Pediatric Shoulder, Elbow, and Forearm Injuries: Early Identification and Age-Appropriate Management
March 1, 2002 22 minutes read
Pediatric Shoulder, Elbow, and Forearm Injuries: Early Identification and Age-Appropriate Management
Author: Mary Jo A. Bowman, MD, FAAP, Associate Professor of Clinical Pediatrics, The Ohio State University College of Medicine; Attending Physician, Columbus Children’s Hospital, Columbus, OH.
Peer Reviewer: Michael Altieri, MD, FAAP, FACEP, Chief, Pediatric Emergency Medicine, Fairfax Hospital; Pediatric Residency Director, University of Virginia/Fairfax Hospital for Children, Falls Church, VA.
Unintentional injuries are the leading cause of death and disability among children in the United States. Musculoskeletal system trauma accounts for approximately one-third of injury-related hospital admissions and half of injury-related emergency department (ED) visits.1 The cost, both in terms of dollars spent and time lost in normal activities, is significant.2
The recognition of unique pediatric anatomic differences and special fracture types is crucial to the management of orthopedic injuries in children. This article will briefly review the unique features of the pediatric skeleton, discuss common orthopedic injuries to the upper extremity, and offer insight into less well-recognized clinical entities. — The Editor
Pediatric Skeletal Properties
The bone of a growing child is more porous than mature adult bone. Because of this property, children are more prone to unique injuries, such as torus (buckling) and greenstick fractures, as well as bowing or plastic deformation. Another anatomic difference of pediatric bone is the presence of a thick periosteum in children. This separates from the bone easily and is more resistant to tearing, often remaining intact on one side of the fracture. The thickness of the periosteum decreases the incidence of fracture displacement and increases the probablility of a more stable fracture. Pediatric periosteum also possesses increased osteogenic capability, leading to faster healing and making nonunion a rare occurrence in children.
Children’s bones are in a dynamic state of growth, with the new bone growth that occurs at fracture sites generally laid down in the plane of motion of the joint. This corrects some fracture longitudinal malalignment and allows for toleration of greater degrees of angulation, especially if the child has at least two years of growth remaining.3
Finally, growth plate or physeal injuries are unique to the pediatric population. Growth plates are weak structures, as they are composed mostly of cartilage. An injury to the physis is more likely to occur than an adjacent ligamentous injury. This is important to recognize to prevent growth imbalance and deformity. The Salter-Harris classification is used to describe physeal injuries.1, 3-6
Clinical Evaluation
Attention to life-threatening injuries takes precedence, especially in the multiply-injured child. Once this is accomplished, a detailed history and more focused physical examination can take place. Most upper extremity injuries are isolated in nature, and certain characteristic fractures occur commonly.
History. A history should be obtained from the patient, if possible, and any witnesses to the injury. Pain and fear may make this task more difficult, but a calm and gentle approach will facilitate this. Details of the mechanism of injury, combined with the child’s developmental level, often enable the treating physician to predict the type of injury likely to be present. Histories that are vague or inconsistent should raise concern about nonaccidental injury.
Physical Examination. The overlying skin should be inspected for any break that would signify an open fracture. The neurovascular status should be evaluated carefully, especially before and after any splinting or reduction takes place. The injured area, including the joints above and below, should be palpated and checked for deformity, pain, swelling, and abnormal motion.
Diagnosis. The injured extremity should be splinted before radiographs are obtained, and appropriate analgesia should be administered. Radiographs should include at least two perpendicular views, usually anteroposterior (AP) and lateral, with the joints above and below included. Comparison views of the noninjured extremity may be helpful, especially in the elbow area, but are not routinely recommended.7
Special Considerations
Elbow Alignment. Elbow fractures may be obvious or very subtle in their presentation. Knowledge of the normal alignment and ossification centers is needed to correctly identify the more subtle fractures. The average age of appearance of ossification centers is noted in Table 1.
| Table 1. Ossification Centers of the Elbow | |
| Ossification Centers | Age of Appearance |
| Capitellum | 1 year |
| Medial epicondyle | 4-5 years |
| Radial head | 4-6 years |
| Olecranon | 6-9 years |
| Trochlea | 8-10 years |
| Lateral epicondyle | 10-12 years |
| |
|
A true lateral view of the elbow is needed to ascertain proper alignment. The anterior humeral line is a line drawn down the anterior margin of the humerus.3,8 In the true lateral view, this line should intersect the capitellum in its posterior two-thirds. (See Figure 1.) If it does not, suspect an occult fracture (usually supracondylar).
![]() |
The radius should point to the capitellum in all views to assure proper alignment. If not, look for an elbow dislocation, Monteggia fracture, lateral condyle fracture, or radial neck fracture.8 Comparison views of the nontraumatized elbow sometimes are used when the diagnosis is in question. However, several studies have shown that this practice is not helpful for improving overall diagnostic accuracy and rarely should be used.7,9
Posterior Fat Pads. Another subtle sign of an occult elbow fracture is the presence of a posterior fat pad. On a true lateral x-ray, a posterior fat pad may be seen as a radiolucency posterior to the distal humerus adjacent to the olecranon fossa. This sign was first described in 1954 and was thought to be associated with a fracture of the elbow.10 Several subsequent studies reported the prevalence of a fracture in those with a posterior fat pad and no detectable fracture to be 6-29%.11,12 These studies were retrospective and included both adults and children. A recent prospective study of children demonstrated that the posterior fat pad sign was predictive of an occult fracture in 76% of the children in whom no detectable fracture was noted.13 The authors recommend conservative treatment as a nondisplaced fracture when a posterior fat pad is noted.
Summary of Fractures
Table 2 lists general guidelines for the most common upper extremity fractures seen in children. The treatments listed are conservative in nature and do not reflect regional preferences. Individual specific treatment and referral will vary institutionally.
| Table 2. Summary of Fractures | ||
| Bone | Mechanism of Injury | Treatment |
| Clavicle | ||
| Middle | Fall onto shoulder or outstretched hand |
Figure-of-eight or sling/swathe |
| Distal | Fall onto shoulder or outstretched hand |
Sling/swathe |
| Humerus | ||
| Proximal | Extension of arm in adduction | Sling/swathe |
| Shaft | Fall on elbow or hand/ direct impact |
Sling/swathe |
| Sugar tong (adolescents) | ||
| Elbow | ||
| Supracondylar | Hyperextension fall | Nondisplaced: Posterior splint with elbow at 90° |
| Displaced: Orthopedic reduction, pinning | ||
| Lateral condyle | Fall on outstretched hand | Nondisplaced: Posterior splint |
| Displaced: > 2mm, reduction/pinning | ||
| Medial condyle | Fall on hand with valgus stress | Nondisplaced: Posterior splint |
| Displaced: Open reduction | ||
| Olecranon | Direct trauma | Nondisplaced: Splint in partial extension |
| Displaced: Open reduction/fixation | ||
| Radial head/neck | Fall on outstretched hand | Nondisplaced: Posterior splint |
| Displaced or >15° angle: Reduction | ||
| Radius/Ulna | ||
| Shaft | Fall on outstretched hand | Nondisplaced: Long arm cast or splint |
| >10° angle: Reduction (open/closed) | ||
| Distal | Fall on outstretched hand | Nondisplaced: Cast or splint |
| Displaced or >10-15° angle: Reduction | ||
| Monteggia | Fall on outstretched hand | Reduction |
| Galeazzi | Fall on outstretched hand | Reduction |
|
|
||
Specific Fractures. Clavicle. The clavicle is one of the more frequently fractured bones in the body.1 The area between the middle and lateral thirds is the most common site of fracture.3 These fractures may occur from both direct and indirect force. Short falls onto a shoulder with medially directed impact or falls onto an extended arm may result in a fracture.
On physical examination, pain is noted with movement of the upper arm or neck. Local swelling, tenderness, and crepitus at the fracture site can help with the diagnosis. AP radiographs are sufficient to visualize most fractures and to determine the degree of displacement or angulation.
A figure-of-eight, or clavicle strap, often is used for treatment of a mid-shaft fracture. This strap holds the shoulders in abduction. Older children and adults may be more comfortable in a sling and swathe. This is the recommended treatment for distal third fractures. The treatment usually lasts 3-4 weeks, with reduction rarely indicated except in the case of severe displacement or tenting of the skin.1,3-6
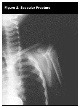
Scapula. Fractures of the scapula are rare in children and usually occur as the result of direct high-energy trauma or a crush injury and frequently are associated with other, more serious injuries. On examination, pain usually is noted over the scapula, and the child will be reluctant or unable to move the upper arm. Plain AP radiographs usually will reveal the fracture. (See Figure 2.) Tangential or oblique views are sometimes necessary, however, to see the fracture. Most fractures are not displaced. Treatment for the isolated scapular fracture is a sling and swathe for 3-4 weeks.4,5
![]() |
Humerus: Proximal. Most proximal humerus fractures occur at the epiphysis.6 Salter I and Salter II fractures occur frequently, especially in children ages 11-15.1,3 These fractures result from falling on an extended arm that is adducted, such as the position assumed in breaking a fall. Direct trauma also can cause a fracture.
In addition to pain with even slight movement of the arm, swelling and tenderness are noted at the site. AP and lateral radiographs should be obtained. Treatment consists of a sling and swathe in most instances. If there is greater than 40° angulation, evidence of malrotation, or displacement of more than 1 cm, reduction may be needed.3-6
Humerus: Shaft. Shaft fractures of the humerus are not common. When they do occur, the middle third is the most common location.4,5 Falling on an elbow or hand can cause an oblique or comminuted fracture. Spiral fractures may occur if the body twists during the fall. Although these fractures may occur from accidental trauma, they should raise concern about potential non-accidental trauma, as a twisting force is necessary for this type of fracture.4,5,14
The child usually will have pain with motion on examination. Swelling, tenderness, and sometimes deformity can be seen. The radial nerve may be injured, and it is important to check for sensation dorsally between the thumb and index finger. Motor function can be checked by having the patient extend the wrist and finger extensors. AP and lateral radiographs are sufficient for the diagnosis. (See Figure 3.)
![]() |
Treatment with a sling and swathe is used in the younger child. A sugar tong or coaptation splint with the elbow at 90° may be more comfortable for the older child. Reduction may be needed if there is excessive overriding or angulation (> 20° in child or 10° in adolescent) of the fracture.4-6 Radial nerve injury requires orthopedic consultation and close follow-up.
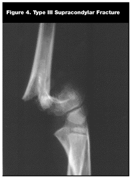
Elbow. Supracondylar. Supracondylar fractures are the most common elbow fracture in children.1,3,8 Most fractures occur in children between 3 and 10 years of age. A fall on an outstretched arm with hyperextension of the elbow is the most common mechanism of injury. Three types of supracondylar fractures commonly are described.8 Type I is a nondisplaced fracture. Type II is a displaced and angulated fracture but with the posterior cortex intact. Type III is a completely displaced fracture with no cortical contact. (See Figure 4.) Most type III fractures have the distal fragment displaced posteriorly.
![]() |
On physical examination, pain with flexion of the elbow often is noted and tenderness over the distal humerus usually is present. The swelling varies depending on the type of fracture and associated underlying neurovascular injury. The assessment of the distal neurovascular status is especially important in this type of fracture. Increasing pain and/or paresthesias are worrisome signs and may signal a compartment syndrome.4,5,8 AP and true lateral radiographs should be obtained after splinting. Type I fractures may be subtle, and attention should be paid to alignment of the anterior humeral line and posterior fat pad sign.
Treatment of a type I supracondylar fracture is immobilization in a long arm posterior splint with the elbow flexed to 90° with the forearm neutral or pronated.4,5,15 Reassessment of neurovascular status after splinting should be done and documented. Follow-up for definitive casting should take place within 48-72 hours. Types II and III supracondylar fractures require prompt orthopedic consultation, reduction, and usually, admission to the hospital. Closed reduction with percutaneous pinning and even open reduction sometimes are used with these fractures.4,5,8,15
Lateral and Medial Condylar. Fractures of the lateral condyle account for about 15% of elbow fractures.6 Medial condyle fractures are seen less often. Falling on an outstretched hand with the forearm abducted is the usual mechanism of injury. Usually, a large amount of swelling is noted, and pain is noted on examination, especially with rotation of the elbow. A careful neurovascular examination must be done. AP and lateral radiographs will delineate the fracture in most instances, but occasionally an oblique view is needed.
Treatment of a nondisplaced fracture is immobilization in a long arm posterior splint with the elbow flexed to 90° and the forearm neutral or supinated. Close orthopedic follow-up is required, as displacement may occur. A fracture that is displaced more than 2 mm requires immediate orthopedic consultation, reduction, and usually pinning, as this fracture is unstable.4,5,8,15
Olecranon. Fractures of the olecranon are infrequent and usually are the result of a direct blow to the elbow. There is usually tenderness at the olecranon and decreased motion of the elbow. The neurovascular examination is important. AP and lateral radiographs generally discern most fractures; however, they may be subtle. A posterior fat pad usually is present.
Treatment of a nondisplaced or presumptive fracture is immobilization in a long-arm posterior splint. Some authors recommend the elbow be flexed to 90°, while others prefer partial extension. Close orthopedic follow-up is warranted. A displaced fracture requires orthopedic consultation and reduction which may include open reduction and internal fixation.4,5,16
Radial Head/Neck. Fractures of the radial head or neck are more common after 5 years of age.4 The mechanism of injury is usually a fall on an outstretched and supinated arm. On physical exam there often is restriction of both flexion/extension and supination/pronation. Swelling and ecchymosis of the elbow are noted, and point tenderness over the proximal radius often can be elicited. Pain often is referred to the wrist, so careful evaluation is of the elbow is warranted in children complaining of wrist pain. The neurovascular status should be checked with particular attention to the radial nerve. AP and lateral radio-graphs should be obtained.
Orthopedic referral is recommended for all fractures of the radial head or neck as complications may occur, such as loss of motion and avascular necrosis. Nondisplaced and incomplete fractures can be immobilized in a long-arm posterior splint with the elbow flexed to 90° and the forearm neutral. Displaced fractures or fractures with greater than 15° of angulation require prompt orthopedic referral.4,5,16
Radius/Ulna. Forearm fractures are very common in children. The distal radius and ulna are two of the more frequent bones that are broken.4-6 Fortunately, complications are infrequent. While direct blows cause some fractures, a fall on an outstretched hand is the usual mechanism.
Greenstick fractures, in which only one side of the cortex is involved, can be seen in the radius and ulna. Plastic deformation, or bowing fractures, can occur as well, especially in the shaft of these bones. Torus or buckle fractures are common distal fractures in which buckling or angulation of the cortex may be seen. Salter-Harris type I and II fractures frequently are seen at the distal radius.
On physical examination, localized tenderness and swelling usually are noted at the fracture site. Obvious deformities may be seen, especially when the fracture is accompanied by displacement or angulation. AP and lateral radiographs should be obtained and should include the entire forearm, elbow, and wrist.
Treatment depends on the type of fracture, its location, and alignment. Rotational deformities are common with shaft fractures and require orthopedic consultation and reduction. It is important to remember that remodeling decreases with the distance from the epiphysis and the age of the child. A general rule of thumb is that any fracture with greater than 10-15° of angulation should be evaluated by an orthopedic surgeon.4,16
A torus fracture of the distal radius/ulna can be treated in a volar splint or a short or long arm cast with follow-up in 3-4 weeks.4,5 Greenstick or transverse fractures that are not grossly deformed or angulated can be placed in a long arm posterior splint or sugar tong splint with referral to orthopedics in 3-5 days.4,5 Complete mid-shaft fractures of the radius and ulna usually require orthopedic consultation for closed reduction. Open reduction and internal fixation may be needed in the older child or adolescent.4,5,16
Monteggia Fracture. While Monteggia fractures only account for approximately 2% of elbow fractures in children, they easily can be overlooked, resulting in serious complications.4-6,16 A Monteggia fracture is a combination of ulnar fracture (usually mid-shaft) with radial head dislocation. (See Figure 5.) This fracture usually occurs as the result of a fall on an outstretched hand with some rotation of the humerus. Any suspected Monteggia fracture requires immediate orthopedic referral for reduction.
![]() |
Galeazzi Fracture. The Galeazzi fracture is a radial shaft fracture with a dislocation of the distal radioulnar joint.4-6 This type of fracture is rare in children and requires orthopedic referral for reduction.
Radial Head Subluxation
Radial head subluxation, also known as nursemaid’s elbow, is an injury frequently seen in the ED. The majority of patients are younger than 6 years of age, with a peak in children ages 1-3.5 The usual mechanism of injury is longitudinal traction on an extended (often pronated) arm, which may occur with pulling or swinging a child by the arms.4,5,17 This traction enables the annular ligament to slip over the margin of the radial head and become trapped between the radial head and capitellum.
Physical Examination. On physical examination, the child generally holds the affected arm close to the body with it partially flexed and pronated. The child also may just hold the arm limply to the side. Any attempts at motion cause pain and the child will not reach for objects. Careful palpation of the extremity usually will not elicit tenderness except, perhaps, at the radial head.
Diagnosis. Radiographs generally are not indicated for straightforward cases, and if obtained, will be normal. They should, however, be obtained if the child has bony tenderness, an unusual history, or does not regain function after reduction attempts.17
Treatment. Classically, the reduction technique involves supination of the forearm followed by either flexion or extension at the elbow. The elbow is held with the thumb on the radial head to feel for a click during reduction. The other hand grasps the child’s wrist and then rapidly fully supinates the arm and flexes it at the elbow.4,5 A click or pop frequently is felt over the radial head. Success rates for reduction range from 80-92%.18,19
Several recent studies have compared a hyperpronation reduction to the classic supination/flexion method. The child’s arm is held as in the above maneuver, but then is pronated rather than supinated to achieve reduction. One group used hyperpronation without flexion in their study.20 They found that the hyperpronation technique required fewer attempts at reduction when compared with supination/flexion, was successful more often than supination, and often was successful when supination failed. Ninety-five percent of patients in the hyperpronation group were reduced successfully on the first attempt, compared to 77% in the supination group. Overall, 97.5% of patients in the hyperpronation group were reduced successfully, compared to 86% in the supination group.
Another group used a technique that combined hyperpronation with flexion vs. supination with flexion.21 While they found a near equal success rate with both maneuvers on the first attempt, they did find more success with pronation on subsequent attempts. They also attempted to measure perceived pain during the maneuvers and found that physicians rated the pronation method as less painful.21,22
Compartment Syndrome
Compartment syndrome is a rare but potentially devastating problem in children with upper extremity injuries. Increased interstitial pressure within a closed fascial compartment can obstruct microcirculation to the nerves and muscles lying within the involved space and cause tissue necrosis. This necrosis of the muscle and subsequent fibrosis can cause permanent disability known as Volkmann’s contracture.5,23 Tight dressings or casts, along with the fracture itself, can contribute to the problem. A fracture, though, is not necessary to have a compartment syndrome.
Physical Examination. The hallmark finding is pain out of proportion to the injury.23-25 The pain may be worsened by passive stretching of the muscle. An increase in analgesic requirement and anxiety in smaller children may be found as well. Other "Ps" that may be noted include paresthesias, pallor, paralysis, and pulselessness. The latter two are late findings and may be seen when irreversible muscle damage already has occurred.
Diagnosis. If the diagnosis of compartment syndrome is suspected, the pressure within the compartment should be measured. Pressures can be measured using several techniques, including infusion, wick-catheter, and slit-catheter techniques. A compartment syndrome is present when the measurement is 20 mmHg or less, calculated by subtracting the compartment pressure from the diastolic blood pressure.23-25
Treatment. Treatment for a suspected compartment syndrome begins with splitting or removing any casts or padding.23 Elevation of the extremity and ice also will help. If these measures do not relieve the symptoms, and compartment pressures are elevated, the patient should be taken to the operating room and fasciotomy of the affected compartment(s) should be performed.23-25 A good prognosis is associated with early and prompt recognition leading to definitive treatment.
Reflex Sympathetic Dystrophy
Reflex sympathetic dystrophy (RSD) is a clinical entity that increasingly is becoming recognized in the pediatric population.26,27 It is a disorder characterized by severe and continuous pain in an extremity associated with vasomotor instability. It was first described by Mitchell in 186428 during the American Civil War, with the role of the sympathetic nervous system postulated in 1916.26 The term "reflex sympathetic dystrophy" came about in 1953. A recent international consensus panel refers to RSD as "complex regional pain syndrome," or CRPS.29
The International Association for the Study of Pain provides the following definition: "RSD is continuous pain in a portion of an extremity after trauma which may include fracture, but does involve a major nerve, associated with sympathetic hyperactivity. This usually involves the distal extremity adjacent to a traumatized area and the main feature is pain described as burning, continuous, exacerbated by movement, cutaneous stimulation, or stress, with onset usually weeks after injury."30
Four cardinal and six secondary signs and symptoms have been described.26,31 Some authors feel all four cardinal signs are required to make the diagnosis, while others suggest any combination of signs and symptoms that are not explained by another condition are adequate. The cardinal signs and symptoms include pain, edema, stiffness, and discoloration.
The pain is out of proportion to the injury and generally is intense and burning. It may involve the entire extremity. Edema often is one of the first signs, and almost all patients will have it to some degree. Joint stiffness also is out of proportion to what would be expected and worsens because motion causes more pain. The discoloration varies from cyanosis to pale to intense red, especially in the hand area.
Secondary signs include demineralization, pseudomotor and thermoregulatory changes (hyperhidrosis to dryness), vasomotor instability (most commonly seen as decreased capillary refill), trophic changes, and palmar fibromatosis. The involved skin often has a glossy, shiny appearance.
Diagnosis. The diagnosis of RSD is primarily clinical.26,27 Plain radiographs often are obtained to exclude other injuries or causes of pain. The most widely used imaging modality is the three-phase bone scan but results and their meaning are controversial and not well-studied in children.26 Magnetic resonance imaging may become a useful diagnostic tool in this disorder, but no widespread studies have been done.32
Treatment. It is thought that children respond more favorably to treatment of RSD than adults.26 Several therapeutic modalities have been used to treat RSD. These include physical therapy, steroids, psychotherapy, transcutaneous nerve stimulation, and regional nerve blocks.26,27,33 Immobilization in casts or splints often exacerbates the problem and is not recommended.
Recently, gabapentin, a new anti-epileptic medication, successfully has been used in both adults and children to treat RSD.34 Gabapentin is a structural analogue of the inhibitory neurotransmitter gamma-aminobutyric acid that crosses the blood-brain barrier. It also induces an increase in serotonin levels in the central nervous system (CNS). The suggested mechanism of action of relief of pain in RSD is a gabapentin-induced increase in CNS serotonin, which modulates the central monoaminergic pain pathways, inhibiting pain sensation.37 This also could reverse some of the skin changes by way of serotonin-mediated activity on the raphe spinal cord-descending pathways.
Regardless of treatment options, the role of the emergency physician is evaluation and recognition in a timely manner, as favorable outcomes are associated with early diagnosis and treatment.
Conclusion
There are many upper extremity injuries that are unique to the pediatric patient. Knowledge and understanding of these principles will enable the emergency physician to appropriately assess and treat these injuries. Awareness of less common entities such as compartment syndrome and RSD will enable the physician to recognize these and assure appropriate treatment and referral.
References
1. England SP, Sundberg S. Management of common pediatric fractures. Pediatr Clin North Am 1996;43:991-1012.
2. Malek M, Bei-hung C, Gallagher S, et al. The cost of medical care for injuries to children. Ann Emerg Med 1991;20:997-1005.
3. Della-Giustina K, Della-Giustina DA. Emergency department evaluation and treatment of pediatric orthopedic injuries. Emerg Med Clin North Am 1999;17:895-922.
4. Bachman D, Santora S. Orthopedic trauma. In: Fleisher GR, et al, eds. Textbook of Pediatric Emergency Medicine. 4th Ed. Philadelphia: Lippincott, Williams and Wilkins; 2000:1435-1457.
5. Joffe M. Upper extremity injuries. In: Barkin RM, et al, eds. Pediatric Emergency Medicine: Concepts and Clinical Practice. 2nd Ed. St. Louis: Mosby Year Book; 1997:403-420.
6. Greenfield RH. Orthopedic injuries and injuries of the upper extremities. In: Strange GR, et al, eds. Pediatric Emergency Medicine: A Comprehensive Study Guide. New York: McGraw-Hill; 1996: 113-125.
7. Chacon D, Kissoon N, Brown T, et al. Use of comparison radiographs in the diagnosis of traumatic injuries of the elbow. Ann Emerg Med 1992;21:895-899.
8. Skaggs D, Pershad J. Pediatric elbow trauma. Ped Emerg Care 1997;13:425-434.
9. McCauley RG, Schwartz AM, Leonidas JC, et al. Comparison views in extremity injury in children: An efficacy study. Pediatr Radiol 1979;131:95-97.
10. Norell H. Roentgenologic visualization of the extracapsular fat. Its importance in the diagnosis of traumatic injuries to the elbow. Acta Radiol 1954;42:205-210.
11. De Beaux AC, Beattie T, Gilbert F. Elbow fat pad sign: Implications for clinical management. J R Coll Surg Edinb 1992;37:205-206.
12. Morewood DJ. Incidence of unsuspected fractures in traumatic effusions of the elbow joint. British Med J 1987;295:109-110.
13. Skaggs DL, Mirzayan R. The posterior fat pad sign in association with occult fracture of the elbow in children. J Bone Joint Surg 1999;79A:1429-1433.
14. Gallagher D, Dabezies EJ. Fractures of the humerus. In: MacEwen GD, et al, eds. Pediatric Fractures: A Practical Approach to Assessment and Treatment. Philadelphia: Lippincott, Williams and Wilkins; 1993:121-132.
15. Flynn JC, Zink WP. Fractures and dislocations of the elbow. In: MacEwen GD, et al, eds. Pediatric Fractures: A Practical Approach to Assessment and Treatment. Philadelphia: Lippincott, Williams and Wilkins; 1993:133-164.
16. Kasser JR. Forearm fractures. In: MacEwen GD, et al, eds. Pediatric Fractures: A Practical Approach to Assessment and Treatment. Philadelphia: Lippincott, Williams and Wilkins; 1993:165-190.
17. Sacchetti A, Ramoska EE, Glascow C. Nonclassic history in children with radial head subluxations. J Emerg Med 1990;8:151-153.
18. Quan L, Marcuse EK. The epidemiology and treatment of radial head subluxation. Am J Dis Child 1985;139:1194-1197.
19. Schunk JE. Radial head subluxation: Epidemiology and treatment of 87 episodes. Ann Emerg Med 1990;19:1019-1023.
20. Macias CG, Bothner J, Wiebe R. A comparison of supination/flexion to hyperpronation in the reduction of radial head subluxations. Pediatrics 1998;102:e10.
21. McDonald J, Whitelaw C, Goldsmith LJ. Radial head subluxation: Comparing two methods of reduction. Acad Emerg Med 1999;6: 715-718.
22. Macias CG. Radial head subluxation. Acad Emerg Med 2000;7: 207-208.
23. Joffe M, Loiselle J. Orthopedic emergencies. In: Fleisher GR, et al, eds. Textbook of Pediatric Emergency Medicine. 4th Ed. Philadelphia: Lippincott, Williams and Wilkins; 2000:1595-1612.
24. Kadiyala RK, Waters PM. Upper extremity pediatric compartment syndromes. Hand Clinics 1998;14:467-475.
25. Alonso JE. Musculoskeletal injuries. In: MacEwen GD, et al, eds. Pediatric Fractures: A Practial Approach to Assessment and Treatment. Philadelphia: Lippincott, Williams and Wilkins;1993:30-37.
26. Parrillo SJ. Reflex sympathetic dystrophy in children. Ped Emerg Care 1998;14:217-220.
27. Cimaz R, Matucci-Cerinic M, Zulian F, et al. Reflex sympathetic dystrophy in children. J Child Neurol 1999;14:363-368.
28. Mitchell SW, Morehouse GR, Keen WW. Gunshot wounds and other injuries of the nerves. Philadelphia: JB Lippincott, 1864.
29. Stanton-Hicks M, Janig W, Hassenbusch S, et al. Reflex sympathetic dystrophy: Changing concepts and taxonomy. Pain 1993;63: 127-133.
30. International association for the study of pain (IASP). Classification of chronic pain syndromes and definitions of pain terms. Prepared by the Subcommittee on Taxonomy. Pain 1986 (suppl 3).
31. Lankford LL. Reflex sympathetic dystrophy. In: Hunter JM, et al, eds. Rehabilitation of the HandSurgery and Therapy. 3rd ed. St. Louis: CV Mosby; 1990:763-786.
32. Schweitzer ME, Mandel S, Schwartzman RJ, et al. Reflex sympathetic dystrophy revisited: MR imaging findings before and after infusion of contrast material. Radiology 1995;195:211-214.
33. Murray CS, Cohen A, Perkins T, et al. Morbidity in reflex sympathetic dystrophy. Arch Dis Child 2000;82:231-233.
34. Wheeler DS, Vaux KK, Tam DA. Use of gabapentin in the treatment of childhood reflex sympathetic dystrophy. Pediatr Neurol 2000;22:220-221.
35. Mellick LB, Mellick GA. Successful treatment of reflex sympathetic dystrophy with gabapentin. Am J Emerg Med 1995;13:96.
36. Mellick GA, Mellick LB. Gabapentin in the management of reflex sympathetic dystrophy. J Pain Symptom Manage 1995;10: 265-266.
37. Mellick GA, Mellick LB. Reflex sympathetic dystrophy treated with gabapentin. Arch Phys Med Rehabil 1997;78:98-105.
You have reached your article limit for the month. Subscribe now to access this article plus other member-only content.
- Award-winning Medical Content
- Latest Advances & Development in Medicine
- Unbiased Content




