-power magnet [e.g., twin magnet]) |
Esophagus |
Consider urgent endoscopy vs. observation for passage into stomach |
Distal small intestine |
Expectant management | |
Sharp objects (toothpicks, pins, nails, bones, sharp toys) |
Esophagus |
Emergent endoscopy for removal |
Distal small intestine |
Can consider expectant management if patient is asymptomatic | |
Coins or other small (< 5 cm), inert objects |
Esophagus |
Urgent endoscopy |
Distal small intestine |
Expectant management if patient is asymptomatic | |
Large objects (> 5-6 cm; risk of perforation 15% to 35%) |
Esophagus |
Urgent endoscopy |
Distal small intestine |
Urgent endoscopy | |
A special note should be made for cases of recurrent foreign body ingestions. Ingestion with intent to harm or with criminal intent is considered more commonly in the adult population, although the older-range pediatric patient may warrant consideration of this as well and necessitates patient supervision while in the ED and appropriate psychiatric consultation.22,23 These types of subgroups and special populations may change the way providers approach foreign body ingestion. For example, these populations may ingest something atypical, or multiple objects, and may pose a risk for co-ingestions, such as more than one type of object, multiples of the same object, or ingestion with foreign body embedment in another orifice.23-26
It also may be worth obtaining additional imaging or a more detailed physical exam, since placement of foreign bodies within other body orifices (nose, external ear canal, lower urinary tract, genitalia, rectum, etc.), also termed polyembolokoilamania, may be more common in these populations as well.25-27 Kapalu et al provide a secondary treatment algorithm for patients with recurrent foreign body ingestion available online at https://bit.ly/3B0L63O.28
Management
Spontaneous Passage (Expectant Management)
For about 70% to 90% of objects found distal to the esophagus, low-risk or high-risk foreign bodies found beyond the duodenal sweep can be managed expectantly.29,30 Depending on the type of object, this usually entails frequent radiographs, ranging from daily to weekly, to document the object’s progression through the GI tract.17,31,32 If there is no progression of the object on serial radiographs, removal may be necessary.17,19,20,32,33 Assuming the object is passed spontaneously, multiple sources recommend careful inspection of the child’s feces to ensure passage of the object, both for parental peace of mind and documentation of passage to ensure that there is no need to perform endoscopy.13,34,35 Despite this, even when passed appropriately, the object is only identified in about one-third of cases.13,36 Of note, there has not been extensive research on the use of laxatives or prokinetic agents to facilitate faster passage of the object, but the research that has been done has not favored the use of these medications.37,38 About 20 years ago, cisapride, a serotonin receptor agonist and prokinetic agent, routinely was prescribed, but this seems to have fallen out of favor based on the drug’s side effect profile, safety in children, and lack of demonstrated need of prokinetic agents.37-39
Glucagon, nifedipine, and benzodiazepines have been tried in adults to allow passage of foreign object or food impaction through the lower esophageal sphincter, although data on efficacy of these methods in children are lacking.37,38,40 Glucagon is the most studied of the aforementioned medications, and it has not been shown to be effective.13 In addition, the medication side effect profiles, including nausea/vomiting with glucagon, hypotension and bradycardia with nifedipine, and oversedation with benzodiazepines, indicate that these methods should be avoided in children.6,22,40,41
Papain is a proteolytic enzyme used to help digest food boluses lodged in the esophagus and in routine management of food boluses. However, esophageal erosion, perforation, hypernatremia, and aspiration have been demonstrated from its use.40,42 Laxatives can hasten passage of foreign bodies but may lead to unwanted side effect profiles, such as dehydration, diarrhea, abdominal pain/cramping, and child distress, so they generally are not recommended.37,38
Most low-risk foreign bodies are expelled from the body without the use of these medications in around three to four days, although it can take up to four weeks.13,32,33,38.43 Expectant management is not without risk. In rare cases, foreign bodies can become lodged in the appendix, causing appendicitis, or stuck at anatomically narrow points in the GI tract, which can mimic appendicitis or cause more devastating complications discussed later.32,44-46
Endoscopy
Endoscopic removal is the usual management method for removing a foreign body that is not treated with expectant management. Endoscopy is performed in approximately 10% to 20% of foreign body ingestions and can be performed at beside in the ED or in the operating room/procedure suite.5,47 Successful removal rates exceed 95%, and complications often are reported at or near 0%.3,5,33,48 It generally involves conscious sedation if performed in the ED and conscious sedation, monitored anesthesia care, or general anesthesia if performed in the operating room.5,49 Various types of endoscopes may be used, which is outside the scope of this review, but a flexible endoscope generally is used with multiple retrieval devices present to aid in the removal.5,50 Less than 1% of patients undergoing endoscopy experience a complication leading to general surgery, and patients often can be discharged following the procedure, depending on the duration of symptoms, association with other injury, hemodynamic stability, type of sedation method, and parent comfort/reliability.3,5,33,50
Nonendoscopic Methods of Management
Prior to endoscopy, it is possible to pursue different management techniques, although using anything other than endoscopy is falling out of favor because of endoscopy’s demonstrated safety and success rate.51 However, certain nonendoscopic techniques may be performed to save the patient time and money, in under-resourced settings, or at healthcare entities without subspecialists.51,52 Namely, Foley catheters can be used to remove an esophageal foreign body, and a bougienage can be used to push a small esophageal foreign body into the stomach to help facilitate passage.17,51,53 Both methods are less invasive than endoscopy, can help decrease overall vist costs by more than 50%, and have been demonstrated to be safe and effective, with success rates demonstrated to be > 85% for Foley removal and 85% to 95% for bougienage use.37,51,54-56
However, it should be emphasized that certain “rule-in” criteria must be met to consider removal without endoscopic management. These criteria include the ingestion event being within 24 hours prior to presentation, a low-risk object (see Table 2), and clinical stability of the patient, including appropriately managing secretions.17,37,51,56 Major drawbacks to using these alternative methods include not being able to visualize or inspect the esophageal mucosa for injury, not having adequate visualization for removal of the foreign body, and patient discomfort.17,51,57
Foley Balloon Removal. In 1966, Bigler was the first to report using a Foley catheter to try to remove esophageal foreign bodies.51,58 The diameter of the Foley balloon should be decided based on the diameter measured on radiograph or with a twin object brought in by a family member. This procedure can be done with or without sedation, depending on the patient age and clinical comfort, but it has been demonstrated to be equally effective without sedation.51,59 The catheter is then inserted into the esophagus past the foreign body, then inflated with either air or normal saline and slowly retracted.51,54,55,60
Although the safety of this method has been proven, complications still can arise, including esophageal injury from the foreign body or overinflation of the Foley balloon, laryngospasm, or insertion into the trachea, although minor complications are quite rare using this technique.51,60-62 Remarkably, as Choe et al summarize in their report, the cost differential between Foley removal and endoscopic removal is substantial. Endoscopy approaches 300% to 800% higher cost compared to Foley balloon removal.51,63,64
Bougienage Technique. Another popular form of nonendoscopic management for esophageal impaction of a low-risk object is the bougienage technique. Bougienage has been well described as being safe, efficient, and cost-effective.52,65-67 This involves using a thin, flexible esophageal dilator and passing it from the oral cavity into the esophagus.65 One can measure the needed depth by measuring a Hurst dilator from the tip of the nose to the epigastrium. A quick insertion with the child restrained can yield forced passage of the object past the lower esophageal sphincter.57
The basis of this technique involves purposefully passing the object into the stomach to help facilitate spontaneous passage and ensuring no esophageal impaction.52,65,66 Since this uniquely does not pursue extraction of the foreign body, it is essential that certain criteria are met. The object must be low-risk, the patient must not have prior GI disease or prior GI surgery, and it is generally accepted that children younger than 1 year of age are ruled out for this method.65-67 It has been suggested that the bougienage technique, when properly applied, can save the patient thousands of dollars, prevent hospitalization/prolonged ED stays, and is even more effective than a Foley catheter.52,66 Additionally, and similar to the Foley balloon method, anesthesia/sedation is not necessary to perform the procedure, and it does not require consultation with a specialist.65
Magnet-Attached Tube Removal. Using a magnet-tipped nasogastric (NG) tube, specifically a single-lumen Levin tube, also has been described as a less-invasive method to remove esophageal or gastric foreign bodies.36,51 It has been described as far back as the mid-1970s by Himadi and Fischer but seemed to enter the arsenal of options after Volle et al published multiple papers on this technique.36,51,68,69
It has been suggested to cut off the end of a single-lumen NG tube, shown in Figure 2, insert a strong neodymium magnet into it, and thread it into the GI tract through the mouth to extract a metallic object.51 Although described previously, using this method may be practically difficult because of the general absence of neodymium magnets in the ED and the widespread use of double-lumen NG tubes. However, if supplies are present, a trial of this method may be prudent. The overall cost and complications of this method are minimal compared to endoscopy, similar to bougienage and Foley catheter.
Figure 2. Levin Tube |
![]() |
A nasogastric tube (tip encircled). Sigmon DF, An J. Nasogastric tube. In: StatPearls [Internet]. StatPearls Publishing; 2021. Creative Commons Attribution 4.0 International License (http://creativecommons.org/licenses/by/4.0/) |
Operating Room (General Surgery)
General surgery typically is not performed for foreign body removal. Although endoscopic management may indicate performing the procedure in the operating room, this does not classify the procedure as general surgery. Instead, surgery is reserved for complications of foreign body ingestion, which, as mentioned, are quite rare. Potential procedures may include bowel resection, repair of the esophagus (if perforated), surgical removal of packets of drugs (body packing), deroofing and/or drainage of abscesses, and primary foreign body removal.70,71
Complications
In various sections, this review has discussed various complications that span a large spectrum of severity. Severe complication requiring operative intervention occurs less than 1% of the time, but less severe complications are not at all uncommon.20,30,70
Ingestion complications can be divided into primary, secondary, and tertiary complications, which are summarized in Table 4. Primary complications are a direct result of the ingestion event and can be thought of as injury to the patient from the ingested object. These include esophageal tears, perforation, obstruction, traumatic epiglottitis, and ischemic bowel.
Table 4. Complications of Foreign Body Ingestion20,30,73,78,79 | ||
Primary Complications |
Secondary Complications |
Tertiary Complications |
|
|
|
Secondary complications occur after a prolonged period from the ingestion event and are a direct result of not identifying the problem, failure to initially remove it, or failure of spontaneous passage. Secondary complications include appendicitis, ischemic bowel, erosion of mucosal layers, fistula formation, metal toxicity (lead, zinc, etc.), and aspiration pneumonia.
A quick note on metal toxicity — zinc toxicity, presenting as nausea, vomiting, poor oral intake, or lethargy/fatigue, is more of a theoretical risk with ingested pennies newer than 1982, but it has yet to be reported widely despite the prevalence of penny ingestions.72,73 Lead toxicity, presenting on a spectrum ranging from mild abdominal pain to renal impairment to developmental delay and altered mental status, can occur with ingested paint chips from older houses or from brightly colored paints on toys imported to the United States.74 Both toxidromes take a significant amount of time to manifest clinically.
Lastly, tertiary complications generally are iatrogenic and occur secondary to attempted removal. These encompass surgical injury to surrounding structures, esophageal injury during removal, or the need for intubation/airway monitoring from anesthesia for the procedure. These complications are nearly nonexistent in the literature and correlate appropriately with the impeccable safety profile of endoscopic procedures, but they may be more common if significant time has passed since the ingestion event.30,75,76
Medicolegal and Cost Considerations
Missed Foreign Body
The emergency physician’s nightmare in this clinical scenario is discharging a patient with a foreign body never having considered it on the differential. Worse still is the provider who obtained plain film imaging, which may have been negative for a radiopaque foreign body, only to have the patient return with a complication of a missed radiolucent foreign body.
Data regarding these pitfalls in management are not widely available based on multiple recent PubMed searches. There are data regarding missed foreign bodies in other locations, such as splinters, pieces of glass, thorns, and other objects. Campbell et al suggest that a missed foreign body is one of the leading causes of malpractice in the ED.77
As mentioned earlier, Campbell also mentions using a multimodal approach to imaging based on the provider’s clinical suspicion, incorporating plain radiographs, CT, MRI, direct visualization, and/or ultrasound.77 The cost to the patient, including repeat visits and potentially devastating complications, cannot be overstated, especially if the object is organic, such as an animal bone.37,77
Cost
Multiple studies have explored the cost of managing foreign body ingestion. Logically, the less invasive the management, the lower the cost. The United States has studied this as well, devoting a whole project in studying the healthcare costs of the ED called the “Healthcare Cost and Utilization Project” (HCUP). In 2017, the average pediatric ED visit cost approximately $290.78 One can assume that the cost of an ingestion event would be slightly above the average ED visit cost because of the likely use of sedating medications, pain control, and imaging.
The total cost has two main branchpoints — the first is imaging. If plain radiographs are the only source of imaging needed, costs will remain low, but CT or MRI would add hundreds of dollars in costs. The second branch point is in the type of removal needed. If the patient is managed expectantly and discharged, costs remain low. If an alternative to endoscopy is used, such as Foley catheter removal or bougienage, this would create the ideal scenario for minimizing costs. An alternative to endoscopy costs between $200 and $800, whereas an endoscopy, without accounting for sedating medication, an emergent situation, or perioperative care, likely costs anywhere from $1,000 to $4,700.51,63,64 Obviously, these costs have high variability in the current healthcare climate, are highly dependent on the institution, and do not necessarily reflect the exact cost to the patient because of differences in insurance carriers/reimbursement.
Toy Manufacturers
A brief note should be made about toy manufacturers of rare-earth magnets. Magnet ingestions and their morbidity have slowly been rising since rare-earth (neodymium) magnets were introduced in toys in 2009.79,80 They have high associated morbidity when ingested because of their vastly increased attractiveness to other magnets, approaching five to 10 times higher than conventional magnets.79
Following the death of a 2-year-old boy secondary to neodymium magnet ingestion and associated small bowel obstruction, along with multiple reported injuries over the following years, the Consumer Product Safety Commission issued a recall of a specific brand of these magnets (March 31, 2006, Release #06-127) and eventually took steps to limit the sale of all rare-earth magnets in 2012.79,81 In 2014, these magnet sets were broadly banned in the United States.79,82 These rare-earth metal ingestions declined as the sale of toys containing these magnets were halted until 2018, when a federal court overturned the ban on the sale.
Currently, the magnets and toys containing them can be sold to anyone older the age of 14 years and, consequently, there has been a four-fold increase in the number of magnet-related calls to poison centers since the overturn in 2018.15,22,79,81,83 Education of family members and widespread warnings are warranted to be placed on these toys given their high morbidity if ingested.
Disposition
As mentioned throughout this review, most ingestions will be managed expectantly. Therefore, once the object's location has been identified, and assuming the patient is completely asymptomatic, the patient can be discharged. Providers should have a specific discussion with the patient’s caretakers to ensure that strict return precautions are clearly communicated to them in the patient’s native language.
Additionally, the provider may want to contact the patient’s primary care provider to ensure that repeat imaging is available to the patient, if indicated. If there are barriers to care as an outpatient, these will need to be addressed, and a clear plan needs to be established with the caregiver prior to discharge, including returning to the ED for repeat imaging/reassessment if necessary. If a procedure is performed, such as an endoscopy or a nonendoscopic alternative, the patient likely can be discharged as well, assuming clinical stability, resolution of symptoms, and the patient can tolerate oral intake.
Admission for foreign body ingestion is reserved for the highest-risk cases. Operative intervention is an obvious admission. Admission may be warranted for direct visualization of mucosal injury, if the patient cannot tolerate oral intake, or if there is a high-risk ingestion that cannot be taken for endoscopy for some reason.
Conclusion
Pediatric foreign body ingestion is a common problem that generally is managed conservatively. High-risk objects can cause devastating complications, including hollow viscus perforation, obstruction, or fistula formation, if not detected early. Object size, sharpness, and composition, in addition to early identification of the object’s location within the GI tract, are vital components to determine the trajectory of the patient’s workup and management.
The provider should maintain a high clinical suspicion to minimize the risk of complications. Endoscopic removal remains the mainstay of treatment for foreign bodies requiring removal, although nonendoscopic treatment methods exist and have demonstrated safety and efficacy in clinical trials. Preventing foreign body ingestion through parental education and anticipatory guidance at the primary-care level is paramount in reducing the number of foreign body ingestions and their sequelae.
REFERENCES
- Rybojad B, Niedzielska G, Niedzielski A, et al. Esophageal foreign bodies in pediatric patients: A thirteen-year retrospective study. ScientificWorldJournal 2012;2012:102642.
- Oliva S, Romano C, De Angelis P, et al; Italian Society of Pediatric Gastroenterology Hepatology and Nutrition, The Italian Association of Hospital Gastroenterologists and Endoscopists. Foreign body and caustic ingestions in children: A clinical practice guideline. Dig Liver Dis 2020;52:1266-1281.
- Khorana J, Tantivit Y, Phiuphong C, et al. Foreign body ingestion in pediatrics: Distribution, management, and complications. Medicina (Kaunas) 2019;55:686.
- Hussain SZ, Bousvaros A, Gilger M, et al. Management of ingested magnets in children. J Pediatr Gastroenterol Nutr 2012;55:239-242.
- Magalhães-Costa P, Carvalho L, Rodrigues JP, et al. Endoscopic management of foreign bodies in the upper gastrointestinal tract: An evidence-based review article. GE Port J Gastroenterol 2015;23:142-152.
- Lin CH, Chen AC, Tsai JD, et al. Endoscopic removal of foreign bodies in children. Kaohsiung J Med Sci 2007;23:447-452.
- Schlesinger AE, Crowe JE. Sagittal orientation of ingested coins in the esophagus in children. AJR Am J Roentgenol 2011;196:670-672.
- Lee JH, Lee JS, Kim MJ, Choe YH. Initial location determines spontaneous passage of foreign bodies from the gastrointestinal tract in children. Pediatr Emerg Care 2011;27:284-289.
- Jones J. Inhaled foreign body. Radiopaedia. https://radiopaedia.org/cases/inhaled-foreign-body-2
- Salih AM, Alfaki M, Alam-Elhuda DM. Airway foreign bodies: A critical review for a common pediatric emergency. World J Emerg Med 2016;7:5-12.
- Griffiths DM, Freeman NV. Expiratory chest x ray examination in the diagnosis of inhaled foreign bodies. Br Med J (Clin Res Ed) 1984;288:1074-1075.
- Luo CM, Lee YC. Diagnostic accuracy of lateral neck radiography for esophageal foreign bodies in sdults. AJR Am J Roentgenol 2020;215:465-471. Erratum in: AJR Am J Roentgenol 2020;215:1551. Erratum in: AJR Am J Roentgenol 2021;216:271.
- Uyemura MC. Foreign body ingestion in children. Am Fam Physician 2005;72:287-291. Erratum in: Am Fam Physician 2006;73:1332.
- Wu IS, Ho TL, Chang CC, et al. Value of lateral neck radiography for ingested foreign bodies using the likelihood ratio. J Otolaryngol Head Neck Surg 2008;37:292-296.
- Brown JC, Chapman T, Klein EJ, et al. The utility of adding expiratory or decubitus chest radiographs to the radiographic evaluation of suspected pediatric airway foreign bodies. Ann Emerg Med 2013;61:19-26.
- Sink JR, Kitsko DJ, Mehta DK, et al. Diagnosis of pediatric foreign body ingestion: Clinical presentation, physical examination, and radiologic findings. Ann Otol Rhinol Laryngol 2016;125:342-350.
- Dorterler ME, Günendi T. Foreign body and caustic substance ingestion in childhood. Open Access Emerg Med 2020;12:341-352.
- Hesham A-Kader H. Foreign body ingestion: Children like to put objects in their mouth. World J Pediatr 2010;6:301-310.
- Orsagh-Yentis D, McAdams RJ, Roberts KJ, McKenzie LB. Foreign-body ingestions of young children treated in U.S. emergency departments: 1995-2015. Pediatrics 2019;143:e20181988.
- Wyllie R. Foreign bodies in the gastrointestinal tract. Curr Opin Pediatr 2006;18:563-564.
- Loh WS, Eu DK, Loh SR, Chao SS. Efficacy of computed tomographic scans in the evaluation of patients with esophageal foreign bodies. Ann Otol Rhinol Laryngol 2012;121:678-681.
- Kramer RE, Lerner DG, Lin T, et al; North American Society for Pediatric Gastroenterology, Hepatology, and Nutrition Endoscopy Committee. Management of ingested foreign bodies in children: A clinical report of the NASPGHAN Endoscopy Committee. J Pediatr Gastroenterol Nutr 2015;60:562-574.
- Kapalu CL, Lantos J, Booser A, et al. Preventing self-harm from repeat foreign-body ingestion. Pediatrics 2020;145:e20191515.
- Jaan A, Mulita F. Gastrointestinal foreign body. In: StatPearls [Internet]. StatPearls Publishing; 2021.
- Schuldt T, Großmann W, Weiss NM, et al. Aural and nasal foreign bodies in children — epidemiology and correlation with hyperkinetic disorders, developmental disorders and congenital malformations. Int J Pediatr Otorhinolaryngol 2019;118:165-169.
- Bakhshaee M, Hebrani P, Shams M, et al. Psychological status in children with ear and nose foreign body insertion. Int J Pediatr Otorhinolaryngol 2017;92:103-107.
- Unruh BT, Nejad SH, Stern TW, Stern TA. Insertion of foreign bodies (polyembolokoilamania): Underpinnings and management strategies. Prim Care Companion CNS Disord 2012;14:PCC.11f01192.
- Low Kapalu CM, Ibrahimi N, Mentrikoski JM, Attard T. Pediatric recurrent intentional foreign body ingestion: Case series and review of the literature. J Pediatr Gastroenterol Nutr 2020;71:232-236.
- WikEM. Ingested foreign body. Updated Nov. 1, 2021. http://www.wikem.org/wiki/ingested_foreign_body
- ASGE Standards of Practice Committee; Ikenberry SO, Jue TL, Anderson MA, et al. Management of ingested foreign bodies and food impactions. Gastrointest Endosc 2011;73:1085-1091.
- Bono MJ. Esophageal emergencies. In: Tintinalli JE, Ma O, Yealy DM, et al, eds. Tintinalli’s Emergency Medicine: A Comprehensive Study Guide. 9th ed. McGraw Hill;2020:500-504.
- Yeh HY, Chao HC, Chen SY, et al. Analysis of radiopaque gastrointestinal foreign bodies expelled by spontaneous passage in children: A 15-year single-center study. Front Pediatr 2018;6:172.
- Eisen GM, Baron TH, Dominitz JA; American Society for Gastrointestinal Endoscopy, et al. Guideline for the management of ingested foreign bodies. Gastrointest Endosc 2002;55:802-806.
- Cheng W, Tam PK. Foreign-body ingestion in children: Experience with 1,265 cases. J Pediatr Surg 1999;34:1472-1476.
- Diaconescu S, Gimiga N, Sarbu I, et al. Foreign bodies ingestion in children: Experience of 61 cases in a pediatric gastroenterology unit from Romania. Gastroenterol Res Pract 2016;2016:1982567.
- Arana A, Hauser B, Hachimi-Idrissi S, Vandenplas Y. Management of ingested foreign bodies in childhood and review of the literature. Eur J Pediatr 2001;160:468-472.
- Conners GP, Mohseni M. Pediatric foreign body ingestion. In: StatPearls [Internet]. StatPearls Publishing; 2021.
- Conners GP. A literature-based comparison of three methods of pediatric esophageal coin removal. Pediatr Emerg Care 1997;13:154-157.
- Macgregor D, Ferguson J. Foreign body ingestion in children: An audit of transit time. J Accid Emerg Med 1998;15:371-373.
- Gilger MA, Jain AK. Foreign bodies of the esophagus and gastrointestinal tract in children. UpToDate. Updated Dec. 10, 2020. https://www.uptodate.com/contents/foreign-bodies-of-the-esophagus-and-gastrointestinal-tract-in-children
- Al-Haddad M, Ward EM, Scolapio JS, et al. Glucagon for the relief of esophageal food impaction does it really work? Dig Dis Sci 2006;51:1930-1933.
- Arora S, Galich P. Myth: Glucagon is an effective first-line therapy for esophageal foreign body impaction. CJEM 2009;11:169-171.
- Holsinger JW, Fuson RL, Sealy WC. Esophageal perforation following meat impaction and papain ingestion. JAMA 1968;204:734-735.
- Betz JS, Hampers LC. Cecal retention of a swallowed penny mimicking appendicitis in a healthy 2-year-old. Pediatr Emerg Care 2004;20:525-527.
- Green SM, Schmidt SP, Rothrock SG. Delayed appendicitis from an ingested foreign body. Am J Emerg Med 1994;12:53-56.
- Robinson AJ, Bingham J, Thompson RLE. Magnet induced perforated appendicitis and ileo-caecal fistula formation. Ulster Med J 2009;78:4-6.
- Webb WA. Management of foreign bodies of the upper gastrointestinal tract: Update. Gastrointest Endosc 1995;41:39-51.
- Kim SI, Lee KM, Choi YH, Lee DH. Predictive parameters of retained foreign body presence after foreign body swallowing. Am J Emerg Med 2017;35:1090-1094.
- Mosca S, Manes G, Martino R, et al. Endoscopic management of foreign bodies in the upper gastrointestinal tract: Report on a series of 414 adult patients. Endoscopy 2001;33:692-696.
- Stack LB, Munter DW. Foreign bodies in the gastrointestinal tract. Emerg Med Clin North Am 1996;14:493-521.
- Choe JY, Choe BH. Foreign body removal in children using Foley catheter or magnet tube from gastrointestinal tract. Pediatr Gastroenterol Hepatol Nutr 2019;22:132-141.
- Arms JL, Mackenberg-Mohn MD, Bowen MV, et al. Safety and efficacy of a protocol using bougienage or endoscopy for the management of coins acutely lodged in the esophagus: A large case series. Ann Emerg Med 2008;51:367-372.
- Joyamaha D, Conners GP. Managing pediatric foreign body ingestions. Mo Med 2015;112:181-186.
- Mariani PJ, Wagner DK. Foley catheter extraction of blunt esophageal foreign bodies. J Emerg Med 1986;4:301-306.
- Agarwala S, Bhatnagar V, Mitra DK. Cost analysis in the management of esophageal coins: Endoscopy vs. bougienage. J Pediatr Surg 1999;34:1890.
- Calkins CM, Christians KK, Sell LL. Cost analysis in the management of esophageal coins: Endoscopy vs. bougienage. J Pediatr Surg 1999;34:412-414.
- Tenenbein M. Foreign bodies. In: Tenenbein M, Macias CG, Sharieff GQ, et al, eds. Strange and Schafermeyer's Pediatric Emergency Medicine. 5th ed. McGraw Hill;2018:47-54.
- Bigler FC. The use of a Foley catheter for removal of blunt foreign bodies from the esophagus. J Thorac Cardiovasc Surg 1966;51:759-760.
- Kang JH, Jung HJ, Suh JK, et al. Feasibility of Foley catheter prior to endoscopy for the removal of esophageal coin in children. Korean J Pediatr Gastroenterol Nutr 2011;14:251-257.
- Macpherson RI, Hill JG, Othersen HB, et al. Esophageal foreign bodies in children: Diagnosis, treatment, and complications. AJR Am J Roentgenol 1996;166:919-924.
- Wang J, Wang P. Clinical analysis on 138 cases of removing esophageal foreign bodies in children by utilizing Foley catheter. CJEBM 2010;10:1118-1119.
- McGuirt WF. Use of Foley catheter for removal of esophageal foreign bodies. A survey. Ann Otol Rhinol Laryngol 1982;91:599-601.
- Dokler ML, Bradshaw J, Mollitt DL, Tepas JJ 3rd. Selective management of pediatric esophageal foreign bodies. Am Surg 1995;61:132-134.
- Little DC, Shah SR, St Peter SD, et al. Esophageal foreign bodies in the pediatric population: Our first 500 cases. J Pediatr Surg 2006;41:914-918.
- Burgos A, Rábago L, Triana P. Western view of the management of gastroesophageal foreign bodies. World J Gastrointest Endosc 2016;8:378-384.
- Allie EH, Blackshaw AM, Losek JD, Tuuri RE. Clinical effectiveness of bougienage for esophageal coins in a pediatric ED. Am J Emerg Med 2014;32:1263-1269.
- Soprano JV, Mandl KD. Four strategies for the management of esophageal coins in children. Pediatrics 2000;105:e5.
- Himadi GM, Fischer GJ. Magnetic removal of foreign bodies from the upper gastrointestinal tract. Radiology 1977;123:226-227.
- Volle E, Beyer P, Kaufmann HJ, Hanel D. [Removal of swallowed metallic foreign bodies by orogastric magnetic intubation]. Z Kinderchir 1987;42:346-349.
- Thomson M, Tringali A, Dumonceau JM, et al. Paediatric gastrointestinal endoscopy: European Society for Paediatric Gastroenterology Hepatology and Nutrition and European Society of Gastrointestinal Endoscopy guidelines. J Pediatric Gastroenterol Nutr 2017;64:133-153.
- Chia DKA, Wijaya R, Wong A, Tan SM. Laparoscopic management of complicated foreign body ingestion: A case series. Int Surg 2015;100:849-853.
- Fosmire GJ. Zinc toxicity. Am J Clin Nutr 1990;51:225-227.
- Agnew UM, Slesinger TL. Zinc toxicity. In: StatPearls [Internet]. StatPearls Publishing; 2021.
- Landrigan PJ, Todd AC. Lead poisoning. West J Med 1994;161:153-159.
- Dipasquale V, Romano C, Iannelli M, et al. Managing pediatric foreign body ingestions: A 10-year experience. Pediatr Emerg Care 2020. doi: 10.1097/PEC.0000000000002245. [Online ahead of print].
- Lee JH. Foreign body ingestion in children. Clin Endosc 2018;51:129-136.
- Campbell EA, Wilbert CD. Foreign body imaging. In: StatPearls [Internet]. StatPearls Publishing; 2021.
- Moore BJ, Liang L. Costs of emergency department visits in the United States, 2017. HCUP Statistical Brief #268. Published December 2020. www.hcup-us.ahrq.gov/reports/statbriefs/sb268-ED-Costs-2017.pdf
- Flaherty MR, Buchmiller T, Vangel M, Lee LK. Pediatric magnet ingestions after federal rule changes, 2009-2019. JAMA 2020;324:2102-2104. Erratum in: JAMA 2021;325:309.
- Abbas MI, Oliva-Hemker M, Choi J, et al. Magnet ingestions in children presenting to U.S. emergency departments, 2002-2011. J Pediatr Gastroenterol Nutr 2013;57:18-22.
- Altokhais T. Magnet ingestion in children management guidelines and prevention. Front Pediatr 2021;9:727988.
- Centers for Disease Control and Prevention. Gastrointestinal injuries from magnet ingestion in children — United States, 2003-2006. MMWR Morb Mortal Wkly Rep 2006;55:1296-1300.
- Silverman JA, Brown JC, Willis MM, Ebel BE. Increase in pediatric magnet-related foreign bodies requiring emergency care. Ann Emerg Med 2013;62:604-608.e1.
- Palta R, Sahota A, Bemarki A, et al. Foreign-body ingestion: Characteristics and outcomes in a lower socioeconomic population with predominantly intentional ingestion. Gastrointest Endosc 2009;69(3 Pt 1):426-433.
- Swaminathan A. Button battery ingestion. REBEL EM. Published Sept. 4, 2017. https://rebelem.com/button-battery-ingestion/
The process of diagnosing and managing foreign bodies has changed over the last few years. In Part II, the authors discuss not only the process for managing the majority of foreign bodies, but also unique ingestions that require special care.
You have reached your article limit for the month. Subscribe now to access this article plus other member-only content.
- Award-winning Medical Content
- Latest Advances & Development in Medicine
- Unbiased Content
Already have an account? Log in

