Management of Common Knee Complaints and Injuries: Part I
December 24, 2001 17 minutes read
Management of Common Knee Complaints and Injuries: Part I
Authors: Jon K. Sekiya, MD, Fellow, Center for Sports Medicine, Department of Orthopaedic Surgery, University of Pittsburgh Medical Center, Pittsburgh, Pa; Hussein A. Elkousy, MD, Fellow, Center for Sports Medicine, Department of Orthopaedic Surgery, University of Pittsburgh Medical Center, Pittsburgh, Pa; and Christopher D. Harner, MD, Professor and Director, Center for Sports Medicine, Department of Orthopaedic Surgery, University of Pittsburgh Medical Center, Pittsburgh, Pa.
Editor’s Note—Primary care physicians are often confronted with knee pain or discomfort as a primary patient complaint. Knee pathology may range from acute traumatic injuries to chronic degenerative conditions and may occur at all ages ranging from children to the elderly. Management also may vary from conservative treatment to surgical intervention, and depends on the pathology being addressed as well as the details pertaining to the individual’s condition and circumstances.
A complete knowledge of disorders of the knee and the treatment options available is essential to the appropriate management of these problems. This information allows the primary care physician to discuss all management options with their patients and come up with the most satisfactory course of treatment for both the patient and the physician. Proper management also requires an appropriate work-up with supportive diagnostic imaging modalities as well as prompt referral to an orthopaedic surgeon for conditions that may require urgent or semi-urgent surgical intervention.
Patellofemoral disorders are a common source of knee pain, especially in young women. Conservative management is the mainstay of treatment for this disorder. Rarely is surgery indicated.
With the increasing emphasis on sporting activities among the general population, knee ligament and cartilage injuries are becoming more and more common. Patients often present to their primary care physician’s office with a swollen and painful knee. The initial management and prompt work-up of these injuries is essential to a good outcome.
Pediatric patients present with unique knee problems that are very different from those of adults. An understanding of these differences is essential to their management. Part of the problem with childhood knee complaints includes the risk of growth disturbances that are associated with physeal injuries.
As the population continues to age, the prevalence of knee degenerative arthritis is increasing. Often patients with these problems first present to their primary care physician for evaluation and management. Only after conservative treatment has been exhausted should surgical management be considered.
The following report reviews the current knowledge in the treatment of common knee complaints and injuries that may present to the primary care physician’s office. In depth management options are discussed for a variety of knee problems and include a discussion of patellofemoral disorders, ligamentous injuries, and cartilaginous injuries. Part II of this article will include a discussion of acute fractures, tendonitis and bursitis about the knee, pediatric knee problems, and degenerative arthritis.
Diagnosis
An accurate diagnosis is important to the proper management of knee problems. A review of basic knee history and physical examination techniques is beyond the scope of this article. However, it is important to remember that knee pain can be a manifestation of a systemic disease; therefore, a thorough history is necessary. Important information includes involvement of other joints, presence of fever or chills, a personal or family history of an inflammatory arthropathy, presence of a rash, history of a flea or tick bite, or the presence of diffuse muscle aches or pains elsewhere in the body.1 Key historical or physical examination findings specific to the various conditions will be covered with the management of the individual disorders.
Additionally, appropriate imaging modalities are important to guide the physician towards the correct diagnosis. Plain films and magnetic resonance imaging (MRI) play a large role in the diagnostic workup of many types of knee pathology. The appropriate imaging tests will be highlighted in the text.
Management
Patellofemoral Disorders
Disorders of the patellofemoral joint include malalignment, chondromalacia patellae, lateral patellar compression syndrome, and patellar subluxation and dislocation. Common patient complaints include pain in the anterior part of the knee exacerbated with stair climbing, prolonged sitting, or driving for long periods.2,3 Others patients may describe painful crepitus beneath the patella with knee range of motion.2 Instability symptoms include dislocation or subluxation of the patella laterally.
On physical examination, overall limb alignment needs to be assessed to evaluate the quadriceps angle (Q angle).4 The Q angle is defined as the acute angle between a line drawn from the anterior superior iliac spine to the center of the patella, and a line from the center of the patella to the tibial tubercle.3 A Q angle of up to 12-15° is considered normal in females.5 Males tend to have lower Q angles. It is also important to evaluate medial and lateral patellar excursion (look for apprehension) as well as patellar tilt.1,2,4 Q angle can be visualized on postural exam or measured on radiograph. The examination must also include an assessment of patellar tracking and painful crepitation with knee range-of-motion.1,2,4
Standard weight-bearing anteroposterior (AP), lateral and Merchant axial view radiographs are appropriate in the initial workup of patellofemoral problems.1 The Merchant axial view is especially useful to evaluate lateral patellar subluxation or tilt. If there is a traumatic mechanism of injury and physical examination demonstrates an effusion, MRI may be useful in detecting intra-articular pathology such as patellar chondral defects or osteochondritis dissecans.1
Conservative treatment is usually successful in treating problems of the patellofemoral joint.1-4,6,7 Weight loss can significantly decrease the contact pressures seen at the patellofemoral articulation.2 Activity modification should be encouraged to avoid symptom-producing activities.3,4,7 A non-steroidal anti-inflammatory medication is appropriate in the initial symptomatic management of this problem.2-4,7 Bracing with a neoprene cutout patellar sleeve or with a lateral buttress pad may be helpful in some patients.1,3,4,6,7 Taping can also be used to prevent or decrease patellar tilt or lateral subluxation.1,3,4 Exercises including patellar tendon, hamstring, and lateral retinaculum stretching and quadriceps and hamstring strengthening with isometric progressive resistance should be incorporated into the conservative treatment protocol.1-4,6,7 Open-chain kinetic exercises should be avoided as this places excessive forces on the articular surfaces of the patellofemoral joint. In patients with pronated feet, correction with orthotics has been found to be helpful in some patients with patellofemoral pain.2-4,7
Referral to an orthopaedic surgeon may be indicated in select patients with symptoms despite compliance with a trial of conservative therapy. These patients may benefit from surgical intervention such as arthroscopic evaluation seeking other sources of the pain which may be addressed arthroscopically. Additionally, patients with a history of subluxation or dislocation, malalignment problems such as an increased Q angle, lateral patellar tilt, or a tight lateral retinaculum may benefit from lateral retinacular release or tibial tubercle realignment procedures.1,2,4,5,8
Ligamentous Injuries
Knee ligamentous injuries include disruption or damage to the anterior cruciate ligament (ACL), posterior cruciate ligament (PCL), lateral collateral ligament (LCL), posterolateral corner, medial collateral ligament (MCL), or a combination of these. There is usually a history of a specific acute injury that initiated the symptoms. Important historical questions include the position of the knee when it was injured and the mechanism of the injury. Is the problem an acute or chronic injury? Did the patient feel or hear a "pop" suggesting an ACL tear?9 Did the knee swell up immediately suggesting an intra-articular injury with associated hemarthrosis?9-11 Are there symptoms of instability and with what activities does the knee feel unstable? What treatment including surgery has already been performed?
A thorough physical examination is essential in the diagnosis of these injuries. It is important that the patient be able to relax the knee and surrounding muscles, otherwise, guarding may result in a false-negative examination.9 Comparison of ligament laxity to the contralateral, uninjured knee is essential in securing a diagnosis.9,10,12 Analysis of gait includes evaluation for a varus thrust or a hyperextension varus thrust and can signify chronic posterolateral corner laxity.13 A large effusion following a history of trauma usually is a hemarthrosis suggestive of an intra-articular injury such as damage to the ACL, PCL, patellar dislocation, or an intra-articular fracture.9,11 Ligament stress testing includes examination of varus and valgus laxity with the knee in 0° and 30° of flexion.12,14 Varus stress tests the LCL and valgus stress tests the MCL. A Lachman’s test and pivot shift test should be performed to evaluate the ACL.9-11,14-16 External rotation of the tibia on the femur at 30° and 90° of flexion is essential to evaluate for posterolateral corner and PCL injuries.13,14,17 Tibial sag should be evaluated with the knee in 90° of flexion and a posterior drawer should be performed to evaluate for PCL injury.14,17,18 A quadriceps active test can also be elicited to evaluate PCL integrity.11 When gross knee instability of 3 or more ligaments is present, a knee dislocation should be suspected and a careful neurological and vascular examination should be performed due to the high incidence of popliteal artery injuries with this condition.14,19 If the condition is acute, an angiogram should be performed to rule out an intimal tear despite normal pulses.14
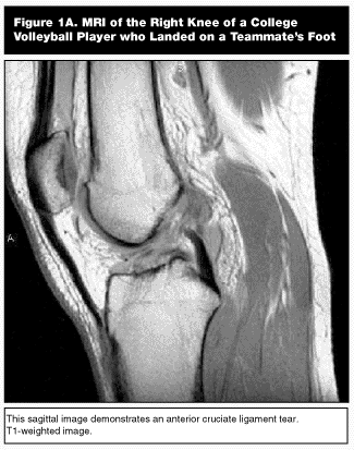
Radiography of the knee is essential in these injuries to evaluate for fractures or avulsed ligament insertions.9,10,14,17,19 Stress radiographs can also be helpful in diagnosing ligament instability. MRI can be very useful in evaluating the knee ligament structures although it is not essential if a careful physical examination can be performed.9,10,12 (see Figures 1A-B). MRI is also sensitive in diagnosing associated meniscal pathology in addition to ligamentous injuries.9,14,17,20,21
![]() |
![]() |
ACL. The management of ACL injuries begins with conservative therapy.22 Following an acute injury, weight bearing should be protected with crutches and advanced as quadriceps control is regained.9 Icing, elevation, and compression should all be part of the initial management of this injury. Aggressive physical therapy with range-of-motion and quadriceps and hamstring strengthening exercises are begun within a few days of the injury.9
Early referral to an orthopaedic surgeon to discuss treatment options is appropriate. While some patients with appropriately rehabilitated partial ACL tears may demonstrate a stable knee, the vast majority will have some degree of instability with twisting, turning, and jumping sports activities.9,22-24 If nonoperative management is to be considered, activity modification with avoidance of cutting and pivoting types of sports is necessary.9,11,22,24 Failure to modify activities would risk further damage to the knee including meniscal injury.9,11,22,24 With conservative therapy, rehabilitation and strengthening of the knee is essential before a return to any type of activity is allowed. This would include strengthening of the quadriceps and hamstring muscles to at least 90% that of the contralateral, uninjured knee.9 A derotational knee brace can be prescribed, however, this brace will not prevent instability symptoms with twisting, turning and jumping sports, and activity modification should be advised if nonsurgical management is elected.9,22
Patients who should be considered for ACL reconstructive surgery are those who desire to return to vigorous sporting activities or have repairable meniscal injuries.9,11,22,25 Patients with ACL deficiency are at an increased risk of further meniscus damage, and repairable meniscal injuries can turn into irreparable meniscal tears with recurrent subluxation episodes. In addition, patients who insist on continuing with twisting and turning sports with an ACL-deficient knee risk recurrent subluxations and further damage to the menisci and chondral surfaces of the joint, which may ultimately lead to knee joint arthrosis.9,22-24
There are a number of ways to surgically reconstruct the ACL. Most ACL surgery is done with arthroscopic assistance using a variety of ACL grafts. These include autograft tissue such as patellar tendon, hamstring tendons, and quadriceps tendon or allograft tissue such as patellar tendon, hamstring tendon, or Achilles tendon.9,14 (See Figures 2A-C.) Following reconstruction, a rigorous physical therapy protocol of 4-6 months or more is essential in order to optimize the final results.9,11
![]() |
![]() |
MCL. The vast majority of MCL injuries can be managed non-operatively. This involves aggressive physical therapy as with treatment of the ACL and protection in a hinged knee brace following initial management with icing, compression, and elevation.12,26 Once range of motion and strength are restored and tenderness resolves, the patient can be gradually returned to sporting activities.12,26 Surgical repair is rarely indicated, except in cases of concomitant ACL or other combined ligamentous injury, and only if there is persistent valgus instability despite ligament reconstruction.12,26,27
Posterolateral Corner/LCL. Injury to the LCL and posterolateral structures of the knee is most commonly associated with a concomitant injury to the ACL or PCL.13 For both isolated and combined posterolateral corner injuries, operative stabilization is usually necessary in order to prevent recurrent instability and deformity.13,28 Early (within 3 weeks of injury) surgical exploration and repair is usually successful and provides the best results.13 If insufficient tissue is identified for repair or with injuries older than 3 weeks, reconstruction with allograft or autograft tissue may be necessary to restore adequate stability. With chronic injuries, varus deformities may be present and require re-alignment procedures (high tibial osteotomy) prior to or in combination with the soft tissue reconstruction.
PCL. Isolated PCL injuries generally respond well to conservative treatment.17,29,30 This includes aggressive physical therapy with focus on quadriceps strengthening exercises. While functional activities are usually possible following an adequately rehabilitated PCL-deficient knee, some authors suggest that the increased posterior laxity after a period of time can lead to decreased knee function and accelerated degenerative changes.17,18,31
Surgical reconstruction of the PCL is indicated in patients with a grade III (greater than 10 mm of laxity) injury or other associated ligament injuries.17,29-31 PCL reconstruction can be performed through an open incision or arthroscopically assisted.17,31 Graft materials used to reconstruct the PCL are similar to those used in ACL reconstructive surgery and have already been discussed earlier.14,17,31
Combined Ligament Injuries. Combined ligament injuries pose a more difficult treatment dilemma as the knee is usually grossly unstable. Initial treatment includes immediate closed reduction, protection in a hinged-knee brace or splint, protected weightbearing with crutches, icing, compression, and elevation. Physical therapy should be started early with electrical stimulation of the quadriceps progressing to isometric strengthening of the quadriceps and hamstring muscles. Aggressive range of motion exercises are begun immediately with emphasis on terminal extension and full flexion. If the knee cannot be reduced initially or if the reduction cannot be maintained safely to initiate range of motion exercises, immediate referral to an orthopaedic surgeon and application of an external fixator or open reduction may be required.
Early orthopaedic evaluation is essential for adequate pre-operative surgical planning. Reconstruction or repair of all grossly unstable ligaments is usually indicated, preferably within 2-3 weeks of injury.14,17,19,32 Late reconstructions are possible, although the results are less favorable. Nonoperative treatment of these injuries can be considered in certain patient populations including the sedentary, elderly, or patients with multiple injuries or severe medical problems making surgery more risky and adequate post-operative rehabilitation unlikely.
Cartilaginous Injuries
Cartilaginous injuries can be classified into damage to the meniscus, popliteal cysts which are often associated with meniscal tears, and articular cartilage injury.
Meniscal Injuries. The medial and lateral meniscus act as shock absorbers and decrease the contact forces seen by the articular surfaces of the medial and lateral compartments of the knee.33 In addition, the medial meniscus is a secondary stabilizer to anterior tibial displacement. Injury to these structures compromises their function and may produce pain, locking, or catching symptoms. Often a small knee effusion is present. Joint line tenderness on the injured side, pain with full flexion of the knee, and a positive McMurray’s test helps with the diagnosis of the injury. In equivocal knee examinations, MRI can be helpful in securing a diagnosis.20,21,33 (See Figure 3.)
![]() |
In young patients presenting after an acute injury with suspected meniscal pathology, diagnostic arthroscopy to evaluate for reparable meniscal tears is often indicated.25 (See Figure 4.) Studies have shown that loss of any portion of functional meniscus can lead to accelerated degenerative arthritis.9,25,33,34 Therefore, the meniscus should be preserved and repaired if possible.25,33 (See Figure 5.) Meniscal repairs performed in conjunction with an ACL reconstruction have much higher rates of healing.33 Not all tears are reparable and if a tear is determined to be irreparable, a partial meniscectomy should be performed attempting to preserve as much functional meniscus as possible.
![]() |
![]() |
In the older patient population, repairable meniscal lesions are less likely and the results of repair are inferior in comparison with younger populations.33 Degenerative tears are common and can arise without a specific knee injury. In these cases, a trial of physical therapy with quadriceps and hamstring muscle strengthening and conditioning is appropriate as the first line of therapy. If knee pain is a result of an acute injury and accompanied by mechanical symptoms such as catching or locking, arthroscopy is indicated if the patient fails to improve with physical therapy. Any unstable areas of the degenerative meniscus tear can be debrided to a stable base to prevent locking and catching while preserving as much functional meniscus as possible.
Popliteal Cysts. Popliteal cysts, also known as Baker’s cysts, are synovial fluid-filled bursae that communicate with the knee joint through one-way valves between the medial head of the gastrocnemius muscle and the semimembranosus bursa.35-37 In adults, they are commonly associated with intra-articular pathology including degenerative posterior horn medial meniscal tears, rheumatoid and degenerative arthritis. Diagnosis is made with a careful history and physical examination, and confirmed with imaging studies such as ultrasound or MRI if there is any question.35,36,38,39 Initial management is conservative and directed toward treating the underlying pathology with nonsteroidal anti-inflammatory drugs, compression sleeves, and physical therapy.35 Aspiration can be attempted but the cyst usually recurs. If the cyst persists despite conservative management, arthroscopic intervention with correction of the underlying pathology, if possible, and destruction of the one-way valve is usually successful.35,37
Chondral Injuries. Damage to the chondral or articular cartilage surfaces of the knee is an early form of degenerative arthritis. These can occur during a ligament injury when the ends of the femur and tibia violently collide with each other or as the early, chronic manifestation of degenerative arthritis. These can be difficult to differentiate from meniscal injuries on physical examination as they often present with a small effusion, mechanical symptoms of locking and catching, pain with full flexion, and a positive McMurray’s test. MRI can be helpful in the diagnosis of these lesions. If an isolated defect is found, a number of treatments can be attempted including arthroscopic microfracture or drilling and cartilage autograft transfer.34,40
References
1. Fulkerson JP. Patellofemoral pain disorders: Evaluation and management. J Am Acad Orthop Surg. 1994;2:124-132.
2. Fu FH, Maday MG. Arthroscopic lateral release and the lateral patellar compression syndrome. Orthop Clin North Am. 1992;23:601-612.
3. Tria AJ, Palumbo RC, Alicea JA. Conservative care for patellofemoral pain. Orthop Clin North Am. 1992; 23:545-554.
4. Fulkerson JP, Shea KP. Current concepts review: Disorders of patellofemoral alignment. J Bone Joint Surg Am. 1990;72:1424-1429.
5. Henry JH, Goletz TH, Williamson B. Lateral retinacular release in patellofemoral subluxation: Indications, results, and comparison to open patellofemoral reconstruction. Am J Sports Med. 1986;14:121-129.
6. Henry JH, Crosland JW. Conservative treatment of patellofemoral subluxation. Am J Sports Med. 1979;7:12-14.
7. Dehaven KE, Dolan WA, Mayer PJ. Chondromalacia patellae in athletes: Clinical presentation and conservative management. Am J Sports Med. 1979;7:5-11.
8. Hawkins RJ, Bell RH, Anisette G. Acute patellar dislocations: The natural history. Am J Sports Med. 1986;14:117-120.
9. Larson RL, Taillon M. Anterior cruciate ligament insufficiency: Principles of treatment. J Am Acad Orthop Surg. 1994;2:26-35.
10. Stanitski CL. Anterior cruciate ligament injury in the skeletally immature patient: Diagnosis and treatment. J Am Acad Orthop Surg. 1995;3:146-158.
11. Daniel DM, et al. Fate of the ACL-injured patient: A prospective outcome study. Am J Sports Med. 1994;22:632-644.
12. Indelicato PA. Isolated medial collateral ligament injuries in the knee. J Am Acad Orthop Surg. 1995;3:9-14.
13. Veltri DM, Warren RF. Posterolateral instability of the knee. J Bone Joint Surg Am. 1994;76:460-472.
14. Cole BJ, Harner CD. The multiple ligament injured knee. Clin Sports Med. 1999;18:241-262.
15. Donaldson WF, Warren RF, Wickiewicz TL. A comparison of acute anterior cruciate ligament examinations: Initial versus examination under anesthesia. Am J Sports Med. 1985;13:5-10.
16. Bach BR, Warren RF, Wickiewicz TL. The pivot shift phenomenon: Results and description of a modified clinical test for anterior cruciate ligament insufficiency. Am J Sports Med. 1988;16:571-576.
17. Harner CD, Hoher J. Evaluation and treatment of posterior cruciate ligament injuries. Am J Sports Med. 1998;26:471-482.
18. Keller PM, et al. Nonoperatively treated isolated posterior cruciate ligament injuries. Am J Sports Med. 1993;21:132-136.
19. Good L, Johnson RJ. The dislocated knee. J Am Acad Orthop Surg. 1995;3:284-292.
20. Fischer SP, et al. Accuracy of diagnoses from magnetic resonance imaging of the knee: A multi-center analysis of one thousand and fourteen patients. J Bone Joint Surg Am. 1991;73:2-10.
21. Raunest J, et al. The clinical value of magnetic resonance imaging in the evaluation of meniscal disorders. J Bone Joint Surg Am. 1991;73:11-16.
22. Noyes FR, Matthews DS, Mooar PA. The symptomatic anterior cruciate-deficient knee: Part II: The results of rehabilitation, activity modification, and counseling on functional disability. J Bone Joint Surg Am. 1983;65:163-174.
23. Hawkins RJ, Misamore GW, Merritt TR. Follow-up of the acute nonoperated isolated anterior cruciate ligament tear. Am J Sports Med. 1986;14:205-210.
24. Noyes FR, et al. The symptomatic anterior cruciate-deficient knee: Part I: The long-term functional disability in athletically active individuals. J Bone Joint Surg Am. 1983;65:154-162.
25. McCarroll JR, Rettig AC, Shelbourne KD. Anterior cruciate ligament injuries in the young athlete with open physes. Am J Sports Med. 1988;16:44-47.
26. Indelicato PA. Non-operative treatment of complete tears of the medial collateral ligament of the knee. J Bone Joint Surg Am. 1983;65:323-329.
27. Inoue M, et al. Treatment of the medial collateral ligament injury: The importance of anterior cruciate ligament on the varus-valgus knee laxity. Am J Sports Med. 1987;15:15-21.
28. Hughston JC, Jacobson KE. Chronic posterolateral rotatory instability of the knee. J Bone Joint Surg Am. 1985;67:351-359.
29. Parolie JM, Bergfeld JA. Long-term results of nonoperative treatment of isolated posterior cruciate ligament injuries in the athlete. Am J Sports Med. 1986;14:35-38.
30. Torg JS, et al. Natural history of the posterior cruciate ligament-deficient knee. Clin Orthop. 1989;246:208-216.
31. Clancy WG, et al. Treatment of knee joint instability secondary to rupture of the posterior cruciate ligament: Report of a new procedure. J Bone Joint Surg Am. 1983;65:310-322.
32. Baker CL, Norwood LA, Hughston JC. Acute combined posterior cruciate and posterolateral instability of the knee. Am J Sports Med. 1984;12:204-208.
33. Belzer JP, Cannon WD. Meniscus tears: Treatment in the stable and unstable knee. J Am Acad Orthop Surg. 1993;1:41-47.
34. Cole BJ, Harner CD. Degenerative arthritis of the knee in active patients: Evaluation and management. J Am Acad Orthop Surg. 1999;7:389-402.
35. Curl WW. Popliteal cysts: Historical background and current knowledge. J Am Acad Orthop Surg. 1996;4:129-133.
36. Stone KR, et al. The frequency of baker’s cysts associated with meniscal tears. Am J Sports Med. 1996;24:670-671.
37. Sansone V, De Ponti A. Arthoscopic treatment of popliteal cyst and associated intra-articular knee disorders in adults. Arthroscopy. 1999;15:368-272.
38. Seil R, Rupp S, Jochum P. Prevalence of popliteal cysts in children: A sonographic study and review of the literature. Arch Orthop Trauma Surg. 1999;119:73-75.
39. Van Rhijn LW, Jansen EJ, Pruijs HE. Long-term follow-up of conservatively treated popliteal cysts in children. J Pediatr Orthop Part B. 2000;9:62-64.
40. Buckwalter JA, Mow VC, Ratcliffe A. Restoration of injured or degenerated articular cartilage. J Am Acad Orthop Surg. 1994;2:192-201.
Readers are Invited. . .
Readers are invited to submit questions or comments on material seen in or relevant to Primary Care Reports. Send your questions to: Robin Mason, Primary Care Reports, c/o American Health Consultants, P.O. Box 740059, Atlanta, GA 30374. For subscription information, you can reach the editors and customer service personnel for Primary Care Reports via the internet by sending e-mail to [email protected].
You have reached your article limit for the month. Subscribe now to access this article plus other member-only content.
- Award-winning Medical Content
- Latest Advances & Development in Medicine
- Unbiased Content






