Acute Ischemic Stroke: Focus on Reperfusion
May 1, 2016
AUTHORS
Michael P. Lerario, MD, Assistant Professor of Clinical Neurology, Weill Cornell Medical College, New York; Attending Physician, New York–Presbyterian/Queens Hospital, Flushing, NY
Alan Z. Segal, MD, Associate Professor of Clinical Neurology, Weill Cornell Medical College, New York
PEER REVIEWER
Hugh Moncrief, MD, Neurosurgeon, Miami Valley Hospital; Associate Clinical Professor, Wright State University Boonshoft School of Medicine, Dayton, OH
Statement of Financial Disclosure
To reveal any potential bias in this publication, and in accordance with Accreditation Council for Continuing Medical Education guidelines, Dr. Wise (editor) reports he is on the speakers bureau for the Medicines Company. Dr. Farel (CME question reviewer) owns stock in Johnson & Johnson. Dr. Stapczynski (editor) owns stock in Pfizer, Johnson & Johnson, Walgreens Boots Alliance Inc., GlaxoSmithKline, Bristol Myers Squibb, and AxoGen. Dr. Schneider (editor), Ms. Fessler (nurse planner),Dr. Lerario (author), Dr. Segal (author), Dr. Moncrief (peer reviewer), Ms. Coplin (executive editor), Ms. Mark (executive editor), and Mr. Landenberger (editorial and continuing education director) report no financial relationships relevant to this field of study.
EXECUTIVE SUMMARY
- Public education efforts, such as the FAST campaign, contribute to increased awareness.
- IV-tPA remains the mainstay of acute stroke treatment for patients presenting within 4.5 hours of symptom onset.
- Endovascular therapies include intra-arterial tPA and mechanical clot extraction.
- Profoundly positive results from five endovascular trials published in 2015 mark an extremely encouraging year in the history of stroke care.
Time is brain. For every minute of prolonged ischemia without treatment, 1.9 million neurons are lost.1 Neural tissue’s exquisite sensitivity to ischemia indicates the emergency nature of acute stroke care. The faster that definitive stroke treatment is administered following the onset of ischemia, the better the outcomes.2,3 Unfortunately, the majority of patients do not arrive to the hospital soon enough to receive emergency stroke treatment.4
Two FDA-approved therapies available for the treatment of acute ischemic stroke patients include intravenous tissue plasminogen activator (IV-tPA)5 and mechanical thrombectomy.6 Both of these treatments are recommended by the American Heart Association (AHA) and American Stroke Association (ASA) to be administered only within discrete, narrow time windows. These windows limit effective treatment to only 6 hours from symptom onset,7 given the known diminishing net clinical benefit that occurs with the progression of time.3,8 Both IV thrombolysis and endovascular clot extraction have been demonstrated to reduce medium-term disability at 3 or 6 months without an increase in mortality.3,7 Still, careful patient selection is the best tool to minimize the risks and maximize the benefits of acute stroke intervention.
Prehospital Considerations for Acute Stroke Care
Improving Prehospital Delays to Presentation. Although there are various reasons for delay to acute stroke treatment, prehospital issues continue to be responsible for the largest of these delays.9 Failure to promptly report to the emergency department (ED) when experiencing stroke symptoms is due to multiple factors, including a general lack of awareness and inability to identify symptoms of stroke, self-presentation to the ED without activating the 911 emergency system, and difficulty obtaining the time the patient was last seen well prior to stroke onset.10 Patients who are witnessed to have acute onset of facial asymmetry (F), arm weakness (A), or speech disturbance (S), have at least a 72% probability that they are experiencing a stroke and should be brought to emergent medical attention since time (T) is a factor.11 Public educational efforts, for instance the FAST campaign, have focused on teaching these stroke concepts through the use of mass media and have demonstrated sustained, subsequent improvement in prehospital delays.12 Such an educational tool is identical to the three-item screening questionnaire known as the Cincinnati Prehospital Stroke Scale used by emergency medical professionals in prehospital stroke assessments to aid in the rapid identification of stroke. The Cincinnati Prehospital Stroke Scale has been equally reliable in use by the lay population,11 and therefore can be taught to patients who are at high risk for stroke and their families.
Wake-up Stroke and Extending Treatment Windows. Stroke treatment windows are dependent on obtaining a time the patient was last seen well. However, stroke onset times are often unreliable, particularly in the case of stroke upon awakening, which accounts for up to 28% of strokes.13 When deciding on treatment for wake-up stroke patients, it is the standard to assume that stroke onset was the time the patient went to bed normal, even though stroke onset frequency is known to be highest in the early morning.14 Unfortunately, more than one-third of patients presenting with stroke symptoms upon awakening would be rendered ineligible if stroke onset time was calculated from the time the patient went to bed.13 Since wake-up stroke represents a large target for missed stroke therapy, there has been an emphasis on shifting treatment based on time windows to that of tissue windows using advanced neuroimaging. Perfusion scans, collateral scores on noninvasive angiography, and evaluation of magnetic resonance imaging (MRI) sequence mismatches potentially may be employed to select patients for acute treatment who may otherwise be outside of conventional treatment windows that are based on time.15,16 Such imaging techniques can help differentiate ischemic penumbra from core infarct, and recognize which patients have completed stroke and which have salvageable brain tissue and thereby are amenable for salvage therapy within extended time windows. Although these techniques have been adopted in some hospital protocols, they are still considered largely experimental in standard practice and are the basis of multiple ongoing clinical trials.17 Genetically engineered, mutant tPA, known as tenecteplase, may have several advantages over standard alteplase for stroke thrombolysis, and has also been studied in extended time windows with encouraging results.18
Prehospital Thrombolysis. A novel method of expediting acute stroke treatment is to attempt prehospital thrombolysis. Germany has instituted and studied ambulance-based tPA administration in major cities with success in reducing onset to treatment times.19 Similar practices have begun to be established in the United States as well.20 The concept of bringing the tPA to the patient seems intuitive in its ability to hasten times to thrombolysis; however, such methods are enacted at a significant expense in terms of equipment and staffing. Ambulances are required to have portable laboratory testing, computed tomography (CT) capabilities, and in-person or telemedicine access to a vascular neurologist and radiologist for efficient clinical evaluation and interpretation of the acquired studies. While widespread adoption of prehospital thrombolysis protocols is still years ahead of us, other methods to expedite stroke evaluation in the prehospital setting include the use of ambulance-based telemedicine21 or hospital pre-notification systems.22 These interventions can allow rapid, real-time diagnosis of stroke from a remote setting in the field, including confirmation of the stroke severity and onset time. In addition, improved communication between the transferring and receiving medical professionals will enhance the mobilization and coordination of the receiving stroke team who can now be poised, awaiting the patient’s arrival at the hospital door, ready to administer treatment as applicable.
Systems of Care for Coordinated Stroke Treatment. Like any time-based therapy that requires coordination among multiple physician specialties, an appropriately organized system of care is necessary to provide the most timely and evidence-based therapeutic interventions to the largest number of patients.23,24 Many considerations, such as patient or clinical characteristics, geographic restraints, and limitations in staffing or infrastructure, may affect where stroke patients ultimately receive their care. The advent of comprehensive stroke centers (CSCs) capable of providing endovascular stroke interventions has improved outcomes25 and allowed access to treatment for those patients with the most severe form of stroke due to large vessel occlusions. However, not all stroke patients would equally benefit from treatment in a CSC, and therefore allocation of resources is an important factor when deciding to which hospital a patient should be transported by emergency medical services. It has been suggested that those patients with less severe strokes, or those with longer travel times needed to reach a CSC, be treated initially in a primary stroke center or acute stroke-ready hospital.7,24,26 At these hospitals, a patient can be administered alteplase as a bridging therapy and then can be further considered for transfer to a CSC for more definitive endovascular treatment. Therefore, if a stroke patient with a suspected large vessel occlusion is being treated within a hospital that cannot provide intra-arterial therapy, this patient should be transferred immediately to a hospital with such capabilities after the decision whether to administer IV thrombolysis has been made.7
Intravenous Thrombolysis with tPA
Despite recent advances in endovascular therapies, IV-tPA remains the mainstay of acute stroke treatment for patients presenting within 4.5 hours of symptom onset. Many patients with disabling stroke symptoms do not meet selection criteria for endovascular treatment (e.g., do not have a confirmed large vessel occlusion on noninvasive angiography), and, therefore, IV thrombolysis is their only option for effective therapy. In the United States, IV-tPA is FDA-approved to be administered within 3 hours of stroke onset. However, in European countries, clinical data have demonstrated a benefit of IV thrombolysis in a window extended to 4.5 hours in certain patient populations. Within these treatment windows, IV-tPA improves the functional recovery from stroke at 3 or 6 months without an increase in mortality, despite a higher risk of symptomatic intracerebral hemorrhage (sICH).3,5
Landmark IV-tPA Clinical Trials. The 1995 American trial studying the effects of IV-tPA compared to placebo in patients with acute ischemic stroke was known as the National Institutes of Neurological Disease and Stroke IV tPA Study (NINDS).5 The NINDS trial demonstrated that among stroke patients presenting within 3 hours of symptom onset, those treated with alteplase were significantly more likely to have a complete recovery or minimal neurological deficit at 3 months post-treatment. The magnitude of the efficacy was impressive; the study reported a 30-55% relative (11-13 absolute) improvement in several clinical outcome measures of disability for those patients treated with tPA rather than placebo. Overall mortality was not significantly different between groups, despite an increase in the observed rate of sICH in the treatment group (6.4%) compared to placebo (0.6%). Treatment benefit was observed despite inclusion of patients with varying stroke mechanisms, including cardioembolism, large vessel atheromatous disease, and lacunar (small-vessel) strokes.
In Europe, another trial published in 2008 aimed to specifically study the effect of IV-tPA in an extended time window. This trial, known as the European Cooperative Acute Stroke Study (ECASS) III, randomized patients who presented between 3 and 4.5 hours from symptom onset to receive alteplase or placebo. The authors found that those treated with IV-tPA had a significant, 7.2% absolute increase in the rate of minimal or no disability at 3 months post-treatment. The patients also experienced similar mortality, despite higher rates of sICH (2.4%) than those observed in the placebo group (0.3%). It should be noted that the ECASS investigators defined symptomatic ICH in a more conservative manner than did the NINDS trial investigators. When applying the NINDS trial definition of sICH to ECASS III patients, the rate of symptomatic hemorrhage was 7.9% in the alteplase arm. Additionally, several patient populations were notably excluded from participating in the EACSS III trial, as these groups are at a higher risk of hemorrhagic conversion and other adverse events. These exclusions included those patients older than 80 years of age, those with very severe strokes (National Institutes of Health Stroke Scale [NIHSS] score > 25), those with both prior stroke and diabetes mellitus, and those with any oral anticoagulant use regardless of coagulation study values. Therefore, the treatment of these patient populations after 3 hours has been historically excluded from hospitals’ clinical protocols, due to concerns for unclear safety and efficacy.
The Third International Stroke Trial (IST-3), published in 2012, attempted to further evaluate the efficacy of alteplase in those patients excluded or not included in large numbers in the initial IV-tPA trials.27 Particularly, 53% of the patients included in the trial were older than 80 years of age, and the investigators studied the treatment of patients presenting up to 6 hours from symptom onset. The primary outcome of functional independence (determined by the Oxford Handicap Scale) at 6 months post-treatment was observed in 37% of the treatment arm and 35% of the placebo arm, a difference that was not significant (P = 0.18). The neutral results were likely explained by the trial’s recruitment of patients with higher risk for adverse events within extended time windows where alteplase is known to have limited benefit in stroke. However, in pre-specified subgroup analyses, there was a suggestion that patients older and younger than 80 years of age benefitted similarly from tPA treatment and that those with increasingly severe strokes had significantly greater benefit from thrombolysis. However, this subgroup analysis was underpowered and should be interpreted with caution in the context of a non-significant benefit for the primary outcome.
Meta-analyses of IV-tPA Trials. Pooled analyses of these tPA trials have found that the net clinical benefit of tPA dampens with time, further demonstrating the concept that “time is brain.”3,28 As time unfolds, not only does the benefit on disability outcomes diminish, but the risk of adverse events increases. The end result is that no reliable, significant benefit of alteplase therapy for acute ischemic stroke has been demonstrated after 4.5 hours. Although some data have suggested a possible benefit up to a 6-hour window,28 it is likely not relevant in routine, real-world clinical practice. Therefore, guidelines and hospital protocols typically recommend treatment within a 3-hour window, which may be extended to 4.5 hours in certain patient populations.26,29
These meta-analyses also allowed for an improved assessment of the risk and benefit of alteplase administration in patients who were not included in large numbers in the NINDS trial, such as elderly patients or those with very severe stroke syndromes, due to concerns over excessive risk of hemorrhage. On the contrary, within 3 hours of stroke onset, there is apparent benefit of tPA in patients older than 80 years of age and with very severe strokes (NIHSS > 22). These findings have been confirmed when reviewing international registry data.30,31 However, after 3 hours, in patients who meet ECASS III exclusionary criteria (i.e., age > 80 years, NIHSS > 25, diabetes and prior stroke, any anticoagulant use) the benefit of tPA is less certain due to lacking data. Therefore, the AHA/ASA does not as strongly encourage routine treatment of these patients within the extended 4.5-hour time window.26,29
Clinical Pathways for Acute Stroke Treatment. In-hospital acute stroke treatment needs to be based on accepted protocols and pathways that deliver evidence-based care efficiently and in an organized manner. Ideally, IV thrombolysis should be started as soon as possible, but historically only 27% of stroke patients presenting through the ED receive treatment within 60 minutes.32 With experience and the invention of novel methods aimed at expediting the evaluation of acute stroke patients, in-hospital delays to thrombolysis have improved over time9 and the frequency of tPA administration has increased.33 Simple interventions that reduce door-to-needle times can be instituted on a hospital level and lead to lower mortality, lower rates of sICH, and improved discharge disposition.34,35 Such interventions were proposed in a national campaign, Target: Stroke, which promoted and monitored the effects of widespread utilization of various techniques meant to reduce in-hospital delays, such as: hospital pre-notification by emergency medical services, rapid triage, notification of a stroke team with a single call or page, expedited acquisition and interpretation of brain imaging, premixing of tPA prior to CT acquisition, storage of tPA within the ED, and prompt review of feedback from performance data. Hospitals that implement stroke protocols based on the Target: Stroke campaign trigger rapid diagnosis and evaluation of stroke patients, enhance communication among team members, and gain access to more readily-available alteplase if needed. Each of these simple protocol changes can reduce treatment times by at least 1.3 minutes once implemented.35 Still, there is significant variation in stroke practices between centers in the United States,36 and more work needs to be done to better standardize these practices.
A patient presenting to the ED with symptoms of acute stroke should prompt the activation of a stroke team, which often involves a combination of practitioners and technicians from neurology, emergency medicine, radiology, nursing, laboratory, and pharmacy.26 See Table 1 for a list of the various duties performed by these specialists to streamline the stroke evaluation. It is imperative that the treating team obtain the time that the patient was observed last known normal, as acute stroke treatments can only be applied within narrow, discrete time windows.
Table 1. Emergency Department Diagnostic Evaluation for Acute Ischemic Stroke
Emergency Medical Services
- Confirm last known normal time
- Assess airway and hemodynamics
- Initiate cardiac monitoring
- Determine fingerstick blood glucose and treat accordingly
- Triage and rapidly transport patient to the nearest, most appropriate hospital emergency department
- Notify hospital emergency department of imminent stroke patient arrival
Emergency Department Team
- Confirm last known normal time
- Rapid triage
- Rapid activation of stroke team
- Assess airway and hemodynamics
- Obtain history
- Assess for tPA contraindications
- Treat severe hypertension in conjunction with stroke team
- Make decision regarding tPA in conjunction with stroke team
ED Team
- Assess vital signs
- Initiate cardiac monitoring
- Placement of 2 peripheral IVs
- Determine fingerstick blood glucose and treat accordingly
- Draw basic stroke laboratory studies*
- 12-lead ECG
Stroke Team
- Confirm last known normal time
- Obtain history
- Perform National Institutes of Health Stroke Scale
- Diagnose clinical stroke
- Head CT interpretation
- Assess for tPA contraindications
- Discuss risks and benefits of treatment with patient and family
- Make decision regarding tPA
Radiology
- Head CT acquisition
- Head CT interpretation
Laboratory
- Expedited diagnostic testing of stroke laboratory studies*
Pharmacy
- Storage of tPA in emergency department
- Expedited mixing of tPA for stroke patients
*Stroke laboratory studies standardly include basic metabolic profile, complete blood count, coagulation studies (PT/INR and aPTT) and markers of cardiac ischemia.
CT = computed tomography; IV = intravenous line
Initial management should focus on patient stabilization, as in any emergency situation. The prompt placement of two peripheral IVs, preferably large-bore and in an antecubital location, is important to allow for the concurrent rapid administration of alteplase and acquisition of CT angiography in cases of suspected large vessel occlusion. Once a patient is confirmed to be hemodynamically stable and protecting his or her airway, the emphasis should shift to a focused stroke evaluation. A fingerstick is required prior to tPA administration, as severe hypoglycemia occasionally can mimic stroke syndromes and hyperglycemia is associated with worse outcomes.26 Nursing staff also should obtain blood for basic laboratory evaluation, including a complete blood count and coagulation studies. Other laboratory testing is not required prior to tPA administration unless the patient has medical history or recent medication use that could implicate a reason to suspect a bleeding diathesis.26 Retrospective data have demonstrated that the rate of unsuspected contraindications to thrombolysis based on previously unknown thrombocytopenia or coagulopathy is very low (0.4%).37 Furthermore, many hospital EDs are investing in point-of-care laboratory testing, which can significantly reduce delays to thrombolysis, and remove the safety concerns related to tPA administration when the values of platelets and coagulation studies are unknown.38 Hypertension is common in the acute phase of stroke as a compensatory mechanism to maintain cerebral perfusion of the ischemic penumbra. Therefore, blood pressure should be carefully monitored and gently regulated if necessary. National guidelines recommend the lowering of blood pressure in hypertensive patients below 185/110 mmHg prior to tPA administration, given the increased risk of hemorrhagic conversion and other adverse events in patients with uncontrolled hypertension.26,39 Nevertheless, care should be taken to avoid hypotension, as aggressive blood pressure reduction similarly can lead to worse outcomes.39
Either following or simultaneous with the initial nursing care and patient stabilization, the stroke team will perform a brief, targeted history and neurological exam. This evaluation, often performed by a neurologist, aims to quickly diagnose a clinical stroke and identify a recognized stroke syndrome attributable to a known vascular territory. This neurological examination, the NIHSS, is a 42-point validated scale that can quantify stroke severity, with higher scores referring to more severe stroke symptoms.40 (See Table 2.) The NIHSS evaluates 11 neurological domains in a focused fashion, including consciousness, language, visuospatial perception, cranial nerves, strength, sensation, and coordination. Lastly, an emergent CT of the head will rule out intracranial hemorrhage, which should be excluded prior to administering tPA. Additionally, the head CT occasionally may help to identify ischemia in the early phases of stroke, by demonstrating an intra-arterial thrombus (i.e., vessel hyperdensity) or loss of the insular ribbon or obscuration of other areas of gray-white matter differentiation.
Table 2. The National Institutes of Health Stroke Scale |
||
|
1A |
Level of consciousness |
0- Alert 1- Drowsy 2- Obtunded 3- Coma/unresponsive |
|
1B |
Orientation questions a. Patient’s age b. Current month |
0- Answers both correctly 1- Answers 1 correctly 2- Answers neither correctly |
|
1C |
Response to commands a. Close/open eyes b. Close/open fist |
0- Performs both tasks correctly 1- Performs 1 task correctly 2- Performs neither |
|
2 |
Gaze |
0- Normal horizontal movements 1- Partial gaze palsy 2- Complete gaze palsy |
|
3 |
Visual fields |
0- No visual field defect 1- Partial hemianopia 2- Complete hemianopia 3- Bilateral hemianopia |
|
4 |
Facial movement |
0- Normal facial movement 1- Minor facial weakness 2- Partial facial weakness 3- Complete unilateral palsy |
|
5 |
Motor function (arm) a. Left b. Right |
0- No drift 1- Drift before 10 seconds 2- Hits bed before 10 seconds 3- No effort against gravity 4- No movement |
|
6 |
Motor function (leg) a. Left b. Right |
0- No drift 1- Drift before 5 seconds 2- Hits bed before 5 seconds 3- No effort against gravity 4- No movement |
|
7 |
Limb ataxia |
0- No ataxia 1- Ataxia in 1 limb 2- Ataxia in 2 limbs |
|
8 |
Sensation |
0- No sensory loss 1- Mild sensory loss 2- Severe sensory loss |
|
9 |
Language |
0- Normal language 1- Mild aphasia 2- Severe aphasia 3- Mute or global aphasia |
|
10 |
Speech articulation |
0- Normal 1- Mild dysarthria 2- Severe dysarthria |
|
11 |
Extinction/inattention |
0- Absent 1- Mild (abnormal in 1 sensory modality) 2- Severe (abnormal in 2 sensory modalities) |
Prior to mixing tPA, the patient’s medical history should be carefully considered to evaluate whether he or she meets any of the clinical contraindications for IV thrombolysis. (See Table 3.) Such contraindications focus on reasons a given patient may be expected to be at an increased bleeding risk, such as a large completed infarction, evidence of current or previous intracranial hemorrhage, recent bleeding, recent surgery, recent trauma, or the presence of a bleeding diathesis. If a patient is suspected to have a large vessel occlusion based on the severity of the stroke syndrome (typically in proximal arterial occlusions, the NIHSS is > 10 with cortical signs such as aphasia or neglect), then an emergent CT angiogram should be obtained to confirm the intracranial occlusion. However, this should only be done after or concurrently with alteplase administration, so as not to delay treatment.
Table 3. Criteria for the Use of IV-tPA in Acute Ischemic Stroke |
|
Inclusion Criteria
Absolute Exclusion Criteria
Relative Exclusion Criteria*
Relative Contraindications to Extend the Treatment Window to 4.5 hours#
|
|
+ IV thrombolysis may be administered if these vital sign disturbances can be corrected within an appropriate time window. |
Endovascular Therapy for Acute Ischemic Stroke
Large Vessel Occlusion and Stroke Syndromes. One-third to one-half of acute ischemic strokes are due to the large vessel occlusion (LVO) of a major intracranial artery.41 The presence of an LVO is independently associated with poorer outcomes and often produces some of the most severe stroke syndromes.41,42 Unfortunately, the effect of IV-tPA diminishes with increasing clot burden, and proximal artery occlusions are often refractory to IV thrombolysis.43 IV-tPA results in recanalization of a proximal intracranial occlusion in less than one-third of cases.43 Given that recanalization rates are strongly linked to outcomes,43 a method of treatment to be used in conjunction with IV-tPA has been heavily desired. Recently, multiple endovascular trials were published demonstrating the clinical benefit of intra-arterial therapy (IAT) for acute ischemic stroke patients with LVO who presented within at least 6 hours of symptom onset.6,44-47
Patients with acute intracranial vessel occlusion often have moderate to severe stroke syndromes, as judged by the NIHSS. (See Table 2.) In the five landmark endovascular trials published in 2015, the mean NIHSS scores ranged from 13-18.6,45 For a frame of reference, minor stroke is commonly defined as a score of < 6 on this scale,48 with larger values more predictive of an acute LVO.49 Additionally, patients with proximal intracranial occlusions of the anterior circulation (including the middle cerebral artery [MCA] and the internal carotid artery [ICA]) are more likely to display cortical signs on examination, such as aphasia, neglect, or visual loss.50 Particular attention should be paid to the severity and spectrum of the functional deficits exhibited by the patient, as these may provide valuable clues to the expected presence of an LVO.
Diagnostic Workup of a Suspected LVO and IV-tPA as Bridging Therapy. The initial diagnostic evaluation of patients being considered for IAT should be similar to that performed on any stroke patient being considered for IV thrombolysis. (See Table 1 and Figure 1.) In fact, the vast majority of patients included in recent endovascular trials received IV-tPA in addition to intra-arterial treatment. The number of patients who first underwent IV thrombolysis prior to IAT ranged from 73-100% in these trials.45,47 IV-tPA remains an important method of therapy for patients with LVO for two reasons, ultimately demonstrating the significance of concurrent IV alteplase administration in eligible patients, even if they are planned for subsequent IAT.
Figure 1. Suggested Diagnostic and Treatment Algorithm for Patients with Acute Ischemic Stroke Due to a Large Vessel Occlusion

First, clot extraction performed within a proximal artery often results in distal embolization of thrombotic material into smaller arteries downstream of the target vessel.51 Furthermore, embolization into new vascular territories, separate from the target artery, can be demonstrated in 9% of patients as a procedural complication of arterial intervention.6 Such embolic particulate may not be accessed easily by catheterization techniques if lodged in small, distal arteries but potentially could be recanalized with the aid of ongoing intravenous fibrinolysis.
Second, stroke patients can be treated with IV-tPA as an initial therapy when access to endovascular intervention may be limited or delayed. For instance, many patients are first evaluated within a stroke center which does not have endovascular capabilities. In these hospitals, patients who are suspected to have a proximal intracranial occlusion should be transferred immediately to a CSC as potential candidates for IAT. However, in reality, transfer times can pose significant delays to reperfusion and cost the patient as much as 1.5 hours in transport, resulting in longer times to definitive treatment and worsened outcomes.52 IV-tPA may be used as a bridging therapy to endvascular care in these instances, which has been found to improve recanalization rates in patients eventually undergoing IAT.53
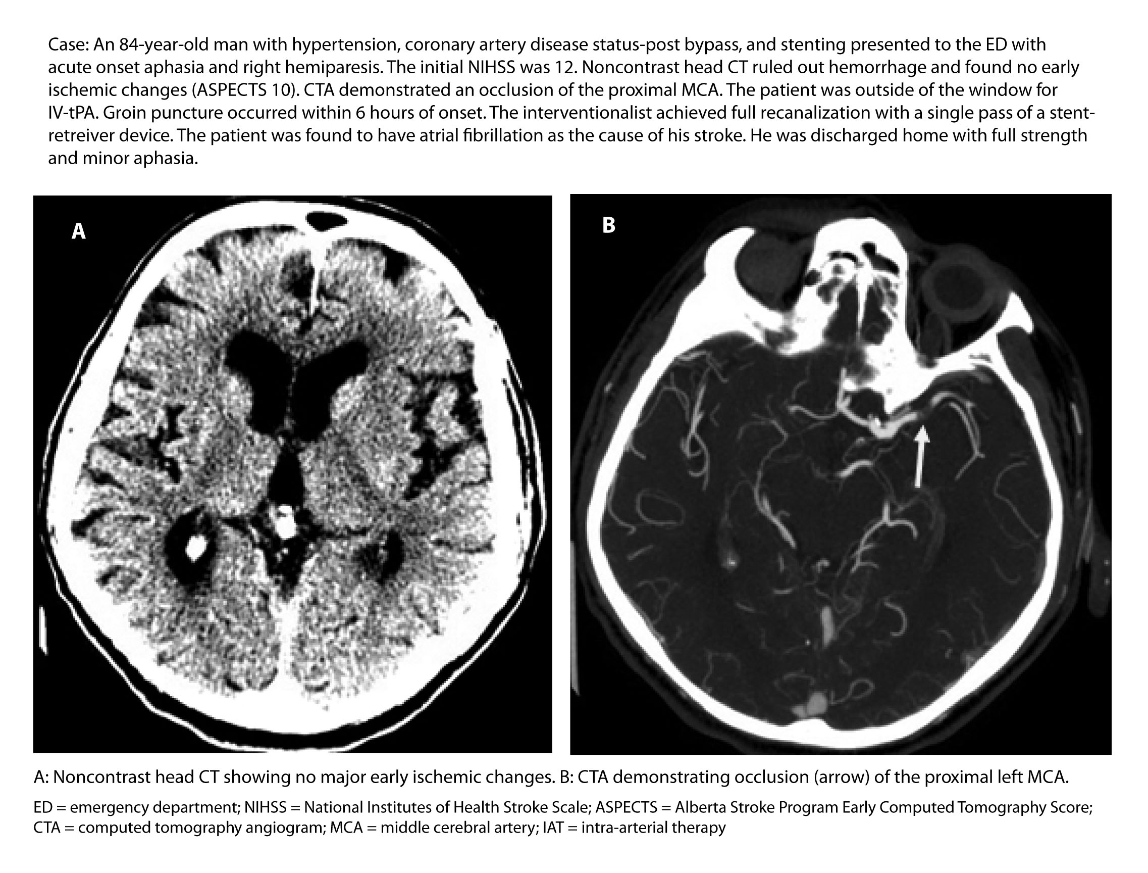
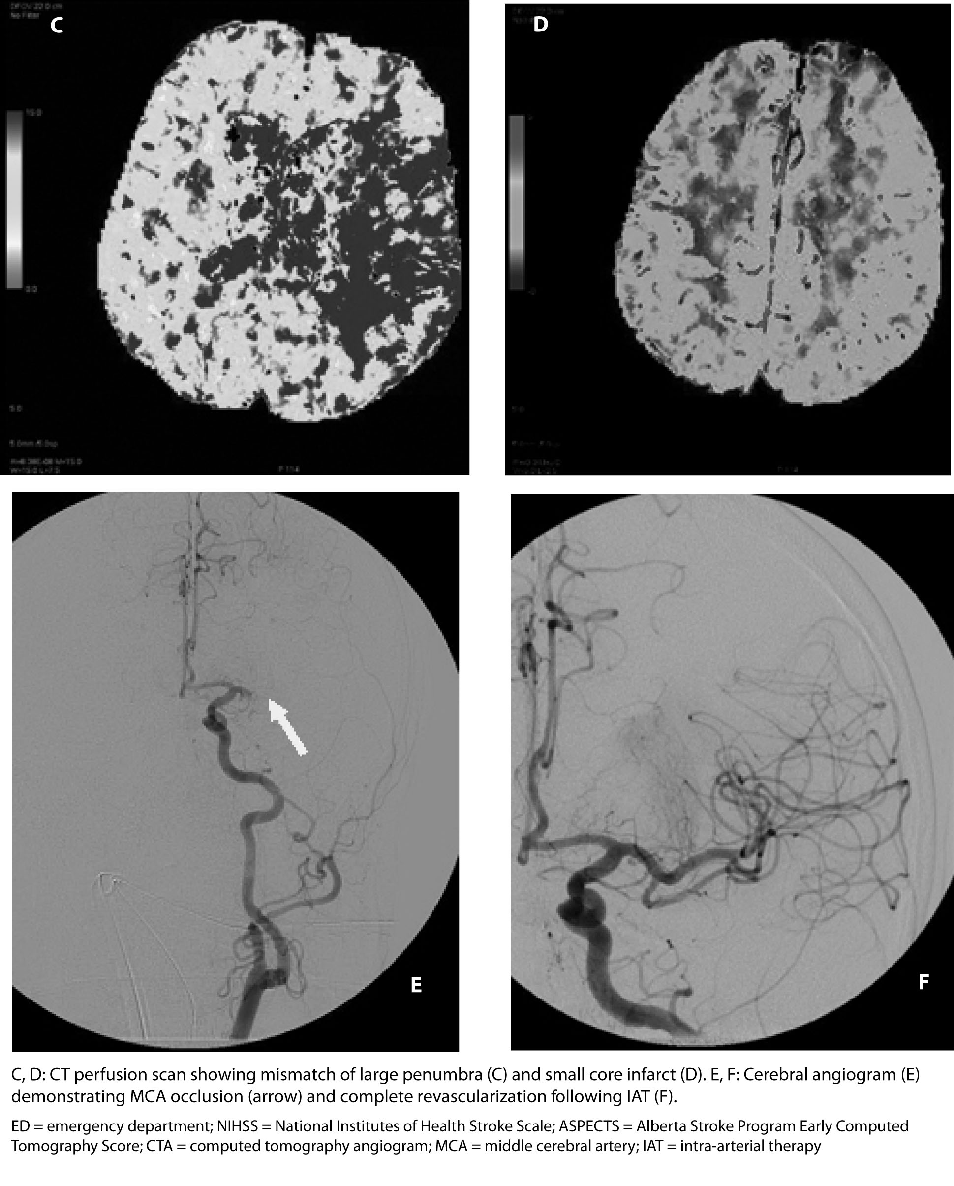
Once the decision to administer tPA is made, the patient next should undergo emergent noninvasive angiography to confirm the presence of an LVO, if suspected. (See Figure 1.) A high-quality CT angiogram (CTA) of the head and neck will provide data on the location of an intracranial LVO, the quality of collateralization, as well as the presence of comorbid extracranial carotid stenosis that may require concurrent intervention. Endovascular trials that did not require the confirmation of an LVO by CTA prior to randomization failed to demonstrate any benefit of endovascular treatment.54-56 If an acute occlusion of a proximal intracranial artery, such as the MCA or ICA, is discovered on angiography, then the patient may be a candidate for mechanical thrombectomy if there remains a large mismatch between ischemic penumbra (i.e., tissue at risk) and core infarct (i.e., established stroke). However, if there is a large area of established infarct, the patient is unlikely to benefit from intra-arterial intervention.52 The presence of core infarct can be determined through multiple techniques and has been used successfully to select patients for endovascular therapy through such modalities as noncontrast cranial CT,6,44 collateral scores on CTA,44,57 CT perfusion scans,45,46 and MRI.47,58 Often, the Alberta Stroke Program Early Computed Tomography Score (ASPECTS) is used to standardly quantify the amount of early ischemic changes in the MCA territory present on a noncontrast head CT.59 The ASPECTS scale is a 10-point, validated scoring system, where an initial score of 10 indicates a normal CT scan, and 1 point is subtracted for each abnormal area within 10 pre-specified regions of the cortex and deep subcortical structures. The higher the ASPECTS number, the smaller the core infarct, the larger the presumed ischemic penumbra, and the better the patient is a candidate for intervention. Many of the recent endovascular trials used a cutoff of 6 or better on the ASPECTS scale as part of the inclusionary criteria for trial selection, as these patients are thought to have the largest areas of salvageable brain tissue.44,46,47
Limitations of IV-tPA Treatment for Acute Stroke. Although IV thrombolysis remains the mainstay of acute stroke treatment, there are several limitations to its use in certain patient populations.26 Endovascular interventions for acute stroke may help a proportion of those patients who fail to respond to IV-tPA or who cannot be treated with tPA due to various contraindications.7 Endovascular therapies include intra-arterial tPA administration and mechanical clot extraction, either with or without IV thrombolysis as a bridging therapy. Such catheter-based techniques offer longer therapeutic time windows and higher rates of arterial recanalization, and may minimize some of the hemorrhagic risks observed with systemic thrombolytic agents.56,60
First, there is a narrow time window during which IV-tPA has been proven to be safe and effective as therapy for ischemic stroke, precluding the treatment of patients presenting after 3 or 4.5 hours, even in cases of severe stroke.26 Large-scale treatment of acute ischemic stroke populations requires a streamlined prehospital course to allow for tPA administration prior to the lapse of the therapeutic window. This includes the prompt recognition of stroke symptoms, the identification of a known time of onset, rapid activation of the emergency response system, and appropriate triaging and swift transport by emergency medical services. Due to various potential delays, more than three-quarters of patients with ischemic stroke do not present to medical attention early enough to be treated with IV thrombolysis within 3 hours.33 In some of these missed cases, the patients may be eligible for mechanical thrombectomy, which is recommended by the AHA/ASA for up to 6 hours following the onset of stroke due to proximal vessel occlusion.7 It should be noted that two of the recent endovascular trials enrolled patients after 6 hours from stroke onset using advanced neuroimaging techniques to determine if there was a reasonable mismatch between ischemic penumbra and core infarct.44,47 However, given the small number of patients enrolled after 6 hours, the benefit of such treatments is suggested but uncertain in extended time windows, even if there is salvageable brain tissue demonstrated by perfusion or MRI scanning.44 Regardless, even within the 6-hour window, it has been found that — just like with IV thrombolysis — the earlier mechanical thrombectomy is successfully performed, the better the chances of functional recovery following stroke.2,61
Second, treatment with IV-tPA results in poorer rates of revascularization than endovascular therapy for proximal arterial occlusions.60 Patients who achieve complete or near-complete recanalization have significantly better chances of independent recovery from their strokes.62 Unfortunately, IV-tPA recanalizes only one-third of proximal arterial occlusions, including those of the ICA or MCA, which typically result in the most severe stroke syndromes.43 On the other hand, IAT is designed to treat patients with proximal intracranial occlusions, which are accessed using guidewires through microcatheters and are immediately recanalized with the successful deployment of a retrievable stenting device. The recanalization rates observed in recent endovascular trials using these stent-retrievers reached as high as 88%.46 It is likely this improvement in successful revascularization is the main reason for the multitude of positive results from recently published endovascular trials.
Lastly, many patients are not candidates for IV thrombolysis due to various contraindications, most of which center around an increased risk of systemic hemorrhage with the administration of IV-tPA. Such contraindications include, but are not limited to, bleeding diatheses, recent surgeries, or intracranial, gastrointestinal, or urological bleeding events. (See Table 3.) Endovascular techniques can employ the targeted use of intra-arterial thrombolytics or accomplish recanalization without the use of thrombolytics at all, thereby minimizing the concern for systemic hemorrhage and consequently expanding the proportion of stroke patients eligible for acute intervention. However, it should be noted that many of the recent endovascular trials did include exclusionary criteria based on coagulation study results; however, these laboratory abnormalities were set at higher values than considered safe with IV thrombolysis.5,6 Furthermore, many of the contraindications for IV-tPA in today’s practice are based on populations not well studied in large numbers during the initial tPA trials: NINDS and ECASS III. This particularly pertains to the treatment of patients older than 80 years of age or with severe strokes (i.e., those with very high NIHSS scores), especially during the treatment window between 3 to 4.5 hours from symptom onset. Only 26% and 9% of the patients in landmark IV treatment trials were older than 80 years of age and had an NIHSS > 22, respectively.3 Therefore the safety and benefit of IV treatment in these patients is not well known, but has been suggested by non-randomized data30,31 and pooled analyses.3 Such limitations in the randomized data prompted the FDA recently to remove several of these contraindications from the package insert label and resulted in the re-review of the exclusionary criteria for IV thrombolysis by the AHA/ASA.29 In stark contrast, many of the recent endovascular trials were designed to be pragmatic in nature and limit exclusionary patient selection criteria based on advanced age or elevated NIHSS. For instance, the MR CLEAN protocol allowed patients to be randomized if age was > 18 years or NIHSS was > 2, without defined upper limits.6 Clinically, such pragmatism allows the benefit demonstrated in the endovascular trials to be generalizable to most stroke patients presenting to the ED and reduces the uncertainty of treatment benefit plaguing the clinical application of the IV-tPA trials to certain patient subgroups in the extended time window from 3 to 4.5 hours.
Limitations of the Initial Endovascular Trials with Neutral Results. The year 2013 was a discouraging one in the history of endovascular stroke treatment. Three separate randomized trials (SYNTHESIS Expansion, IMS III, MR RESCUE) were published demonstrating no benefit of endovascular therapy over the standard of care.54,55,63 There are three commonly cited reasons for why these trials failed to find improved outcomes following intra-arterial therapy: 1) earlier generation devices were used; 2) the protocols did not require the confirmation of a large vessel occlusion prior to randomization; and 3) there were delays to treatment.
In the recent endovascular trials, stent-retreiver devices were used either exclusively45-47 or in the vast majority6,44 of interventions, whereas intra-arterial thrombolytics were used scarcely, administered in less than 17% of cases.60 Stent-retrievers are expandable stents deployed at the site of the occlusion that can result in immediate restoration of blood flow by entrapping the thrombus between the stent and vessel wall, as well as eventually removing the thrombotic material through retraction of the device into a catheter. Retrievable stents represent the newest generation of intra-arterial devices for stroke care and have been associated with improved recanalization rates compared to older devices.64,65 However, given that these devices were not yet available during the initial recruitment phases of the trials, MR RESCUE did not use stent-retrievers on patients assigned to the intervention arm, and IMS III (5%) and SYNTHESIS Expansion (13%) only minimally employed this technology. The use of intra-arterial tPA and an older-generation corkscrew-shaped device, Merci, resulted in the lower recanalization rates witnessed in these trials, which ranged from 25%63 to 41%.54 In current practice, stent-retrievers, such as Solitaire and Trevo, are now FDA-approved for acute stroke therapy and are the standard of care for the revascularization of LVOs. Angiographic recanalization using these newer devices can be achieved in more than 75% of patients.60
Furthermore, the protocols for IMS III and SYNTHESIS Expansion did not require pretreatment vascular imaging to confirm an LVO prior to randomization.54,55 This methodological failure resulted in more than 20% of the patients randomized to intra-arterial therapy in IMS III being incapable of receiving the assigned intervention because no acute occlusion existed on which to intervene. This was likely more of a failure of trial design than endovascular intervention, as subsequent data suggested that a benefit of intra-arterial therapy may have been observed in the IMS III trial had only those patients with confirmed LVO been exclusively analyzed.66 All of the recent endovascular trials demonstrating the benefit of endovascular therapy required the confirmation of a proximal arterial occlusion by noninvasive angiography prior to entry into the respective studies. In clinical practice, all patients being considered for intra-arterial therapy should first have emergent CTA to clearly define the intracranial occlusion. If an acute stroke patient with suspected LVO is being treated at a hospital without capabilities for CTA or endovascular therapy, an immediate rescue transfer to a CSC is imperative if the patient is within a 6-hour treatment window.
It is well known that delays to stroke treatment result in progressively diminished benefits regarding functional outcomes, and endovascular therapy is no different. For every hour of delay to reperfusion, the absolute benefit of IAT is reduced by 6%.2 The benefit of swift intervention was built into the trial design of the recent endovascular studies. ESCAPE required that the time from CT imaging to procedure initiation be less than 1 hour, which resulted in this study boasting the fastest recanalization times (241 minutes from symptom onset to revascularization).44 In contrast, MR RESCUE had the longest delays to treatment, with the mean length from onset to groin puncture being 381 minutes.63 In clinical practice, therapy should be started as quickly as possible, as even small procedural delays (e.g., the need for general anesthesia) may worsen outcomes.67
Figure 2a. Neurovascular Imaging for an Acute Ischemic Stroke Patient Undergoing Evaluation for Endovascular Intervention |
|
|
Figure 2b. Neurovascular Imaging for an Acute Ischemic Stroke Patient Undergoing Evaluation for Endovascular Intervention |
![]() |
Recent Endovascular Trials with Positive Results. Clinical equipoise regarding endovascular stroke care remained until 2015 when five trials with positive results were published within the span of 6 months. All five studies clearly demonstrated a clinical benefit of IAT over standard medical care (including IV thrombolysis) without an increase in mortality or sICH.56,60 MR CLEAN was the first of these trials to be published and prompted an early interim analysis of the other studies.6 The subsequent analyses from EXTEND-IA,45 ESCAPE,44 SWIFT PRIME,46 and REVASCAT47 confirmed the findings of MR CLEAN, that intra-arterial therapy is safe, is technically successful when utilizing the newest stent-retriever devices, and results in substantially improved functional outcomes. The AHA/ASA has since updated its guidelines to recommend IAT as the standard of care therapeutic option for patients with demonstrated LVO and who present within 6 hours of symptom onset.7
Since MR CLEAN was the first to be published, fully completed its planned enrollment, and was designed to be the most pragmatic, it serves as the basis for comparison among the five trials. MR CLEAN was a multicenter, randomized trial of endovascular treatment for acute stroke patients with proximal arterial occlusions in the Netherlands.6 Five hundred patients were randomized to intra-arterial therapy, largely with stent-retreivers, and compared to standard medical care, in which 89% of control patients received IV thrombolysis. The study included adult patients presenting within 6 hours of onset with an NIHSS > 2 and a confirmed large vessel occlusion within the anterior circulation (intracranial ICA, proximal MCA, or anterior cerebral artery). Procedural success was relatively high compared to previous endovascular trials, with complete or near-complete recanalization being achieved in 59% of patients randomized to intervention. This was the first trial to demonstrate a benefit of endovascular therapy for acute ischemic stroke, with a 13.5% absolute increase in functional independence at 3 months and a number needed to treat of 3.4 for an improvement in disability with intervention. There were no differences observed in rates of symptomatic intracerebral hemorrhage (7.7% intervention vs. 6.4% control) or 30-day mortality (18% each arm).
Despite these powerful results, MR CLEAN patients had the lowest rates of complete or near-complete revascularization (59%) and 3-month freedom from dependence (33%) out of all the endovascular trials published in 2015. This potential underestimation of the benefit of IAT may be due to the pragmatic nature of the trial, which allowed for the inclusion of cases with more complicated vascular anatomy. For instance, nearly one-third of patients in the intervention arm had an additional extracranial ICA occlusion, 13% of whom required a secondary stenting procedure. The complexity of these cases was further illustrated in the high rates of new stroke (5.6%) and embolization (9%) which occurred as a complication of the procedure in MR CLEAN.
Although there are notable differences in study inclusion and patient selection criteria between the recent endovascular trials, they all similarly compared mechanical thrombectomy, largely with stent-retriever devices, to standard medical care, which most often included IV thrombolysis. See Table 4 for a comparison of the major inclusionary criteria, patient characteristics, and outcomes between the landmark endovascular trials. The majority of patients in these randomized trials were treated within 6 hours, but some studies permitted a small number of patients to be randomized in later time windows.44,47 To select patients with a promising mismatch between core infarct and penumbra for study inclusion, REVASCAT allowed for the use of MRI,47 ESCAPE required patients to have good collateral flow on CTA,44 and SWIFT PRIME46 and EXTEND-IA45 employed CT perfusion imaging. MR CLEAN was the only study to enroll patients based only on ASPECTS score if an LVO was confirmed on CTA.6
Table 4. Comparison of Selection Criteria, Patient Characteristics, and Outcomes Between the Major Randomized Endovascular Trials |
||||||||||||||||
|
Trial |
N |
Goal |
Imaging Criteria |
Age, meana |
NIHSS, meana |
ASPECTS, meana |
IV-tPA |
Stent-retriever |
LKN to Punctureb |
Successful |
90-day Functional Independenced |
sICH |
Mortality |
|||
|
IAT |
MED |
IAT |
MED |
IAT |
MED |
|||||||||||
|
MR CLEAN |
500 |
6 |
CT |
66 |
17 |
9 |
90% |
82% |
260 |
59% |
33% |
19% |
7.70% |
6.40% |
21% |
22% |
|
ESCAPE |
315 |
12 |
CT/CTA |
70 |
16 |
9 |
76% |
79% |
200 |
72% |
53% |
29% |
3.60% |
2.70% |
10% |
19% |
|
EXTEND-IA |
70 |
6 |
CTP |
69 |
17 |
NA |
100% |
77% |
210 |
86% |
71% |
40% |
0% |
6% |
9% |
20% |
|
SWIFT PRIME |
196 |
6 |
CT/CTP |
65 |
17 |
9 |
98% |
89% |
224 |
88% |
60% |
36% |
0% |
3% |
9% |
12% |
|
REVASCAT |
206 |
8 |
CT/MRI |
66 |
17 |
7 |
73% |
95% |
269 |
66% |
44% |
28% |
1.90% |
1.90% |
18% |
16% |
|
a For IAT arm only. No significant differences reported between control and intervention arms b Time from last known normal to groin puncture (initiation of procedure) in minutes c Patients who achieved TICI IIB/3 (complete or near-complete) revascularization d Patients who scored 0-2 on the modified Rankin Scale at 90 days IAT = intra-arterial therapy, MED = medical control arm, NIHSS = National Institutes of Health Stroke Scale, ASPECTS = Alberta Stroke Program Early CT Score; CT = computed tomography; CTA = CT angiogram; CTP = CT perfusion; MRI = magnetic resonance imaging; NA = not applicable; sICH = symptomatic intracerebral hemorrhage |
||||||||||||||||
When considering all of the trials, it is apparent that endovascular therapy can be performed efficiently (with symptom onset to revascularization times ranging from 200-269 minutes)44,47 and with technical success (with good reperfusion rates ranging from 59% to 88%).6,46 This procedural success results in lower rates of disability, with an absolute improvement in physical independence ranging from 13.5% to 31%,6,45 and a number needed to treat as low as 3.2.45 Furthermore, endovascular care is safe, with no consistent significant difference in rates of sICH or mortality, although the ESCAPE trial did report an 8.6% significant reduction in mortality with IAT.44 Multiple meta-analyses have pooled data from the recent endovascular trials and confirmed the benefit of intervention on functional independence when compared to standard medical care, with an odds ratio of 1.71.56,60 Given the strong benefit of IAT observed in these trials, mechanical thrombectomy of proximal arterial occlusions of the anterior circulation should be considered standard of care within 6 hours of symptom onset.7
Endovascular Revascularization of the Posterior Circulation
Acute basilar artery occlusion is frequently associated with poor prognosis in terms of disability and mortality.68 Despite a typically devastating natural history, little is known about the most effective therapeutic approach for basilar occlusion through randomized data.69 This is likely due to the rarity of the disease, which accounts for as little as 1% of ischemic strokes.70
Similar to acute stroke therapy in the anterior circulation, the goal of intervention in patients with vertebrobasilar occlusions is to increase the rate of recanalization, which has been linked to improved outcomes.71 Pooled analyses of nonrandomized data have shown that recanalization of an acute basilar occlusion results in a lower risk of death or dependency, with a number needed to treat of 3.72 This finding was present regardless of whether the patient was treated before or after 12 hours of symptom onset. Due to the poor prognosis expected without recanalization, patients with basilar occlusion are often considered for IAT in extended time windows outside of those deemed acceptable for treatment of the anterior circulation. Although the guidelines for tPA administration in patients with basilar artery occlusion still limit IV therapy to 4.5 hours of stroke onset,26 thrombectomy of the basilar artery has been performed successfully as much as 24 hours following onset of symptoms.73 Nevertheless, outcomes are independently associated with time to treatment, and swift initiation of IAT for eligible patients is necessary to ensure the best treatment effect.74 Particularly of note, all of the recent endovascular trials did not include any patients with vertebrobasilar occlusions. More research into the intra-arterial treatment of these patients is therefore necessary, as potential benefit has been highly suggested by nonrandomized and anecdotal experience.
Summary and Conclusions
Acute stroke therapy requires efficient and streamlined care to deliver early treatment to patients and maximize outcomes. With each passing hour, ischemic tissue is further damaged and the risk of permanent physical dependence rises. The current time windows for effective treatment have been defined as 4.5 hours for IV thrombolysis and 6 hours for IAT in eligible patients with LVO of the anterior circulation.7,26 The optimal time window for endovascular therapy in patients with basilar artery occlusion remains uncertain because of a lack of randomized data. Nevertheless, it is suggested that these patients may be treated 12 or more hours after symptom onset due to the poor prognosis associated with untreated basilar occlusions.72 The use of advanced neuroimaging may be able to select patients for endovascular intervention outside of conventional time windows if a large area of salvageable brain tissue can be demonstrated; however, such practice is still experimental and the subject of multiple ongoing clinical trials.
The ultimate goal of stroke therapy is to recanalize the affected vessel, as higher rates of successful revascularization are linked to improvements in disability, whether the treatment is through IV thrombolysis or IAT. Although IV-tPA remains the mainstay of therapy for acute ischemic stroke, there are still many patients with LVOs and resultant severe stroke syndromes who are refractory to IV thrombolysis. Clot extraction using stent-retriever devices is now the standard of care to treat such patients, and offers highly effective therapy in terms of improving disability from stroke. If a patient with a suspected acute LVO is being treated in a hospital without endovascular capabilities, an immediate transfer should occur to transport the patient to a CSC for further evaluation. In these cases, IV-tPA should be used as a bridging therapy for those patients subsequently planned for IAT, as long as no exclusionary criteria to fibrinolysis are present.
The profoundly positive results from the five endovascular trials published in 2015 mark an extremely encouraging year in the history of stroke care. Future work needs to be continued to further narrow times to treatment, increase revascularization rates, and expand the proportion of patients who are candidates for therapy.
REFERENCES
- Saver JL. Time is brain—quantified. Stroke 2006;37:263-266.
- Fransen PS, Berkhemer OA, Lingsma HF, et al. Time to reperfusion and treatment effect for acute ischemic stroke: A randomized clinical trial. JAMA Neurol 2016;73:190-196.
- Emberson J, Lees KR, Lyden P, et al. Effect of treatment delay, age, and stroke severity on the effects of intravenous thrombolysis with alteplase for acute ischaemic stroke: A meta-analysis of individual patient data from randomised trials. Lancet 2014;384:1929-1935.
- Tong D, Reeves MJ, Hernandez AF, et al. Times from symptom onset to hospital arrival in the Get with the Guidelines—Stroke Program 2002 to 2009: Temporal trends and implications. Stroke 2012;43:1912-1917.
- Tissue plasminogen activator for acute ischemic stroke. The National Institute of Neurological Disorders and Stroke rt-PA Stroke Study Group. N Engl J Med 1995;333:1581-1587.
- Berkhemer OA, Fransen PS, Beumer D, et al. A randomized trial of intraarterial treatment for acute ischemic stroke. N Engl J Med 2015;372:11-20.
- Powers WJ, Derdeyn CP, Biller J, et al. 2015 American Heart Association/American Stroke Association Focused Update of the 2013 Guidelines for the Early Management of Patients With Acute Ischemic Stroke Regarding Endovascular Treatment: A Guideline for Healthcare Professionals from the American Heart Association/American Stroke Association. Stroke 2015;46:3020-3035.
- Fransen PS, Berkhemer OA, Lingsma HF, et al. Time to reperfusion and treatment effect for acute ischemic stroke: A randomized clinical trial. JAMA Neurol 2015:1-7.
- Evenson KR, Foraker RE, Morris DL, Rosamond WD. A comprehensive review of prehospital and in-hospital delay times in acute stroke care. Int J Stroke 2009;4:187-199.
- Mellon L, Doyle F, Williams D, et al. Patient behaviour at the time of stroke onset: A cross-sectional survey of patient response to stroke symptoms. Emerg Med J 2016; Jan. 18 doi: 10.1136/emermed-2015-204806. [Epub ahead of print].
- Hurwitz AS, Brice JH, Overby BA, Evenson KR. Directed use of the Cincinnati Prehospital Stroke Scale by laypersons. Prehosp Emerg Care 2005;9:292-296.
- Wolters FJ, Paul NL, Li L, et al. Sustained impact of UK FAST-test public education on response to stroke: A population-based time-series study. Int J Stroke 2015;10:1108-1114.
- Mackey J, Kleindorfer D, Sucharew H, et al. Population-based study of wake-up strokes. Neurology 2011;76:1662-1667.
- Marler JR, Price TR, Clark GL, et al. Morning increase in onset of ischemic stroke. Stroke 1989;20:473-476.
- Huisa BN, Liebeskind DS, Raman R, et al. Diffusion-weighted imaging-fluid attenuated inversion recovery mismatch in nocturnal stroke patients with unknown time of onset. J Stroke Cerebrovasc Dis 2013;22:972-977.
- Silva GS, Lima FO, Camargo EC, et al. Wake-up stroke: Clinical and neuroimaging characteristics. Cerebrovasc Dis 2010;29:336-342.
- Thomalla G, Fiebach JB, Østergaard L, et al. A multicenter, randomized, double-blind, placebo-controlled trial to test efficacy and safety of magnetic resonance imaging-based thrombolysis in wake-up stroke (WAKE-UP). Int J Stroke 2014;9:829-836.
- Parsons M, Spratt N, Bivard A, et al. A randomized trial of tenecteplase versus alteplase for acute ischemic stroke. N Engl J Med 2012;366:1099-1107.
- Ebinger M, Winter B, Wendt M, et al. Effect of the use of ambulance-based thrombolysis on time to thrombolysis in acute ischemic stroke: A randomized clinical trial. JAMA 2014;311:1622-1631.
- Itrat A, Taqui A, Cerejo R, et al. Telemedicine in prehospital stroke evaluation and thrombolysis: Taking stroke treatment to the doorstep. JAMA Neurol 2016:73:162-168.
- Amadi-Obi A, Gilligan P, Owens N, O’Donnell C. Telemedicine in pre-hospital care: A review of telemedicine applications in the pre-hospital environment. Int J Emerg Med 2014;7:29.
- Casolla B, Bodenant M, Girot M, et al. Intra-hospital delays in stroke patients treated with rt-PA: Impact of preadmission notification. J Neurol 2013;260: 635-639.
- Daubail B, Ricolfi F, Thouant P, et al. Impact of mechanical thrombectomy on the organization of the management of acute ischemic stroke. Eur Neurol 2016;75:41-47.
- Goyal M, Yu AY, Menon BK, et al. Endovascular therapy in acute ischemic stroke: Challenges and transition from trials to bedside. Stroke 2016;47:548-553.
- Iihara K, Nishimura K, Kada A, et al. Effects of comprehensive stroke care capabilities on in-hospital mortality of patients with ischemic and hemorrhagic stroke: J-ASPECT study. PLoS One 2014;9:e96819.
- Jauch EC, Saver JL, Adams HP, et al. Guidelines for the early management of patients with acute ischemic stroke: A guideline for healthcare professionals from the American Heart Association/American Stroke Association. Stroke 2013;44:870-947.
- Sandercock P, Wardlaw JM, Lindley RI, et al. The benefits and harms of intravenous thrombolysis with recombinant tissue plasminogen activator within 6 h of acute ischaemic stroke (the third international stroke trial [IST-3]): A randomised controlled trial. Lancet 2012;379:2352-2363.
- Wardlaw JM, Murray V, Berge E, et al. Recombinant tissue plasminogen activator for acute ischaemic stroke: An updated systematic review and meta-analysis. Lancet 2012;379:2364-2372.
- Demaerschalk BM, Kleindorfer DO, Adeoye OM, et al. Scientific rationale for the inclusion and exclusion criteria for intravenous alteplase in acute ischemic stroke: A statement for healthcare professionals from the American Heart Association/American Stroke Association. Stroke 2016;47:581-641.
- Mazya MV, Lees KR, Collas D, et al. IV thrombolysis in very severe and severe ischemic stroke: Results from the SITS-ISTR Registry. Neurology 2015;85:2098-2106.
- Mishra NK, Ahmed N, Andersen G, et al. Thrombolysis in very elderly people: Controlled comparison of SITS International Stroke Thrombolysis Registry and Virtual International Stroke Trials Archive. BMJ 2010;341:c6046.
- Fonarow GC, Smith EE, Saver JL, et al. Timeliness of tissue-type plasminogen activator therapy in acute ischemic stroke: Patient characteristics, hospital factors, and outcomes associated with door-to-needle times within 60 minutes. Circulation 2011;123:750-758.
- Schwamm LH, Ali SF, Reeves MJ, et al. Temporal trends in patient characteristics and treatment with intravenous thrombolysis among acute ischemic stroke patients at Get with the Guidelines-Stroke Hospitals. Circ Cardiovasc Qual Outcomes 2013;6:543-549.
- Fonarow GC, Zhao X, Smith EE, et al. Door-to-needle times for tissue plasminogen activator administration and clinical outcomes in acute ischemic stroke before and after a quality improvement initiative. JAMA 2014;311:1632-1640.
- Xian Y, Smith EE, Zhao X, et al. Strategies used by hospitals to improve speed of tissue-type plasminogen activator treatment in acute ischemic stroke. Stroke 2014;45:1387-1395.
- Hargis M, Shah JN, Mazabob J, et al. Barriers to administering intravenous tissue plasminogen activator (tPA) for acute ischemic stroke in the emergency department: A cross-sectional survey of stroke centers. Clin Neurol Neurosurg 2015;135:79-84.
- Rost NS, Masrur S, Pervez MA, et al. Unsuspected coagulopathy rarely prevents IV thrombolysis in acute ischemic stroke. Neurology 2009;73:1957-1962.
- Walter S, Kostopoulos P, Haass A, et al. Point-of-care laboratory halves door-to-therapy-decision time in acute stroke. Ann Neurol 2011;69:581-586.
- Leonardi-Bee J, Bath PM, Phillips SJ, et al. Blood pressure and clinical outcomes in the International Stroke Trial. Stroke 2002;33:1315-1320.
- Goldstein LB, Bertels C, Davis JN. Interrater reliability of the NIH stroke scale. Arch Neurol 1989;46:660-662.
- Smith WS, Lev MH, English JD, et al. Significance of large vessel intracranial occlusion causing acute ischemic stroke and TIA. Stroke 2009;40:3834-3840.
- Zhu W, Churilov L, Campbell BC, et al. Does large vessel occlusion affect clinical outcome in stroke with mild neurologic deficits after intravenous thrombolysis? J Stroke Cerebrovasc Dis 2014;23:2888-2893.
- Bhatia R, Hill MD, Shobha N, et al. Low rates of acute recanalization with intravenous recombinant tissue plasminogen activator in ischemic stroke: Real-world experience and a call for action. Stroke 2010;41:2254-2258.
- Goyal M, Demchuk AM, Menon BK, et al. Randomized assessment of rapid endovascular treatment of ischemic stroke. N Engl J Med 2015;372:1019-1030.
- Campbell BC, Mitchell PJ, Kleinig TJ, et al. Endovascular therapy for ischemic stroke with perfusion-imaging selection. N Engl J Med 2015;372:1009-1018.
- Saver JL, Goyal M, Bonafe A, et al. Stent-retriever thrombectomy after intravenous t-PA vs. t-PA alone in stroke. N Engl J Med 2015;372:2285-2295.
- Jovin TG, Chamorro A, Cobo E, et al. Thrombectomy within 8 hours after symptom onset in ischemic stroke. N Engl J Med 2015;372:2296-2306.
- Khatri P, Tayama D, Cohen G, et al. Effect of intravenous recombinant tissue-type plasminogen activator in patients with mild stroke in the third International Stroke Trial-3: Post Hoc Analysis. Stroke 2015;46:2325-2327.
- Hansen CK, Christensen A, Ovesen C, et al. Stroke severity and incidence of acute large vessel occlusions in patients with hyper-acute cerebral ischemia: Results from a prospective cohort study based on CT-angiography (CTA). Int J Stroke 2015;10:336-342.
- Teleb MS, Ver Hage A, Carter J, et al. Stroke vision, aphasia, neglect (VAN) assessment — a novel emergent large vessel occlusion screening tool: Pilot study and comparison with current clinical severity indices. J Neurointerv Surg 2016; Feb. 17. doi: 10.1136/neurintsurg-2015-012131. [Epub ahead of print].
- Klinger-Gratz PP, Schroth G, Gralla J, et al. Protected stent retriever thrombectomy prevents iatrogenic emboli in new vascular territories. Neuroradiology 2015;57:1045-1054.
- Sun CH, Connelly K, Nogueira RG, et al. ASPECTS decay during inter-facility transfer predicts patient outcomes in endovascular reperfusion for ischemic stroke: A unique assessment of dynamic physiologic change over time. J Neurointerv Surg 2015;7:22-26.
- Guedin P, Larcher A, Decroix JP, et al. Prior IV thrombolysis facilitates mechanical thrombectomy in acute ischemic stroke. J Stroke Cerebrovasc Dis 2015;24:952-957.
- Broderick JP, Palesch YY, Demchuk AM, et al. Endovascular therapy after intravenous t-PA versus t-PA alone for stroke. N Engl J Med 2013;368:893-903.
- Ciccone A, Valvassori L, Nichelatti M, et al. Endovascular treatment for acute ischemic stroke. N Engl J Med 2013;368:904-913.
- Chen CJ, Ding D, Starke RM, et al. Endovascular vs medical management of acute ischemic stroke. Neurology 2015;85:1980-1990.
- Berkhemer OA, Jansen IG, Beumer D, et al. Collateral status on baseline computed tomographic angiography and intra-arterial treatment effect in patients with proximal anterior circulation stroke. Stroke 2016;47:768-776.
- Lansberg MG, Straka M, Kemp S, et al. MRI profile and response to endovascular reperfusion after stroke (DEFUSE 2): A prospective cohort study. Lancet Neurol 2012;11:860-867.
- Pexman JH, Barber PA, Hill MD, et al. Use of the Alberta Stroke Program Early CT Score (ASPECTS) for assessing CT scans in patients with acute stroke. AJNR Am J Neuroradiol 2001;22:1534-1542.
- Badhiwala JH, Nassiri F, Alhazzani W, et al. Endovascular thrombectomy for acute ischemic stroke: A meta-analysis. JAMA 2015;314:1832-1843.
- Sheth SA, Jahan R, Gralla J, et al. Time to endovascular reperfusion and degree of disability in acute stroke. Ann Neurol 2015;78:584-593.
- Rha JH, Saver JL. The impact of recanalization on ischemic stroke outcome: A meta-analysis. Stroke 2007;38:967-973.
- Kidwell CS, Jahan R, Gornbein J, et al. A trial of imaging selection and endovascular treatment for ischemic stroke. N Engl J Med 2013;368:914-923.
- Saver JL, Jahan R, Levy EI, et al. Solitaire flow restoration device versus the Merci Retriever in patients with acute ischaemic stroke (SWIFT): A randomised, parallel-group, non-inferiority trial. Lancet 2012;380:1241-1249.
- Nogueira RG, Lutsep HL, Gupta R, et al. Trevo versus Merci retrievers for thrombectomy revascularisation of large vessel occlusions in acute ischaemic stroke (TREVO 2): A randomised trial. Lancet 2012;380:1231-1240.
- Fargen KM, Neal D, Fiorella DJ, et al. A meta-analysis of prospective randomized controlled trials evaluating endovascular therapies for acute ischemic stroke. J Neurointerv Surg 2015;7:84-89.
- van den Berg LA, Koelman DL, Berkhemer OA, et al. Type of anesthesia and differences in clinical outcome after intra-arterial treatment for ischemic stroke. Stroke 2015;46:1257-1262.
- Schonewille WJ, Algra A, Serena J, et al. Outcome in patients with basilar artery occlusion treated conventionally. J Neurol Neurosurg Psychiatry 2005;76:1238-1241.
- Macleod MR, Davis SM, Mitchell PJ, et al. Results of a multicentre, randomised controlled trial of intra-arterial urokinase in the treatment of acute posterior circulation ischaemic stroke. Cerebrovasc Dis 2005;20:12-17.
- Israeli-korn SD, Schwammenthal Y, Yonash-Kimchi T, et al. Ischemic stroke due to acute basilar artery occlusion: Proportion and outcomes. Isr Med Assoc J 2010;12:671-675.
- Lutsep HL, Rymer MM, Nesbit GM. Vertebrobasilar revascularization rates and outcomes in the MERCI and multi-MERCI trials. J Stroke Cerebrovasc Dis 2008;17:55-57.
- Kumar G, Shahripour RB, Alexandrov AV. Recanalization of acute basilar artery occlusion improves outcomes: A meta-analysis. J Neurointerv Surg 2015;7:868-874.
- Mordasini P, Brekenfeld C, Byrne JV, et al. Technical feasibility and application of mechanical thrombectomy with the Solitaire FR Revascularization Device in acute basilar artery occlusion. AJNR Am J Neuroradiol 2013;34:159-163.
- Dorňák T, Herzig R, Kuliha M, et al. Endovascular treatment of acute basilar artery occlusion: time to treatment is crucial. Clin Radiol 2015;70:e20-27.
Time is brain. Neural tissue’s exquisite sensitivity to ischemia indicates the emergency nature of acute stroke care. The faster that definitive stroke treatment is administered following the onset of ischemia, the better the outcomes.
You have reached your article limit for the month. Subscribe now to access this article plus other member-only content.
- Award-winning Medical Content
- Latest Advances & Development in Medicine
- Unbiased Content
Already have an account? Log in

