Management of Dental Emergencies
January 22, 2006
Management of Dental Emergencies
Author: Kip Benko, MD, FACEP, Clinical Instructor, University of Pittsburgh Affiliated Residency in Emergency Medicine; Faculty, Mercy Hospital of Pittsburgh, PA.
Peer Reviewers: Andrew D. Perron, MD, FACEP, FACSM, Residency Program Director and Associate Professor, Department of Emergency Medicine, Maine Medical Center, Portland; and Robert Schafermeyer, MD, FACEP, FAAP, Adjunct Professor of Emergency Medicine and Pediatrics, University of North Carolina; Associate Chair, Department of Emergency Medicine, Carolinas Medical Center, Charlotte.
Introduction
Complaints pertaining to teeth are very common, and patients frequently utilize emergency departments (EDs) for their initial care. Most patients understand that definitive care must be provided by a dentist or oral surgeon, but either a lack of financial resources, inability to contact their dentist, severe pain, or acute trauma leads patients to EDs first. While treating dental emergencies in the ED can be difficult, challenging, and frustrating, it also can be immensely satisfying when the emergency physician has a basic understanding of dental anatomy and understands the simple techniques required to relieve pain and preserve teeth. Many emergency physicians are called upon to treat dental problems, and it is essential to have a diagnostic and treatment plan to facilitate patient care.
The treatment of dental emergencies mostly is extrapolated from the literature of other specialties such as dentistry and oral surgery. There are very few evidence-based articles in the emergency medicine literature, and much of the information presented in this review comes from the dental and oral surgery literature, as well as from a few ED outcome studies.1-3
Epidemiology and Etiology
The incidence of dental-related complaints presenting to EDs appears to be rising, ranging from 0.4-10.5%, which may reflect the increasing use of EDs as primary care facilities.4 Injuries involving the younger population most often are secondary to falls or accidents, whereas, those in the older age group most often are secondary to motor vehicle accidents, falls, or assaults.1,3 Traumatic dental injuries usually involve the permanent anterior dentition. Adult dentoalveolar injuries also often are associated with fractures of the mandible and face. Patients who have both mandibular condyle and body fractures are more likely to have related tooth injury than patients with either isolated body or condyle fractures alone.2
Anatomy
A thorough understanding of dental anatomy allows the emergency physician to provide proper initial treatment and also to communicate effectively and concisely with dental consultants. Simply saying, "there is a broken lower tooth that is bleeding" is not very informative for a dental colleague in the middle of the night.
The permanent adult dentition consists of 32 teeth of which eight are incisors, four are canines, eight are premolars, and 12 are molars. From the midline to the back of the mouth there is a central incisor, a lateral incisor, a canine (eye tooth), two premolars (bicuspids), and three molars, the last of which is the troublesome wisdom tooth. The adult teeth are numbered from 1 to 32, with the #1 tooth being the right upper wisdom tooth, and the #16 tooth being the left upper wisdom tooth. The left lower wisdom tooth is #17, and the right lower wisdom tooth is #32. It is more important for the emergency physician to be able to describe the tooth involved rather than to try to remember which number corresponds to each tooth. Simply describing the tooth involved is preferred, for example, "the upper (or maxillary) right second premolar" or "the left lower (or mandibular) canine."
The primary teeth or "baby teeth" also are best described by determining which tooth is involved, not by their official classification. The earliest teeth to erupt in a child are the central incisors, usually at 4-8 months. Most children usually have a full set of primary teeth around the age of 3. (See Table 1.) The official classification of primary teeth used in the dental community is as follows: the right maxillary second molar is designated as A, and the left maxillary second molar is designated as J. The left mandibular second molar is designated as K, and the right mandibular second molar is designated as T. The teeth in between are lettered accordingly. Children often have teeth that are missing or incompletely erupted; therefore, as with adults, it is best to name the tooth rather than try to use the proper letter (or number in adults). The permanent teeth start replacing the baby teeth beginning with the incisors at approximately 5 years of age.
| Table 1. Tooth Eruption Times |
|
|
A tooth's components consist of a central pulp, the dentin, and the enamel. The pulp contains the neurovascular supply of the tooth which serves to carry nutrients to the dentin, a microporous substance that consists of a system of microtubules. The dentin makes up the majority of the tooth and also serves to cushion the tooth during mastication. The enamel is the white part of the tooth that is visible to the eye and is the hardest part of the body. The tooth also may be described in terms of the coronal portion (crown) or the root. The crown is covered in enamel, and the root serves to anchor the tooth in the alveolar bone.
The following terminology describes the different anatomic surfaces of the tooth and is helpful when describing a specific tooth injury to a consultant or colleague:
Facial: the part of the tooth that you see when a person smiles. This is a general term and is applicable to all teeth. It is sufficient to use by itself and will be understood by dental consultants, but the following terms are more precise:
Labial: refers to the facial surface of the incisors and canines.
Buccal: refers to the facial surface of the premolars and molars.
Oral: that part of the tooth that faces the tongue or the palate. This also is a general term and is applicable to all teeth, but the following is more precise:
Lingual: toward the tongue, the oral surface of the mandibular teeth.
Palatal: toward the palate, the oral surface of the maxillary teeth.
Approximal/Interproximal: the contacting surfaces between two adjacent teeth.
Mesial: the interproximal surface of the tooth facing anteriorly or closest to the midline.
Distal: the interproximal surface facing posteriorly or away from the midline.
Occlusal: the biting or chewing surface of the premolars and molars.
Incisal: the biting or chewing surface of the incisors and canines.
Apical: toward the root of the tooth
Coronal: toward the crown or the biting surface of the tooth.
The periodontium, or attachment apparatus, consists of two major subunits and maintains the integrity of the dentoalveolar unit. The gingival subunit consists of the gingival tissue and the junctional epithelium. The periodontal subunit consists of the periodontal ligament, alveolar bone, and the cementum of the root of the tooth.
Periodontal infections and diseases weaken the attachment apparatus and can result in tooth loss. Similarly, avulsed teeth, even if replaced immediately, often will not reattach if the gingival subunit is weakened by poor hygiene or disease.
Prehospital Considerations
Prehospital care always should focus primarily on protection of the airway and secondarily on preservation of the dentition and soft tissue. EMS providers as well as patients and bystanders can significantly alter outcomes with regard to the preservation of avulsed teeth. Loose or displaced teeth should not be manipulated unless airway intervention is necessary. Hemorrhage should be controlled with gauze and direct pressure if the site of bleeding is visualized. Significant airway hemorrhage or swelling may cause complete airway obstruction if the patient is placed supine. The position of choice in these patients is the upright sitting position. If cervical spine injury is a concern and the patient must be placed supine to be immobilized, airway equipment and suction must be readily available and definitive airway management must be anticipated. Expeditious transport is all that is needed if there is isolated dental trauma. If the emergency physician is asked to give command to medics or instructions to a patient regarding an avulsed tooth, the following instructions are suggested:
Avulsed teeth should be handled by the crown only. Handling an avulsed tooth by the root can damage the periodontal ligament and decreases the chance of successful reimplantation.
The avulsed tooth should not be replaced if the root is fractured or if there is significant maxillofacial trauma such as an alveolar ridge fracture.
If the tooth can be replaced in the prehospital setting, the root should be rinsed off gently (preferably with saline) to remove any debris. The root should not be wiped off as this removes the periodontal ligament.5,6
If the tooth cannot be reimplanted successfully in the field, it should be transported in an appropriate medium, such as milk, as outlined in more detail in the Treatment section. Although advocated by some as a reasonable way to transport an avulsed tooth, placing the tooth in the oral cavity such as in the cheek may risk aspiration. This location is also not ideal for keeping the periodontal ligament viable because of the oral flora and low osmolality of the saliva.6,7
Emergency Department Evaluation
History. The focused historical evaluation of the patient with traumatized dentition includes:
When did the incident occur? This is critically important when evaluating avulsed permanent teeth, as the decision to reimplant is based largely on the duration of avulsion.
Were any teeth found at the scene?
Were there any symptoms suggestive of tooth aspiration, such as coughing, at the scene?
Does the patient appear to have a decreased level of consciousness from drugs, alcohol, or trauma that would make aspiration more likely?
Does the patient complain of pain? Do the teeth feel as if they are meeting normally? Is pain associated with occlusion? Mandibular fractures often are worse with moving the jaw, and patients often will complain that their teeth are not meeting normally. Pain from temporomandibular joint (TMJ) injuries frequently is referred to the ear. Fractured teeth are very sensitive to forced air or contact with cold substances.
What did the patient do to decrease the pain? Over-the-counter anesthetics and analgesics often are used but can cause sterile abscesses if applied to the pulp or dentin.
Has the patient had recent dental work performed on the traumatized tooth?
Is the tooth a primary or permanent one? Traumatized primary teeth are managed differently than are permanent teeth.
Does the patient have a history of bleeding disorders or allergies to medicines?
Additional information is necessary in cases of nontraumatic dental complaints. Has there been any recent dental work or instrumentation performed? Dry sockets, for example, occur several days after a tooth has been extracted.
Does the patient have a history of poor dentition or multiple caries?
Is the patient having difficulty opening his or her mouth or difficulty swallowing? Has there been a change in voice or any shortness of breath? Has there been any swelling? If so, how long has it been there?
Is the patient at risk for being immunocompromised? Deep space infections can spread rapidly and progress to the mediastinum or the cavernous sinus quickly in immunocompromised patients.
Is the patient at risk for severe bleeding? Is the patient taking aspirin, warfarin, or other anticoagulants, or does he or she have a history of bleeding disorders?
Which over-the-counter preparations has the patient been using?
Was the time course insidious or rapid? Has the patient had symptoms consistent with severe infection such as fever, chills, or vomiting?
Does the patient have a history of rheumatic fever or valvular disease such as mitral valve prolapse? Does the patient have implanted devices such as artificial joints, valves, or shunts? Dental infections may predispose to endocarditis or infection of an implant.
Physical Examination. Examination of the oral cavity in patients who have facial pain needs to be meticulous, as injuries to the dentition easily are missed because of more impressive traumatic findings elsewhere or because of a casual examination. Likewise, the nooks and crannies of the mouth can hide fairly significant abscesses, injuries, and foreign bodies.
Simple observation and discussion often can provide clues to the patient's diagnosis. Pay attention to voice change, muffling, drooling, and other signs of airway involvement. External inspection may disclose injuries such as mandibular dislocations and fractures that often result in asymmetry, swelling, or deformity of the face. Abscesses or deep space infections often will result in swelling over the involved space, although such swellings can be subtle; therefore, view the face from multiple angles. Mouth movements should be smooth and complete without hesitation or limitations. Warmth, erythema, or drainage is indicative of abscess, cellulitis, or hematoma formation. The face should be palpated for tenderness, crepitus, or step-offs. The entire mandible and mid-face should be palpated with particular attention to the maxilla, zygomas, the mandibular condyles, and coronoid processes. The area of the TMJ should be checked throughout the range of motion. There should not be any pops, clicks, or pain.
The physician should palpate the neck with particular attention paid to the area beneath and along the length of the mandibular body. The oral cavity should be examined for any bleeding, swelling, tenderness, step-offs, abrasions, or lacerations, and each tooth should be accounted for. The buccal mucosa and mucobuccal folds should be entirely visualized with a tongue blade and exam light and blood should be wiped or suctioned away. Palpate the cheek and the floor of the mouth with a gloved hand. Each tooth should be percussed with a tongue blade for sensitivity and palpated with fingers or tongue blades for mobility. Blood in the gingival crevice (where the enamel contacts the gingiva) is suggestive of a traumatized tooth or a fractured jaw. The teeth should meet evenly and symmetrically when biting, and the patient should be able to exert firm pressure on a tongue blade with his or her molars. The inability to crack a tongue blade bilaterally when twisted between the molars (tongue-blade test) suggests a mandibular fracture.8
Diagnostic Work-Up. The evaluation of most dental emergencies can be performed without any imaging or laboratory evaluation. Unlike the definitive treatment in the dentist's or oral surgeon's office, the ED treatment of tooth fractures or alveolar ridge fractures usually is not changed based on information from imaging studies. Radiographs, however, can be helpful if a tooth fragment is missing and thought to be aspirated or lodged in the lip or buccal mucosa. Intruded teeth similarly are not always evident, and x-rays can help to determine whether the patient has a fractured, avulsed, or intruded tooth.
Traditionally, the panorex and the Townes view have been the most useful and cost effective views to obtain when evaluating mandibular trauma in the ED. 9 The panorex of the mandible shows the bone in its entirety and demonstrates fractures in all regions, including the symphysis.10 However, the panorex occasionally can miss overriding anterior symphysis fractures. An occlusal view or computed tomography (CT) is needed if this is a concern. The Townes view allows slightly better visualization of the condyles and should be used if the condylar regions cannot be visualized adequately with panoramic radiography.9 Coronal CT scanning is being used more often in the ED, but it is not usually necessary for diagnostic purposes if the mandible is the only area of concern. CT should be obtained if multiple facial fractures are suspected or if the initial evaluation of mandibular trauma is equivocal and the clinical suspicion is high.11 If the patient is immobilized or is otherwise unable to sit still for a panorex, then plain mandibular films or a CT scan should be obtained. Mandibular films do not visualize the symphysis well, and occlusal films may be required to visualize this part of the mandible.
The panorex can visualize large periapical abscesses but their routine use in the ED is not warranted as the treatment and the disposition of the patient will not change. Blood counts and chemistries are not useful for the majority of patients and should be considered on an individual basis. Coagulation profiles and bleeding times are unnecessary in routine cases of post-extraction or traumatic intraoral bleeding, but they should be considered if the patient is anticoagulated or the history is compatible with a bleeding disorder.
Anesthesia. Severe tooth pain (odontalgia) can be debilitating. The ability to perform dental blocks is a necessary skill for emergency physicians. A complete discussion of all the dental blocks, aspirating syringes, and available anesthetics is beyond the scope of this text but the reader is referred to standard emergency medicine procedural texts that contain complete information on dental blocks, topical and injectable anesthetics, and regional oral anesthesia.12,13
Diagnosis and Treatment
Differential Diagnosis. Trauma to the teeth usually consists of fracture, subluxation (loose, non-displaced teeth), luxation (displaced teeth), intrusion or complete avulsion. Segments of loose teeth usually represent alveolar ridge fractures. The diagnosis is primarily determined by a meticulous physical examination that accounts for each tooth and portion of tooth. Radiography usually serves a confirmatory role.
Non-traumatic dental emergencies usually result from poor oral hygiene, recent instrumentation, or infection. Uncomplicated tooth pain that is reproducible on percussion (odontalgia) usually reflects pulpitis, and further diagnostic testing is not required in the ED. Other considerations include periodontal or pulpal infections or abscess. Referred pain from the sinuses, trigeminal nerve, or the temporomandibular joint also may manifest as tooth pain, especially if the pain is non-localizable. Hematomas, hemorrhage, or dry sockets may present to the ED after instrumentation or extraction.
As pulpitis represents one end of the spectrum, deep space infections represent the other. These rapidly spreading infections can be life-threatening, especially if they dissect into the chest, causing mediastinitis.14 The exact names and locations of the deep spaces are not critically important, but rapid treatment is imperative to prevent airway compromise. Very severe presentations, such as those with trismus, stridor, and drooling, may require an emergent surgical airway.
Treatment. Dental Fractures. Traumatized anterior maxillary teeth are those most likely to be encountered in the ED. Injury to the maxillary central incisors accounts for 70-80% of all fractured teeth.15 Although not life-threatening, the morbidity associated with dental fractures can be significant and can include tooth loss, failure to complete eruption, abscess, loss of space in the dental arch, color change of the tooth, ankylosis, abnormal exfoliation, and root resorption.
General rules of thumb when dealing with dental trauma include the following:
• Identify all fracture fragments and mobile teeth. Radiographs should be obtained if there is suspicion of intrusion of a tooth or a tooth fragment into the mucosa or alveolar bone. Consider a CXR if a patient has a missing tooth or any respiratory complaints after having a tooth knocked out. It must be remembered that many patients, especially those intoxicated or with a head injury, will not remember whether there were any respiratory complaints.
• The dentition is much more easily manipulated and repaired if the patient is not in significant discomfort. Supraperiosteal infiltration and dental block techniques should be part of the emergency physician's armamentarium. Narcotic and non-narcotic alternatives, while helpful after treatment is completed, do not usually offer the patient enough comfort to allow the emergency physician to manipulate or repair damaged teeth. If the procedure to be performed is simple, such as gluing a cap or crown back into place, then dental block anesthesia usually is unnecessary.
• Avoid topical tooth analgesics and remedies on fractured teeth as their use can lead to sterile abscesses and soft-tissue irritation.16
• Administer tetanus vaccination if indicated.
The ED management of fractured teeth is dependent upon the extent of fracture with regard to the pulp, the degree of development of the apex of the tooth, and the age of the patient. There are many ways to identify dentoalveolar injuries as well as individual tooth fractures.16 One often cited classification system and one that often is found on board exams is the Ellis classification.17 However, most dentists, maxillofacial surgeons, and oral surgeons do not use this nomenclature. It is the opinion of the author that the Ellis classification system be dropped from the EM curriculum as it just confuses consultants and makes good patient care more difficult. The most easily understood method of classification is based on description of the injury.
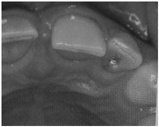
Fractures of the Crown. Crown fractures may be divided into uncomplicated and complicated categories. Uncomplicated crown fractures involve the enamel or enamel and dentin. (See Figure 1.)
Crown fractures through the enamel usually are not sensitive to forced air, hot or cold, or percussion and usually pose no threat to the dental pulp. Immediate treatment in the ED is not necessary but may consist of smoothing the sharp edges off the tooth with an emery board or small hand-held disc sander. It is very important to reassure the patient that a dentist can restore the tooth to its natural appearance using composite resins and bonding materials. Follow-up is important, as pulp necrosis rarely can occur as can color change (0-3%).2,18 (See Figures 1 and 2.)
| Figure 2. Enamel Damage |
|
|
Fractures extending into the dentin are more concerning for pulp necrosis and, therefore, require more aggressive treatment in the the ED. (See Figure 1 and 3.) The risk of pulp necrosis in these patients is 1-7% but the risk increases as treatment time extends beyond 24 hours.3 These patients usually have sensitivity to forced air, percussion, and extremes of temperature. Physical examination reveals the yellow tint of the dentin in contrast to the white hue of the enamel. As the fracture gets closer to the pulp, the dentin develops a slight pink tinge to it. The porous nature of the dentin allows oral flora to pass easily into the pulp chamber, which may result in infection and inflammation of the pulp. This occurs most commonly after 24 hours, but may occur sooner if the fracture is closer to the pulp. Likewise, patients younger than 12 years have a pulp/dentin ratio larger than adults do and, therefore, are at increased risk for pulp contamination. Younger patients should be treated more aggressively and should be seen within 24 hours by their dentist.19
| Figure 3. Dentin |
|
|
There are two important reasons to treat dentin fractures: to cover the exposed dentin to prevent secondary contamination or infection, and to provide pain relief. After a tooth is covered in the ED, the dentist later can rebuild it using modern composites. A tooth block done prior to any manipulation allows for easier application of any dressings that may be used, as the procedure becomes painless. Dressings that may be utilized in covering tooth fractures include calcium hydroxide paste, zinc oxide paste, and glass ionomer composites.15,18,20,21 Some emergency medicine texts support and recommend the use of glass ionomer cements in the ED; however, this is controversial in the dental community. The ease of use, the relative affordability, and the ease of application make calcium hydroxide paste a better choice for emergency physicians. (See Figure 3A.) Composites that are applied with a bonding light are beyond the scope of practice for most emergency medicine practice. Skin adhesives and bone wax sometimes are used in the ED but they are not recommended because bone wax is slightly porous, and tissue adhesives break down quickly inside the mouth. Skin adhesives are not approved for intraoral use. Most dressings, including CaOH paste, are available as a catalyst and a base and are mixed easily with a spatula and a mixing pad.
| Figure 3A. Calcium Hydroxide Paste |
|
|
Calcium hydroxide paste often is used in the ED. It comes in mixable and premixed forms and it is simply applied to the fractured surface of the tooth. The tooth surface must be as dry as possible before application to ensure adherence. This can be accomplished by wiping the fractured surface with gauze or having the patient bite into gauze pads. The calcium hydroxide paste will dry immediately after coming into contact with saliva. Although placing dental foil over the CaOH paste has been advocated, it is fairly difficult and is not necessary if the patient is able to follow up within 3-4 days. The patient should be placed on a soft diet until seen by the dentist to avoid dislodging the dressing. Some practitioners begin antibiotic therapy with clindamycin or penicillin if the exposure is significantly long, although this has not been proven to be of value.3,16,19
Many patients sustaining dentin fractures eventually will require a root canal or other definitive endodontic therapy. The timely application of an appropriate dressing in the ED, however, may prevent contamination of the pulp and make root canal unnecessary. It also will alleviate the pain as there is no longer exposure of the dentin to the air. As with any trauma to the anterior teeth, the physician should explain to the patient that disruption of the neurovascular supply is possible and that long-term complications such as pulp necrosis, color change, and root resorption may occur.
Fractures that extend into the pulp of the tooth are true dental emergencies. (See Figures 1,4) Fractures through the pulp result in pulp necrosis in at least 10-30% of cases even with appropriate initial dental treatment.2 They are distinguished from fractures of the dentin by the pinkish-red color of the pulp. The fracture surface of the tooth should be wiped off with gauze and observed for frank bleeding or a pink blush, which indicates exposure of the pulp. Pulp fractures usually are severely painful, but occasionally there is a lack of sensitivity secondary to a disruption of the neurovascular supply of the tooth.3
| Figure 4. Pulp |
|
|
Immediate management of pulp fractures includes referral to a dentist, oral surgeon, or endodontist. These patients often require pulpectomy (complete removal of the pulp) or, in the case of primary teeth, a pulpotomy (partial removal of the pulp) as definitive treatment.3,18-20 The longer the pulp is exposed, the greater the chance the pulp will be contaminated and abscesses may develop. If a dentist cannot see the patient immediately, the emergency physician should relieve the pain and cover the exposed pulp. The physician should perform a supraperiosteal infiltration and cover the tooth with one of the dressings described previously. If bleeding is brisk and needs to be controlled, it usually can be stopped by having the patient bite into gauze that has been soaked in epinephrine or phenylephrine. Alternatively, a small amount of lidocaine with epinephrine may be injected into the pulp to control bleeding. After the dressing is applied, instruct the patient to eat a soft diet and refer to a dentist as soon as possible. The patient should be seen within 24 hours if possible. If the exposure was prolonged, antibiotic coverage should be considered, as described in the previous section.3,18
There currently are no randomized, prospective trials that address the question of whether antibiotics should be prescribed for fractured teeth seen in the ED. Patients who present to the dentist and then undergo definitive treatment usually do not receive antibiotic prophylaxis.15,20 However, in the ED, physicians must treat dental fractures with the following assumptions:
• It is uncertain when the patient will be able to secure follow up.
• The patient's underlying dentoalveolar health may not be completely obvious on initial evaluation. Delayed fracture care and poor gingival health increase the risk of pulp necrosis and, potentially, a development of periapical abscess. Therefore, consider giving patients with fractures of the dentin or pulp antibiotic prophylaxis.
Removal of the pulp with specialized instruments by the emergency physician is not recommended. This procedure can result in serious complications if done improperly.
Luxation, Subluxation, Intrusion, and Avulsion. Subluxation refers to a tooth that is mobile but not displaced, while luxation refers to teeth that are displaced, either partially or completely, from their sockets. Luxation injuries further are divided into four types:
Extrusive luxation: a tooth that is displaced in a direction toward the crown. (See Figures 5 and 5A.)
|
|
Intrusive luxation: a tooth that is forced apically toward the root of the tooth and may be accompanied by crushing or fracture of the apex of the tooth. (See Figures 6 and 6A.)
|
|
Lateral luxation: a tooth that is displaced facially, mesially, lingually, or distally. (See Figures 7 and 7A.)
|
|
Complete luxation: A complete avulsion. The tooth is completely out of the socket. (See Figure 8.)
| Figure 8. Avulsion |
|
|
Teeth that are minimally mobile and that are non-displaced do very well with conservative treatment only. The tooth will firm up as the alveolar ligament binds to the alveolar bone as long as the tooth is not re-traumatized. Patients should be instructed to eat only a soft diet for 1-2 weeks and follow up with their dentist as soon as possible.
Grossly mobile teeth require some form of stabilization in the ED. The emergency physician may have difficulty stabilizing loose teeth in patients who have poor gingival health because of diseased periodontium (attachment apparatus). Fixation is best accomplished by the dental specialist with enamel bonding materials or wire splinting but this is not often practical when the patient presents to the ED. Many different techniques exist for splinting teeth in the ED, however, one must be aware of the concern for aspiration of teeth, or even the splint, should the splint technique fail.
Temporizing splinting techniques available for use by emergency physicians include periodontal paste and self-cure composite. A commercially available form of periodontal paste, Coe-Pak, consists of a catalyst and a base that when mixed together form a sticky dressing that becomes firm after application. The splint performs best when applied to both the facial and oral surfaces of the teeth, but in cases where the tooth is only moderately luxated, oral surface application often is sufficient. It is most easily applied with wet hands or gloves to dry gingiva and enamel. (See Figure 9.) It is important to apply the dressing into the grooves between the teeth as well as to the adjacent teeth, and the patient should be reminded to eat a soft diet until follow-up can be arranged within 24-72 hours.
| Figure 9. Periodontal Paste |
|
|
Self-cure composite is another reasonable splinting option in the ED. Splinting composites used in the dentist's office require a curing light and etching acids to affix the bonding material, but self-cure composite requires neither and is easy to use. It is applied only to the enamel of the involved teeth and the adjacent firm teeth similarly to periodontal paste, but unlike periodontal paste, self-cure composite is not applied to the gingiva. (See Figure 10.) The disadvantage of self-cure composite is that it is rigid and not flexible and tends to pop off if the tooth is bumped in any way. Both periodontal paste and self-cure composites are easy for the dentist to remove during formal restoration.
| Figure 10. Self-Cure Composite |
|
|
Teeth that are luxated in the horizontal or axial planes or teeth that are slightly extruded also can be splinted using the preceding techniques. Teeth do not need to be in perfect alignment prior to the discharge from the ED as final adjustments can be made in the specialist's office.
Intrusion and Avulsion. Intruded teeth have been forced apically into the alveolar bone and often cause disruption of the attachment apparatus or fracture of the supporting alveolar bone. Fracture is more common in permanent teeth with mature roots.22 Intruded teeth often are immobile and, therefore, do not require immobilization in the ED, but often do require later treatment by an endodontist or dentist because of pulp necrosis. X-rays should be performed anytime there is uncertainty as to whether a tooth is fractured, avulsed, or intruded. The dentist should manage intruded teeth within 24 hours if possible as intruded adult teeth often are associated with alveolar bone fractures. Permanent teeth often require repositioning and immobilization (by the dentist), while primary teeth usually are given a trial period to erupt on their own before any intervention is taken. Always consider the possibility of an intruded tooth if there is a new abnormal space in the dentition, as this can cause infection and craniofacial abnormalities if undiagnosed.
Avulsed teeth are true dental emergencies and provide an opportunity for the emergency physician to truly make a difference in outcome. The first question one must ask is, "Where is the tooth?" Teeth that are missing may be intruded, aspirated, fractured, swallowed or embedded in the oral mucosa. A panorex, CXR, or facial films should be considered to find fragments of fractured teeth or an avulsed tooth. The management of avulsed teeth is based on multiple factors including time since avulsion, patient age, and the overall general health of the periodontium.23 Primary teeth are not replaced because they can fuse to the underlying alveolar bone and potentially may cause craniofacial abnormalities or infection and they may prevent normal eruption of the permanent teeth. There are small reports of successful reimplantation of primary teeth by dentists; however, most resources do not recommend it be performed by dentists, family members, or emergency physicians.24 Parents should be reassured that prosthetic teeth can be worn until the permanent teeth erupt, if desired.
Time is the most important consideration when deciding whether to replace an avulsed tooth. In general, the longer the tooth is out of the socket, the higher is the incidence of periodontal ligament necrosis and subsequent reimplantation failure.23 Periodontal ligament cells generally die within one hour if not placed in an appropriate transport medium.5 Many studies have been conducted on the various transport media used to keep the cells of the periodontal ligament viable. Milk, Hank's balanced salt solution, EMT Toothsaver, saliva, water, and Gatorade all have been studied. Cell culture formulations have been developed that actually cause periodontal ligament cells to not only remain viable, but also to proliferate. To date, milk and the commercially available EMT Toothsaver are best for prehospital storage and transport. Milk and commercial Hank's solution preserve the periodontal ligament for at least 8 hours; however, reimplantation should take place as soon as possible. The take-home message is to get the tooth into some sort of transport medium as soon as possible as even 5-10 minutes exposed to the air will begin causing dessication and death of periodontal ligament cells. Saline is less desirable but can be used at the scene if nothing else is available, and the patient or prehospital providers should reimplant the tooth if conditions permit. Saliva is preferable to water, but both are less desirable than saline.7 If conditions do not allow the patient or the paramedics to reimplant the tooth at the scene, the tooth will need to be reimplanted upon arrival to the ED according to the following guidelines:
• Store the tooth in an appropriate medium, preferably milk or EMT Toothsaver, while the patient is undergoing preparation for reimplantation.
• Perform a supraperiosteal infiltration (tooth block) prior to the replacement of the avulsed tooth. This will help both patient in tolerating the procedure and the physician in performing the procedure. Regional blocks also are acceptable and are especially useful if more than one tooth is involved.
• Check the oral cavity for trauma. Alveolar ridge fractures or severely damaged sockets are contraindications to the replacement of an avulsed tooth in the ED.
If available, use a Frasier suction catheter to suction the socket of the avulsed tooth to remove any accumulated clot. Clot usually is present in the socket and can make replacement of the avulsed tooth very difficult. Suctioning should be done gently, however, as overly aggressive suctioning can cause damage to the periodontal ligament fibers lining the socket. Next, gently irrigate the socket to remove any remaining clot. Debris on the tooth should be rinsed off gently, not scrubbed, with saline. It is better to reimplant the tooth with a little bit of debris present than to completely wipe off the periodontal ligament. Implant the tooth using firm, gentle pressure.
The tooth most likely will require splinting after reimplantation if it is still loose, as teeth that still are very mobile after reimplantation are less likely to develop a firm attachment of the periodontal ligament.
Update the patient's tetanus status as necessary and send him or her home on a soft diet.
Antibiotics are unproven in the management of fractured and avulsed teeth. Although the American Association of Endodontists does not recommend the routine use of antibiotics for fractures or avulsions, other authors recommend the use of antibiotics that cover mouth flora (such as penicillin and clindamycin) to decrease the inflammatory resorption of the root.2,18 It probably is prudent to use antibiotics if the root is heavily soiled; otherwise, treatment should be tailored to the individual patient after discussions with the consultant.
The prognosis of the reimplanted avulsed tooth is dependent upon many factors, with the most critical one being time to reimplantation. The age of the patient, the stage of development of the root (younger is better), and the overall health of the gingiva are also very important.
It always is better to keep a native tooth if possible, and that should be the goal of treatment for the emergency physician when faced with avulsed or fractured teeth. A tooth that has been reimplanted usually loses the majority of its neurovascular supply and undergoes pulp necrosis. If the periodontal ligament attaches, the tooth will remain a functional unit and obviate the need for an implant or prosthesis. It is important to remind the patient that after reimplantation, yellowing of the tooth and some root resorption may occur. These complications will be managed by the follow-up dentist.
Alveolar Bone Fractures. Trauma to the anterior teeth may result in fractures of the alveolar ridge, which is the tooth-bearing portion of the mandible or maxilla. Alveolar ridge fractures often occur in multi-tooth segments and will vary in the number of teeth involved, the amount of mobility, and amount of displacement of the affected segment. The diagnosis is not difficult to make and often is obvious as the exam is notable for a section of teeth that are misaligned and mobile. Dental bite-wing x-rays performed in the dental office confirm the diagnosis, and facial films or a panoramic film may show a fracture line apical to the roots of the involved teeth.
Treatment of these fractures requires rigid splinting of the affected segment, which should be done urgently by an oral surgeon or a dentist. This ideally should be done within 24 hours, but the urgency is dependent upon the extent, the mobility, and the displacement of the involved segment. For example, a fragment that is large and very mobile would pose an aspiration risk and should be fixed immediately. Likewise, an open fracture would need immediate attention, while a small, stable segment could be repaired in 24-48 hours. The role of the emergency physician is to diagnose the injury and identify any avulsed or fractured teeth and preserve as much of the alveolar bone and surrounding mucosa as possible. Alveolar bone that is lost, debrided, or missing is difficult for the specialist to restore properly.18
Hemorrhage. Bleeding from the oral cavity is common and often is associated with dental procedures. The emergency physician often is the first one to see the problem when bleeding occurs in a delayed manner. First, ascertain whether the bleeding is from recent instrumentation or whether it was spontaneous. Spontaneous bleeding of the oral cavity or the gingiva not associated with dental manipulation or trauma is suggestive of advanced periodontal disease or a systemic process.
Bleeding from the gingiva after scaling or other routine dental procedures usually is controllable with direct pressure and saline/hydrogen peroxide rinses. Bleeding that persists from the gingival areas despite conservative measures should raise suspicion for a systemic process such as a coagulopathy from medications, alcoholism, etc. Much more common than gingival bleeding is post extraction bleeding, usually from molars. These patients usually present after normal business hours and after failure of stopping the bleeding at home. The emergency physician has a number of options to stop oral bleeding. A systematic approach is suggested:
• Apply direct pressure. Patients probably have been trying this already at home but several techniques make it more effective. Any excessive clot should be removed if present and then the area should be anesthetized with local infiltration of lidocaine or marcaine with epinephrine. This affords vasoconstriction and enables the patient to bite harder. Next, insert a dental roll gauze or dental tampon (if available) into the space left by the extraction. Dental roll gauze has the advantage of being able to fit well in the gap left from the extracted tooth and, therefore, exerts pressure. Cover the dental roll gauze with 2 x 2s and have the patient bite for 10-15 minutes or so. It also helps to soak the dental roll gauze in epinephrine or phenylephrine.
• If bleeding persists, insert coagulating agents into the socket and then loosely close the gingiva surrounding the socket with chromic or silk suture. Instruct the patient to bite down on the gauze placed over the sutures.
• Battery operated cautery also works very well. Thermal cautery units that often are used in the ED for nail trephination are widely available and do not require the patient to be grounded. Make sure to use local anesthetic on the involved site prior to cauterizing.
• Another option that usually is available in most operating rooms is spray topical thrombin. This usually works well in most cases where the socket or surrounding tissue continues to ooze. Simply spraying the topical thrombin onto the site and then having the patient bite into gauze usually stops most minor bleeding.
• If the preceding measures are not effective in controlling bleeding, consult a specialist. Consider the use of FFP or platelets if a coagulopathy is identified.
If bleeding can be controlled, patients may be discharged and should be instructed not to eat or drink anything for several hours and then only cold liquids and soft foods. Silk sutures require removal in approximately seven days.
Alveolar Osteitis (Dry Socket). Dry socket pain can be severe and often requires definitive treatment.
Alveolar osteitis is a localized osteomyelitis that occurs when exposed alveolar bone becomes inflamed. This typically occurs after a clot that is present after a tooth extraction becomes dislodged or dissolves, which is most common 2-4 days after a tooth extraction.
The exam is unremarkable with the exception of the missing clot, which is not always obvious to the untrained eye. Smoking, drinking from a straw, periodontal disease, and hormone replacement are all risk factors that predispose a patient to a dry socket. The incidence of dry socket is approximately 2-5%, however, this number increases if the extraction is especially traumatic or if the tooth involved is an impacted third molar.2,16
Patients presenting with dry socket usually do not respond to traditional nonsteroidal and narcotic pain medications, but a dental block provides immediate relief. Alveolar osteitis usually can be treated adequately after the initial pain is relieved. Irrigate the socket and gently suction any accumulated debris with a small Frasier tip suction catheter. The socket must then be filled, which usually will prevent recurrence of pain and allow healing to begin.
The socket may be packed with gauze that is impregnated with eugenol (oil of cloves) or a local anesthetic. Gauze tends to dry out and loosen, therefore, it usually needs to be replaced in 24-36 hours. Patients should see their dentist the next day or return to the ED so that their packing can be replaced. The socket also may be packed with a slurry of hemostatic gauze and eugenol (or lidocaine). The hemostatic gauze acts as a matrix to hold the anesthetic in place. A commercial paste for dry sockets (dry socket paste) also can be applied by itself into the socket. It has the advantages of staying in place longer than gauze and doesn't dry out. There also are other dry socket medicaments available from other companies.
Antibiotics can be given in alveolar osteitis but this is not common practice, and dry socket usually heals completely once the socket has been packed. They should be prescribed in conjunction with the patient's dentist or oral surgeon who performed the extraction.2
Dental Infections. Infections beginning in the mouth run the spectrum from minor, easily managed infections to abscesses to severe, life-threatening deep space infections that require airway management and operative intervention. The dental infections that present to the ED most commonly are secondary to pulp infection/inflammation or periodontal disease. Disease of the periodontium usually is a chronic condition, but over time it can progress to the point where periodontal abscesses form and emergency treatment is required. Emergency physicians should be able to drain abscesses of dental origin that do not extend into the deep spaces, that have well defined boundaries, and that are easily accessible.
Diseases of the pulp can be secondary to trauma or operations, but clearly the most common cause is secondary to bacterial invasion after the carious destruction of the enamel. As enamel is destroyed, caries development progresses rapidly through the dentin and into the pulp chamber, causing an inflammatory reaction termed pulpitis. If the erosion caused by the bacteria is large enough to drain the developing inflammation, the patient may remain asymptomatic for a long period of time. When the drainage becomes blocked, the process progresses to the pulp and the periapical space, causing exquisite tenderness. A periapical abscess will follow the path of least resistance, which may be through the alveolar bone and gingiva and into the mouth or into the deep structures of the neck. (See Figure 11.) If the infection has progressed apically through the alveolar bone and there is localized swelling and tenderness at the base of the tooth, incision and drainage is indicated. These abscesses usually are seen at the gingival margin. Incision and drainage is performed easily by making a stab incision with a #11 blade over the area of maximal fluctuance. Small abscesses do not require a drain to be placed; however, large abscesses may benefit from a drain. A fenestrated drain or a piece of 1/4" gauze is acceptable and should be tacked to the mucosa with silk suture to prevent aspiration. Antibiotics that cover oral flora are prescribed.
| Figure 11. Deep Space Infections |
|
|
In the ED, the differentiation between periapical abscesses and pulpitis is very difficult, and dental bite-wing x-rays seldom are available. Therefore, in the absence of recent trauma or instrumentation, some physicians begin antibiotics if the patient complains of tooth pain and there is percussion tenderness. Routine antibiotics for tooth pain that is caused by pulpitis, instrumentation, or localized abscess are not recommended by the dental societies, and a recent study in the emergency medicine literature suggests that the use of antibiotics for undifferentiated dental pain is not necessary.25,26 Antibiotics have been recommended for odontogenic infections that have spread outside the immediate periapical area or have associated systemic signs, such as fever, swelling, or trismus. A supraperiosteal infiltration (tooth block) should be performed in most cases as this not only provides immediate and long-acting relief, but it has been shown to decrease the requirement for narcotic analgesic even after the anesthetic has worn off.
Periodontal disease, unlike pulpal disease, usually is asymptomatic unless accompanied by abscess or ulcerations. Periodontal disease is infection of the gingiva, periodontal ligament, or the alveolar bone, which essentially makes up the attachment apparatus of the tooth. Gingivitis is an inflammation of the gingiva caused by bacteria and, in advanced disease, the gingiva becomes red, inflamed, painful, and bleeds easily. In chronic disease, abscess formation occurs as organisms become trapped in the periodontal pocket. The purulent collection usually drains through the gingival sulcus. However, it can become invasive and involve the supporting tissues, alveolar bone, and the periodontal ligament (periodontitis). Periodontal abscesses that are not draining adequately through the gingival sulcus should be drained in the ED. Antibiotics should be prescribed. Penicillin is the initial drug of choice for odontogenic infections. Clindamycin is used if a patient is penicillin-allergic. Saline rinses are encouraged to promote drainage, but chlorhexidine rinses can be substituted for saline in more severe disease.25
Pericoronitis usually occurs when the wisdom teeth erupt and when the gingiva overlying the erupting teeth becomes traumatized and inflamed. The gingiva overlying the crown may entrap bacteria and occasionally becomes infected, but usually the patient presents with pain from inflamed gingival tissue. Rarely, however, the localized infection can spread to deeper tissues such as the pterygomandibular or submasseteric spaces. Clinically, patients with spread of their pericoronal infections will present with trismus secondary to irritation of the masseter and pterygoid muscles. If pericoronal infection is localized, saline rinses and oral antibiotics are prescribed with dental follow up in 24-48 hours.
Deep Space Infections of the Head and Neck. It is not unusual for odontogenic infections to spread to the various potential spaces of the head and neck. Presenting signs and symptoms are varied but usually consist of pain, swelling, difficulty with swallowing or speech, trismus, and fever and chills. (See Table 2.) Certain teeth allow spread of infection to particular deep spaces of the head and neck, but rapid spread of these infections can make localizing the exact space difficult. The potential spaces involved may include the buccal, temporal, submasseteric, sublingual, submandibular, or parapharyngeal. Maxillary extension of periapical abscesses can spread to the infraorbital space and subsequently to the cavernous sinus through the ophthalmic veins resulting in cavernous sinus thrombosis. Cavernous sinus involvement usually is associated with periorbital cellulitis as well as meningeal signs or a change in mental status.
| Table 2. Signs and Symptoms of Deep Space Neck Infections |
|
|
Infections of the anterior mandibular teeth often spread to the buccinator space or sublingual space, while those of the mandibular molars spread into the submandibular space. The submandibular space connects to the sublingual space and, when bilateral involvement of the sublingual spaces occurs, a condition known as Ludwig's angina occurs. Most cases of Ludwig's angina are secondary to dental infection and can be life threatening. Specific attention should be paid to the floor of the mouth, the tongue, and the neck during physical examination. Airway precautions are of paramount importance.27 As the infection progresses, the submandibular, submental, and sublingual spaces all become edematous, and there may be elevation of the tongue and the soft tissues of the mouth. The soft tissues of the posterior pharynx also can become involved. The hyoid and suprahyoid regions of the neck become tense and indurated, and landmarks soon may become obscured.
The management of complicated odontogenic head and neck infections focuses primarily on airway management, surgical debridement and drainage, and antibiotics. CT scanning has become the imaging modality of choice for deep space infections of the head and neck and should be utilized to localize and delineate collections of abscess or cellulitis that cannot be precisely determined from physical exam.28 Airway intervention is of paramount importance and should be performed early if there is any question of compromise. The practitioner should feel comfortable with airway rescue techniques as well as tracheostomy, which sometimes is necessary.27 The emergency physician should administer intravenous antibiotics and obtain surgical consultation early in the evaluation and treatment of the patient.
The bacteria usually isolated from deep space infections of the head and neck typically consist of a mixed bacterial infection of streptococcus/staphylococcus or mixed aerobic/anaerobic infections. Almost half of isolates from odontogenic infections are resistant to beta-lactam antibiotics.29 Drugs of choice include penicillin G plus flagyl or extended spectrum penicillins such as ampicillin/sulbactam, ticarcillin/clavulanate, and piperacillin/ tazobactam. These combination antibiotics are effective against beta lactamase producing bacteria as well as common oral anaerobes such as Bacteroides fragilis. Clindamycin is an effective choice for penicillin-allergic patients but it should be combined with a cephalosporin such as cefotetan or cefoxitin to cover resistant organisms. It is prudent to remember that antibiotics are adjunctive therapy only and are not a substitute for surgical therapy.
Other Considerations
The Elderly. The elderly are much more likely to have implants, prosthetic teeth, or other dental appliances. They also are more likely to have comorbid conditions or to be immunocompromised. These issues must be taken into consideration when determining what steps are necessary to best preserve the function of a traumatized or infected tooth. It is wise to consult dentists or other dental sub-specialists liberally in patients with significant dental hardware.
Children. The primary dentition, of course, is very different from the permanent dentition. This is especially important to remember when dealing with intruded teeth and avulsed teeth as intruded baby teeth usually are allowed to erupt, whereas intruded permanent teeth usually are repositioned. Avulsed primary teeth never are replaced in the ED. If there is a question as to whether a tooth is a permanent tooth, it should be implanted (or placed in a storage medium) and a panoramic film should be obtained.
Today's Standards. Today's EDs are showcases of technological advancement with tracking systems, voice recognition, ultrasound machines, electronic charting, and miracle medications. Unfortunately, many EDs do not have the equipment and supplies necessary when it comes to treating simple dental injuries and infections. Many of the items that a dentist would use are readily available to emergency physicians from several sources. (See Table 3.) There are several commercially available dental kits designed for EDs. Many of the items also can be obtained from dental suppliers, such as The Dental Box (www.dentalbox.net), Henry Schein (www.henryschein.com), Patterson Dental (www.pattersondental.com), and Smart Practice (www.smartpractice.com).
| Table 3. Dental Equipment Needed in the ED |
|
|
Disposition
The vast majority of patients presenting to EDs with dental complaints can be treated as outpatients. Such problems usually include fractures, luxated and subluxed teeth, carious teeth, and simple abscesses. The management of complicated fractured teeth, alveolar ridge fractures, and intruded teeth should include consultation with a dentist or oral surgeon prior to discharge if at all possible. It is important to remember that most ED visits relating to teeth are precipitated primarily by pain. Treat pain aggressively with oral analgesics and dental blocks. Long-acting anesthetics such as bupivacaine are preferred.
Deep space infections are serious and can be life-threatening if not assessed properly and treated aggressively. Generally, if an abscess if limited to a buccal space of the cheek, it usually can be treated as an outpatient as long as follow up can be assured. Similarly, unilateral submandibular abscesses can be managed on an outpatient basis as long as there is no airway involvement, change of voice, etc. CT scanning is an invaluable tool in assessing spread of these infections and usually should be obtained if the diagnosis is uncertain or the patient has trismus, difficulty swallowing, or if the swelling crosses the midline. In milder deep space infections, antibiotics should be initiated in the ED and definitive follow up should be arranged. Any patient with bilateral neck involvement, airway compromise, toxic appearance, or high likelihood of noncompliance should be admitted for IV antibiotics and specialty consultation. Borderline cases can be discharged with next day ED or specialist follow up .
References
1. Bringhurst C, Herr RD, Aldous JA. Oral trauma in the emergency department. Am J Emerg Med 1993;11:486-490.
2. Dale RA. Dentoalveolar trauma. Emerg Med Clin North Am 2000;18:521-538.
3. Klokkevold P. Common dental emergencies. Evaluation and management for emergency physicians. Emerg Med Clin North Am 1989;7:29-62.
4. Waldrop R, Ho B, Reed S. Increasing frequency of dental patients in the rrban ED. Am J Emerg Med 2000;18:687-689.
5. Marino TG, West LA, Liewehr F, et al. Determination of periodontal ligament cell viability in long shelf-life milk. J Endod 2000;26:699-702.
6. Lee J. Management of avulsed permanent incisors: A decision analysis based on changing concepts. Pediatric Dentistry 2001;23:357-360.
7. Olson BD, Mailhot JM, Anderson RW, et al. Comparison of various transport media on human periodontal ligament cell viability. J Endodontics 1997;23:676-679.
8. Alonso LL, Purcell TB. Accuracy of the tongue blade test in patients with suspected mandibular fracture. J Emerg. Med 1995;13:297-304.
9. Druelinger L. Radiographic evaluation of the facial complex. Emerg Med Clin North Am 2000;18:393-410.
10. Noyek AM, Kassel EE, Wortzman G, et al. Contemporary radiologic evaluation in maxillofacial trauma. Otolaryngol Clin North Am 1983;16:473-508.
11. Markowitz BL, Sinow JD, Kawamoto HK, et al. Prospective comparison of axial computed tomography and standard panoramic radiographs in the diagnosis of mandibular fracture. Ann Plas Surg 1999;42:163-169.
12. Roberts J, Hedges J. Clinical Procedures in Emergency Medicine. 4th ed. Philadelphia: W.B. Saunders; 2004.
13. Jastak T, Yagiela J ,Donaldson D. Local Anesthesia of the Oral Cavity. Philadelphia: W.B.Saunders; 1995.
14. Haraden B, Zwemer FL. Descending necrotizing mediastinitis: Complication of a simple dental infection. Ann Emerg Med 1997; 29:683-686.
15. Rauschenberger CR, Hovland EJ. Clinical management of crown rractures. Dent Clin North Am 1995;39:25-51.
16. King R. Orofacial. In: Montgomery M, Reddy S, eds. Oral-Facial EmergenciesDiagnosis and Management., 1st ed. Portland, Oregon: JBK Publishing; 1994.
17. Ellis S. Incomplete tooth fractureproposal for a new definition. British Dental Journal 2001;190:424-428.
18. Blatz M. Comprehensive treatment of traumatic fracture and luxation injuries in anterior permanent dentition. Pract Proced.Aesthet Dent 2001;13:273-279.
19. McTigue D. Diagnosis and management of dental injuries in children. Pediatr Clin North Am 2000;47:5.
20. Bakland LK, MilledgeT, Nation W. Treatment of crown fractures. J Calif Dent Assoc 1996;24:45-50.
21. Amsterdam J. Dental disorders. In: Rosen, Barkin. Emergency Medicine, Concepts and Clinical Practice. 4th ed. St. Louis: Mosby; 1998.
22. Dumsha TC. Luxation Injuries. Dental Clin North Am 1995;39:79-91.
23. Barrett EJ, Kenny DJ. Avulsed permanent teeth: A review of the literature and treatment guidelines. Endod Dent Traumatol 1997; 13:6153-6318.
24. Krasner P. Modern treatment of avulsed teeth by emergency physicians. Am J Emerg Med 1994;12:241-246.
25. Ashman S. Oral cavity and dental emergencies. In: Eisele D, McQuone D. Emergencies of the Head and Neck. St. Louis: Mosby; 2000.
26. Runyon MS. Efficacy of penicillin for dental pain without overt infection. Acad Emerg Med 2004; :1268-1271.
27. Neff SP, Merry AF, AndersonB. Airway management in Ludwig's angina. Anesthesia and Intensive Care 1999;27:659-661.
28. Lazor JB, Cunningham MJ, Eavey RD, et al. Comparison of computed tomography and surgical findings in deep neck infections. Otolaryngol Head Neck Surg 1994;111:746.
29. Gilbert DN, et al. Sanford Guide to Antimicrobial Therapy. Sperryville, VA: Antimicrobial Therapy, Inc.;2005.

















