Authors:
Kathleen M. Cowling, DO, MS, Clinical Professor, Michigan State University, College of Human Medicine, Covenant HealthCare.
Kristy M. Smith, MD, Chief Resident, Ultrasound, Department of Emergency Medicine, Synergy Medical Education Alliance, Saginaw, MI.
Peer Reviewer:
Jonathan Glauser, MD, Faculty, MetroHealth Medical Center Residency, Emergency Medicine, Associate Professor, Emergency Medicine, Case Western Reserve University, Cleveland, OH.
Just a wrist sprain? After reading this issue, you may want to look at that X-ray again.
J. Stephan Stapczynski, MD, Editor
Introduction
The diverse and complicated functioning of the human wrist provides a unique and complex challenge for the emergency physician. Evaluation of wrist injuries requires a knowledge of structural as well as functional anatomy. The high incidence and potential for significant morbidity seen with even minimal wrist injuries attests to their the importance for the emergency physician. Wrist injuries often require appropriate hand surgery referral. Referral patterns for definitive management of these injuries will vary by type of practice and geographic locations. Emergency physicians should be aware of the referral practices in their respective institutions, whether it be to orthopedic surgery or plastic surgery.
The purpose of this article is to address conditions of the wrist that require immediate intervention. Possible pitfalls and performance of the physical examination and utilization of imaging modalities at the disposal of emergency physicians will be covered. Injuries to the wrist vary, from fractures, fracturedislocations, and ligamentous injury, to injuries associated with neurovascular compromise. This article will discuss the significance, early evaluation and management of carpal fractures, carpal instability, distal radial fractures, and distal radio-ulnar joint disruptions. (See Figure 1.)
Figure 1: Bones of the Wrist

Source: www.daviddarling.info.
Carpal Fractures
Scaphoid Fractures. The scaphoid is the most commonly fractured of the carpal bones, accounting for approximately 62-87% of all carpal fractures.1,2 These types of fractures typically occur in young adults, from 15 to 30 years of age, frequently secondary to athletic participation. Typically, fractures through the waist of the scaphoid bone account for 70-80% of all scaphoid fractures.1
Injuries to the scaphoid most commonly occur with the wrist in some degree of hyperextension, often from a fall on an outstretched hand or FOOSH injury. In injuries such as this, there is an axial load on the hand that often is followed by rotation forces with some degree of ulnar deviation.3 These transmitted forces can cause failure at the scaphoid waist, the point of greatest stress. Only approximately 3% of scaphoid fractures occur with a flexion mechanism.4 Other possible mechanisms include compression or avulsion of the tuberosity and avulsion of the proximal pole of the scapholunate ligament.5
The typical presentation consists of swelling and pain over the wrist following the traumatic event. Patients often complain of pain over the wrist just distal to the radial styloid.1 This pain often is associated with limitation in range of motion of the affected thumb and/or wrist and often with reduced grip strength.
The physical examination and diagnosis of scaphoid fractures are important, as many of these injuries are missed on initial radiograph imaging. The physician should palpate the wrist to determine the exact location of tenderness. The waist of the scaphoid is the most commonly injured portion of the bone, and the anatomical snuffbox is the area in which the scaphoid waist can be most directly palpated.
The anatomical snuffbox is bounded by the palmar border, which is created by the tendons of the abductor pollicis longus (APL), the extensor pollicis brevis (EPB), and the dorsal border, which is comprised of the tendons of the extensor carpi radialis longus (ECRL), extensor carpi radialis brevis (ECRB), and extensor pollicis longus (EPL). Between these tendons, the snuffbox extends between the distal radius and the base of the first and second metacarpals.6 Tenderness on palpation in the anatomical snuffbox has been reported to have a high sensitivity for scaphoid fracture (90%), but low specificity (40%).7 Other portions of the scaphoid, which are statistically less likely to be fractured, should be examined as well. Palpation of the distal pole of the scaphoid can be achieved by radial deviation of the wrist with pressure applied at the scaphoid tubercle. It has been reported that tenderness elicited in this position has a sensitivity of 87%, with a specificity of 57% for scaphoid fracture.7
Following palpation, range of motion of the injured wrist should as assessed. Patients with scaphoid fractures often have pain elicited with extremes of wrist range of motion.8 Patients with scaphoid fractures often exhibit range-of-motion deficits in nearly all directions of movement; however, pain is most often elicited with flexion and radial deviation of the wrist. Other physical examination methods used for detection of scaphoid fractures include the scaphoid compression test. This maneuver is achieved by holding the patient's injured wrist, then applying an axial load along the first metacarpal. The physical examination should include an assessment of radial pulses and examination for sensory nerve injury.
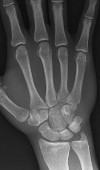
Figure 2: Normal Wrist PA Radiograph

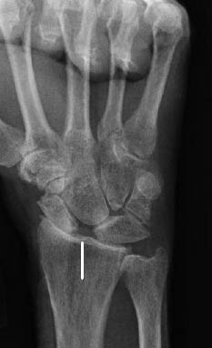
Plain radiographic imaging should be the initial diagnostic study in patients with wrist injuries. The views obtained may include postero-anterior (see Figure 2) and lateral views, along with radial and ulnar oblique views. A scaphoid view is often obtained in cases with clinical suspicion for scaphoid fracture, which is a postero-anterior view with the wrist in ulnar deviation. (See Figure 3.) Despite multiple plain radiographic images, up to 14% of scaphoid fractures are not detected on radiographs taken soon after the injury.1,4,5 Retrospective studies suggest that 10-33% of patients with a proven fractured scaphoid had negative initial radiographs.9
Figure 3: Scaphoid Fracture

Individuals who present with suspected scaphoid fractures with negative plain radiographs should be placed in a thumb spica splint and referred to an appropriate specialist for follow-up and possible repeat radiographic imaging. While this approach is acceptable, a large portion of these patients do not have scaphoid fractures and are placed in thumb immobilization unnecessarily.2,5 Unnecessary immobilization can lead to absenteeism at work and lost wages.
With advancements in imaging modalities, there is some debate about whether advanced imaging should be obtained in cases in which a scaphoid fracture is suspected clinically but there is no plain radiographic evidence of fracture. Studies have shown that the specificity and sensitivity of computed tomography (CT) scans are approximately 89-97%, with a high negative predictive value of 96.8-99%, which makes CT extremely useful for ruling out fracture.3,9,10 Other imaging modalities include MRI, which has shown sensitivity of 95-100% and specificity approaching 100%;11 however, its limited availability, longer examination time compared to CT, and higher patient charges are an issue for many providers and patients alike. Many would advocate for increasing the use of the MRI in wrist injuries as a way of identifying alternative pathology as a cause of the patient's wrist pain. Also of consideration is a bone scan, which has shown high sensitivity but low specificity for scaphoid fractures and is currently of limited value to the emergency physician.
The initial treatment of an uncomplicated nondisplaced scaphoid fracture is immobilization in a short-arm thumb spica splint with referral to a hand specialist.12 There is some debate regarding short-arm vs. long-arm immobilization, which can prevent supination and pronation of the arm, so one should query the referral specialists regarding their preference for immobilization.
It is very important when initially talking to patients in the emergency department (ED) about these injuries to be clear that there is a potential for a long healing time. This variation is due to the blood flow pattern to the scaphoid. The scaphoid receives its blood supply from branches of the radial artery, where 80% of the blood supply enters at the scaphoid waist, the most commonly fractured portion of the scaphoid. The proximal portion of the scaphoid receives its blood supply in retrograde fashion via a single intra-osseous vessel.5 This pattern of blood flow explains why the less common fractures to the proximal pole of the scaphoid account for the high rates of avascular necrosis seen in 13-40% of cases.11,13 Nonunion of scaphoid fractures is generally seen with proximal scaphoid fractures, reported in 5-12% of individuals with scaphoid fractures.1
Prompt referral should be obtained in cases of displaced or comminuted scaphoid fractures with greater than 1 mm of displacement, or if the fracture of the scaphoid is oblique, suggesting carpal instability.6,12 Patients presenting with these types of scaphoid fractures should be given appropriate analgesic medications and be placed in a long-arm thumb spica splint with prompt referral for possible definitive surgical intervention.
Hamate Fractures. While hamate fractures only account for approximately 2% of all carpal bone fractures, if missed they can result in serious disability and complications such as tendon rupture, nonunion, and ulnar nerve injury.1,13 Fractures involving the hook of the hamate are more common than fractures of the body of the hamate and can have a significantly higher rate of complications. These injuries commonly result from a fall on an outstretched hand as well as from sports that involve the use of a racket, bat, or club. The base of the racket, club, or bat can impact the body of the hamate, causing the fracture. Other mechanisms of injury include the use of heavy handheld machinery that may place constant pressure on the ulnar aspect of the hand.3 Typically these patients present with pain on the ulnar side of the wrist as well as paresthesias in the ulnar nerve distribution. Pain can be elicited in these patients by asking them to grasp an object with the affected hand.14 This maneuver often produces pain traversing the ulnar aspect of the hand.
Standard PA and lateral radiographs of the wrist should be obtained. Particular views that can be helpful in evaluation of the hamate include a carpal tunnel view and/or a reverse oblique view.1,3 Sensitivity of plain radiographs in detection of hamate fractures has been reported to be as low as 40% and as high as 70%.1,3 Additional diagnostic imaging such as CT scan of the wrist, which has been found to have nearly a 100% sensitivity for hamate fractures,1 should be considered when conventional radiographs are equivocal. Careful examination of the flexor and extensor tendons should be conducted, as tendon rupture may occur with a hook of the hamate fracture.15
The initial treatment of hamate fractures includes appropriate analgesic medications and immobilization with a well-padded short-arm splint. Patients who display no evidence of neurovascular compromise can be evaluated by the referral specialist on an outpatient basis.
Lunate Fractures. Lunate injuries, while rare, account for approximately 1.4-3% of all carpal fractures and present particular diagnostic challenges for the emergency physician.1,3 Injuries to the lunate have the potential to cause significant morbidity because of the possibility for development of avascular necrosis, nonunion, and associated injuries of other wrist structures in more than half of all cases. A condition that may mimic lunate fractures is Keinbock disease, which is avascular necrosis of the lunate.5 Risk factors for Keinbock disease include trauma, acute or occult fracture, stress or repetitive injury, and variations in the blood supply to the lunate or geometric relations between the lunate and distal radius.13 This condition occurs generally in the young adult population and may be seen in the setting of an acute lunate fracture.
The mechanism of injury of lunate fractures is generally a FOOSH or some injury with a component of dorsiflexion at the wrist with an axial compression from the head of the capitate driven into the lunate.4,5 Patients present with wrist pain and swelling, generally over the dorsum of the wrist, as well as reduced grip strength.
The physical examination shows pain elicited with axial loading of the long finger of the involved hand, as well as pain on palpation over the dorsum of the wrist just distal to Lister's tubercle. A careful examination of the entire wrist should be performed, as lunate injuries are often found in conjunction with other injuries to the carpals, metacarpals, and radius. Plain radiographic examination can be difficult, given the anatomic position of the lunate and multiple overlying structures. Radiographic findings of lunate fractures include fragmentation or collapse of the lunate.13 If the plain radiographs are normal, patients in whom there is a clinical suspicion for lunate fracture should be immobilized in a short-arm splint until further imaging modalities, such as CT or MRI of the wrist, can be done. These patients should follow-up with a hand specialist in 1-2 weeks.1
Trapezium Fractures. Trapezium fractures are uncommon, accounting for 1-5% of carpal bone fractures. There are two main types of trapezium fractures. More commonly, the body of the trapezium is fractured, which usually is a result of a direct force to an adducted thumb. The less common type is a fracture of the trapezial ridge, which occurs from rotation of the wrist with a large amount of force with a component of radial deviation.
Patients with these injuries complain of pain with repetitive movement of the thumb as well as on direct palpation of the trapezium, which lies distal to the scaphoid in the anatomical snuffbox.1 Radiographic imaging with posteroanterior, lateral, and carpal tunnel views should be obtained.16-18 Often this injury is best evaluated with a 20-degree pronated oblique view.12
Initial treatment of a nondisplaced trapezial fracture should be analgesic medications and placement in a short-arm thumb spica splint with follow-up. Displaced fractures with greater than 1-2 mm of diastasis require surgical intervention.12
Trapezoid Fractures. Fractures of the trapezoid are the rarest of carpal fractures, representing less than 1.3% of all carpal bone fractures.1 The trapezoid is rarely fractured, as it sits in a well-protected area. When fractures do occur, they are often a result of high-energy injuries due to an axial load injury on a flexed second metacarpal.1,3 Injuries to the trapezoid can be an isolated fracture or a fracture-dislocation as a result of the high-energy trauma.1
Patients present with swelling and pain at the base of the second metacarpal. On palpation, tenderness is appreciated over the dorsum at the base of the second metacarpal, along with pain on passive movement of the second metacarpal.
Radiographic examination is with standard PA and lateral views. The lateral view is often where visualization of trapezoid fractures or fracture-dislocation is easiest. There is loss of the normal joint space between the distal scaphoid, trapezium, and trapezoid.3 Complications of untreated trapezoid fractures include avascular necrosis; thus, careful examination of plain radiographs and possible CT scan of the wrist to diagnose this fracture may be necessary. Nondisplaced trapezoid fractures should be placed in a thumb spica splint with referral for follow-up. If a fracture-dislocation of the trapezoid is observed, then prompt referral to the appropriate hand specialist is necessary for reduction and possible surgical fixation.1
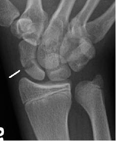
Triquetral Fractures. The triquetral bone is the second most commonly fractured carpal bone after the scaphoid bone, accounting for approximately 18% of carpal bone fractures.3,5 Two types of fracture are predominantly seen: the chip fracture of the dorsal ridge and the triquetral body fracture.5 Injuries to the triquetrum usually involve a twisting or rotation of the wrist, a fall onto a wrist in extension with ulnar deviation, some type of direct impact to the ulnar styloid, or a direct strike to the dorsum of the wrist.19 Injuries to the triquetrum are often seen in skaters.1
Figure 4: Triquetral Fracture

Patients with injury to the triquetrum report pain with wrist flexion and extension, along with swelling of the dorsum of the wrist.20 Patients may have localization of the pain over the dorsum of the wrist distal to the ulnar styloid. Triquetral fractures are best visualized on oblique and lateral wrist radiographs. (See Figure 4.) Patients with dorsal ridge chip fractures should be placed in a short-arm, well-padded ulnar gutter splint. Patients with triquetral body fractures that have greater than 1 mm of displacement are associated with perilunate and or lunate dislocations. Injuries of this nature should have immediate referral because they may require operative intervention.12
Pisiform Fractures. The pisiform is unique among the carpal bones in that it is a sesamoid bone that lies within the flexor carpi ulnaris tendon. Isolated pisiform fractures are rare and account for only about 1% of all carpal bone fractures.5,19,20 Most injuries to the pisiform are associated with other carpal bone injuries. Fractures to the pisiform can occur from a fall on an outstretched hand, the recoil of a handgun while it fires, racquet sports, or a direct blow to the hypothenar eminence.1,21,22
Patients often complain of ulnar-sided wrist pain that is exacerbated with flexion of the wrist. On clinical examination, palpation of the ulnar portion of the volar wrist crease will often produce tenderness. Careful examinations of the ulnar nerve and ulnar artery are necessary in suspected injuries to the pisiform, as the pisiform is the ulnar wall of Guyon's canal. Fractures of the pisiform are often difficult to visualize on standard PA and lateral radiographs of the wrist.
Patients with no evidence of neurovascular compromise may be placed in a short-arm splint with 30 degrees of flexion and ulnar deviation, with follow-up. Flexion and ulnar deviation of the wrist when splinting will aid in relaxation of the flexor carpi ulnaris.12 If evidence of ulnar nerve palsy or vascular compromise is present, these patients require immediate consultation with a hand specialist for possible surgical decompression.1
Capitate Fractures. Fractures of the capitate account for 1-2% of all carpal bone fractures.20 The capitate is the largest of the carpal bones and lies within the middle of the distal carpal row. Its size, coupled with its protected location, make an isolated fracture of the capitate rare; if an isolated fracture does occur, it is generally nondisplaced.19 Fractures of the capitate are seen commonly in conjunction with a perilunate dislocation; capitate fractures occurred four times more frequently as a part of a perilunate fracture dislocation than as an isolated fracture.23 Waist fractures of the capitate may result in avascular necrosis (AVN) because the blood supply to the capitate enters via its distal pole. Given the risk of AVN and a more than 50% association with concomitant ligamentous and other bony injuries, capitate fractures are potentially disabling.19
Injury of the capitate often occurs from a FOOSH or a direct forceful blow to the dorsum of the hand.3 Patients complain of pain and swelling over the dorsal aspect of the wrist. Palpation of the medial aspect of the wrist often elicits tenderness.
Standard PA and lateral radiographs should be obtained.1,3 Careful evaluation of the radiographs is necessary, as these injuries frequently are associated with fracture dislocation and, if missed, may result in avascular necrosis, malunion, and nonunion. Patients with nondisplaced capitate fractures and no evidence of fracture dislocation can be placed in a short-arm splint with close follow-up by a hand specialist. If there is evidence of a capitate fracture with associated displacement or in conjunction with a fracture dislocation, immediate hand surgery consultation should occur in the ED, as these injuries require surgical fixation.
Carpal Instability
Scapholunate Dissociation. The scapholunate ligament is the most commonly injured ligament of the wrist.12 Instability at the scapholunate joint is the most commonly seen form of carpal instability.20 Injuries to the scapholunate ligament are often a result of a FOOSH or direct impact of force to the thenar eminence. The pattern of injury is dependent on the three-dimensional loading, the magnitude and duration of the forces involved, the position of the hand at the time of impact, and the biomechanical properties of the bones and ligaments.24 Disruption of the scapholunate ligament is often seen in conjunction with scaphoid waist fractures.
Patients initially complain of pain and swelling over the radial aspect of the wrist. A portion of patients may report a clicking type sensation of the wrist with repeated wrist movements.
The physical examination may reveal tenderness elicited on palpation of the dorsum of the wrist distal to Lister's tubercle. Also, pressure applied to the scaphoid may produce pain.
In scapholunate dissociation, PA radiographs demonstrate a greater than 3 mm widening of the scapholunate space. This particular finding is sometimes referred to by the eponym the "Terry Thomas sign."25,26 Often this can be seen more clearly if a clenched fist or grip compression view is obtained, in which an anterior-posterior view is obtained with a clenched fist in ulnar deviation. A cortical ring sign may also be present on the PA radiographic in the case of scapholunate dissociation. This occurs because of the increasing palmar tilt of the scaphoid that results from the ligamentous disruption, which makes the scaphoid appear shorter.12
These patients require immediate hand specialist referral if the injury accompanies a perilunate dislocation. These injuries may result in median nerve injury and chronic instability of the carpal bones, which has been associated with degenerative arthritis and may produce significant morbidity. Isolated scapholunate dissociations should be placed in a well-padded radial gutter splint with arrangement for close follow-up by a hand specialist.
Perilunate Dislocations
Out of all wrist injuries, few carry the possibility for morbidity as much as perilunate dislocations. While rare in occurrence, this injury demands immediate attention. Perilunate dislocations can be missed at initial presentation up to 25% of the time. If these injuries have a significant delay in treatment or are never treated, they have the potential for severe impact on the livelihood of patients.1 Perilunate dislocations tend to happen in a younger population and may lead to development of radio-carpal arthritis, carpal instability, or median nerve damage.27 The exact incidence of perilunate injuries is unknown, but it is estimated that they account for 10% of all carpal injuries.12 Up to 10% of these injuries are open and require operative repair.28
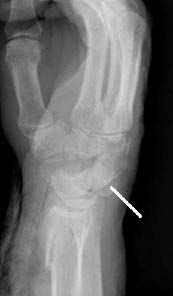
Figure 5: Scapholunate Dislocation

These injuries are a result of dislocation of the capitate from the lunate. With perilunate dislocation, the radiolunate ligaments remain intact, stabilizing the lunate to the radius.3,29 The lunate is anchored within the lunate fossa of the distal radius by strong volar and dorsal interosseous (intrinsic) and extraosseous (extrinsic) ligaments.1 Dissociated carpal instability, or disruption of the interosseous ligaments between the carpal rows (see Figure 5), may cause abnormal motion between the distal and proximal carpal rows. Typically these injuries begin on the radial side and result from a tear of the scapholunate ligament. As the dislocation process proceeds, the scaphoid must either break or rotate on its longitudinal axis.12,30 The distal row of carpal bones, along with the radial portion of the proximal carpal bones, often displaces dorsally with respect to the lunate.3
Perilunate dislocations are commonly a result of high-energy trauma such as motor vehicle collisions and often are caused by hyperextension of the wrist with a component of ulnar deviation. Herzberg and colleagues found that up to 26% of all perilunate dislocations and fracture dislocations can be associated with polytrauma, and up to 11% can have concomitant upper-extremity injuries.31 Uncommonly, perilunate dislocations may arise following a FOOSH type injury.
These patients may present with multiple injuries if involved in substantial trauma, such as a motor vehicle collision or a fall from a height. As previously noted, up to 25% of these injuries have been reported to be missed on initial presentation, presumably because other injuries sustained distract the patient and physician from injury to the wrist. Pain and swelling of the wrist are commonly seen in conjunction with perilunate dislocations; however, the emergency physician should be wary of the patient with a "normal" appearing wrist. The deformity may be very subtle, while the underlying injury may be severe. Patients should be evaluated for signs and questioned for symptoms of median nerve injury, including dysesthesia and disruption of motor function. Two-point discrimination in the distribution of the median nerve should be assessed, along with an Allen test to assess for possible injury to the radial and ulnar arteries. Careful attention should be paid to the abductor pollicis brevis, which receives its innervation mostly via the median nerve. The principal function of the abductor pollicis brevis is medial rotation and abduction of the metacarpal of the thumb. Median nerve deficit immediately following injury is often a sequela of an acute contusion of the median nerve and generally does not require immediate nerve decompression.32 Other possible mechanisms for injury to the median nerve include nerve compression as a result of the dislocation or hematoma formation that causes gradual compression of the nerve and progression of symptoms.32
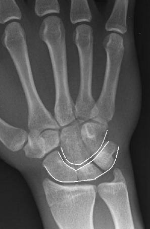
Figure 6: Radiographic Lines on the Carpal Bones Described by Gilula

PA radiograph with radiographic lines described by Gilula for carpal bone alignment. Disruption of any of these lines may represent carpal bone instability or other possible injury.32
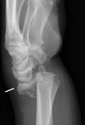
The diagnostic imaging includes standard PA and lateral radiographs. When reviewing these plain radiographs, one should pay close attention to the space between the individual carpal bones on the PA view. The space between the bones should be uniform. The presence of a gap greater than 2 mm is indicative of ligamentous injury and possible carpal instability.32 Gilula described radiographic lines for discovering carpal bone injuries due to ligamentous and bony injuries of the wrist.33 In an uninjured wrist, the articular surfaces of the proximal and distal carpal rows form smooth arcs at the radiocarpal and midcarpal articulations.32 (See Figure 6.) A disruption of any of these lines is indicative of carpal instability or possible injury.32 The lateral view of the wrist is often the best view to appreciate a perilunate dislocation. Remember the "3 Cs" sign when examining a lateral radiograph of the wrist. The "3 Cs" are formed by the articulations of the distal radius, lunate, capitate, and base of the third metacarpal, respectively. (See Figures 7 and 8.) The arrangement of the 3 Cs in a perilunate dislocation is disrupted at the level of the capitate, which represents the third C. It is displaced dorsally toward the lunate, which remains in contact with the radius.12 (See Figure 9.)
Figure 7: Normal Wrist Lateral Radiograph

Figure 8: Relationship Between the Distal Radius Surface, Lunate, and Capitate on the Lateral View

On initial presentation, closed reduction should be attempted in patients with closed perilunate dislocations who present within a few days of the injury.1
These injuries usually require procedural sedation to aid in relaxation of the muscles of the upper extremity. One method of reduction includes extending the injured wrist to recreate the deformity and applying dorsal pressure to reduce the capitate into the lunate fossa.32 A second possible method involves the use of continuous longitudinal traction with utilization of finger traps. These finger traps typically use 10-15 pounds of weight. This procedure requires the elbow to be flexed at 90 degrees with application of continuous longitudinal traction to the tips of the fingers for a period of typically 10 minutes to aid in reduction. Acceptable closed reduction implies restoration of the carpal bone and fracture fragment alignment.32 Following the reduction procedure, post-reduction plain radiographs should be obtained, and a repeat neurovascular examination should be done. If satisfactory closed reduction is achieved, a well-padded anterior-posterior long-arm splint should be applied.
The definitive treatment of perilunate dislocations is operative.2,34,35 These injuries may require consultation in the ED, often to aid in reduction, and possible immediate surgical fixation based on the severity of injury.
Lunate Dislocations
Lunate dislocations are a result of a high-energy forceful dorsiflexion of the wrist often seen in motor vehicle accidents or falls from a height. On initial examination, there may be diffuse swelling of the wrist, but a gross deformity of the wrist may be absent. Absence of a gross deformity should not provide a false sense of security, as lunate dislocations often lack the gross deformities seen with other joint dislocations.
A careful and thorough neurovascular examination should be performed, as there is potential for serious injury to the median nerve given the dislocation of the lunate into the carpal tunnel.
Radiographic imaging, including PA and lateral views, should be obtained. On the PA view, careful attention should be paid to the orientation of the lunate. With lunate dislocations, a pathognomonic sign on PA radiograph is the overlap of the lunate over the capitate, which resembles a wedge shape, referred to as the "piece-of-pie" sign. Examination of the lateral view demonstrates the "spilled teacup" sign in which the lunate is no longer associated with the radius and is tilting in a volar direction, with the capitate located posterior to the lunate.
As with perilunate dislocations, patients with lunate dislocations should have an immediate hand surgery consultation for immediate reduction and immobilization.3 A closed reduction could be attempted to reduce compression on the median nerve; however, the best results for long-term recovery have been seen with open reduction and internal fixation.35,36
Distal Radius Fractures
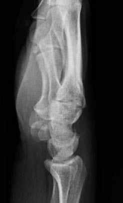
Fracture of the distal radius is the most common upper-extremity fracture in individuals aged 65 years and older.37 The annual incidence in this age group is reported to be 8 to 10 per 1,000 person-years.37 Distal radius fractures occurring in patients older than 60 years of age are often a result from low-energy trauma.37,38 First described in 1814, the Colles' fracture is a transverse fracture of the distal radial metaphysis generally located within 2 cm of the radial articular surface, with dorsal displacement and angulation often associated with an ulnar styloid fracture.1,3,12 (See Figure 10.) Colles' fractures may involve comminution, as well as extension of the fracture line into the radio-ulnar or radiocarpal joint.
Figure 9: Perilunate Dislocation with Dorsal Displacement of the Capitate

Figure 10: Colles' Fracture

Lateral radiograph of a Colles' fracture. Note the "dinner fork" deformity.
Patients with this type of injury often present with a characteristic "dinner fork" deformity, where the wrist is held is dorsiflexion.1,3 (See Figure 10.) These fractures may be open or closed, with patients complaining of swelling and pain over the dorsum of the wrist. Often patients complain of paresthesias in the median nerve distribution secondary to compression of the nerve by the fracture fragments or an expanding hematoma.
Table 1: Types of Immobilization for Wrist Fractures
Type of Fracture |
Type of Immobilization |
Scaphoid fracture |
Thumb spica splint |
Hamate fracture |
Short-arm splint |
Trapezial fracture |
Thumb spica splint |
Triquetral fracture |
Ulnar gutter splint |
Pisiform fracture |
Short-arm splint with 30 degrees of flexion and ulnar deviation |
Capitate fracture |
Short-arm splint |
Scapholunate dissociation |
Radial gutter splint |
Perilunate dislocation |
Anterior-posterior long-arm splint |
Colles' fracture |
Long-arm splint in neutral position |
Smith fracture |
Long-arm splint in supination |
DRUJ with dorsal displacement |
Long-arm splint in supination |
DRUJ with volar displacement |
Long-arm splint in pronation |
The physical examination should include a cutaneous inspection for the possibility of open fracture. A careful neurovascular examination should be performed. Following the physical examination, appropriate analgesic therapy, application of ice, and elevation, if possible, should be performed. Plain radiographic imaging, including PA and lateral radiographs, should be obtained. With radiographic imaging, it is important to recognize that the orientation of the beam and position of the arm can affect the accuracy of measurements such as angulation.39 Lateral radiographic views provide important information to evaluate the degree of dorsal angulation of these injuries. Closed reduction of all distal radial fractures with more than 10 degrees of dorsal angulation has been proposed to achieve optimal results.40 Unstable fractures often display more than 20 degrees of dorsal angulation, commonly with shortening of the radius and extensive comminution along with intra-articular extension of the fracture line. In cases such as these, early orthopedic consultation is recommended, as these fractures are likely to suffer from loss of reduction following closed reduction with splinting and may require early operative fixation.
Table 2: Suspected Injury and Radiographic View
Suspected Injury |
Radiographic Views |
Scaphoid fracture |
Radial and ulnar oblique views |
Hamate fracture |
Carpal tunnel view, reverse oblique view |
Trapezial fracture |
20 degree pronated oblique view |
Triquetral fracture |
Oblique view |
Pisiform fracture |
Carpal tunnel view, partial supination oblique view |
Scapholunate dissociation |
AP with clenched fist in ulnar deviation |
Emergency orthopedic consultation should occur in cases of neurovascular compromise, when open fracture is present, or if attempts at closed reduction are unsuccessful.1,3 Closed reduction can be achieved with the utilization of procedural sedation, as well as use of a hematoma block for analgesia. The use of finger traps aid in providing traction, while the fracture fragment is pushed distal and palmar while the patient's forearm is held firmly. The goal of the closed reduction should be to restore the volar tilt and proper length of the radius.1,3 If successful reduction occurs in the ED, a repeat neurovascular examination and post-reduction radiographs should be obtained. If the patient remains neurovascularly intact, a long-arm splint in neutral position should be applied. Of note, median nerve injury may occur from the original fracture fragment or from traction placed on the nerve during closed reduction. The patient should be informed about signs and symptoms of compartment syndrome and given appropriate analgesic medications and instructions to follow up with orthopedic surgery or a hand specialist in 7 to 10 days.1
The Smith fracture, also often referred to as the reverse Colles' fracture, is a result of a fall onto the dorsum of the hand while the wrist is in a flexed position. It often occurs when an individual falls backward on a flexed hand with the arm in some degree of supination.1 In contrast to the "dinner fork" deformity of the Colles' fracture, a "garden spade" deformity is seen in a Smith fracture. Lateral radiographs show volar angulated and displaced fracture. These injuries often initially may be treated with closed reduction and immobilization for a period of 6 to 8 weeks. Much the same method is used for reduction of Smith fractures, with utilization of finger traps and application of downward traction. However, in this case, the fracture fragment should be pushed in a distal and volar direction to achieve successful reduction. The goal of reduction, as with the Colles' fracture, is restoration of the volar tilt of the wrist as well as restoration of radial length. If successful, the patient should be placed in a long-arm splint in supination following a repeat neurovascular examination. Emergency orthopedic consultation has been recommended in these patients, as these injuries are more likely to be unstable, requiring urgent surgical intervention.1,3
Barton's fracture is a disruption of the distal rim of the radius. The fracture may involve more commonly the volar margin than the dorsal margin. Barton's fractures are rare, accounting for a small portion of all distal radius fractures. These injuries are caused by a high-energy mechanism in which the zone of impact is the articular surface of the radiocarpal joint, generally with the wrist in volar flexion.1,3 Lateral radiographs allow for estimation of the amount of articular surface involvement and any displacement. Fractures of this nature require emergency orthopedic consultation, and most specialists advocate for early operative management. Early surgical intervention has been proposed due to the incidence of post-traumatic arthritis and delayed carpal instability because closed reduction fails to maintain anatomic alignment of the radiocarpal joint surface.1,41
Distal radius fractures, no matter the mechanism or presentation, all warrant a detailed cutaneous and neurovascular examination initially and following any closed reduction. Proper positioning for plain radiographs is essential to obtain optimum views for assessment of angulation and the need for possible surgical intervention. Consultation with orthopedic surgery should be made emergently in all cases of open fracture, neurovascular compromise, or if initial attempts at closed reduction are unsuccessful.3
Distal Radioulnar Joint Disruption
Dislocations of the distal radioulnar joint (DRUJ) are more commonly seen in association with distal radial fractures and Galeazzi fractures; however, they may occur less commonly as an isolated injury. Isolated radioulnar joint dislocations are unrecognized acutely in as many as 50% of cases.12 The function of the distal radioulnar joint is complex and involves primarily rotational movements, with components of axial and translational motion that occur during loading and rotation.42 Stability of the distal radioulnar joint is provided via a combination of bone and soft tissue, including the ligaments found in the triangular fibrocartilage complex, the pronator quadratus, and the interosseous membrane.42
The mechanism of injury differs for dorsal and volar dislocation of the ulna, respectively. In cases of dorsal dislocation of the ulna, the more common of the two, there is often a fall or force transmitted through the wrist while in hyperpronation.3,12 The more rare volar dislocation of the ulna arises from forced hypersupination of the wrist. These injuries have also been reported when patients have their hand caught in a piece of rotating machinery.1 This produces a forcible hyperpronation or hypersupination, which may cause an ulnar styloid fracture or a tear of the triangular fibrocartilage complex, which functions as the major stabilizer of the distal radioulnar joint.1,43
Patients who suffer a disruption of the distal radioulnar joint may initially report a decrease and/or restriction in range of motion of the wrist, most noticeably with supination and pronation, as well as weak grip strength.
The physical examination of patients with dorsal dislocations may show prominence of the ulnar head; however, this can be very subtle in some patients.12 Tenderness to palpation is generally seen over the ulnar aspect of the wrist, with crepitus often noted with repeated supination and pronation.
Following a complete neurovascular examination, PA and lateral radiographs should be obtained. The PA view may reveal a narrowing and possible overlap of the distal radioulnar joint. Examination of the lateral radiograph may show dorsal or volar displacement of the ulna. A true lateral view is essential for evaluation of the position of the ulna, as even the slightest degree of oblique positioning may produce a misleading appearance of the ulna.12 If there is a significant clinical suspicion for DRUJ injury, and a true lateral radiograph cannot be obtained, a CT scan of the wrist is recommended to investigate for injury to the DRUJ.1
The type of splinting and immobilization differs depending on the direction of dislocation of the ulna. A dorsal displacement of the ulna should be immobilized in a well-padded splint in supination, while a volar dislocation should be splinted in pronation. These injuries require immediate hand specialist referral in the ED due to high recurrence rates and the need for surgical repair of the triangular fibrocartilage complex.
Conclusion
The dynamic, complex structures and functionality of the human wrist allow for a wide variety of motion. With this wide range also comes the potential for devastating injury with significant morbidity. On initial evaluation, careful attention should be paid to the mechanism of injury, as these details may provide key clues regarding the potential for injury. The physical examination should include passive and active range of motion, cutaneous examination, and neurovascular examination. Standard radiographic imaging should be obtained; however, use of other modalities, such as CT and MRI, should be utilized if clinical suspicion for injury is high and no abnormality is appreciated with plain radiographs. Immediate hand specialist consultation is appropriate in cases of neurovascular compromise and with all open or nonreducible fractures.
References
1. Woolfrey KG, Eisenhauer MA. Wrist and forearm. In: Marx JA, Hockberger RS, Walls RM, et al, eds. Rosen's Emergency Medicine, 7th edition. Philadelphia: Mosby; 2009: 530-547.
2. Groves AM. An international survey of hospital practice in the imaging of acute scaphoid trauma. AJR Am J Roentgenol 2006;187:1453-1456.
3. Abraham MK, Scott S. The emergent evaluation and treatment of hand and wrist injuries. Emerg Med Clin North Am 2010;28:789-809.
4. Rirchie J, Munter D. Emergency department evaluation and treatment of wrist injuries. Emer Med Clin North Am 1999;17:823-842.
5. Kaewlai R, Avery LL, Asrani AV, et al. Multidetector CT of carpal injuries: Anatomy, fractures, and fracture-dislocations. RadioGraphics 2008;28: 1771-1784.
6. Young DK, Giachino A. Clinical examination of scaphoid fractures. The Physician and Sportsmedicine 2009;37:97-105.
7. Freeland P. Scaphoid tubercle tenderness: A better indicator of scaphoid fractures? Arch Emerg Med 1989;6;46-50.
8. Parvizi J, WaymanJ, Kelly P, et al. Combining the clinical signs improves diagnosis of scaphoid fractures: A prospective study with follow-up. J Hand Surg [Br] 1998;23:324-327.
9. Cruickshank J, Meakin A, Breadmore R. Early computerized tomography accurately determines the presence or absence of scaphoid and other fractures. Emerg Med Australas 2007;19:223-228.
10. Ty JM, Lozano-Calferon S, Ring D. Computed tomography for triage of suspected scaphoid fractures. Hand (NY) 2008;3:155.
11. Adams JE, Steinmann SP. Acute scaphoid fractures. Orthop Clin North Am 2007;38:229-235.
12. Escarza RE. Wrist injuries. In: Tintinalli JE, et al, eds. Emergency Medicine A Comprehensive Study Guide, 7th ed. New York: McGraw Hill 2010:18077-1821.
13. Botte MJ, Pacelli LL, Gelberman RH. Vascularity and osteonecrosis of the wrist. Orthop Clin North Am 2004;35:405-421.
14. Bishop AT, Bechenbaugh RD. Fracture of the hamate hook. J Hand Surg AM 1988;13:135.
15. Boulas HJ, Milek MA. Hook of the hamate fractures. Orthop Rev 1990;19:518-522.
16. Papp S. Carpal bone fractures. Orthop Clin North Am 2007;38:251-260.
17. Palmar AK. Trapezial ridge fractures. J Hand Surg [Am] 1981;6:561-564.
18. Botte MJ, PAcelli LL, Gelberman RH. Vascularity and osteonecrosis of the wrist. Orthop Clin North Am 2004;35:405-421.
19. Amadio PC. Fractures of the carpal bones. In: Green's Operative Hand Surgery, 5th ed. Philadelphia: Elsevier 2005;711-767.
20. Marchessault J, Conti M, Baratz M. Carpal fractures in athletes excluding the scaphoid. Hand Clin 2009;25:371-388
21. Mayfield JK, Johnson RP, Kilcoyne RF. The ligaments of the human wrist and their functional significance. Anat Rec 1976;186:417-428.
22. Geissler WB. Carpal fractures in athletes. Clin Sports Med 2001;20:167-188.
23. Ran Y, Copel L, Aghasi M, et al. Translunate, transscaphoid, transcapitate, perilunate fracture dislocation. J Trauma Injury, Infection Crit Care 2009;67(1)
24. Stanbury SJ, Elfar JC. Perilunate dislocation and perilunate fracture-dislocation. J Am Acad Orthop Surg 2011;19: 554-562.
25. Perron AD, Brady Wj, Keats TE, et al. Orthopedic pitfalls in the ED: Lunate and perilunate injuries. Am J Emerg Med 2001;19:157-162.
26. Frankel VH. The Terry Thomas sign. Clin Orthop 1978;135:311-312.
27. Sochart DH, Birdsall PD, Paul AS. Perilunate fracture-dislocation: A continually missed injury. J Accid Emerg Med 1996;13:213-216.
28. Budoff JE. Treatment of acute lunate and perilunate dislocations. J Hand Surg [Am] 2008;33:1424-1432.
29. Bain GI, McLean JM, Turner PC, et al. Translunate fracture with associated perilunate injury: 3 case reports with introduction of the translunate arc concept. JHN 2008;33A.
30. Campbell RD, Lance EM, Yeoh CB. Lunate and perilunate dislocations. J Bone Joint Surg 1964;46
31. Herzberg G, Comtet JJ, Linscheid RL, et al. Perilunate dislocations and fracture-dislocations: A multicenter study. J Hand Surg [Am] 1993;18:768-79.
32. Weil M, Slade J, Trumble T. Open and arthroscopic treatment of perilunate injuries. Clin Ortho 2006;445:120-132.
33. Gilula LA, Destouet JM, Weeks PM, et al. Roentgenographic diagnosis of the painful wrist. Clin Orthop Relat Res 1984;187:52-64.
34. Kardashian G, Christoforou DC, Lee SK. Perilunate dislocations. Bull NYU Hos Jt Dis 2011;69:87-96.
35. Ran Y, Copel L, Aghasi M, et al. Translunate, transscaphoid, transcapitate, perilunate fracture dislocation. J Trauma Injury, Infection Crit Care 2009;67(1)
36. Grabow RJ, Catalano L 3rd. Carpal dislocations. Hand Clin 2006;22:485.
37. Vogt MT, Cauley JA, Tomaino MN, et al. Distal radius fractures in older women: 1 10-year follow-up study descriptive characteristics and risk factors. The study of osteoporotic fractures. J Am Geriatr Soc 2002;50:97-103.
38. Kettler M, Volker K, Schieker M, et al. Do we need to include osteoporosis in today's classification of distal radius fractures? J Orthop Trauma 2008;22(8 Suppl):S79-S82.
39. Ng CY, McQueen NM. What are the radiological predictors of functional outcome following fractures of the distal radius? J Bone Joint Surg [Br] 2011;93-B:145-150.
40. Kotnis R, Waites MD, Fayomi O, et al. The use of a template to improve the management of distal radial fractures. Emerg Med J 2005;22:544-547.
41. Benjamin HT, Hang BT. Common acute upper extremity injuries in sports. Clin Pediatr Emerg Med 2007;8:15.
42. Carlsen BT, Dennison DG, Moran SL. Acute dislocation of the distal radio-ulnar joint and distal ulna fractures. Hand Clin 2010;26:503-516.
43. Palmar AK. Triangular fibrocartilage complex lesions: A classification. J Hand Surg Am 1989;59:594-606.
Just a wrist sprain? After reading this issue, you may want to look at that X-ray again.You have reached your article limit for the month. Subscribe now to access this article plus other member-only content.
- Award-winning Medical Content
- Latest Advances & Development in Medicine
- Unbiased Content